JavaScript is disabled in your browser. Please enable JavaScript to view this website.
AB300437

Anti-CHD5 antibody [EPR23858-3-8]

Be the first to review this product! Submit a review

|

(1 Publication)

Rabbit Recombinant Monoclonal CHD5 antibody. Suitable for Flow Cyt (Intra), ICC/IF, IHC-P, WB and reacts with Human samples. Cited in 1 publication.

View Alternative Names

KIAA0444, CHD5, Chromodomain-helicase-DNA-binding protein 5, CHD-5, ATP-dependent helicase CHD5

6 Images
Immunohistochemistry (Formalin/PFA-fixed paraffin-embedded sections) - Anti-CHD5 antibody [EPR23858-3-8] (AB300437)
  • IHC-P

Supplier Data

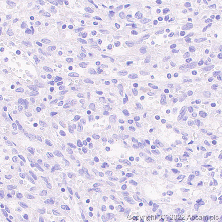
Immunohistochemistry (Formalin/PFA-fixed paraffin-embedded sections) - Anti-CHD5 antibody [EPR23858-3-8] (AB300437)

Immunohistochemical analysis of paraffin-embedded human spleen tissue labeling CHD5 with ab300437 at 1/2000 dilution (0.237 µg/mL) followed by a ready to use Rabbit specific IHC polymer detection kit HRP/DAB (ab209101). Negative control : No staining on human spleen. The section was incubated with ab300437 at 4°C overnight. Counterstained with Hematoxylin. Secondary antibody only control : Secondary antibody is a ready to use Rabbit specific IHC polymer detection kit HRP/DAB (ab209101). Heat mediated antigen retrieval using ab208572 (Universal HIER antigen retrieval reagent)

Immunohistochemistry (Formalin/PFA-fixed paraffin-embedded sections) - Anti-CHD5 antibody [EPR23858-3-8] (AB300437)
  • IHC-P

Supplier Data

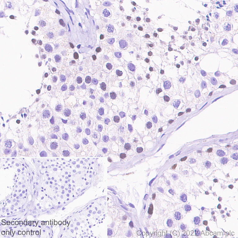
Immunohistochemistry (Formalin/PFA-fixed paraffin-embedded sections) - Anti-CHD5 antibody [EPR23858-3-8] (AB300437)

Immunohistochemical analysis of paraffin-embedded human testis tissue labeling CHD5 with ab300437 at 1/2000 dilution (0.237 µg/mL) followed by a ready to use Rabbit specific IHC polymer detection kit HRP/DAB (ab209101). Nuclear staining on human testis. The section was incubated with ab300437 at 4°C overnight. Counterstained with Hematoxylin. Secondary antibody only control : Secondary antibody is a ready to use Rabbit specific IHC polymer detection kit HRP/DAB (ab209101). Heat mediated antigen retrieval using ab208572 (Universal HIER antigen retrieval reagent)

Immunohistochemistry (Formalin/PFA-fixed paraffin-embedded sections) - Anti-CHD5 antibody [EPR23858-3-8] (AB300437)
  • IHC-P

Supplier Data

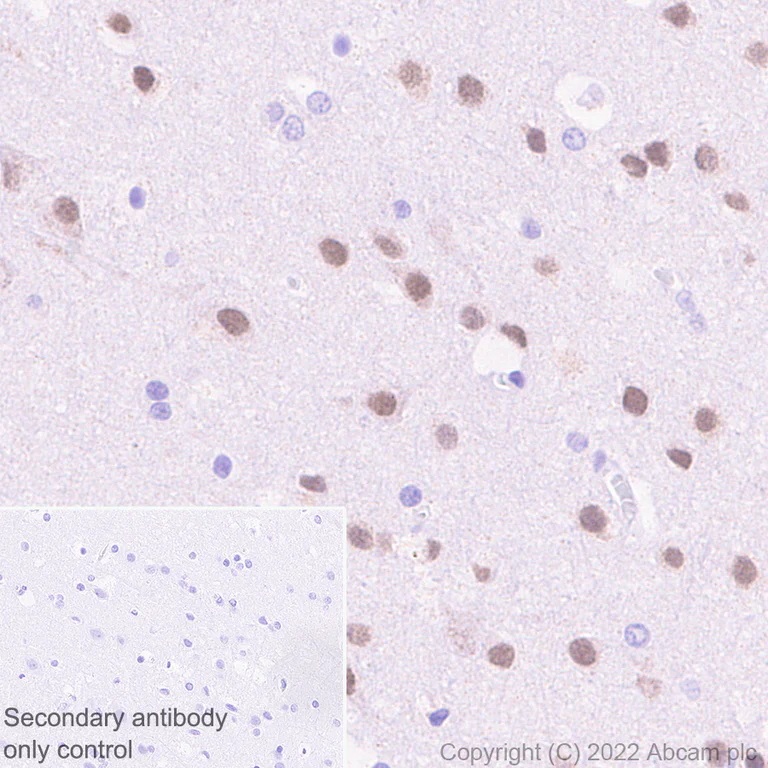
Immunohistochemistry (Formalin/PFA-fixed paraffin-embedded sections) - Anti-CHD5 antibody [EPR23858-3-8] (AB300437)

Immunohistochemical analysis of paraffin-embedded human cerebrum tissue labeling CHD5 with ab300437 at 1/2000 dilution (0.237 µg/mL) followed by a ready to use Rabbit specific IHC polymer detection kit HRP/DAB (ab209101). Nuclear staining on human cerebrum. The section was incubated with ab300437 at 4°C overnight. Counterstained with Hematoxylin. Secondary antibody only control : Secondary antibody is a ready to use Rabbit specific IHC polymer detection kit HRP/DAB (ab209101). Heat mediated antigen retrieval using ab208572 (Universal HIER antigen retrieval reagent)

Immunocytochemistry/ Immunofluorescence - Anti-CHD5 antibody [EPR23858-3-8] (AB300437)
  • ICC/IF

Supplier Data

Immunocytochemistry/ Immunofluorescence - Anti-CHD5 antibody [EPR23858-3-8] (AB300437)

Immunofluorescent analysis of 4% Paraformaldehyde-fixed, 0.1% TritonX-100 permeabilized PANC-1(human pancreatic epithelioid carcinoma epithelial cells) labeling CHD5 with ab300437 at 1/500 (0.948 µg/ml) dilution, followed by ab150081 Goat Anti-Rabbit IgG H&L (Alexa Fluor® 488) preadsorbed antibody at 1/1000 (2 µg/ml) dilution (Green). Confocal image showing nuclear staining in PANC-1 cell line. Negative control : HeLa (PMID : 29682202). ab195889 Anti-alpha Tubulin mouse monoclonal antibody - Microtubule Marker (Alexa Fluor® 594) was used to counterstain tubulin at 1/200 (2.5 µg/ml) dilution (Red). The Nuclear counterstain was DAPI (Blue). Secondary antibody only control : Secondary antibody is ab150081 Goat Anti-Rabbit IgG H&L (Alexa Fluor® 488) preadsorbed at 1/1000 (2 µg/ml) dilution.

Flow Cytometry (Intracellular) - Anti-CHD5 antibody [EPR23858-3-8] (AB300437)
  • Flow Cyt (Intra)

Lab

Flow Cytometry (Intracellular) - Anti-CHD5 antibody [EPR23858-3-8] (AB300437)

Intracellular flow cytometric analysis of 4% paraformaldehyde fixed 90% methanol permeabilized HeLa (human cervix adenocarcinoma epithelial cell Left) / PANC-1 (human pancreatic epithelioid carcinoma epithelial cell Right) cells labelling CHD5 with ab300437 at 1/500 dilution (0.1µg) (Red) compared with a Rabbit monoclonal IgG (ab172730) (Black) isotype control and an unlabeled control (cells without incubation with primary antibody and secondary antibody) (Blue). A Goat Anti-Rabbit IgG (Alexa Fluor® 488 ab150081) at 1/2000 dilution was used as the secondary antibody. Negative control : HeLa (PMID : 29682202).

Western blot - Anti-CHD5 antibody [EPR23858-3-8] (AB300437)
  • WB

Supplier Data

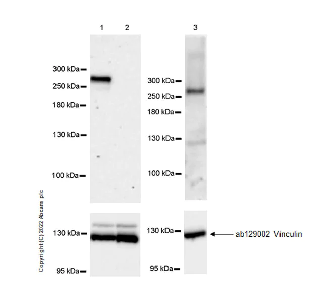
Western blot - Anti-CHD5 antibody [EPR23858-3-8] (AB300437)

The molecular weight observed is consistent with what has been described in the literature (PMID : 25247294). Negative control : HeLa (PMID : 21931736). Lysates were made freshly and used in WB immediately to minimize protein degradation. This blot of lane 3 was developed using a high sensitivity ECL substrate. Lanes 1-2 : ; lane 3 : 147 seconds. Blocking Buffer and concentration : 5% NFDM/TBST

All lanes:

Western blot - Anti-CHD5 antibody [EPR23858-3-8] (ab300437) at 1/1000 dilution

Lane 1:

PANC-1 (human pancreatic epithelioid carcinoma epithelial cell) whole cell lysate

Lane 2:

HeLa (human cervix adenocarcinoma epithelial cell) whole cell lysate

Lane 3:

IMR-32 (human neuroblastoma neuroblast) whole cell lysate

Secondary

All lanes:

Western blot - Goat Anti-Rabbit IgG H&L (HRP) (<a href='/en-us/products/secondary-antibodies/goat-rabbit-igg-h-l-hrp-ab97051'>ab97051</a>) at 1/20000 dilution

Observed band size: 260 kDa

false

  • Carrier free

    Anti-CHD5 antibody [EPR23858-3-8] - BSA and Azide free

Key facts

Host species

Rabbit

Clonality

Monoclonal

Clone number

EPR23858-3-8

Isotype

IgG

Carrier free

No

Reacts with

Human

Applications

ICC/IF, Flow Cyt (Intra), IHC-P, WB

applications

Immunogen

The exact immunogen used to generate this antibody is proprietary information.

Reactivity data

{ "title": "Reactivity Data", "filters": { "stats": ["", "Species", "Dilution Info", "Notes"], "tabs": { "all-applications": {"fullname" : "All Applications", "shortname": "All Applications"}, "FlowCytIntra" : {"fullname" : "Flow Cytometry (Intracellular)", "shortname":"Flow Cyt (Intra)"}, "IP" : {"fullname" : "Immunoprecipitation", "shortname":"IP"}, "ICCIF" : {"fullname" : "Immunocytochemistry/ Immunofluorescence", "shortname":"ICC/IF"}, "IHCP" : {"fullname" : "Immunohistochemistry (Formalin/PFA-fixed paraffin-embedded sections)", "shortname":"IHC-P"}, "WB" : {"fullname" : "Western blot", "shortname":"WB"} }, "product-promise": { "all": "all", "testedAndGuaranteed": "tested", "guaranteed": "expected", "predicted": "predicted", "notRecommended": "not-recommended" } }, "values": { "Human": { "FlowCytIntra-species-checked": "testedAndGuaranteed", "FlowCytIntra-species-dilution-info": "1/500", "FlowCytIntra-species-notes": "<p></p>", "IP-species-checked": "notRecommended", "IP-species-dilution-info": "1/30", "IP-species-notes": "<p></p>", "ICCIF-species-checked": "testedAndGuaranteed", "ICCIF-species-dilution-info": "1/500", "ICCIF-species-notes": "<p></p>", "IHCP-species-checked": "testedAndGuaranteed", "IHCP-species-dilution-info": "1/2000", "IHCP-species-notes": "<p></p> Perform heat-mediated antigen retrieval before commencing with IHC staining protocol.", "WB-species-checked": "testedAndGuaranteed", "WB-species-dilution-info": "1/1000", "WB-species-notes": "<p></p>" }, "Mouse": { "FlowCytIntra-species-checked": "notRecommended", "FlowCytIntra-species-dilution-info": "1/500", "FlowCytIntra-species-notes": "<p></p>", "IP-species-checked": "notRecommended", "IP-species-dilution-info": "", "IP-species-notes": "", "ICCIF-species-checked": "notRecommended", "ICCIF-species-dilution-info": "", "ICCIF-species-notes": "", "IHCP-species-checked": "notRecommended", "IHCP-species-dilution-info": "1/2000", "IHCP-species-notes": "<p></p> Perform heat-mediated antigen retrieval before commencing with IHC staining protocol.", "WB-species-checked": "notRecommended", "WB-species-dilution-info": "1/1000", "WB-species-notes": "<p></p>" }, "Rat": { "FlowCytIntra-species-checked": "notRecommended", "FlowCytIntra-species-dilution-info": "", "FlowCytIntra-species-notes": "", "IP-species-checked": "notRecommended", "IP-species-dilution-info": "", "IP-species-notes": "", "ICCIF-species-checked": "notRecommended", "ICCIF-species-dilution-info": "", "ICCIF-species-notes": "", "IHCP-species-checked": "notRecommended", "IHCP-species-dilution-info": "1/2000", "IHCP-species-notes": "<p></p> Perform heat-mediated antigen retrieval before commencing with IHC staining protocol.", "WB-species-checked": "notRecommended", "WB-species-dilution-info": "1/1000", "WB-species-notes": "<p></p>" } } }

Product details

Patented technology
Our RabMAb® technology is a patented hybridoma-based technology for making rabbit monoclonal antibodies. For details on our patents, please refer to RabMAb® patents.

What are the advantages of a recombinant monoclonal antibody?
This product is a recombinant monoclonal antibody, which offers several advantages including:

  • - High batch-to-batch consistency and reproducibility
  • - Improved sensitivity and specificity
  • - Long-term security of supply
  • - Animal-free batch production

For more information, read more on recombinant antibodies.

Properties and storage information

Form
Liquid
Purification technique
Affinity purification Protein A
Storage buffer
pH: 7.2 - 7.4 Preservative: 0.01% Sodium azide Constituents: PBS, 40% Glycerol (glycerin, glycerine), 0.05% BSA
Shipped at conditions
Blue Ice
Appropriate short-term storage duration
1-2 weeks
Appropriate short-term storage conditions
+4°C
Appropriate long-term storage conditions
-20°C
Aliquoting information
Upon delivery aliquot
Storage information
Avoid freeze / thaw cycle

Supplementary information

This supplementary information is collated from multiple sources and compiled automatically.

CHD5 also known as Chromodomain Helicase DNA Binding Protein 5 is a member of the chromodomain helicase DNA-binding family of proteins. CHD5 weighs around 240 kDa and plays a significant role in chromatin remodeling impacting gene transcription regulation. This protein is primarily expressed in neural tissues particularly in the brain where it influences neuronal differentiation and development. As part of a larger family CHD5 shares structural similarities with other CHD proteins involved in modifying the structure of chromatin.
Biological function summary

CHD5 acts as a tumor suppressor influencing cell cycle progression and apoptosis. It interacts with nucleosome structures as part of a larger chromatin remodeling complex. Through its activity CHD5 affects transcriptional regulation of several genes involved in neurodevelopment and carcinogenesis. It works in coordination with other chromatin remodelers such as CHD4 to maintain genomic stability by facilitating appropriate DNA packaging and gene accessibility.

Pathways

CHD5 interacts with pathways involved in cell cycle regulation and DNA damage response. It plays an important role in the p53 signaling pathway an important pathway maintaining genomic integrity and preventing tumor formation. CHD5 interacts with proteins such as p53 and HDAC1 contributing to the transcriptional regulation tasks essential for maintaining cellular homeostasis and preventing oncogenic transformations.

CHD5 has a strong association with neurodegenerative diseases and various cancers. Low expression levels of CHD5 have been linked to neuroblastoma and glioma conditions where its tumor-suppressive role is compromised. The protein’s interaction with p53 highlights its importance in activation pathways suppressed in cancerous cells. Additionally its chromatin remodeling function may hint at important insights in treating these diseases through targeted genetic or therapeutic interventions.

Product protocols

For this product, it's our understanding that no specific protocols are required. You can visit:

Target data

Chromatin-remodeling protein that binds DNA through histones and regulates gene transcription. May specifically recognize and bind trimethylated 'Lys-27' (H3K27me3) and non-methylated 'Lys-4' of histone H3. Acts as a component of the histone deacetylase NuRD complex which participates in the remodeling of chromatin. Plays a role in the development of the nervous system by activating the expression of genes promoting neuron terminal differentiation. In parallel, it may also positively regulate the trimethylation of histone H3 at 'Lys-27' thereby specifically repressing genes that promote the differentiation into non-neuronal cell lineages. Regulates the expression of genes involved in cell proliferation and differentiation. Downstream activated genes may include CDKN2A that positively regulates the p53/TP53 pathway, which in turn, prevents cell proliferation. In spermatogenesis, it probably regulates histone hyperacetylation and the replacement of histones by transition proteins in chromatin, a crucial step in the condensation of spermatid chromatin and the production of functional spermatozoa.
See full target information CHD5

Publications (1)

Recent publications for all applications. Explore the full list and refine your search

Discover oncology 16:377 PubMed40121577

2025

Cell death pathway regulation by fatty acid metabolism-related genes in neuroblastoma: a multi-omics analysis identifying CHD5 as a novel biomarker.

Applications

Unspecified application

Species

Unspecified reactive species

Yankun Chen,Junzhi Liu,Yubin Jia,Jiaxing Yang,Yan Jin,Yun Liu,Benfu Zhong,Qiang Zhao
View all publications

Product promise

We are committed to supporting your work with high-quality reagents, and we're here for you every step of the way. In the unlikely event that one of our products does not perform as expected, you're protected by our Product Promise.
For full details, please see our Terms & Conditions

Please note: All products are 'FOR RESEARCH USE ONLY. NOT FOR USE IN DIAGNOSTIC OR THERAPEUTIC PROCEDURES'.

For licensing inquiries, please contact partnerships@abcam.com