JavaScript is disabled in your browser. Please enable JavaScript to view this website.
AB114126

Anti-CHD8 antibody

1

(1 Review)

|

(10 Publications)

Rabbit Polyclonal CHD8 antibody. Suitable for IHC-P, IP, WB and reacts with Human, Mouse samples. Cited in 10 publications. Immunogen corresponding to Synthetic Peptide within Human CHD8 aa 300-350.

View Alternative Names

HELSNF1, KIAA1564, CHD8, Chromodomain-helicase-DNA-binding protein 8, CHD-8, ATP-dependent helicase CHD8, Helicase with SNF2 domain 1

5 Images
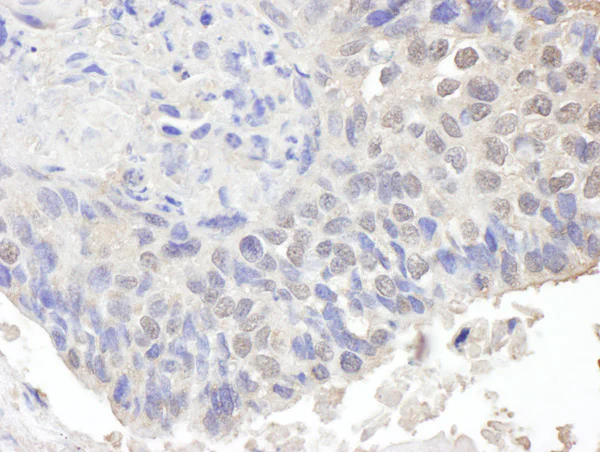
Immunohistochemistry (Formalin/PFA-fixed paraffin-embedded sections) - Anti-CHD8 antibody (AB114126)
  • IHC-P

Unknown

Immunohistochemistry (Formalin/PFA-fixed paraffin-embedded sections) - Anti-CHD8 antibody (AB114126)

Immunohistochemistry (Formalin/PFA-fixed paraffin-embedded sections) analysis of human ovarian carcinoma tissue labelling CHD8 with ab114126 at 1/1000 (1µg/ml). Detection : DAB.

Immunoprecipitation - Anti-CHD8 antibody (AB114126)
  • IP

Unknown

Immunoprecipitation - Anti-CHD8 antibody (AB114126)

ab114126 at 3ug/mg of lysate detecting CHD8 by immunoprecipitation (lane 1). 1mg of HeLa whole cell lysate was used, 20% of immunoprecipitate was loaded. Lane 2 : IgG control.
Detection : chemiluminescence. Exposure time : 30 seconds.

All lanes:

Immunoprecipitation - Anti-CHD8 antibody (ab114126)

Predicted band size: 291 kDa

false

Western blot - Anti-CHD8 antibody (AB114126)
  • WB

Unknown

Western blot - Anti-CHD8 antibody (AB114126)

All lanes:

Western blot - Anti-CHD8 antibody (ab114126) at 0.1 µg/mL

Lane 1:

HeLa whole cell lysate at 50 µg

Lane 2:

HeLa whole cell lysate at 15 µg

Lane 3:

HeLa whole cell lysate at 5 µg

Predicted band size: 291 kDa

true

Exposure time: 30s

Western blot - Anti-CHD8 antibody (AB114126)
  • WB

Supplier Data

Western blot - Anti-CHD8 antibody (AB114126)

All lanes:

Western blot - Anti-CHD8 antibody (ab114126) at 0.1 µg/mL

Lane 1:

HeLa whole cell lysate at 50 µg

Lane 2:

293T whole cell lysate at 50 µg

Lane 3:

Jurkat whole cell lysate at 50 µg

Lane 4:

TCMK-1 whole cell lysate at 50 µg

Predicted band size: 291 kDa

true

Exposure time: 3min

Western blot - Anti-CHD8 antibody (AB114126)
  • WB

CiteAb

Western blot - Anti-CHD8 antibody (AB114126)

CHD8 western blot using anti-CHD8 antibody ab114126. Publication image and figure legend from Cotney, J., Muhle, R. A., et al., 2015, Nat Commun, PubMed 25752243.

ab114126 was used in this publication in western blot. This may not be the same as the application(s) guaranteed by Abcam. For a full list of applications guaranteed by Abcam for ab114126 please see the product overview.

Depletion of CHD8 in hNSCs significantly affects CHD8 target genes.(a) Top, Schematic depicting functional domains within CHD8. Sites in CHD8 that are targeted by knockdown shRNA constructs C and G are indicated by vertical grey bars. Bottom, Representative western blot of hNSC protein lysates demonstrating depletion of CHD8 protein levels due to transfection of each shRNA construct compared with a non-targeting transfection control (shCTL). QPCR and western blots were performed for each knockdown experiment. (b) Conserved CHD8 targets are disproportionately affected by CHD8 depletion. For each subset of CHD8 target genes shown, the P value from a Wilcoxon rank test comparing the distribution of differential expression P values in that subset versus active genes not bound by CHD8 in hNSC is plotted on the y axis, and the number of genes in the subset is plotted on the x axis (Supplementary Information). The red curve shows the smoothed (quadratic) spline fit to the data. (c) Residual values for the indicated subsets of CHD8 targets calculated from the fit lines in b. The set of CHD8 targets conserved in mouse holds the greatest fraction of genes showing differential expression by each CHD8 knockdown.

false

Key facts

Host species

Rabbit

Clonality

Polyclonal

Isotype

IgG

Carrier free

No

Reacts with

Mouse, Human

Applications

IP, IHC-P, WB

applications

Immunogen

Synthetic Peptide within Human CHD8 aa 300-350. The exact immunogen used to generate this antibody is proprietary information.

Q9HCK8

Reactivity data

{ "title": "Reactivity Data", "filters": { "stats": ["", "Species", "Dilution Info", "Notes"], "tabs": { "all-applications": {"fullname" : "All Applications", "shortname": "All Applications"}, "IHCP" : {"fullname" : "Immunohistochemistry (Formalin/PFA-fixed paraffin-embedded sections)", "shortname":"IHC-P"}, "IP" : {"fullname" : "Immunoprecipitation", "shortname":"IP"}, "WB" : {"fullname" : "Western blot", "shortname":"WB"} }, "product-promise": { "all": "all", "testedAndGuaranteed": "tested", "guaranteed": "expected", "predicted": "predicted", "notRecommended": "not-recommended" } }, "values": { "Human": { "IHCP-species-checked": "testedAndGuaranteed", "IHCP-species-dilution-info": "1/500 - 1/2000", "IHCP-species-notes": "<p></p> Perform heat-mediated antigen retrieval with citrate buffer pH 6 before commencing with IHC staining protocol.", "IP-species-checked": "testedAndGuaranteed", "IP-species-dilution-info": "2-5 µg/mg of lysate", "IP-species-notes": "<p></p>", "WB-species-checked": "testedAndGuaranteed", "WB-species-dilution-info": "1/2000 - 1/10000", "WB-species-notes": "<p></p>" }, "Mouse": { "IHCP-species-checked": "guaranteed", "IHCP-species-dilution-info": "", "IHCP-species-notes": "", "IP-species-checked": "guaranteed", "IP-species-dilution-info": "", "IP-species-notes": "", "WB-species-checked": "testedAndGuaranteed", "WB-species-dilution-info": "1/2000 - 1/10000", "WB-species-notes": "<p></p>" }, "Chimpanzee": { "IHCP-species-checked": "predicted", "IHCP-species-dilution-info": "", "IHCP-species-notes": "", "IP-species-checked": "predicted", "IP-species-dilution-info": "", "IP-species-notes": "", "WB-species-checked": "predicted", "WB-species-dilution-info": "", "WB-species-notes": "" }, "Chinese hamster": { "IHCP-species-checked": "predicted", "IHCP-species-dilution-info": "", "IHCP-species-notes": "", "IP-species-checked": "predicted", "IP-species-dilution-info": "", "IP-species-notes": "", "WB-species-checked": "predicted", "WB-species-dilution-info": "", "WB-species-notes": "" }, "Elephant": { "IHCP-species-checked": "predicted", "IHCP-species-dilution-info": "", "IHCP-species-notes": "", "IP-species-checked": "predicted", "IP-species-dilution-info": "", "IP-species-notes": "", "WB-species-checked": "predicted", "WB-species-dilution-info": "", "WB-species-notes": "" }, "Gorilla": { "IHCP-species-checked": "predicted", "IHCP-species-dilution-info": "", "IHCP-species-notes": "", "IP-species-checked": "predicted", "IP-species-dilution-info": "", "IP-species-notes": "", "WB-species-checked": "predicted", "WB-species-dilution-info": "", "WB-species-notes": "" }, "Guinea pig": { "IHCP-species-checked": "predicted", "IHCP-species-dilution-info": "", "IHCP-species-notes": "", "IP-species-checked": "predicted", "IP-species-dilution-info": "", "IP-species-notes": "", "WB-species-checked": "predicted", "WB-species-dilution-info": "", "WB-species-notes": "" }, "Orangutan": { "IHCP-species-checked": "predicted", "IHCP-species-dilution-info": "", "IHCP-species-notes": "", "IP-species-checked": "predicted", "IP-species-dilution-info": "", "IP-species-notes": "", "WB-species-checked": "predicted", "WB-species-dilution-info": "", "WB-species-notes": "" }, "Rabbit": { "IHCP-species-checked": "predicted", "IHCP-species-dilution-info": "", "IHCP-species-notes": "", "IP-species-checked": "predicted", "IP-species-dilution-info": "", "IP-species-notes": "", "WB-species-checked": "predicted", "WB-species-dilution-info": "", "WB-species-notes": "" }, "Rhesus monkey": { "IHCP-species-checked": "predicted", "IHCP-species-dilution-info": "", "IHCP-species-notes": "", "IP-species-checked": "predicted", "IP-species-dilution-info": "", "IP-species-notes": "", "WB-species-checked": "predicted", "WB-species-dilution-info": "", "WB-species-notes": "" } } }

Product details

Immunoglobulin concentration was determined by extinction coefficient: absorbance at 280 nm of 1.4 equals 1.0 mg of IgG.

Properties and storage information

Form
Liquid
Purification technique
Affinity purification Immunogen
Purification notes
ab114126 was affinity purified using an epitope specific to CHD8 immobilized on a solid support.
Storage buffer
pH: 7 - 8 Preservative: 0.09% Sodium azide Constituents: 99.91% Tris citrate/phosphate
Shipped at conditions
Blue Ice
Appropriate short-term storage conditions
+4°C
Appropriate long-term storage conditions
+4°C
Aliquoting information
Upon delivery aliquot
Storage information
Avoid freeze / thaw cycle|Do Not Freeze

Supplementary information

This supplementary information is collated from multiple sources and compiled automatically.

CHD8 also known as Chromodomain Helicase DNA-binding Protein 8 is a member of the ATP-dependent chromatin remodeling proteins with an approximate mass of 290 kDa. This protein plays a critical role in maintaining chromatin structure by modulating the accessibility of DNA to transcription factors and repair machinery. CHD8 is ubiquitously expressed with notable presence in the brain and other tissues. Through its ability to regulate gene expression CHD8 influences several cellular processes including embryonic development and neural function.
Biological function summary

CHD8 acts as a chromatin remodeler involved in transcriptional regulation. It associates with multiprotein complexes such as the SWI/SNF complex to control gene expression finely. CHD8 can directly bind to promoter regions of target genes impacting their transcriptional activity. In neural development CHD8 contributes to cell differentiation axon guidance and synaptic connectivity highlighting its significance in cognitive functions.

Pathways

CHD8 is involved in critical pathways regulating cellular proliferation and differentiation. Notably it participates in the Wnt signaling pathway and interacts with factors like β-catenin to regulate the transcription of Wnt-responsive genes. CHD8 also interacts with proteins such as CTNNB1 and TCF7L2 demonstrating its role in the modulation of signaling pathways essential for developmental processes and cellular homeostasis.

CHD8 mutations have been implicated in autism spectrum disorder (ASD) and intellectual disabilities. Aberrations in CHD8 function can result in dysregulated gene expression contributing to neurological development problems. Furthermore the protein's interactions with targets like FOXG1 and TBR1 reinforce its connection to the etiology of ASD. Understanding CHD8's role in these disorders may offer insight into potential therapeutic targets for ameliorating symptoms associated with its dysfunction.

Product protocols

For this product, it's our understanding that no specific protocols are required. You can visit:

Target data

DNA helicase that acts as a chromatin remodeling factor and regulates transcription. Acts as a transcription repressor by remodeling chromatin structure and recruiting histone H1 to target genes. Suppresses p53/TP53-mediated apoptosis by recruiting histone H1 and preventing p53/TP53 transactivation activity. Acts as a negative regulator of Wnt signaling pathway by regulating beta-catenin (CTNNB1) activity. Negatively regulates CTNNB1-targeted gene expression by being recruited specifically to the promoter regions of several CTNNB1 responsive genes. Involved in both enhancer blocking and epigenetic remodeling at chromatin boundary via its interaction with CTCF. Acts as a suppressor of STAT3 activity by suppressing the LIF-induced STAT3 transcriptional activity. Also acts as a transcription activator via its interaction with ZNF143 by participating in efficient U6 RNA polymerase III transcription. Regulates alternative splicing of a core group of genes involved in neuronal differentiation, cell cycle and DNA repair. Enables H3K36me3-coupled transcription elongation and co-transcriptional RNA processing likely via interaction with HNRNPL.
See full target information CHD8

Publications (10)

Recent publications for all applications. Explore the full list and refine your search

Cell genomics 5:100768 PubMed39914389

2025

Single-cell delineation of the microbiota-gut-brain axis: Probiotic intervention in Chd8 haploinsufficient mice.

Applications

Unspecified application

Species

Unspecified reactive species

Peifeng Ji,Ning Wang,You Yu,Junjie Zhu,Zhenqiang Zuo,Bing Zhang,Fangqing Zhao

Nucleic acids research 50:7013-7033 PubMed35748872

2022

A dual-activity topoisomerase complex regulates mRNA translation and turnover.

Applications

Unspecified application

Species

Unspecified reactive species

Shuaikun Su,Yutong Xue,Alexei Sharov,Yongqing Zhang,Seung Kyu Lee,Jennifer L Martindale,Wen Li,Wai Lim Ku,Keji Zhao,Supriyo De,Weiping Shen,Payel Sen,Myriam Gorospe,Dongyi Xu,Weidong Wang

Nature communications 13:1151 PubMed35241668

2022

Changes to gut amino acid transporters and microbiome associated with increased E/I ratio in Chd8 mouse model of ASD-like behavior.

Applications

Unspecified application

Species

Unspecified reactive species

You Yu,Bing Zhang,Peifeng Ji,Zhenqiang Zuo,Yongxi Huang,Ning Wang,Chang Liu,Shuang-Jiang Liu,Fangqing Zhao

eLife 10: PubMed33554859

2021

TWIST1 and chromatin regulatory proteins interact to guide neural crest cell differentiation.

Applications

Unspecified application

Species

Unspecified reactive species

Xiaochen Fan,V Pragathi Masamsetti,Jane Qj Sun,Kasper Engholm-Keller,Pierre Osteil,Joshua Studdert,Mark E Graham,Nicolas Fossat,Patrick Pl Tam

Cell cycle (Georgetown, Tex.) 19:3231-3248 PubMed33198579

2020

Overexpression of microRNA-221 promotes the differentiation of stem cells from human exfoliated deciduous teeth to neurons through activation of Wnt/β-catenin pathway via inhibition of CHD8.

Applications

Unspecified application

Species

Unspecified reactive species

Bing Wen,Chenjiang He,Qin Zhang,Fanglin Zhang,Na Li,Yan Pan,Mengting Deng,Yue Wang,Jianping Li,Jiaxuan Qiu

Neuropathology and applied neurobiology 46:588-601 PubMed32267004

2020

A spontaneous missense mutation in the chromodomain helicase DNA-binding protein 8 (CHD8) gene: a novel association with congenital myasthenic syndrome.

Applications

Unspecified application

Species

Unspecified reactive species

C Y Lee,M Petkova,S Morales-Gonzalez,N Gimber,J Schmoranzer,A Meisel,W Böhmerle,W Stenzel,M Schuelke,J M Schwarz

Frontiers in molecular neuroscience 11:481 PubMed30692911

2019

Common CHD8 Genomic Targets Contrast With Model-Specific Transcriptional Impacts of Haploinsufficiency.

Applications

Unspecified application

Species

Unspecified reactive species

A Ayanna Wade,Kenneth Lim,Rinaldo Catta-Preta,Alex S Nord

Developmental cell 45:753-768.e8 PubMed29920279

2018

Dual Requirement of CHD8 for Chromatin Landscape Establishment and Histone Methyltransferase Recruitment to Promote CNS Myelination and Repair.

Applications

Unspecified application

Species

Unspecified reactive species

Chuntao Zhao,Chen Dong,Magali Frah,Yaqi Deng,Corentine Marie,Feng Zhang,Lingli Xu,Zhixing Ma,Xinran Dong,Yifeng Lin,Scott Koenig,Brahim Nait-Oumesmar,Donna M Martin,Laiman N Wu,Mei Xin,Wenhao Zhou,Carlos Parras,Q Richard Lu

Nature neuroscience 20:1062-1073 PubMed28671691

2017

Germline Chd8 haploinsufficiency alters brain development in mouse.

Applications

ChIP-seq, WB

Species

Mouse, Mouse

Andrea L Gompers,Linda Su-Feher,Jacob Ellegood,Nycole A Copping,M Asrafuzzaman Riyadh,Tyler W Stradleigh,Michael C Pride,Melanie D Schaffler,A Ayanna Wade,Rinaldo Catta-Preta,Iva Zdilar,Shreya Louis,Gaurav Kaushik,Brandon J Mannion,Ingrid Plajzer-Frick,Veena Afzal,Axel Visel,Len A Pennacchio,Diane E Dickel,Jason P Lerch,Jacqueline N Crawley,Konstantinos S Zarbalis,Jill L Silverman,Alex S Nord

Nature communications 6:6404 PubMed25752243

2015

The autism-associated chromatin modifier CHD8 regulates other autism risk genes during human neurodevelopment.

Applications

IP, ChIP

Species

Unspecified reactive species, Unspecified reactive species

Justin Cotney,Rebecca A Muhle,Stephan J Sanders,Li Liu,A Jeremy Willsey,Wei Niu,Wenzhong Liu,Lambertus Klei,Jing Lei,Jun Yin,Steven K Reilly,Andrew T Tebbenkamp,Candace Bichsel,Mihovil Pletikos,Nenad Sestan,Kathryn Roeder,Matthew W State,Bernie Devlin,James P Noonan
View all publications

Product promise

We are committed to supporting your work with high-quality reagents, and we're here for you every step of the way. In the unlikely event that one of our products does not perform as expected, you're protected by our Product Promise.
For full details, please see our Terms & Conditions

Please note: All products are 'FOR RESEARCH USE ONLY. NOT FOR USE IN DIAGNOSTIC OR THERAPEUTIC PROCEDURES'.

For licensing inquiries, please contact partnerships@abcam.com