JavaScript is disabled in your browser. Please enable JavaScript to view this website.
AB202132

Anti-CHD5 antibody - C-terminal

Be the first to review this product! Submit a review

|

(1 Publication)

Rabbit Polyclonal CHD5 antibody. C-terminal. Suitable for IHC-P and reacts with Human samples. Cited in 1 publication. Immunogen corresponding to Synthetic Peptide within Human CHD5.

View Alternative Names

KIAA0444, CHD5, Chromodomain-helicase-DNA-binding protein 5, CHD-5, ATP-dependent helicase CHD5

2 Images
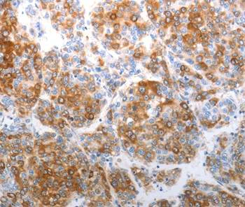
Immunohistochemistry (Formalin/PFA-fixed paraffin-embedded sections) - Anti-CHD5 antibody - C-terminal (AB202132)
  • IHC-P

Supplier Data

Immunohistochemistry (Formalin/PFA-fixed paraffin-embedded sections) - Anti-CHD5 antibody - C-terminal (AB202132)

Immunohistochemical analysis of paraffin-embedded human tonsil cancer tissue labeling CHD5 with ab202132 at 1/40.

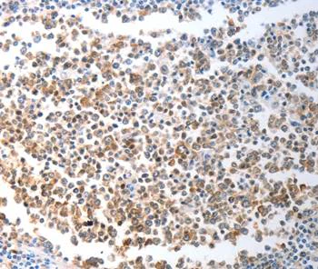
Immunohistochemistry (Formalin/PFA-fixed paraffin-embedded sections) - Anti-CHD5 antibody - C-terminal (AB202132)
  • IHC-P

Supplier Data

Immunohistochemistry (Formalin/PFA-fixed paraffin-embedded sections) - Anti-CHD5 antibody - C-terminal (AB202132)

Immunohistochemical analysis of paraffin-embedded human liver cancer tissue labeling CHD5 with ab202132 at 1/40.

Key facts

Host species

Rabbit

Clonality

Polyclonal

Isotype

IgG

Carrier free

No

Reacts with

Human

Applications

IHC-P

applications

Immunogen

Synthetic Peptide within Human CHD5. The exact immunogen used to generate this antibody is proprietary information.

Q8TDI0

Reactivity data

{ "title": "Reactivity Data", "filters": { "stats": ["", "Species", "Dilution Info", "Notes"], "tabs": { "all-applications": {"fullname" : "All Applications", "shortname": "All Applications"}, "IHCP" : {"fullname" : "Immunohistochemistry (Formalin/PFA-fixed paraffin-embedded sections)", "shortname":"IHC-P"} }, "product-promise": { "all": "all", "testedAndGuaranteed": "tested", "guaranteed": "expected", "predicted": "predicted", "notRecommended": "not-recommended" } }, "values": { "Human": { "IHCP-species-checked": "testedAndGuaranteed", "IHCP-species-dilution-info": "1/25 - 1/100", "IHCP-species-notes": "<p></p> Perform heat-mediated antigen retrieval before commencing with IHC staining protocol." } } }

Properties and storage information

Form
Liquid
Purification technique
Affinity purification Immunogen
Storage buffer
pH: 7.4 Preservative: 0.05% Sodium azide Constituents: PBS, 50% Glycerol (glycerin, glycerine)
Shipped at conditions
Blue Ice
Appropriate short-term storage duration
1-2 weeks
Appropriate short-term storage conditions
+4°C
Appropriate long-term storage conditions
-20°C
Aliquoting information
Upon delivery aliquot
Storage information
Avoid freeze / thaw cycle

Supplementary information

This supplementary information is collated from multiple sources and compiled automatically.

CHD5 also known as Chromodomain Helicase DNA Binding Protein 5 is a member of the chromodomain helicase DNA-binding family of proteins. CHD5 weighs around 240 kDa and plays a significant role in chromatin remodeling impacting gene transcription regulation. This protein is primarily expressed in neural tissues particularly in the brain where it influences neuronal differentiation and development. As part of a larger family CHD5 shares structural similarities with other CHD proteins involved in modifying the structure of chromatin.
Biological function summary

CHD5 acts as a tumor suppressor influencing cell cycle progression and apoptosis. It interacts with nucleosome structures as part of a larger chromatin remodeling complex. Through its activity CHD5 affects transcriptional regulation of several genes involved in neurodevelopment and carcinogenesis. It works in coordination with other chromatin remodelers such as CHD4 to maintain genomic stability by facilitating appropriate DNA packaging and gene accessibility.

Pathways

CHD5 interacts with pathways involved in cell cycle regulation and DNA damage response. It plays an important role in the p53 signaling pathway an important pathway maintaining genomic integrity and preventing tumor formation. CHD5 interacts with proteins such as p53 and HDAC1 contributing to the transcriptional regulation tasks essential for maintaining cellular homeostasis and preventing oncogenic transformations.

CHD5 has a strong association with neurodegenerative diseases and various cancers. Low expression levels of CHD5 have been linked to neuroblastoma and glioma conditions where its tumor-suppressive role is compromised. The protein’s interaction with p53 highlights its importance in activation pathways suppressed in cancerous cells. Additionally its chromatin remodeling function may hint at important insights in treating these diseases through targeted genetic or therapeutic interventions.

Product protocols

For this product, it's our understanding that no specific protocols are required. You can visit:

Target data

Chromatin-remodeling protein that binds DNA through histones and regulates gene transcription. May specifically recognize and bind trimethylated 'Lys-27' (H3K27me3) and non-methylated 'Lys-4' of histone H3. Acts as a component of the histone deacetylase NuRD complex which participates in the remodeling of chromatin. Plays a role in the development of the nervous system by activating the expression of genes promoting neuron terminal differentiation. In parallel, it may also positively regulate the trimethylation of histone H3 at 'Lys-27' thereby specifically repressing genes that promote the differentiation into non-neuronal cell lineages. Regulates the expression of genes involved in cell proliferation and differentiation. Downstream activated genes may include CDKN2A that positively regulates the p53/TP53 pathway, which in turn, prevents cell proliferation. In spermatogenesis, it probably regulates histone hyperacetylation and the replacement of histones by transition proteins in chromatin, a crucial step in the condensation of spermatid chromatin and the production of functional spermatozoa.
See full target information CHD5

Publications (1)

Recent publications for all applications. Explore the full list and refine your search

Molecular psychiatry 26:3558-3571 PubMed32839513

2020

Inositol monophosphatase 1 (IMPA1) mutation in intellectual disability patients impairs neurogenesis but not gliogenesis.

Applications

Unspecified application

Species

Unspecified reactive species

Thalita Figueiredo,Ana P D Mendes,Danielle P Moreira,Ernesto Goulart,Danyllo Oliveira,Gerson S Kobayashi,Shani Stern,Fernando Kok,Maria C Marchetto,Renata Santos,Fred H Gage,Mayana Zatz
View all publications

Product promise

We are committed to supporting your work with high-quality reagents, and we're here for you every step of the way. In the unlikely event that one of our products does not perform as expected, you're protected by our Product Promise.
For full details, please see our Terms & Conditions

Please note: All products are 'FOR RESEARCH USE ONLY. NOT FOR USE IN DIAGNOSTIC OR THERAPEUTIC PROCEDURES'.

For licensing inquiries, please contact partnerships@abcam.com