JavaScript is disabled in your browser. Please enable JavaScript to view this website.
AB244391

Anti-Chd1 antibody

5

(4 Reviews)

|

(1 Publication)

Rabbit Polyclonal CHD1 antibody. Suitable for IHC-P, ICC/IF and reacts with Human samples. Cited in 1 publication. Immunogen corresponding to Recombinant Fragment Protein within Human CHD1 aa 1500-1650.

View Alternative Names

Chromodomain-helicase-DNA-binding protein 1, CHD-1, ATP-dependent helicase CHD1, CHD1

5 Images
Immunohistochemistry (Formalin/PFA-fixed paraffin-embedded sections) - Anti-Chd1 antibody (AB244391)
  • IHC-P

Unknown

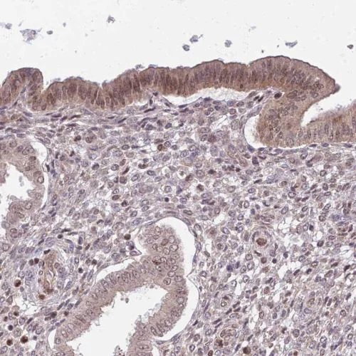
Immunohistochemistry (Formalin/PFA-fixed paraffin-embedded sections) - Anti-Chd1 antibody (AB244391)

Paraffin-embedded human placenta tissue stained for Chd1 using ab244391 at 1/50 dilution in immunohistochemical analysis.

Immunohistochemistry (Formalin/PFA-fixed paraffin-embedded sections) - Anti-Chd1 antibody (AB244391)
  • IHC-P

Unknown

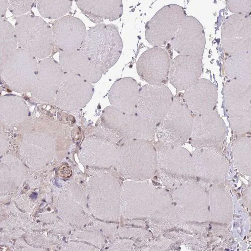
Immunohistochemistry (Formalin/PFA-fixed paraffin-embedded sections) - Anti-Chd1 antibody (AB244391)

Paraffin-embedded human skeletal muscle tissue stained for Chd1 using ab244391 at 1/50 dilution in immunohistochemical analysis.

No positivity in myocytes as expected.

Immunohistochemistry (Formalin/PFA-fixed paraffin-embedded sections) - Anti-Chd1 antibody (AB244391)
  • IHC-P

Unknown

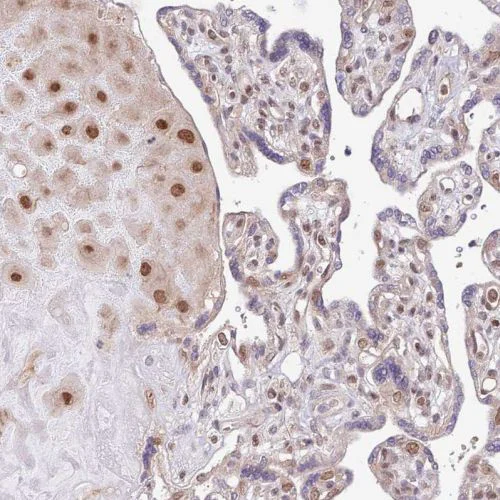
Immunohistochemistry (Formalin/PFA-fixed paraffin-embedded sections) - Anti-Chd1 antibody (AB244391)

Paraffin-embedded human endometrium tissue stained for Chd1 using ab244391 at 1/50 dilution in immunohistochemical analysis.

Immunohistochemistry (Formalin/PFA-fixed paraffin-embedded sections) - Anti-Chd1 antibody (AB244391)
  • IHC-P

Unknown

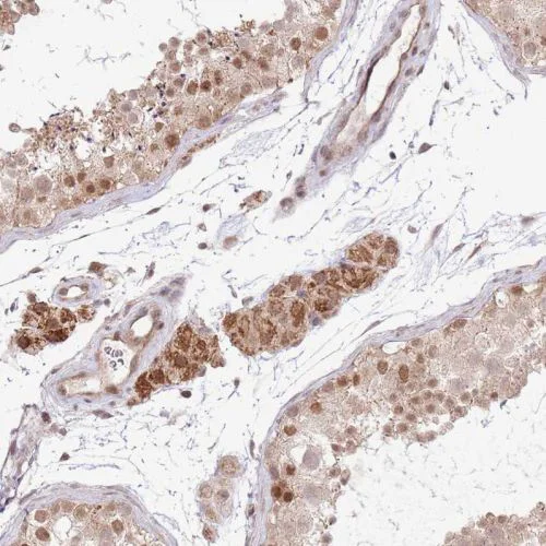
Immunohistochemistry (Formalin/PFA-fixed paraffin-embedded sections) - Anti-Chd1 antibody (AB244391)

Paraffin-embedded human testis tissue stained for Chd1 using ab244391 at 1/50 dilution in immunohistochemical analysis.

Immunocytochemistry/ Immunofluorescence - Anti-Chd1 antibody (AB244391)
  • ICC/IF

Unknown

Immunocytochemistry/ Immunofluorescence - Anti-Chd1 antibody (AB244391)

PFA-fixed, Triton X-100 permeabilized RH-30 cells stained for Chd1 (green) using ab244391 at 4 μg/ml in ICC/IF.

Key facts

Host species

Rabbit

Clonality

Polyclonal

Isotype

IgG

Carrier free

No

Reacts with

Human

Applications

ICC/IF, IHC-P

applications

Immunogen

Recombinant Fragment Protein within Human CHD1 aa 1500-1650. The exact immunogen used to generate this antibody is proprietary information.

O14646

Reactivity data

{ "title": "Reactivity Data", "filters": { "stats": ["", "Species", "Dilution Info", "Notes"], "tabs": { "all-applications": {"fullname" : "All Applications", "shortname": "All Applications"}, "IHCP" : {"fullname" : "Immunohistochemistry (Formalin/PFA-fixed paraffin-embedded sections)", "shortname":"IHC-P"}, "ICCIF" : {"fullname" : "Immunocytochemistry/ Immunofluorescence", "shortname":"ICC/IF"} }, "product-promise": { "all": "all", "testedAndGuaranteed": "tested", "guaranteed": "expected", "predicted": "predicted", "notRecommended": "not-recommended" } }, "values": { "Human": { "IHCP-species-checked": "testedAndGuaranteed", "IHCP-species-dilution-info": "1/50 - 1/200", "IHCP-species-notes": "<p></p> Perform heat-mediated antigen retrieval with citrate buffer pH 6 before commencing with IHC staining protocol.", "ICCIF-species-checked": "testedAndGuaranteed", "ICCIF-species-dilution-info": "0.25-2 µg/mL", "ICCIF-species-notes": "<p>Fixation/Permeabilization: PFA/Triton X-100.</p>" }, "Mouse": { "IHCP-species-checked": "predicted", "IHCP-species-dilution-info": "", "IHCP-species-notes": "", "ICCIF-species-checked": "predicted", "ICCIF-species-dilution-info": "", "ICCIF-species-notes": "" } } }

Properties and storage information

Form
Liquid
Purification technique
Affinity purification Immunogen
Storage buffer
pH: 7.2 Preservative: 0.02% Sodium azide Constituents: PBS, 40% Glycerol (glycerin, glycerine)
Shipped at conditions
Blue Ice
Appropriate short-term storage duration
1-2 weeks
Appropriate short-term storage conditions
+4°C
Appropriate long-term storage conditions
-20°C
Aliquoting information
Upon delivery aliquot
Storage information
Avoid freeze / thaw cycle

Product protocols

For this product, it's our understanding that no specific protocols are required. You can visit:

Target data

ATP-dependent chromatin-remodeling factor which functions as substrate recognition component of the transcription regulatory histone acetylation (HAT) complex SAGA. Regulates polymerase II transcription. Also required for efficient transcription by RNA polymerase I, and more specifically the polymerase I transcription termination step. Regulates negatively DNA replication. Not only involved in transcription-related chromatin-remodeling, but also required to maintain a specific chromatin configuration across the genome. Is also associated with histone deacetylase (HDAC) activity (By similarity). Required for the bridging of SNF2, the FACT complex, the PAF complex as well as the U2 snRNP complex to H3K4me3. Functions to modulate the efficiency of pre-mRNA splicing in part through physical bridging of spliceosomal components to H3K4me3 (PubMed : 18042460, PubMed : 28866611). Required for maintaining open chromatin and pluripotency in embryonic stem cells (By similarity).
See full target information CHD1

Publications (1)

Recent publications for all applications. Explore the full list and refine your search

Heliyon 7:e08085 PubMed34632150

2021

Age-related differences in hypoxia-associated genes and cytokine profile in male Wistar rats.

Applications

Unspecified application

Species

Unspecified reactive species

Dzhuliia Dzhalilova,Anna Kosyreva,Polina Vishnyakova,Natalia Zolotova,Ivan Tsvetkov,Vladimir Mkhitarov,Liliya Mikhailova,Lev Kakturskiy,Olga Makarova
View all publications

Product promise

We are committed to supporting your work with high-quality reagents, and we're here for you every step of the way. In the unlikely event that one of our products does not perform as expected, you're protected by our Product Promise.
For full details, please see our Terms & Conditions

Please note: All products are 'FOR RESEARCH USE ONLY. NOT FOR USE IN DIAGNOSTIC OR THERAPEUTIC PROCEDURES'.

For licensing inquiries, please contact partnerships@abcam.com