JavaScript is disabled in your browser. Please enable JavaScript to view this website.
AB307831

Anti-CHD5 antibody [EPR27395-47]

Be the first to review this product! Submit a review

|

(0 Publication)

Rabbit Recombinant Monoclonal CHD5 antibody. Suitable for WB and reacts with Human, Mouse, Rat samples.

View Alternative Names

Kiaa0444, Chd5, ATP-dependent chromatin remodeler CHD5, Chromo domain-containing protein 5, CHD-5

3 Images
Western blot - Anti-CHD5 antibody [EPR27395-47] (AB307831)
  • WB

Supplier Data

Western blot - Anti-CHD5 antibody [EPR27395-47] (AB307831)

Blocking and diluting buffer and concentration : 5% NFDM/TBST Negative control : HeLa (PMID : 21931736). Lysates were made freshly and used in WB immediately to minimize protein degradation. The identity of the bands between 15 kDa and 100 kDa are unknown. In Western blot, anti-GAPDH antibody (ab181602) loading control staining at 1/200,000 dilution. Exposure time : 37 seconds

All lanes:

Western blot - Anti-CHD5 antibody [EPR27395-47] (ab307831) at 1/1000 dilution

Lane 1:

PANC-1 (human pancreatic epithelioid carcinoma epithelial cell) whole cell lysate at 20 µg

Lane 2:

HeLa (human cervical adenocarcinoma epithelial cell) whole cell lysate at 20 µg

Secondary

All lanes:

Western blot - Goat Anti-Rabbit IgG H&L (HRP) (<a href='/en-us/products/secondary-antibodies/goat-rabbit-igg-h-l-hrp-ab97051'>ab97051</a>) at 1/100000 dilution

Observed band size: 260 kDa

false

Exposure time: 37s

Western blot - Anti-CHD5 antibody [EPR27395-47] (AB307831)
  • WB

Supplier Data

Western blot - Anti-CHD5 antibody [EPR27395-47] (AB307831)

Blocking and diluting buffer and concentration : 5% NFDM/TBST Negative control : liver, spleen (PMID : 24849318). Lysates were made freshly and used in WB immediately to minimize protein degradation. The identity of the bands between 100 kDa and 180 kDa are unknown. In Western blot, anti- Vinculin antibody (ab129002) loading control staining at 1/10,000 dilution. Exposure time : 114 seconds

All lanes:

Western blot - Anti-CHD5 antibody [EPR27395-47] (ab307831) at 1/1000 dilution

Lane 1:

Rat brain tissue lysate at 20 µg

Lane 2:

Rat liver tissue lysate at 20 µg

Lane 3:

Rat spleen tissue lysate at 20 µg

Secondary

All lanes:

Western blot - Goat Anti-Rabbit IgG H&L (HRP) (<a href='/en-us/products/secondary-antibodies/goat-rabbit-igg-h-l-hrp-ab97051'>ab97051</a>) at 1/100000 dilution

Observed band size: 260 kDa

false

Exposure time: 114s

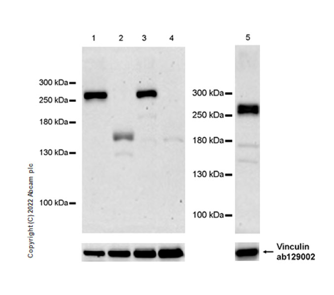
Western blot - Anti-CHD5 antibody [EPR27395-47] (AB307831)
  • WB

Supplier Data

Western blot - Anti-CHD5 antibody [EPR27395-47] (AB307831)

Blocking and diluting buffer and concentration : 5% NFDM/TBST Negative control : liver, spleen (PMID : 24849318). Lysates were made freshly and used in WB immediately to minimize protein degradation. The identity of the bands between 130 kDa and 200 kDa are unknown. In Western blot, anti- Vinculin antibody (ab129002) loading control staining at 1/10,000 dilution. Exposure time : 180 seconds

All lanes:

Western blot - Anti-CHD5 antibody [EPR27395-47] (ab307831) at 1/1000 dilution

Lane 1:

Mouse brain tissue lysate at 20 µg

Lane 2:

Mouse liver tissue lysate at 20 µg

Lane 3:

Mouse testis tissue lysate at 20 µg

Lane 4:

Mouse spleen tissue lysate at 20 µg

Lane 5:

Neuro-2a (mouse neuroblastoma neuroblast) whole cell lysate at 20 µg

Secondary

All lanes:

Western blot - Goat Anti-Rabbit IgG H&L (HRP) (<a href='/en-us/products/secondary-antibodies/goat-rabbit-igg-h-l-hrp-ab97051'>ab97051</a>) at 1/100000 dilution

Observed band size: 260 kDa

false

Exposure time: 180s

  • Carrier free

    Anti-CHD5 antibody [EPR27395-47] - BSA and Azide free

Key facts

Host species

Rabbit

Clonality

Monoclonal

Clone number

EPR27395-47

Isotype

IgG

Carrier free

No

Reacts with

Human, Mouse, Rat

Applications

WB

applications

Immunogen

The exact immunogen used to generate this antibody is proprietary information.

Reactivity data

{ "title": "Reactivity Data", "filters": { "stats": ["", "Species", "Dilution Info", "Notes"], "tabs": { "all-applications": {"fullname" : "All Applications", "shortname": "All Applications"}, "WB" : {"fullname" : "Western blot", "shortname":"WB"}, "IHCP" : {"fullname" : "Immunohistochemistry (Formalin/PFA-fixed paraffin-embedded sections)", "shortname":"IHC-P"}, "ICCIF" : {"fullname" : "Immunocytochemistry/ Immunofluorescence", "shortname":"ICC/IF"}, "FlowCytIntra" : {"fullname" : "Flow Cytometry (Intracellular)", "shortname":"Flow Cyt (Intra)"}, "IP" : {"fullname" : "Immunoprecipitation", "shortname":"IP"} }, "product-promise": { "all": "all", "testedAndGuaranteed": "tested", "guaranteed": "expected", "predicted": "predicted", "notRecommended": "not-recommended" } }, "values": { "Human": { "WB-species-checked": "testedAndGuaranteed", "WB-species-dilution-info": "1/1000", "WB-species-notes": "<p></p>", "IHCP-species-checked": "notRecommended", "IHCP-species-dilution-info": "", "IHCP-species-notes": "<p></p> Perform heat-mediated antigen retrieval with Tris/EDTA buffer pH 9.0 before commencing with IHC staining protocol.", "ICCIF-species-checked": "notRecommended", "ICCIF-species-dilution-info": "", "ICCIF-species-notes": "", "FlowCytIntra-species-checked": "notRecommended", "FlowCytIntra-species-dilution-info": "", "FlowCytIntra-species-notes": "", "IP-species-checked": "notRecommended", "IP-species-dilution-info": "", "IP-species-notes": "" }, "Mouse": { "WB-species-checked": "testedAndGuaranteed", "WB-species-dilution-info": "1/1000", "WB-species-notes": "<p></p>", "IHCP-species-checked": "notRecommended", "IHCP-species-dilution-info": "", "IHCP-species-notes": "<p></p> Perform heat-mediated antigen retrieval with Tris/EDTA buffer pH 9.0 before commencing with IHC staining protocol.", "ICCIF-species-checked": "notRecommended", "ICCIF-species-dilution-info": "", "ICCIF-species-notes": "<p></p>", "FlowCytIntra-species-checked": "notRecommended", "FlowCytIntra-species-dilution-info": "", "FlowCytIntra-species-notes": "<p></p>", "IP-species-checked": "notRecommended", "IP-species-dilution-info": "", "IP-species-notes": "<p></p>" }, "Rat": { "WB-species-checked": "testedAndGuaranteed", "WB-species-dilution-info": "1/1000", "WB-species-notes": "<p></p>", "IHCP-species-checked": "notRecommended", "IHCP-species-dilution-info": "", "IHCP-species-notes": "<p></p> Perform heat-mediated antigen retrieval with Tris/EDTA buffer pH 9.0 before commencing with IHC staining protocol.", "ICCIF-species-checked": "notRecommended", "ICCIF-species-dilution-info": "", "ICCIF-species-notes": "", "FlowCytIntra-species-checked": "notRecommended", "FlowCytIntra-species-dilution-info": "", "FlowCytIntra-species-notes": "", "IP-species-checked": "notRecommended", "IP-species-dilution-info": "", "IP-species-notes": "" } } }

Product details

What are the advantages of a recombinant monoclonal antibody?
This product is a recombinant monoclonal antibody, which offers several advantages including:

  • - High batch-to-batch consistency and reproducibility
  • - Improved sensitivity and specificity
  • - Long-term security of supply
  • - Animal-free batch production

For more information, read more on recombinant antibodies.

Sold under exclusive licence from Children's Medical Research Institute and Newcastle Innovation Ltd. Pyrimidyn™ is a trademark of Children's Medical Research Institute and Newcastle Innovation Ltd.

Properties and storage information

Form
Liquid
Purification technique
Affinity purification Protein A
Storage buffer
pH: 7.2 - 7.4 Preservative: 0.01% Sodium azide Constituents: PBS, 40% Glycerol (glycerin, glycerine), 0.05% BSA
Shipped at conditions
Blue Ice
Appropriate short-term storage duration
1-2 weeks
Appropriate short-term storage conditions
+4°C
Appropriate long-term storage conditions
-20°C
Aliquoting information
Upon delivery aliquot
Storage information
Avoid freeze / thaw cycle

Supplementary information

This supplementary information is collated from multiple sources and compiled automatically.

CHD5 also known as Chromodomain Helicase DNA Binding Protein 5 is a member of the chromodomain helicase DNA-binding family of proteins. CHD5 weighs around 240 kDa and plays a significant role in chromatin remodeling impacting gene transcription regulation. This protein is primarily expressed in neural tissues particularly in the brain where it influences neuronal differentiation and development. As part of a larger family CHD5 shares structural similarities with other CHD proteins involved in modifying the structure of chromatin.
Biological function summary

CHD5 acts as a tumor suppressor influencing cell cycle progression and apoptosis. It interacts with nucleosome structures as part of a larger chromatin remodeling complex. Through its activity CHD5 affects transcriptional regulation of several genes involved in neurodevelopment and carcinogenesis. It works in coordination with other chromatin remodelers such as CHD4 to maintain genomic stability by facilitating appropriate DNA packaging and gene accessibility.

Pathways

CHD5 interacts with pathways involved in cell cycle regulation and DNA damage response. It plays an important role in the p53 signaling pathway an important pathway maintaining genomic integrity and preventing tumor formation. CHD5 interacts with proteins such as p53 and HDAC1 contributing to the transcriptional regulation tasks essential for maintaining cellular homeostasis and preventing oncogenic transformations.

CHD5 has a strong association with neurodegenerative diseases and various cancers. Low expression levels of CHD5 have been linked to neuroblastoma and glioma conditions where its tumor-suppressive role is compromised. The protein’s interaction with p53 highlights its importance in activation pathways suppressed in cancerous cells. Additionally its chromatin remodeling function may hint at important insights in treating these diseases through targeted genetic or therapeutic interventions.

Product protocols

For this product, it's our understanding that no specific protocols are required. You can visit:

Target data

ATP-dependent chromatin-remodeling factor that binds DNA through histones and regulates gene transcription (PubMed : 23318260). May specifically recognize and bind trimethylated 'Lys-27' (H3K27me3) and non-methylated 'Lys-4' of histone H3 (PubMed : 23318260, PubMed : 23948251). Acts as a component of the histone deacetylase NuRD complex which participates in the remodeling of chromatin (PubMed : 27806305). Plays a role in the development of the nervous system by activating the expression of genes promoting neuron terminal differentiation (PubMed : 23948251, PubMed : 27806305). In parallel, it may also positively regulate the trimethylation of histone H3 at 'Lys-27' thereby specifically repressing genes that promote the differentiation into non-neuronal cell lineages (PubMed : 23948251). Regulates the expression of genes involved in cell proliferation and differentiation (PubMed : 17289567). Downstream activated genes may include CDKN2A that positively regulates the p53/TP53 pathway, which in turn, prevents cell proliferation (PubMed : 17289567). In spermatogenesis, it probably regulates histone hyperacetylation and the replacement of histones by transition proteins in chromatin, a crucial step in the condensation of spermatid chromatin and the production of functional spermatozoa (PubMed : 24252660).
See full target information Chd5

Product promise

We are committed to supporting your work with high-quality reagents, and we're here for you every step of the way. In the unlikely event that one of our products does not perform as expected, you're protected by our Product Promise.
For full details, please see our Terms & Conditions

Please note: All products are 'FOR RESEARCH USE ONLY. NOT FOR USE IN DIAGNOSTIC OR THERAPEUTIC PROCEDURES'.

For licensing inquiries, please contact partnerships@abcam.com