JavaScript is disabled in your browser. Please enable JavaScript to view this website.
AB303486

Anti-Chd1 antibody [EPR23534-403]

  • 20ul selling size
  • RabMAb
  • Recombinant
  • KO Validated
  • What is this?

Be the first to review this product! Submit a review

|

(0 Publication)

Rabbit Recombinant Monoclonal CHD1 antibody. Suitable for WB and reacts with Human samples.

View Alternative Names

Chromodomain-helicase-DNA-binding protein 1, CHD-1, ATP-dependent helicase CHD1, CHD1

3 Images
Western blot - Anti-Chd1 antibody [EPR23534-403] (AB303486)
  • WB

Lab

Western blot - Anti-Chd1 antibody [EPR23534-403] (AB303486)

The identity of the bands between 40 kDa and 100 kDa are non-specific.

Lysates/proteins at 20 µg per lane.

Performed under reducing conditions.

False colour image of Western blot : Anti-Chd1 antibody [EPR23534-403] (ab303486) staining at 1/1000 dilution, shown in green; Mouse anti-GAPDH antibody [6C5] (ab8245) loading control staining at 1/20000 dilution, shown in red. In Western blot, ab303486 was shown to bind specifically to Chd1. A band was observed at 250 kDa in wild-type HEK-293 cell lysates whereas no signal observed at this size in HEK-293 knockout cell line ab266512 (knockout cell lysate 263151). To generate this image, wild-type and Chd1 knockout HEK-293 cell lysates were analysed. First, samples were run on an SDS-PAGE gel then transferred onto an immobilon-FL PVDF membrane. Membranes were blocked in in Intercept® (TBS) Blocking Buffer diluted with an equal volume of 0.1% TBS before incubation with primary antibodies overnight at 4 °C. Blots were washed four times in TBS-T, incubated with secondary antibodies for 1 h at room temperature, washed again four times then imaged. Secondary antibodies used were Goat anti-Rabbit IgG H&L (IRDye® 800CW) preabsorbed (ab216773) and Goat anti-Mouse IgG H&L (IRDye® 680RD) preabsorbed (ab216776) at 1/20000 dilution.

All lanes:

Western blot - Anti-Chd1 antibody [EPR23534-403] (ab303486) at 1/1000 dilution

Lane 1:

Wild-type HEK-293 (human embryonic kidney epithelial cell), whole cell lysate

Lane 2:

Chd1 knockout HEK-293 whole cell lysate

Lane 3:

LNCaP (human prostate carcinoma epithelial cell), whole cell lysate

Lane 4:

K562 (human chronic myelogenous leukemia lymphoblast), whole cell lysate

Secondary

All lanes:

Western blot - Goat anti-Mouse IgG H&L (IRDye® 680RD) preadsorbed (<a href='/en-us/products/secondary-antibodies/goat-mouse-igg-h-l-irdye-680rd-preadsorbed-ab216776'>ab216776</a>) at 1/100000 dilution

Observed band size: 250 kDa

false

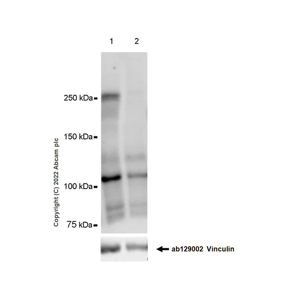
Western blot - Anti-Chd1 antibody [EPR23534-403] (AB303486)
  • WB

Lab

Western blot - Anti-Chd1 antibody [EPR23534-403] (AB303486)

Blocking and diluting buffer and concentration : 5% NFDM/TBST.

In Western blot, ab303486 was shown to bind specifically to Chd1. A band was observed at 250 kDa in wide-type HEK-293T cell lysates with no signal observed at this size in Chd1 knockout cell line ab266512 (knockout cell lysate 263151).

All lanes:

Western blot - Anti-Chd1 antibody [EPR23534-403] (ab303486) at 1/1000 dilution

Lane 1:

Wild-type HEK-293T (human embryonic kidney epithelial cell), cell lysate at 20 µg

Lane 2:

Chd1 knockout HEK-293T, cell lysate at 20 µg

Secondary

All lanes:

Western blot - Goat Anti-Rabbit IgG H&L (HRP) (<a href='/en-us/products/secondary-antibodies/goat-rabbit-igg-h-l-hrp-ab97051'>ab97051</a>) at 1/20000 dilution

Observed band size: 250 kDa

false

Exposure time: 48s

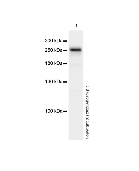
Western blot - Anti-Chd1 antibody [EPR23534-403] (AB303486)
  • WB

Lab

Western blot - Anti-Chd1 antibody [EPR23534-403] (AB303486)

Blocking and diluting buffer and concentration : 5% NFDM/TBST.

Lysates were freshly made and used immediately to minimize protein degradation.

All lanes:

Western blot - Anti-Chd1 antibody [EPR23534-403] (ab303486) at 1/1000 dilution

All lanes:

K562 (human chronic myelogenous leukemia lymphoblast), whole cell lysate at 20 µg

Secondary

All lanes:

Western blot - Goat Anti-Rabbit IgG H&L (HRP) (<a href='/en-us/products/secondary-antibodies/goat-rabbit-igg-h-l-hrp-ab97051'>ab97051</a>) at 1/20000 dilution

Observed band size: 250 kDa

false

Exposure time: 15s

Key facts

Host species

Rabbit

Clonality

Monoclonal

Clone number

EPR23534-403

Isotype

IgG

Carrier free

No

Reacts with

Human

Applications

WB

applications

Immunogen

The exact immunogen used to generate this antibody is proprietary information.

Reactivity data

{ "title": "Reactivity Data", "filters": { "stats": ["", "Species", "Dilution Info", "Notes"], "tabs": { "all-applications": {"fullname" : "All Applications", "shortname": "All Applications"}, "WB" : {"fullname" : "Western blot", "shortname":"WB"}, "IHCP" : {"fullname" : "Immunohistochemistry (Formalin/PFA-fixed paraffin-embedded sections)", "shortname":"IHC-P"}, "ICCIF" : {"fullname" : "Immunocytochemistry/ Immunofluorescence", "shortname":"ICC/IF"}, "FlowCytIntra" : {"fullname" : "Flow Cytometry (Intracellular)", "shortname":"Flow Cyt (Intra)"}, "IP" : {"fullname" : "Immunoprecipitation", "shortname":"IP"}, "ChIP" : {"fullname" : "ChIP", "shortname":"ChIP"} }, "product-promise": { "all": "all", "testedAndGuaranteed": "tested", "guaranteed": "expected", "predicted": "predicted", "notRecommended": "not-recommended" } }, "values": { "Human": { "WB-species-checked": "testedAndGuaranteed", "WB-species-dilution-info": "1/1000", "WB-species-notes": "<p>We suggest using freshly made lysate to get better results.</p>", "IHCP-species-checked": "notRecommended", "IHCP-species-dilution-info": "", "IHCP-species-notes": "<p></p>", "ICCIF-species-checked": "notRecommended", "ICCIF-species-dilution-info": "", "ICCIF-species-notes": "<p></p>", "FlowCytIntra-species-checked": "notRecommended", "FlowCytIntra-species-dilution-info": "", "FlowCytIntra-species-notes": "<p></p>", "IP-species-checked": "notRecommended", "IP-species-dilution-info": "", "IP-species-notes": "<p></p>", "ChIP-species-checked": "notRecommended", "ChIP-species-dilution-info": "", "ChIP-species-notes": "<p></p>" }, "Mouse": { "WB-species-checked": "notRecommended", "WB-species-dilution-info": "", "WB-species-notes": "", "IHCP-species-checked": "notRecommended", "IHCP-species-dilution-info": "", "IHCP-species-notes": "<p></p>", "ICCIF-species-checked": "notRecommended", "ICCIF-species-dilution-info": "", "ICCIF-species-notes": "<p></p>", "FlowCytIntra-species-checked": "notRecommended", "FlowCytIntra-species-dilution-info": "", "FlowCytIntra-species-notes": "<p></p>", "IP-species-checked": "notRecommended", "IP-species-dilution-info": "", "IP-species-notes": "", "ChIP-species-checked": "notRecommended", "ChIP-species-dilution-info": "", "ChIP-species-notes": "<p></p>" }, "Rat": { "WB-species-checked": "notRecommended", "WB-species-dilution-info": "", "WB-species-notes": "", "IHCP-species-checked": "notRecommended", "IHCP-species-dilution-info": "", "IHCP-species-notes": "<p></p>", "ICCIF-species-checked": "notRecommended", "ICCIF-species-dilution-info": "", "ICCIF-species-notes": "", "FlowCytIntra-species-checked": "notRecommended", "FlowCytIntra-species-dilution-info": "", "FlowCytIntra-species-notes": "", "IP-species-checked": "notRecommended", "IP-species-dilution-info": "", "IP-species-notes": "", "ChIP-species-checked": "notRecommended", "ChIP-species-dilution-info": "", "ChIP-species-notes": "" } } }

Product details

Patented technology
Our RabMAb® technology is a patented hybridoma-based technology for making rabbit monoclonal antibodies. For details on our patents, please refer to RabMAb® patents.

What are the advantages of a recombinant monoclonal antibody?
This product is a recombinant monoclonal antibody, which offers several advantages including:

  • - High batch-to-batch consistency and reproducibility
  • - Improved sensitivity and specificity
  • - Long-term security of supply
  • - Animal-free batch production

For more information, read more on recombinant antibodies.

Properties and storage information

Form
Liquid
Purification technique
Affinity purification Protein A
Storage buffer
pH: 7.2 - 7.4 Preservative: 0.01% Sodium azide Constituents: PBS, 40% Glycerol (glycerin, glycerine), 0.05% BSA
Shipped at conditions
Blue Ice
Appropriate short-term storage duration
1-2 weeks
Appropriate short-term storage conditions
+4°C
Appropriate long-term storage conditions
-20°C
Aliquoting information
Upon delivery aliquot
Storage information
Avoid freeze / thaw cycle

Product protocols

For this product, it's our understanding that no specific protocols are required. You can visit:

Target data

ATP-dependent chromatin-remodeling factor which functions as substrate recognition component of the transcription regulatory histone acetylation (HAT) complex SAGA. Regulates polymerase II transcription. Also required for efficient transcription by RNA polymerase I, and more specifically the polymerase I transcription termination step. Regulates negatively DNA replication. Not only involved in transcription-related chromatin-remodeling, but also required to maintain a specific chromatin configuration across the genome. Is also associated with histone deacetylase (HDAC) activity (By similarity). Required for the bridging of SNF2, the FACT complex, the PAF complex as well as the U2 snRNP complex to H3K4me3. Functions to modulate the efficiency of pre-mRNA splicing in part through physical bridging of spliceosomal components to H3K4me3 (PubMed : 18042460, PubMed : 28866611). Required for maintaining open chromatin and pluripotency in embryonic stem cells (By similarity).
See full target information CHD1

Product promise

We are committed to supporting your work with high-quality reagents, and we're here for you every step of the way. In the unlikely event that one of our products does not perform as expected, you're protected by our Product Promise.
For full details, please see our Terms & Conditions

Please note: All products are 'FOR RESEARCH USE ONLY. NOT FOR USE IN DIAGNOSTIC OR THERAPEUTIC PROCEDURES'.

For licensing inquiries, please contact partnerships@abcam.com