JavaScript is disabled in your browser. Please enable JavaScript to view this website.
AB308510

Anti-CHCHD10 antibody [EPR26966-33]

  • BOND RX™ Validated
  • 20ul selling size
  • RabMAb
  • Recombinant
  • KO Validated
  • What is this?

Be the first to review this product! Submit a review

|

(0 Publication)

Rabbit Recombinant Monoclonal CHCHD10 antibody. Suitable for WB, IHC-P, ICC/IF, Flow Cyt (Intra), IP and reacts with Human, Rat samples.

View Alternative Names

C22orf16, CHCHD10, Protein N27C7-4

9 Images
Immunocytochemistry/ Immunofluorescence - Anti-CHCHD10 antibody [EPR26966-33] (AB308510)
  • ICC/IF

Supplier Data

Immunocytochemistry/ Immunofluorescence - Anti-CHCHD10 antibody [EPR26966-33] (AB308510)

Immunofluorescent analysis of 4% Paraformaldehyde-fixed, 100% Methanol permeabilized HeLa (human cervical adenocarcinoma epithelial cell) cells labelling CHCHD10 with ab308510 at 1/50 (10.24 ug/ml) dilution, followed by ab150081 Goat Anti-Rabbit IgG H&L (Alexa Fluor® 488) preadsorbed antibody at 1/1000 2 ug/ml dilution (Green). Confocal showing mitochondrial staining in HeLa cell line. Image was taken with a confocal microscope (Leica-Microsystems, TCS SP8). anti-COX IV mouse monoclonal antibody - Mitochondrial Marker was used to counterstain tubulin at 1/50 0.5 ug/ml dilution (Red). The Nuclear counterstain was DAPI (Blue). Secondary antibody only control : Secondary antibody is ab150081 Goat Anti-Rabbit IgG H&L (Alexa Fluor® 488) preadsorbed at 1/1000 2 ug/ml dilution.

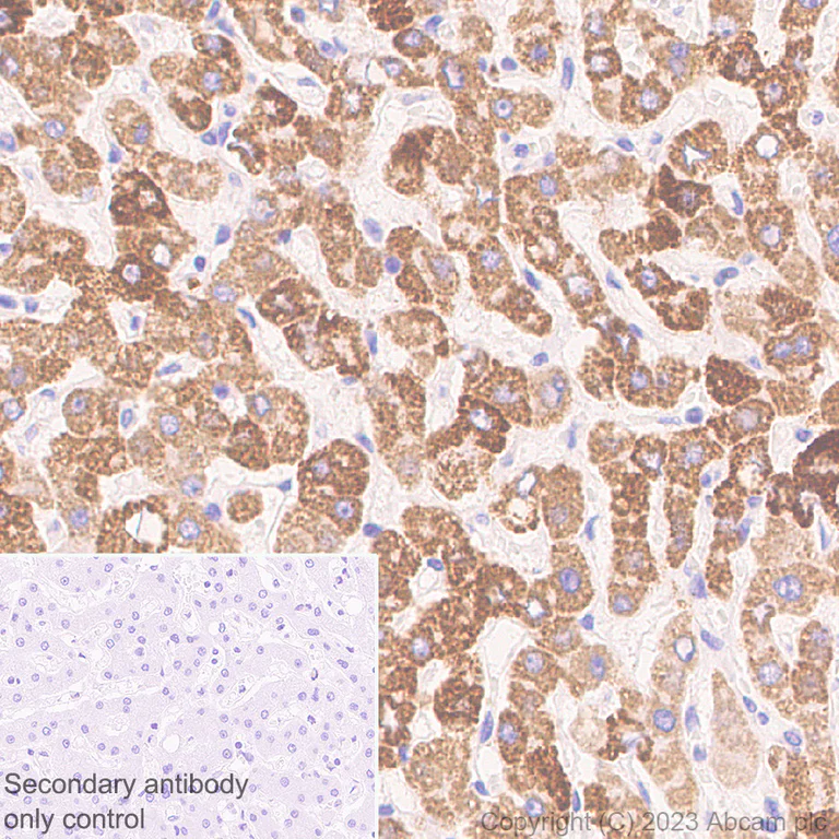
Immunohistochemistry (Formalin/PFA-fixed paraffin-embedded sections) - Anti-CHCHD10 antibody [EPR26966-33] (AB308510)
  • IHC-P

Supplier Data

Immunohistochemistry (Formalin/PFA-fixed paraffin-embedded sections) - Anti-CHCHD10 antibody [EPR26966-33] (AB308510)

Immunohistochemical analysis of paraffin-embedded Human liver tissue labelling CHCHD10 with ab308510 at 1/500 (1.024 ug/ml) followed by a ready to use LeicaDS9800 (Bond™ Polymer Refine Detection). Positive staining on human liver.The section was incubated with ab308510 for 30 mins at room temperature. The immunostaining was performed on a Leica Biosystems BOND® RX instrument Counterstained with Hematoxylin. Secondary antibody only control : Secondary antibody is a ready to use LeicaDS9800 (Bond™ Polymer Refine Detection). Heat mediated antigen retrieval was performed with Tris-EDTA buffer (pH 9.0, Epitope Retrieval Solution2) for 20 mins

Immunohistochemistry (Formalin/PFA-fixed paraffin-embedded sections) - Anti-CHCHD10 antibody [EPR26966-33] (AB308510)
  • IHC-P

Supplier Data

Immunohistochemistry (Formalin/PFA-fixed paraffin-embedded sections) - Anti-CHCHD10 antibody [EPR26966-33] (AB308510)

Immunohistochemical analysis of paraffin-embedded Human hepatocellular tissue labelling CHCHD10 with ab308510 at 1/500 (1.024 ug/ml) followed by a ready to use LeicaDS9800 (Bond™ Polymer Refine Detection). Positive staining on human hepatocellular carcinoma.The section was incubated with ab308510 for 30 mins at room temperature. The immunostaining was performed on a Leica Biosystems BOND® RX instrument Counterstained with Hematoxylin. Secondary antibody only control : Secondary antibody is a ready to use LeicaDS9800 (Bond™ Polymer Refine Detection). Heat mediated antigen retrieval was performed with Tris-EDTA buffer (pH 9.0, Epitope Retrieval Solution2) for 20 mins

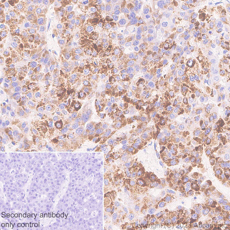
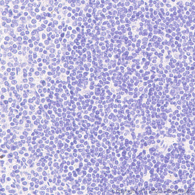
Immunohistochemistry (Formalin/PFA-fixed paraffin-embedded sections) - Anti-CHCHD10 antibody [EPR26966-33] (AB308510)
  • IHC-P

Supplier Data

Immunohistochemistry (Formalin/PFA-fixed paraffin-embedded sections) - Anti-CHCHD10 antibody [EPR26966-33] (AB308510)

Immunohistochemical analysis of paraffin-embedded Human spleen tissue labelling CHCHD10 with ab308510 at 1/500 (1.024 ug/ml) followed by a ready to use LeicaDS9800 (Bond™ Polymer Refine Detection). Negative control : no staining on human spleen (PMID : 24934289).The section was incubated with ab308510 for 30 mins at room temperature. The immunostaining was performed on a Leica Biosystems BOND® RX instrument Counterstained with Hematoxylin. Secondary antibody only control : Secondary antibody is a ready to use LeicaDS9800 (Bond™ Polymer Refine Detection). Heat mediated antigen retrieval was performed with Tris-EDTA buffer (pH 9.0, Epitope Retrieval Solution2) for 20 mins

Flow Cytometry (Intracellular) - Anti-CHCHD10 antibody [EPR26966-33] (AB308510)
  • Flow Cyt (Intra)

Supplier Data

Flow Cytometry (Intracellular) - Anti-CHCHD10 antibody [EPR26966-33] (AB308510)

Flow cytometric analysis of 4% paraformaldehyde fixed 90% methanol permeabilized HeLa (human cervical adenocarcinoma epithelial cell) cells labelling CHCHD10 with ab308510 at 1/50 dilution (1 ug)/Red (Red) compared with a Rabbit monoclonal IgG (ab172730) (Black) isotype control and an unlabelled control (cells without incubation with primary antibody and secondary antibody) (Blue). A Goat Anti-Rabbit IgG (Alexa Fluor® 488, ab150081) at 1/5000 dilution was used as the secondary antibody.

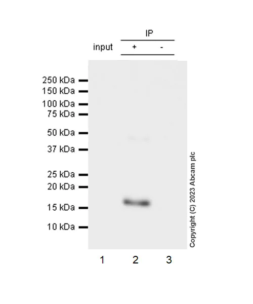
Immunoprecipitation - Anti-CHCHD10 antibody [EPR26966-33] (AB308510)
  • IP

Supplier Data

Immunoprecipitation - Anti-CHCHD10 antibody [EPR26966-33] (AB308510)

CHCHD10 was immunoprecipitated from 0.35 mg HeLa (human cervical adenocarcinoma epithelial cell) whole cell lysate with ab308510 at 1/30 dilution (2ug in 0.35mg lysates). Western blot was performed on the immunoprecipitate using ab308510 at 1/1000 dilution. VeriBlot for IP secondary antibody (HRP) (ab131366) was used at 1/5000 dilution.

Lane 1 : HeLa (human cervical adenocarcinoma epithelial cell) whole cell lysate
Lane 2 : ab308510 IP in HeLa (human cervical adenocarcinoma epithelial cell) whole cell lysate
Lane 3 : Rabbit monoclonal IgG (ab172730) instead of ab308510 in HeLa whole cell lysate

Blocking and dilution buffer and concentration : 5% NFDM/TBST.

Exposure time : 8 seconds

All lanes:

Immunoprecipitation - Anti-CHCHD10 antibody [EPR26966-33] (ab308510) at 1/1000 dilution

All lanes:

HeLa (human cervical adenocarcinoma epithelial cell) whole cell lysate at 10 µg

Secondary

All lanes:

Immunoprecipitation - VeriBlot for IP Detection Reagent (HRP) (<a href='/en-us/products/reagents/veriblot-for-ip-detection-reagent-hrp-ab131366'>ab131366</a>) at 1/5000 dilution

Observed band size: 18 kDa

false

Exposure time: 8s

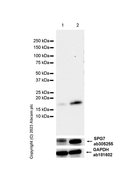
Western blot - Anti-CHCHD10 antibody [EPR26966-33] (AB308510)
  • WB

Supplier Data

Western blot - Anti-CHCHD10 antibody [EPR26966-33] (AB308510)

Blocking and diluting buffer and concentration : 5% NFDM/TBST. In Western blot, anti-GAPDH antibody (ab181602) loading control staining at 1/200000 dilution. Anti-SPG7 (ab305255) staining at 1/200000 dilution. Exposure time : 59 seconds.

All lanes:

Western blot - Anti-CHCHD10 antibody [EPR26966-33] (ab308510) at 1/1000 dilution

Lane 1:

HeLa (human cervical adenocarcinoma epithelial cell) non-mitochondrial fraction at 20 µg

Lane 2:

HeLa mitochondrial fraction at 20 µg

Secondary

All lanes:

Goat Anti-Rabbit IgG (HRP) with minimal cross-reactivity with human IgG at 1/2000 dilution

Predicted band size: 14 kDa

Observed band size: 18 kDa

false

Exposure time: 59s

Western blot - Anti-CHCHD10 antibody [EPR26966-33] (AB308510)
  • WB

Lab

Western blot - Anti-CHCHD10 antibody [EPR26966-33] (AB308510)

Western blot : Rabbit Monoclonal[EPR26966-33] to CHCHD10 ab308510 staining at 0.1 µg/mL, shown in green; Mouse anti alpha Tubulin (ab7291) loading control staining at 1/20,000 dilution, shown in magenta. A band was observed at 18 kDa in Wild-type A549 cell lysates with no signal observed at this size in CHCHD10 knockout A549 cell line. To generate this image, samples were run on an SDS-PAGE gel then transferred onto a nitrocellulose membrane. Membranes were blocked in 3pc Milk in TBS-0.1 % Tween® 20 (TBS-T) before incubation with primary antibodies overnight at 4°C. Blots were washed four times in TBS-T, incubated with secondary antibodies for 1 h at room temperature, washed again four times then imaged. Secondary antibodies used were Goat anti-Rabbit 800CW & Goat anti-Mouse 680RD at 1/20,000 dilution.

All lanes:

Western blot - Anti-CHCHD10 antibody [EPR26966-33] (ab308510) at 0.1 µg/mL

Lane 1:

Wild-type A549 at 20 µg

Lane 2:

CHCHD10 knockout A549 at 20 µg

Lane 3:

LNCaP at 20 µg

Lane 4:

U-2 OS at 20 µg

Secondary

All lanes:

Goat anti-Rabbit 800CW & Goat anti-Mouse 680RD at 1/20000 dilution

Predicted band size: 14 kDa

Observed band size: 18 kDa

false

Western blot - Anti-CHCHD10 antibody [EPR26966-33] (AB308510)
  • WB

Supplier Data

Western blot - Anti-CHCHD10 antibody [EPR26966-33] (AB308510)

Blocking and diluting buffer and concentration : 5% NFDM/TBST. Exposure time : 180 seconds.

All lanes:

Rat-1 (rat embryonic fibroblast) whole cell lysate at 20 µg

Predicted band size: 14 kDa

Observed band size: 18 kDa

false

Exposure time: 180s

  • Carrier free

    Anti-CHCHD10 antibody [EPR26966-33] - BSA and Azide free

Key facts

Host species

Rabbit

Clonality

Monoclonal

Clone number

EPR26966-33

Isotype

IgG

Carrier free

No

Reacts with

Human, Rat

Applications

IHC-P, ICC/IF, IP, Flow Cyt (Intra), WB

applications

Immunogen

The exact immunogen used to generate this antibody is proprietary information.

Reactivity data

{ "title": "Reactivity Data", "filters": { "stats": ["", "Species", "Dilution Info", "Notes"], "tabs": { "all-applications": {"fullname" : "All Applications", "shortname": "All Applications"}, "WB" : {"fullname" : "Western blot", "shortname":"WB"}, "IHCP" : {"fullname" : "Immunohistochemistry (Formalin/PFA-fixed paraffin-embedded sections)", "shortname":"IHC-P"}, "ICCIF" : {"fullname" : "Immunocytochemistry/ Immunofluorescence", "shortname":"ICC/IF"}, "FlowCytIntra" : {"fullname" : "Flow Cytometry (Intracellular)", "shortname":"Flow Cyt (Intra)"}, "IP" : {"fullname" : "Immunoprecipitation", "shortname":"IP"} }, "product-promise": { "all": "all", "testedAndGuaranteed": "tested", "guaranteed": "expected", "predicted": "predicted", "notRecommended": "not-recommended" } }, "values": { "Human": { "WB-species-checked": "testedAndGuaranteed", "WB-species-dilution-info": "1/1000", "WB-species-notes": "<p></p>", "IHCP-species-checked": "testedAndGuaranteed", "IHCP-species-dilution-info": "1/500", "IHCP-species-notes": "<p></p>", "ICCIF-species-checked": "testedAndGuaranteed", "ICCIF-species-dilution-info": "1/50", "ICCIF-species-notes": "<p></p>", "FlowCytIntra-species-checked": "testedAndGuaranteed", "FlowCytIntra-species-dilution-info": "1/50", "FlowCytIntra-species-notes": "<p></p>", "IP-species-checked": "testedAndGuaranteed", "IP-species-dilution-info": "1/30", "IP-species-notes": "<p></p>" }, "Mouse": { "WB-species-checked": "notRecommended", "WB-species-dilution-info": "", "WB-species-notes": "<p></p>", "IHCP-species-checked": "notRecommended", "IHCP-species-dilution-info": "", "IHCP-species-notes": "<p></p>", "ICCIF-species-checked": "notRecommended", "ICCIF-species-dilution-info": "", "ICCIF-species-notes": "<p></p>", "FlowCytIntra-species-checked": "notRecommended", "FlowCytIntra-species-dilution-info": "", "FlowCytIntra-species-notes": "<p></p>", "IP-species-checked": "notRecommended", "IP-species-dilution-info": "", "IP-species-notes": "" }, "Rat": { "WB-species-checked": "testedAndGuaranteed", "WB-species-dilution-info": "1/1000", "WB-species-notes": "<p></p>", "IHCP-species-checked": "notRecommended", "IHCP-species-dilution-info": "", "IHCP-species-notes": "<p></p>", "ICCIF-species-checked": "guaranteed", "ICCIF-species-dilution-info": "", "ICCIF-species-notes": "", "FlowCytIntra-species-checked": "guaranteed", "FlowCytIntra-species-dilution-info": "", "FlowCytIntra-species-notes": "", "IP-species-checked": "guaranteed", "IP-species-dilution-info": "", "IP-species-notes": "" } } }

Product details

Patented technology
Our RabMAb® technology is a patented hybridoma-based technology for making rabbit monoclonal antibodies. For details on our patents, please refer to RabMAb® patents.

What are the advantages of a recombinant monoclonal antibody?
This product is a recombinant monoclonal antibody, which offers several advantages including:

  • - High batch-to-batch consistency and reproducibility
  • - Improved sensitivity and specificity
  • - Long-term security of supply
  • - Animal-free batch production

For more information, read more on recombinant antibodies.

Properties and storage information

Form
Liquid
Purification technique
Affinity purification Protein A
Storage buffer
pH: 7.2 - 7.4 Preservative: 0.01% Sodium azide Constituents: PBS, 40% Glycerol (glycerin, glycerine), 0.05% BSA
Shipped at conditions
Blue Ice
Appropriate short-term storage duration
1-2 weeks
Appropriate short-term storage conditions
+4°C
Appropriate long-term storage conditions
-20°C
Aliquoting information
Upon delivery aliquot
Storage information
Avoid freeze / thaw cycle

Supplementary information

This supplementary information is collated from multiple sources and compiled automatically.

The CHCHD10 protein also known as coiled-coil-helix-coiled-coil-helix domain containing 10 is a mitochondrial protein with a molecular weight of approximately 14 kDa. It is specifically localized within the intermembrane space of mitochondria and is expressed in various tissues with high levels in the brain heart and skeletal muscles. CHCHD10 plays a role in maintaining mitochondrial structure and function contributing to the stability and regulation of mitochondrial cristae.
Biological function summary

The CHCHD10 protein participates in mitochondrial processes that regulate cellular energy production and apoptosis. It is part of a complex network within mitochondria interacting with other proteins to support mitochondrial DNA maintenance and oxidative phosphorylation. Its presence helps maintain cellular homeostasis by preventing mitochondrial dysfunction which can otherwise trigger oxidative stress and cellular damage.

Pathways

CHCHD10 is integral in the maintenance of mitochondrial quality control and respiratory pathways. It is involved in the mitochondrial inner membrane organizing system (MINOS) complex that is important for organizing and stabilizing mitochondrial membrane structure. CHCHD10 also interacts with proteins like OPA1 and CHCHD2 which are important for mitochondrial dynamics and energy regulation demonstrating its key role in these pathways.

CHCHD10 mutations are linked to conditions like amyotrophic lateral sclerosis (ALS) and frontotemporal dementia (FTD). The interaction between CHCHD10 and other mitochondria-related proteins like SOD1 and TDP-43 highlights its role in the pathogenesis of these neurodegenerative diseases. These mutations lead to mitochondrial dysfunction which contributes to the degeneration of motor neurons in ALS and the degeneration of frontal and temporal lobes in FTD.

Product protocols

For this product, it's our understanding that no specific protocols are required. You can visit:

Target data

May be involved in the maintenance of mitochondrial organization and mitochondrial cristae structure.
See full target information CHCHD10

Product promise

We are committed to supporting your work with high-quality reagents, and we're here for you every step of the way. In the unlikely event that one of our products does not perform as expected, you're protected by our Product Promise.
For full details, please see our Terms & Conditions

Please note: All products are 'FOR RESEARCH USE ONLY. NOT FOR USE IN DIAGNOSTIC OR THERAPEUTIC PROCEDURES'.

For licensing inquiries, please contact partnerships@abcam.com