JavaScript is disabled in your browser. Please enable JavaScript to view this website.
AB281836

Anti-CHD6 antibody [EPR23857-29] - BSA and Azide free

Be the first to review this product! Submit a review

|

(0 Publication)

Rabbit Recombinant Monoclonal CHD6 antibody. Carrier free. Suitable for WB and reacts with Human samples.

View Alternative Names

CHD5, KIAA1335, RIGB, CHD6, Chromodomain-helicase-DNA-binding protein 6, CHD-6, ATP-dependent helicase CHD6, Radiation-induced gene B protein

1 Images
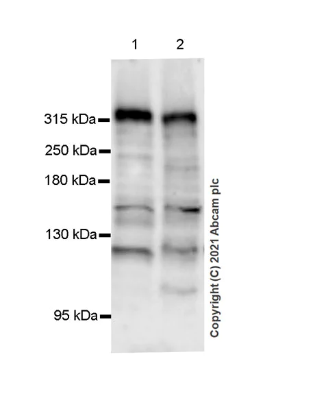
Western blot - Anti-CHD6 antibody [EPR23857-29] - BSA and Azide free (AB281836)
  • WB

Lab

Western blot - Anti-CHD6 antibody [EPR23857-29] - BSA and Azide free (AB281836)

This data was developed using 259858, the same antibody clone in a different buffer formulation.

Blocking and diluting buffer and concentration : 5% NFDM/TBST

Lysates were made freshly and used in WB test immediately to minimize protein degradation.

Exposure time : 158 seconds

All lanes:

Western blot - Anti-CHD6 antibody [EPR23857-29] (<a href='/en-us/products/primary-antibodies/chd6-antibody-epr23857-29-ab259858'>ab259858</a>) at 1/1000 dilution

Lane 1:

HeLa (human cervix adenocarcinoma epithelial cell), whole cell lysate at 20 µg

Lane 2:

293T (human embryonic kidney epithelial cell), whole cell lysate at 20 µg

Secondary

All lanes:

Western blot - Goat Anti-Rabbit IgG H&L (HRP) (<a href='/en-us/products/secondary-antibodies/goat-rabbit-igg-h-l-hrp-ab97051'>ab97051</a>) at 1/20000 dilution

false

Key facts

Host species

Rabbit

Clonality

Monoclonal

Clone number

EPR23857-29

Isotype

IgG

Carrier free

Yes

Reacts with

Human

Applications

WB

applications

Immunogen

The exact immunogen used to generate this antibody is proprietary information.

Reactivity data

{ "title": "Reactivity Data", "filters": { "stats": ["", "Species", "Dilution Info", "Notes"], "tabs": { "all-applications": {"fullname" : "All Applications", "shortname": "All Applications"}, "ICCIF" : {"fullname" : "Immunocytochemistry/ Immunofluorescence", "shortname":"ICC/IF"}, "IP" : {"fullname" : "Immunoprecipitation", "shortname":"IP"}, "WB" : {"fullname" : "Western blot", "shortname":"WB"}, "IHCP" : {"fullname" : "Immunohistochemistry (Formalin/PFA-fixed paraffin-embedded sections)", "shortname":"IHC-P"}, "FlowCytIntra" : {"fullname" : "Flow Cytometry (Intracellular)", "shortname":"Flow Cyt (Intra)"} }, "product-promise": { "all": "all", "testedAndGuaranteed": "tested", "guaranteed": "expected", "predicted": "predicted", "notRecommended": "not-recommended" } }, "values": { "Human": { "ICCIF-species-checked": "notRecommended", "ICCIF-species-dilution-info": "", "ICCIF-species-notes": "<p></p>", "IP-species-checked": "notRecommended", "IP-species-dilution-info": "", "IP-species-notes": "<p></p>", "WB-species-checked": "testedAndGuaranteed", "WB-species-dilution-info": "", "WB-species-notes": "<p></p>", "IHCP-species-checked": "notRecommended", "IHCP-species-dilution-info": "", "IHCP-species-notes": "<p></p>", "FlowCytIntra-species-checked": "notRecommended", "FlowCytIntra-species-dilution-info": "", "FlowCytIntra-species-notes": "<p></p>" }, "Mouse": { "ICCIF-species-checked": "notRecommended", "ICCIF-species-dilution-info": "", "ICCIF-species-notes": "", "IP-species-checked": "notRecommended", "IP-species-dilution-info": "", "IP-species-notes": "", "WB-species-checked": "notRecommended", "WB-species-dilution-info": "", "WB-species-notes": "<p></p>", "IHCP-species-checked": "notRecommended", "IHCP-species-dilution-info": "", "IHCP-species-notes": "<p></p>", "FlowCytIntra-species-checked": "notRecommended", "FlowCytIntra-species-dilution-info": "", "FlowCytIntra-species-notes": "" }, "Rat": { "ICCIF-species-checked": "notRecommended", "ICCIF-species-dilution-info": "", "ICCIF-species-notes": "", "IP-species-checked": "notRecommended", "IP-species-dilution-info": "", "IP-species-notes": "", "WB-species-checked": "notRecommended", "WB-species-dilution-info": "", "WB-species-notes": "<p></p>", "IHCP-species-checked": "notRecommended", "IHCP-species-dilution-info": "", "IHCP-species-notes": "<p></p>", "FlowCytIntra-species-checked": "notRecommended", "FlowCytIntra-species-dilution-info": "", "FlowCytIntra-species-notes": "" } } }

Product details

ab281836 is the carrier-free version of ab259858.

Patented technology
Our RabMAb® technology is a patented hybridoma-based technology for making rabbit monoclonal antibodies. For details on our patents, please refer to RabMAb® patents.

What are the advantages of a recombinant monoclonal antibody?
This product is a recombinant monoclonal antibody, which offers several advantages including:

  • - High batch-to-batch consistency and reproducibility
  • - Improved sensitivity and specificity
  • - Long-term security of supply
  • - Animal-free batch production

For more information, read more on recombinant antibodies.

Conjugation ready
Our carrier-free antibodies are typically supplied in a PBS-only formulation, purified and free of BSA, sodium azide and glycerol. This conjugation-ready format is designed for use with fluorochromes, metal isotopes, oligonucleotides, and enzymes, which makes them ideal for antibody labelling, functional and cell-based assays, flow-based assays (e.g. mass cytometry) and Multiplex Imaging applications.

Use our conjugation kits for antibody conjugates that are ready-to-use in as little as 20 minutes with 1 minute hands-on-time and 100% antibody recovery: available for fluorescent dyes, HRP, biotin and gold.

Compatibility
This product is compatible with the Maxpar® Antibody Labeling Kit from Fluidigm, without the need for antibody preparation. Maxpar® is a trademark of Fluidigm Canada Inc.

Properties and storage information

Form
Liquid
Purification technique
Affinity purification Protein A
Storage buffer
Constituents: 100% PBS
Shipped at conditions
Blue Ice
Appropriate short-term storage conditions
+4°C
Appropriate long-term storage conditions
+4°C

Supplementary information

This supplementary information is collated from multiple sources and compiled automatically.

The CHD6 protein also known as chromodomain-helicase-DNA-binding protein 6 is a member of the CHD family characterized by the presence of chromo domains and helicase domains. CHD6 has an approximate molecular mass of 290 kDa. It is widely expressed in human tissues with significant levels found in the brain heart and skeletal muscles. CHD6 plays a role in nucleosome remodeling which involves the alteration of chromatin structure to regulate DNA accessibility for transcription replication and repair.
Biological function summary

Chromodomain-helicase enzymes such as CHD6 help to reorganize chromatin structure making it critical for access and expression of genetic information. CHD6 functions within a complex system which influences diverse transcriptional programs through chromatin structure modulation. It primarily interacts with factors involved in chromatin dynamics allowing it to participate actively in numerous cellular processes essential for maintaining normal cell functions and genetic expression stability.

Pathways

The activity of CHD6 is essential in gene expression and DNA repair pathways. CHD6 is linked with the major transcription pathways such as RNA polymerase II transcription. It also frequently interacts with proteins like BRG1 another chromatin-remodeling factor to maintain precise regulation of these pathways. Together these proteins coordinate to ensure the correct transcriptional response and chromatin environment necessary for effective cell functioning.

Aberrant CHD6 function associates with a range of pathophysiological conditions including neurodevelopmental disorders and cancer. Mutations or dysregulation in the expression of CHD6 can lead to conditions like CHARGE syndrome characterized by multiple congenital anomalies. CHD6's interaction with proteins like p53 a well-known tumor suppressor highlights its involvement in pathways that maintain genomic integrity and prevent tumorigenesis. Understanding these interactions can provide insight into therapeutic targets for related diseases.

Product protocols

For this product, it's our understanding that no specific protocols are required. You can visit:

Target data

DNA-dependent ATPase that plays a role in chromatin remodeling. Regulates transcription by disrupting nucleosomes in a largely non-sliding manner which strongly increases the accessibility of chromatin (PubMed : 28533432). Activates transcription of specific genes in response to oxidative stress through interaction with NFE2L2.. (Microbial infection) Acts as a transcriptional repressor of different viruses including influenza virus or papillomavirus. During influenza virus infection, the viral polymerase complex localizes CHD6 to inactive chromatin where it gets degraded in a proteasome independent-manner.
See full target information CHD6

Product promise

We are committed to supporting your work with high-quality reagents, and we're here for you every step of the way. In the unlikely event that one of our products does not perform as expected, you're protected by our Product Promise.
For full details, please see our Terms & Conditions

Please note: All products are 'FOR RESEARCH USE ONLY. NOT FOR USE IN DIAGNOSTIC OR THERAPEUTIC PROCEDURES'.

For licensing inquiries, please contact partnerships@abcam.com