JavaScript is disabled in your browser. Please enable JavaScript to view this website.
AB243505

Anti-CHCH antibody

Be the first to review this product! Submit a review

|

(1 Publication)

Rabbit Polyclonal CHCH antibody. Suitable for IHC-P, WB, ICC/IF and reacts with Human samples. Cited in 1 publication. Immunogen corresponding to Recombinant Fragment Protein within Human CHURC1 aa 1 to C-terminus.

View Alternative Names

C14orf52, CHCH, My015, CHURC1, Protein Churchill

3 Images
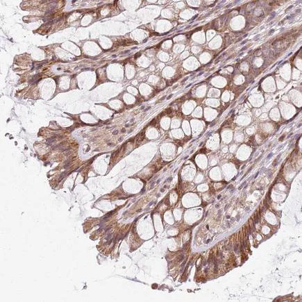
Immunohistochemistry (Formalin/PFA-fixed paraffin-embedded sections) - Anti-CHCH antibody (AB243505)
  • IHC-P

Supplier Data

Immunohistochemistry (Formalin/PFA-fixed paraffin-embedded sections) - Anti-CHCH antibody (AB243505)

Formalin-fixed, paraffin-embedded human colon tissue stained for CHCH using ab243505 at 1/50 dilution in immunohistochemical analysis.

Immunocytochemistry/ Immunofluorescence - Anti-CHCH antibody (AB243505)
  • ICC/IF

Supplier Data

Immunocytochemistry/ Immunofluorescence - Anti-CHCH antibody (AB243505)

PFA-fixed, Triton X-100 permeabilized PC-3 (human prostate adenocarcinoma derived from bone) cells stained for CHCH (green) using ab243505 at 4 μg/ml in ICC/IF analysis.

Western blot - Anti-CHCH antibody (AB243505)
  • WB

Supplier Data

Western blot - Anti-CHCH antibody (AB243505)

All lanes:

Western blot - Anti-CHCH antibody (ab243505) at 0.4 µg/mL

Lane 1:

Empty vector transfected HEK-293T (human epithelial cell line from embryonic kidney transformed with large T antigen) cell lysate

Lane 2:

HEK-293T overexpressing CHCH with C-terminal myc-DDk tag (~3.1 kDa).

Predicted band size: 13 kDa

false

Key facts

Host species

Rabbit

Clonality

Polyclonal

Isotype

IgG

Carrier free

No

Reacts with

Human

Applications

ICC/IF, IHC-P, WB

applications

Immunogen

Recombinant Fragment Protein within Human CHURC1 aa 1 to C-terminus. The exact immunogen used to generate this antibody is proprietary information.

Q8WUH1

Reactivity data

{ "title": "Reactivity Data", "filters": { "stats": ["", "Species", "Dilution Info", "Notes"], "tabs": { "all-applications": {"fullname" : "All Applications", "shortname": "All Applications"}, "IHCP" : {"fullname" : "Immunohistochemistry (Formalin/PFA-fixed paraffin-embedded sections)", "shortname":"IHC-P"}, "WB" : {"fullname" : "Western blot", "shortname":"WB"}, "ICCIF" : {"fullname" : "Immunocytochemistry/ Immunofluorescence", "shortname":"ICC/IF"} }, "product-promise": { "all": "all", "testedAndGuaranteed": "tested", "guaranteed": "expected", "predicted": "predicted", "notRecommended": "not-recommended" } }, "values": { "Human": { "IHCP-species-checked": "testedAndGuaranteed", "IHCP-species-dilution-info": "1/50 - 1/200", "IHCP-species-notes": "<p></p> Perform heat-mediated antigen retrieval with citrate buffer pH 6 before commencing with IHC staining protocol.", "WB-species-checked": "testedAndGuaranteed", "WB-species-dilution-info": "0.04-0.4 µg/mL", "WB-species-notes": "<p></p>", "ICCIF-species-checked": "testedAndGuaranteed", "ICCIF-species-dilution-info": "0.25-2 µg/mL", "ICCIF-species-notes": "<p>Fixation/Permeabilization: PFA/Triton X-100.</p>" }, "Mouse": { "IHCP-species-checked": "predicted", "IHCP-species-dilution-info": "", "IHCP-species-notes": "", "WB-species-checked": "predicted", "WB-species-dilution-info": "", "WB-species-notes": "", "ICCIF-species-checked": "predicted", "ICCIF-species-dilution-info": "", "ICCIF-species-notes": "" }, "Cow": { "IHCP-species-checked": "predicted", "IHCP-species-dilution-info": "", "IHCP-species-notes": "", "WB-species-checked": "predicted", "WB-species-dilution-info": "", "WB-species-notes": "", "ICCIF-species-checked": "predicted", "ICCIF-species-dilution-info": "", "ICCIF-species-notes": "" }, "Orangutan": { "IHCP-species-checked": "predicted", "IHCP-species-dilution-info": "", "IHCP-species-notes": "", "WB-species-checked": "predicted", "WB-species-dilution-info": "", "WB-species-notes": "", "ICCIF-species-checked": "predicted", "ICCIF-species-dilution-info": "", "ICCIF-species-notes": "" } } }

Properties and storage information

Form
Liquid
Purification technique
Affinity purification Immunogen
Storage buffer
pH: 7.2 Preservative: 0.02% Sodium azide Constituents: PBS, 40% Glycerol (glycerin, glycerine)
Shipped at conditions
Blue Ice
Appropriate short-term storage duration
1-2 weeks
Appropriate short-term storage conditions
+4°C
Appropriate long-term storage conditions
-20°C
Aliquoting information
Upon delivery aliquot
Storage information
Avoid freeze / thaw cycle

Supplementary information

This supplementary information is collated from multiple sources and compiled automatically.

The CHCH domain-containing protein also known as CHCHD plays a mechanical role within the cell by being involved in mitochondrial processes. It has a mass of approximately 15 kDa. This protein is expressed in various tissues with high levels in the heart and skeletal muscles. It localizes to the mitochondria where it interacts with other mitochondrial proteins to maintain cellular function.
Biological function summary

The CHCHD protein participates in the assembly and stabilization of protein complexes within the mitochondria. It serves as a component of the mitochondrial intermembrane space bridging complex (MIB) facilitating electron transfer processes necessary for cellular respiration. The stability of the complex is essential for maintaining the proper mitochondrial bioenergetics that influence overall cellular health.

Pathways

The CHCHD protein is an important player in mitochondrial respiration and apoptosis pathways. It interacts with cytochrome c during the electron transport chain which is important for ATP production. This protein also relates to apoptosis through interactions that influence the release of pro-apoptotic factors like c-caspases supporting the balance between cell survival and programmed cell death.

The CHCHD protein associates with neurodegenerative diseases such as Parkinson's disease where its dysfunction contributes to mitochondrial abnormalities. It also connects with cardiac disorders since it influences the mitochondrial pathways important for heart function. In Parkinson's disease alterations in interactions between CHCHD and proteins like CHCHD2 have been implicated highlighting the protein's role in mitochondrial health and disease.

Product protocols

For this product, it's our understanding that no specific protocols are required. You can visit:

Target data

Transcriptional activator that mediates FGF signaling during neural development (By similarity). Plays a role in the regulation of cell movement (By similarity).. Isoform 4. Does not bind DNA by itself.
See full target information CHURC1

Publications (1)

Recent publications for all applications. Explore the full list and refine your search

The Tohoku journal of experimental medicine : PubMed41062300

2025

Identification of KLHL35, WDR72, and WDR78 as Prognostic Biomarkers in Colorectal Cancer.

Applications

Unspecified application

Species

Unspecified reactive species

Jiayou Ye,Tingting Zhang,Guangsheng Wang,Guofeng Bian,Aijun Chen,Xin Zhou
View all publications

Product promise

We are committed to supporting your work with high-quality reagents, and we're here for you every step of the way. In the unlikely event that one of our products does not perform as expected, you're protected by our Product Promise.
For full details, please see our Terms & Conditions

Please note: All products are 'FOR RESEARCH USE ONLY. NOT FOR USE IN DIAGNOSTIC OR THERAPEUTIC PROCEDURES'.

For licensing inquiries, please contact partnerships@abcam.com