JavaScript is disabled in your browser. Please enable JavaScript to view this website.
AB283580

Anti-CGRP-I+CGRP-II antibody [EPR23804-95] - BSA and Azide free

Be the first to review this product! Submit a review

|

(0 Publication)

Rabbit Recombinant Monoclonal CGRP-I antibody. Carrier free. Suitable for Flow Cyt (Intra), ICC/IF, IHC-P, IHC-Fr, WB and reacts with Human, Mouse, Rat, Recombinant full length protein - Mouse samples.

View Alternative Names

Calc, Calca, Calcitonin gene-related peptide 1, CGRP1, Alpha-type CGRP, Calcitonin gene-related peptide I, CGRP-I, Calcitonin gene-related peptide 2, CGRP2, Beta-type CGRP, Calcitonin gene-related peptide II, CGRP-II, Calcb

15 Images
Immunocytochemistry/ Immunofluorescence - Anti-CGRP-I+CGRP-II antibody [EPR23804-95] - BSA and Azide free (AB283580)
  • ICC/IF

Supplier Data

Immunocytochemistry/ Immunofluorescence - Anti-CGRP-I+CGRP-II antibody [EPR23804-95] - BSA and Azide free (AB283580)

This data was developed using ab283568, the same antibody clone in a different buffer formulation.

Immunofluorescent analysis of 4% Paraformaldehyde-fixed, 0.1% TritonX-100 permeabilized TT cells labelling CGRP-I+CGRP-II with ab283568 at 1/100 (6.39 ug/ml) dilution, followed by ab150081 Goat Anti-Rabbit IgG H&L (Alexa Fluor® 488) preadsorbed antibody at 1/1000 (2 ug/ml) dilution (Green). ab195889 Anti-alpha Tubulin mouse monoclonal antibody - Microtubule Marker (Alexa Fluor® 594) was used to counterstain tubulin at 1/200 (2.5ug/ml) dilution (Red). The Nuclear counterstain was DAPI (Blue).

Confocal image showing cytoplasmic staining in TT cell line, and no staining in 293T cell line is observed.

Secondary antibody only control : Secondary antibody is ab150081 Goat Anti-Rabbit IgG H&L (Alexa Fluor® 488) preadsorbed at 1/1000 (2 ug/ml) dilution.

Flow Cytometry (Intracellular) - Anti-CGRP-I+CGRP-II antibody [EPR23804-95] - BSA and Azide free (AB283580)
  • Flow Cyt (Intra)

Supplier Data

Flow Cytometry (Intracellular) - Anti-CGRP-I+CGRP-II antibody [EPR23804-95] - BSA and Azide free (AB283580)

This data was developed using ab283568, the same antibody clone in a different buffer formulation.

Flow cytometric analysis of 4% paraformaldehyde fixed 90% methanol permeabilized 293T (Human embryonic kidney epithelial cell) (Left) / TT (Human thyroid carcinoma epithelial cell) (Right) cells labelling CGRP-I+CGRP-II with ab283568 at 1/5000 dilution (0.01ug) (Red) compared with a Rabbit monoclonal IgG (ab172730) (Black) isotype control and an unlabelled control (cells without incubation with primary antibody and secondary antibody) (Blue). A Goat F(ab')2 Anti-Rabbit IgG(DyLight® 488, ab98507) at 1/500 dilution was used as the secondary antibody.

Negative control : 293T.

Immunohistochemistry (Formalin/PFA-fixed paraffin-embedded sections) - Anti-CGRP-I+CGRP-II antibody [EPR23804-95] - BSA and Azide free (AB283580)
  • IHC-P

Supplier Data

Immunohistochemistry (Formalin/PFA-fixed paraffin-embedded sections) - Anti-CGRP-I+CGRP-II antibody [EPR23804-95] - BSA and Azide free (AB283580)

This data was developed using ab283568, the same antibody clone in a different buffer formulation.

Immunohistochemical analysis of paraffin-embedded Mouse spinal cord tissue labelling CGRP-I+CGRP-II with ab283568 at 1/1000 (0.639 ug/ml) followed by a ready to use Rabbit specific IHC polymer detection kit HRP/DAB (ab209101). Positive staining on mouse central termination sensory neurons (PMID : 29634489). The section was incubated with ab283568 for 30 mins at room temperature. The immunostaining was performed on a Leica Biosystems BOND® RX instrument Counterstained with Hematoxylin.

Secondary antibody only control : Secondary antibody is a ready to use Rabbit specific IHC polymer detection kit HRP/DAB (ab209101).

Heat mediated antigen retrieval with Citrate buffer (pH 6.0, epitope retrieval solution 1) for 20 mins

Immunohistochemistry (Frozen sections) - Anti-CGRP-I+CGRP-II antibody [EPR23804-95] - BSA and Azide free (AB283580)
  • IHC-Fr

Supplier Data

Immunohistochemistry (Frozen sections) - Anti-CGRP-I+CGRP-II antibody [EPR23804-95] - BSA and Azide free (AB283580)

This data was developed using ab283568, the same antibody clone in a different buffer formulation.

Immunohistochemical analysis of 4% PFA-fixed, 0.2% Triton X-100 permeabilized frozen Rat spinal cord tissue labeling CGRP-I+CGRP-II with ab283568 at 1/100 (6.39 ug/ml) dilution followed by ab150081 Goat Anti-Rabbit IgG H&L (Alexa Fluor® 488) preadsorbed at 1/1000 (2 ug/ml) dilution (Green). Positive staining on the dorsal horn of rat spinal cord is observed. The nuclear counterstain was DAPI (Blue).

Secondary antibody control : Secondary antibody is ab150081 Goat Anti-Rabbit IgG H&L (Alexa Fluor® 488) preadsorbed at 1/1000 (2 ug/ml) dilution.

Heat mediated antigen retrieval using sodium citrate buffer (10mM citrate pH 6.0 + 0.05% Tween-20).

Immunohistochemistry (Formalin/PFA-fixed paraffin-embedded sections) - Anti-CGRP-I+CGRP-II antibody [EPR23804-95] - BSA and Azide free (AB283580)
  • IHC-P

Supplier Data

Immunohistochemistry (Formalin/PFA-fixed paraffin-embedded sections) - Anti-CGRP-I+CGRP-II antibody [EPR23804-95] - BSA and Azide free (AB283580)

This data was developed using ab283568, the same antibody clone in a different buffer formulation.

Immunohistochemical analysis of paraffin-embedded Rat skin tissue labelling CGRP-I+CGRP-II with ab283568 at 1/1000 (0.639 ug/ml) followed by a ready to use Rabbit specific IHC polymer detection kit HRP/DAB (ab209101). The section was incubated with ab283568 for 30 mins at room temperature. The immunostaining was performed on a Leica Biosystems BOND® RX instrument Counterstained with Hematoxylin.

Negative control : no staining on rat skin.

Secondary antibody only control : Secondary antibody is a ready to use Rabbit specific IHC polymer detection kit HRP/DAB (ab209101).

Heat mediated antigen retrieval with Citrate buffer (pH 6.0, epitope retrieval solution 1) for 20 mins

Immunohistochemistry (Frozen sections) - Anti-CGRP-I+CGRP-II antibody [EPR23804-95] - BSA and Azide free (AB283580)
  • IHC-Fr

Supplier Data

Immunohistochemistry (Frozen sections) - Anti-CGRP-I+CGRP-II antibody [EPR23804-95] - BSA and Azide free (AB283580)

This data was developed using ab283568, the same antibody clone in a different buffer formulation.

Immunohistochemical analysis of 4% PFA-fixed, 0.2% Triton X-100 permeabilized frozen Mouse skin tissue labeling CGRP-I+CGRP-II with ab283568 at 1/100 (6.39 ug/ml) dilution followed by ab150081 Goat Anti-Rabbit IgG H&L (Alexa Fluor® 488) preadsorbed at 1/1000 2 ug/ml dilution (Green). The nuclear counterstain was DAPI (Blue).

Negative control : No staining on mouse skin is observed.

Secondary antibody control : Secondary antibody is ab150081 Goat Anti-Rabbit IgG H&L (Alexa Fluor® 488) preadsorbed at 1/1000 (2 ug/ml) dilution.

Heat mediated antigen retrieval using sodium citrate buffer (10mM citrate pH 6.0 + 0.05% Tween-20).

Immunohistochemistry (Formalin/PFA-fixed paraffin-embedded sections) - Anti-CGRP-I+CGRP-II antibody [EPR23804-95] - BSA and Azide free (AB283580)
  • IHC-P

Supplier Data

Immunohistochemistry (Formalin/PFA-fixed paraffin-embedded sections) - Anti-CGRP-I+CGRP-II antibody [EPR23804-95] - BSA and Azide free (AB283580)

This data was developed using ab283568, the same antibody clone in a different buffer formulation.

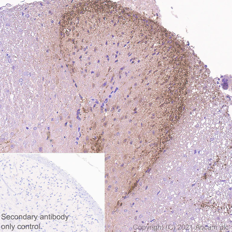
Immunohistochemical analysis of paraffin-embedded Rat spinal cord tissue labelling CGRP-I+CGRP-II with ab283568 at 1/1000 (0.639 ug/ml) followed by a ready to use Rabbit specific IHC polymer detection kit HRP/DAB (ab209101). Positive staining on rat central termination sensory neurons. The section was incubated with ab283568 for 30 mins at room temperature. The immunostaining was performed on a Leica Biosystems BOND® RX instrument Counterstained with Hematoxylin.

Secondary antibody only control : Secondary antibody is a ready to use Rabbit specific IHC polymer detection kit HRP/DAB (ab209101).

Heat mediated antigen retrieval with Citrate buffer (pH 6.0, epitope retrieval solution 1) for 20 mins

Immunohistochemistry (Frozen sections) - Anti-CGRP-I+CGRP-II antibody [EPR23804-95] - BSA and Azide free (AB283580)
  • IHC-Fr

Supplier Data

Immunohistochemistry (Frozen sections) - Anti-CGRP-I+CGRP-II antibody [EPR23804-95] - BSA and Azide free (AB283580)

This data was developed using ab283568, the same antibody clone in a different buffer formulation.

Immunohistochemical analysis of 4% PFA-fixed, 0.2% Triton X-100 permeabilized frozen Rat skin tissue labeling CGRP-I+CGRP-II with ab283568 at 1/100 (6.39 ug/ml) dilution followed by ab150081 Goat Anti-Rabbit IgG H&L (Alexa Fluor® 488) preadsorbed at 1/1000 (2 ug/ml) dilution (Green). The nuclear counterstain was DAPI (Blue).

Negative control : No staining on rat skin is observed.

Secondary antibody control : Secondary antibody is ab150081 Goat Anti-Rabbit IgG H&L (Alexa Fluor® 488) preadsorbed at 1/1000 (2 ug/ml) dilution.

Heat mediated antigen retrieval using sodium citrate buffer (10mM citrate pH 6.0 + 0.05% Tween-20).

Immunohistochemistry (Formalin/PFA-fixed paraffin-embedded sections) - Anti-CGRP-I+CGRP-II antibody [EPR23804-95] - BSA and Azide free (AB283580)
  • IHC-P

Supplier Data

Immunohistochemistry (Formalin/PFA-fixed paraffin-embedded sections) - Anti-CGRP-I+CGRP-II antibody [EPR23804-95] - BSA and Azide free (AB283580)

This data was developed using ab283568, the same antibody clone in a different buffer formulation.

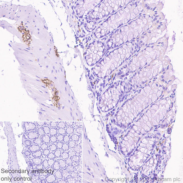
Immunohistochemical analysis of paraffin-embedded Mouse colon tissue labelling CGRP-I+CGRP-II with ab283568 at 1/1000 (0.639 ug/ml) followed by a ready to use Rabbit specific IHC polymer detection kit HRP/DAB (ab209101). Positive staining on the muscularis nerve fibres of mouse colon. The section was incubated with ab283568 for 30 mins at room temperature. The immunostaining was performed on a Leica Biosystems BOND® RX instrument Counterstained with Hematoxylin.

Secondary antibody only control : Secondary antibody is a ready to use Rabbit specific IHC polymer detection kit HRP/DAB (ab209101).

Heat mediated antigen retrieval with Citrate buffer (pH 6.0, epitope retrieval solution 1) for 20 mins

Immunohistochemistry (Formalin/PFA-fixed paraffin-embedded sections) - Anti-CGRP-I+CGRP-II antibody [EPR23804-95] - BSA and Azide free (AB283580)
  • IHC-P

Supplier Data

Immunohistochemistry (Formalin/PFA-fixed paraffin-embedded sections) - Anti-CGRP-I+CGRP-II antibody [EPR23804-95] - BSA and Azide free (AB283580)

This data was developed using ab283568, the same antibody clone in a different buffer formulation.

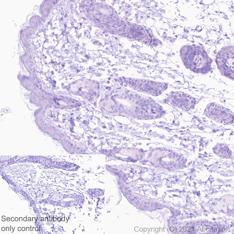
Immunohistochemical analysis of paraffin-embedded Mouse skin tissue labelling CGRP-I+CGRP-II with ab283568 at 1/1000 (0.639 ug/ml) followed by a ready to use Rabbit specific IHC polymer detection kit HRP/DAB (ab209101). The section was incubated with ab283568 for 30 mins at room temperature. The immunostaining was performed on a Leica Biosystems BOND® RX instrument Counterstained with Hematoxylin.

Negative control : no staining on mouse skin.

Secondary antibody only control : Secondary antibody is a ready to use Rabbit specific IHC polymer detection kit HRP/DAB (ab209101).

Heat mediated antigen retrieval with Citrate buffer (pH 6.0, epitope retrieval solution 1) for 20 mins

Immunocytochemistry/ Immunofluorescence - Anti-CGRP-I+CGRP-II antibody [EPR23804-95] - BSA and Azide free (AB283580)
  • ICC/IF

Lab

Immunocytochemistry/ Immunofluorescence - Anti-CGRP-I+CGRP-II antibody [EPR23804-95] - BSA and Azide free (AB283580)

This data was developed using ab283568, the same antibody clone in a different buffer formulation.

Immunofluorescent analysis of 4% Paraformaldehyde fixed rat DRG primary neurons permeabilized using 0.1% Triton X-100 labelling CGRP-I+CGRP-II with ab283568 (green) followed by ab150081 AlexaFluor®488 preadsorbed Goat anti-Rabbit secondary. ab78078 anti-beta III Tubulin (mouse mAb) was used as counterstain (magenta) with ab150120 AlexaFluor®594 Goat anti-Mouse as secondary. Nuclear DNA was labelled with DAPI (shown in blue). Image showing cytoplasmic staining in rat DRG primary neurons was taken with a confocal microscope (Leica-Microsystems, TCS SP8).

Immunocytochemistry/ Immunofluorescence - Anti-CGRP-I+CGRP-II antibody [EPR23804-95] - BSA and Azide free (AB283580)
  • ICC/IF

Lab

Immunocytochemistry/ Immunofluorescence - Anti-CGRP-I+CGRP-II antibody [EPR23804-95] - BSA and Azide free (AB283580)

This data was developed using ab283568, the same antibody clone in a different buffer formulation.

Immunofluorescent analysis of 4% Paraformaldehyde fixed mouse DRG primary neurons permeabilized using 0.1% Triton X-100 labelling CGRP-I+CGRP-II with ab283568 (green) followed by ab150081 AlexaFluor®488 preadsorbed Goat anti-Rabbit secondary. ab78078 anti-beta III Tubulin (mouse mAb) was used as counterstain (magenta) with ab150120 AlexaFluor®594 Goat anti-Mouse as secondary. Nuclear DNA was labelled with DAPI (shown in blue). Image showing cytoplasmic staining in mouse DRG primary neurons was taken with a confocal microscope (Leica-Microsystems, TCS SP8).

Immunohistochemistry (Frozen sections) - Anti-CGRP-I+CGRP-II antibody [EPR23804-95] - BSA and Azide free (AB283580)
  • IHC-Fr

Supplier Data

Immunohistochemistry (Frozen sections) - Anti-CGRP-I+CGRP-II antibody [EPR23804-95] - BSA and Azide free (AB283580)

This data was developed using ab283568, the same antibody clone in a different buffer formulation.

Immunohistochemical analysis of 4% PFA-fixed, 0.2% Triton X-100 permeabilized frozen Mouse spinal cord tissue labeling CGRP-I+CGRP-II with ab283568 at 1/100 (6.39 ug/ml) dilution followed by ab150081 Goat Anti-Rabbit IgG H&L (Alexa Fluor® 488) preadsorbed at 1/1000 (2 ug/ml) dilution (Green). Positive staining on the dorsal horn of mouse spinal cord is observed. The nuclear counterstain was DAPI (Blue).

Secondary antibody control : Secondary antibody is ab150081 Goat Anti-Rabbit IgG H&L (Alexa Fluor® 488) preadsorbed at 1/1000 (2 ug/ml) dilution.

Heat mediated antigen retrieval using sodium citrate buffer (10mM citrate pH 6.0 + 0.05% Tween-20).

Western blot - Anti-CGRP-I+CGRP-II antibody [EPR23804-95] - BSA and Azide free (AB283580)
  • WB

Lab

Western blot - Anti-CGRP-I+CGRP-II antibody [EPR23804-95] - BSA and Azide free (AB283580)

This data was developed using ab283568, the same antibody clone in a different buffer formulation.

Blocking and diluting buffer and concentration : 5% NFDM/TBST

Fresh lysate of TT cell line was used in this blot.

Negative control : 293T, Hela, Daudi (HPA database)

Exposure time : 26 seconds

All lanes:

Western blot - Anti-CGRP-I+CGRP-II antibody [EPR23804-95] (<a href='/en-us/products/primary-antibodies/cgrp-icgrp-ii-antibody-epr23804-95-ab283568'>ab283568</a>) at 1/1000 dilution

Lane 1:

TT (human thyroid carcinoma epithelial cell), whole cell lysate at 20 µg

Lane 2:

293T (human embryonic kidney epithelial cell), whole cell lysate at 20 µg

Lane 3:

HeLa (human cervix adenocarcinoma epithelial cell), whole cell lysate at 20 µg

Lane 4:

Daudi (human Burkitt's lymphoma lymphoblast), whole cell lysate at 20 µg

Secondary

All lanes:

Western blot - Goat Anti-Rabbit IgG H&L (HRP) (<a href='/en-us/products/secondary-antibodies/goat-rabbit-igg-h-l-hrp-ab97051'>ab97051</a>) at 1/100000 dilution

Observed band size: 10 kDa

false

Western blot - Anti-CGRP-I+CGRP-II antibody [EPR23804-95] - BSA and Azide free (AB283580)
  • WB

Lab

Western blot - Anti-CGRP-I+CGRP-II antibody [EPR23804-95] - BSA and Azide free (AB283580)

This data was developed using ab283568, the same antibody clone in a different buffer formulation.

Blocking and diluting buffer and concentration : 5% NFDM/TBST

This antibody has cross-reaction with mouse CALCB.

The rec proteins CALCB and CLACA were made in-house.

CALCB recombinant protein was made in-house and expressed from the E.coli expression system.

CLACA recombinant protein was expressed from a mammalian - HEK-293 expression system.

Exposure time : 1 second

All lanes:

Western blot - Anti-CGRP-I+CGRP-II antibody [EPR23804-95] (<a href='/en-us/products/primary-antibodies/cgrp-icgrp-ii-antibody-epr23804-95-ab283568'>ab283568</a>) at 1/1000 dilution

Lane 1:

His-tagged mouse CALCB recombinant protein at 0.01 µg

Lane 2:

Mouse CALCA recombinant protein at 0.01 µg

Secondary

Lanes 1 - 2:

Goat Anti-Rabbit IgG, (H+L), Peroxidase conjugated (<a href='/en-us/products/secondary-antibodies/goat-rabbit-igg-h-l-hrp-ab97051'>ab97051</a>) at 1/100000 dilution

Lanes 1 - 2:

Western blot - Goat Anti-Rabbit IgG H&L (HRP) (<a href='/en-us/products/secondary-antibodies/goat-rabbit-igg-h-l-hrp-ab97051'>ab97051</a>) at 1/100000 dilution

Observed band size: 14 kDa

false

Key facts

Host species

Rabbit

Clonality

Monoclonal

Clone number

EPR23804-95

Isotype

IgG

Carrier free

Yes

Reacts with

Mouse, Rat, Human

Applications

WB, IHC-Fr, IHC-P, ICC/IF, Flow Cyt (Intra)

applications

Immunogen

The exact immunogen used to generate this antibody is proprietary information.

Reactivity data

{ "title": "Reactivity Data", "filters": { "stats": ["", "Species", "Dilution Info", "Notes"], "tabs": { "all-applications": {"fullname" : "All Applications", "shortname": "All Applications"}, "FlowCytIntra" : {"fullname" : "Flow Cytometry (Intracellular)", "shortname":"Flow Cyt (Intra)"}, "ICCIF" : {"fullname" : "Immunocytochemistry/ Immunofluorescence", "shortname":"ICC/IF"}, "IHCP" : {"fullname" : "Immunohistochemistry (Formalin/PFA-fixed paraffin-embedded sections)", "shortname":"IHC-P"}, "IHCFr" : {"fullname" : "Immunohistochemistry (Frozen sections)", "shortname":"IHC-Fr"}, "WB" : {"fullname" : "Western blot", "shortname":"WB"}, "IP" : {"fullname" : "Immunoprecipitation", "shortname":"IP"} }, "product-promise": { "all": "all", "testedAndGuaranteed": "tested", "guaranteed": "expected", "predicted": "predicted", "notRecommended": "not-recommended" } }, "values": { "Human": { "FlowCytIntra-species-checked": "testedAndGuaranteed", "FlowCytIntra-species-dilution-info": "", "FlowCytIntra-species-notes": "<p></p>", "ICCIF-species-checked": "testedAndGuaranteed", "ICCIF-species-dilution-info": "1/100", "ICCIF-species-notes": "<p></p>", "IHCP-species-checked": "notRecommended", "IHCP-species-dilution-info": "", "IHCP-species-notes": "<p></p>", "IHCFr-species-checked": "notRecommended", "IHCFr-species-dilution-info": "", "IHCFr-species-notes": "<p>Heat mediated antigen retrieval using sodium citrate buffer (10mM citrate pH 6.0 + 0.05% Tween-20).</p>", "WB-species-checked": "testedAndGuaranteed", "WB-species-dilution-info": "", "WB-species-notes": "<p></p>", "IP-species-checked": "notRecommended", "IP-species-dilution-info": "", "IP-species-notes": "<p></p>" }, "Mouse": { "FlowCytIntra-species-checked": "notRecommended", "FlowCytIntra-species-dilution-info": "", "FlowCytIntra-species-notes": "<p></p>", "ICCIF-species-checked": "testedAndGuaranteed", "ICCIF-species-dilution-info": "", "ICCIF-species-notes": "<p></p>", "IHCP-species-checked": "testedAndGuaranteed", "IHCP-species-dilution-info": "", "IHCP-species-notes": "<p></p>", "IHCFr-species-checked": "testedAndGuaranteed", "IHCFr-species-dilution-info": "", "IHCFr-species-notes": "<p>Heat mediated antigen retrieval using sodium citrate buffer (10mM citrate pH 6.0 + 0.05% Tween-20).</p>", "WB-species-checked": "notRecommended", "WB-species-dilution-info": "", "WB-species-notes": "<p></p>", "IP-species-checked": "notRecommended", "IP-species-dilution-info": "", "IP-species-notes": "<p></p>" }, "Rat": { "FlowCytIntra-species-checked": "notRecommended", "FlowCytIntra-species-dilution-info": "", "FlowCytIntra-species-notes": "<p></p>", "ICCIF-species-checked": "testedAndGuaranteed", "ICCIF-species-dilution-info": "", "ICCIF-species-notes": "<p></p>", "IHCP-species-checked": "testedAndGuaranteed", "IHCP-species-dilution-info": "", "IHCP-species-notes": "<p></p>", "IHCFr-species-checked": "testedAndGuaranteed", "IHCFr-species-dilution-info": "", "IHCFr-species-notes": "<p>Heat mediated antigen retrieval using sodium citrate buffer (10mM citrate pH 6.0 + 0.05% Tween-20).</p>", "WB-species-checked": "notRecommended", "WB-species-dilution-info": "", "WB-species-notes": "<p></p>", "IP-species-checked": "notRecommended", "IP-species-dilution-info": "", "IP-species-notes": "<p></p>" }, "Recombinant full length protein - Mouse": { "FlowCytIntra-species-checked": "notRecommended", "FlowCytIntra-species-dilution-info": "", "FlowCytIntra-species-notes": "", "ICCIF-species-checked": "notRecommended", "ICCIF-species-dilution-info": "", "ICCIF-species-notes": "", "IHCP-species-checked": "notRecommended", "IHCP-species-dilution-info": "", "IHCP-species-notes": "", "IHCFr-species-checked": "notRecommended", "IHCFr-species-dilution-info": "", "IHCFr-species-notes": "", "WB-species-checked": "testedAndGuaranteed", "WB-species-dilution-info": "", "WB-species-notes": "<p></p>", "IP-species-checked": "notRecommended", "IP-species-dilution-info": "", "IP-species-notes": "" } } }

Product details

ab283580 is the carrier-free version of ab283568.

Patented technology
Our RabMAb® technology is a patented hybridoma-based technology for making rabbit monoclonal antibodies. For details on our patents, please refer to RabMAb® patents.

What are the advantages of a recombinant monoclonal antibody?
This product is a recombinant monoclonal antibody, which offers several advantages including:

  • - High batch-to-batch consistency and reproducibility
  • - Improved sensitivity and specificity
  • - Long-term security of supply
  • - Animal-free batch production

For more information, read more on recombinant antibodies.

Conjugation ready
Our carrier-free antibodies are typically supplied in a PBS-only formulation, purified and free of BSA, sodium azide and glycerol. This conjugation-ready format is designed for use with fluorochromes, metal isotopes, oligonucleotides, and enzymes, which makes them ideal for antibody labelling, functional and cell-based assays, flow-based assays (e.g. mass cytometry) and Multiplex Imaging applications.

Use our conjugation kits for antibody conjugates that are ready-to-use in as little as 20 minutes with 1 minute hands-on-time and 100% antibody recovery: available for fluorescent dyes, HRP, biotin and gold.

Compatibility
This product is compatible with the Maxpar® Antibody Labeling Kit from Fluidigm, without the need for antibody preparation. Maxpar® is a trademark of Fluidigm Canada Inc.

Properties and storage information

Form
Liquid
Purification technique
Affinity purification Protein A
Storage buffer
pH: 7.2 - 7.4 Constituents: PBS
Shipped at conditions
Blue Ice
Appropriate short-term storage conditions
+4°C
Appropriate long-term storage conditions
+4°C

Supplementary information

This supplementary information is collated from multiple sources and compiled automatically.

The target designated as CGRP-I and CGRP-II refers to calcitonin gene-related peptide isoforms which play key roles in various physiological functions. CGRP around 37 amino acids long has alternative names such as alpha-CGRP and beta-CGRP occurring mainly in the central nervous system and peripheral nervous tissues. These peptides are potent vasodilators integral to the modulation of blood vessel tone and immune responses. Both isoforms though small in mass allow for significant physiological impacts due to their receptor interactions.
Biological function summary

CGRP-I and CGRP-II contribute to vasodilation and pain transmission in the nervous system. Each isoform can activate specific CGRP receptors mainly located on smooth muscle cells and neurons without forming stable complexes. Their activity involves increasing intracellular cAMP levels facilitating vascular relaxation and modulating nociceptive pathways. Consequently CGRP peptides are essential for conveying pain signals and supporting neurogenic inflammation mechanisms.

Pathways

CGRP-I and CGRP-II serve critical roles in the cardiovascular and nervous system pathways. The cAMP-dependent pathway one of the essential routes of action elevates vasodilation responses where CGRP interacts with the RAMP1 protein a receptor accessory protein. Another pathway involves the modulation of pain where CGRP interacts with other neurotransmitters and proteins such as substance P and neurokinin.

CGRP-I and CGRP-II show significant associations with migraines and hypertension. These peptides through their vasodilatory capabilities and nociceptive signaling connect to migraines by interacting with proteins like RAMP1 in trigeminal neurons exacerbating migraine pathology. Furthermore CGRP's role in promoting vasodilation links to hypertension management where altered CGRP activity affects blood pressure regulation. These connections make CGRP-related pathways viable targets for therapeutic intervention.

Product protocols

For this product, it's our understanding that no specific protocols are required. You can visit:

Target data

CGRP1/CALCA is a peptide hormone that induces vasodilation mediated by the CALCRL-RAMP1 receptor complex. Dilates a variety of vessels including the coronary, cerebral and systemic vasculature. Its abundance in the CNS also points toward a neurotransmitter or neuromodulator role. It also elevates platelet cAMP. CGRP1 can also bind and activate CALCR-RAMP1 (AMYR1) receptor complex.
See full target information Calca

Additional targets

Calcb

Product promise

We are committed to supporting your work with high-quality reagents, and we're here for you every step of the way. In the unlikely event that one of our products does not perform as expected, you're protected by our Product Promise.
For full details, please see our Terms & Conditions

Please note: All products are 'FOR RESEARCH USE ONLY. NOT FOR USE IN DIAGNOSTIC OR THERAPEUTIC PROCEDURES'.

For licensing inquiries, please contact partnerships@abcam.com