JavaScript is disabled in your browser. Please enable JavaScript to view this website.
AB84527

Anti-CHD8 antibody

5

(1 Review)

|

(10 Publications)

Rabbit Polyclonal CHD8 antibody. Suitable for IHC-P, IP, WB and reacts with Human, Mouse samples. Cited in 10 publications. Immunogen corresponding to Synthetic Peptide within Human CHD8 aa 2250-2350.

View Alternative Names

HELSNF1, KIAA1564, CHD8, Chromodomain-helicase-DNA-binding protein 8, CHD-8, ATP-dependent helicase CHD8, Helicase with SNF2 domain 1

2 Images
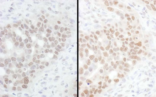
Immunohistochemistry (Formalin/PFA-fixed paraffin-embedded sections) - Anti-CHD8 antibody (AB84527)
  • IHC-P

Unknown

Immunohistochemistry (Formalin/PFA-fixed paraffin-embedded sections) - Anti-CHD8 antibody (AB84527)

ab84527, at 1/100 dilution, staining CHD8 in formalin-fixed, paraffin-embedded human breast carcinoma by Immunohistochemistry, using DAB staining.

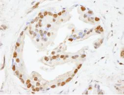
Immunohistochemistry (Formalin/PFA-fixed paraffin-embedded sections) - Anti-CHD8 antibody (AB84527)
  • IHC-P

Unknown

Immunohistochemistry (Formalin/PFA-fixed paraffin-embedded sections) - Anti-CHD8 antibody (AB84527)

ab84527, at 1/100 dilution, staining CHD8 in formalin-fixed, paraffin-embedded human prostate carcinoma by Immunohistochemistry using DAB staining.

Key facts

Host species

Rabbit

Clonality

Polyclonal

Isotype

IgG

Carrier free

No

Reacts with

Human, Mouse

Applications

IP, WB, IHC-P

applications

Immunogen

Synthetic Peptide within Human CHD8 aa 2250-2350. The exact immunogen used to generate this antibody is proprietary information.

Q9HCK8

Reactivity data

{ "title": "Reactivity Data", "filters": { "stats": ["", "Species", "Dilution Info", "Notes"], "tabs": { "all-applications": {"fullname" : "All Applications", "shortname": "All Applications"}, "IHCP" : {"fullname" : "Immunohistochemistry (Formalin/PFA-fixed paraffin-embedded sections)", "shortname":"IHC-P"}, "IP" : {"fullname" : "Immunoprecipitation", "shortname":"IP"}, "WB" : {"fullname" : "Western blot", "shortname":"WB"} }, "product-promise": { "all": "all", "testedAndGuaranteed": "tested", "guaranteed": "expected", "predicted": "predicted", "notRecommended": "not-recommended" } }, "values": { "Human": { "IHCP-species-checked": "testedAndGuaranteed", "IHCP-species-dilution-info": "1/100 - 1/500", "IHCP-species-notes": "<p></p> Perform heat-mediated antigen retrieval with citrate buffer pH 6 before commencing with IHC staining protocol.", "IP-species-checked": "guaranteed", "IP-species-dilution-info": "", "IP-species-notes": "<p></p>", "WB-species-checked": "guaranteed", "WB-species-dilution-info": "", "WB-species-notes": "<p></p>" }, "Mouse": { "IHCP-species-checked": "predicted", "IHCP-species-dilution-info": "", "IHCP-species-notes": "", "IP-species-checked": "guaranteed", "IP-species-dilution-info": "", "IP-species-notes": "<p></p>", "WB-species-checked": "guaranteed", "WB-species-dilution-info": "", "WB-species-notes": "<p></p>" }, "Chimpanzee": { "IHCP-species-checked": "predicted", "IHCP-species-dilution-info": "", "IHCP-species-notes": "", "IP-species-checked": "predicted", "IP-species-dilution-info": "", "IP-species-notes": "", "WB-species-checked": "predicted", "WB-species-dilution-info": "", "WB-species-notes": "" }, "Cow": { "IHCP-species-checked": "predicted", "IHCP-species-dilution-info": "", "IHCP-species-notes": "", "IP-species-checked": "predicted", "IP-species-dilution-info": "", "IP-species-notes": "", "WB-species-checked": "predicted", "WB-species-dilution-info": "", "WB-species-notes": "" }, "Elephant": { "IHCP-species-checked": "predicted", "IHCP-species-dilution-info": "", "IHCP-species-notes": "", "IP-species-checked": "predicted", "IP-species-dilution-info": "", "IP-species-notes": "", "WB-species-checked": "predicted", "WB-species-dilution-info": "", "WB-species-notes": "" }, "Gorilla": { "IHCP-species-checked": "predicted", "IHCP-species-dilution-info": "", "IHCP-species-notes": "", "IP-species-checked": "predicted", "IP-species-dilution-info": "", "IP-species-notes": "", "WB-species-checked": "predicted", "WB-species-dilution-info": "", "WB-species-notes": "" }, "Guinea pig": { "IHCP-species-checked": "predicted", "IHCP-species-dilution-info": "", "IHCP-species-notes": "", "IP-species-checked": "predicted", "IP-species-dilution-info": "", "IP-species-notes": "", "WB-species-checked": "predicted", "WB-species-dilution-info": "", "WB-species-notes": "" }, "Horse": { "IHCP-species-checked": "predicted", "IHCP-species-dilution-info": "", "IHCP-species-notes": "", "IP-species-checked": "predicted", "IP-species-dilution-info": "", "IP-species-notes": "", "WB-species-checked": "predicted", "WB-species-dilution-info": "", "WB-species-notes": "" }, "Monkey": { "IHCP-species-checked": "predicted", "IHCP-species-dilution-info": "", "IHCP-species-notes": "", "IP-species-checked": "predicted", "IP-species-dilution-info": "", "IP-species-notes": "", "WB-species-checked": "predicted", "WB-species-dilution-info": "", "WB-species-notes": "" }, "Orangutan": { "IHCP-species-checked": "predicted", "IHCP-species-dilution-info": "", "IHCP-species-notes": "", "IP-species-checked": "predicted", "IP-species-dilution-info": "", "IP-species-notes": "", "WB-species-checked": "predicted", "WB-species-dilution-info": "", "WB-species-notes": "" }, "Pig": { "IHCP-species-checked": "predicted", "IHCP-species-dilution-info": "", "IHCP-species-notes": "", "IP-species-checked": "predicted", "IP-species-dilution-info": "", "IP-species-notes": "", "WB-species-checked": "predicted", "WB-species-dilution-info": "", "WB-species-notes": "" }, "Rabbit": { "IHCP-species-checked": "predicted", "IHCP-species-dilution-info": "", "IHCP-species-notes": "", "IP-species-checked": "predicted", "IP-species-dilution-info": "", "IP-species-notes": "", "WB-species-checked": "predicted", "WB-species-dilution-info": "", "WB-species-notes": "" }, "Rhesus monkey": { "IHCP-species-checked": "predicted", "IHCP-species-dilution-info": "", "IHCP-species-notes": "", "IP-species-checked": "predicted", "IP-species-dilution-info": "", "IP-species-notes": "", "WB-species-checked": "predicted", "WB-species-dilution-info": "", "WB-species-notes": "" } } }

Product details

Concentration is optimized for IHC and not determined

Properties and storage information

Form
Liquid
Purification technique
Affinity purification Immunogen
Storage buffer
pH: 6.8 - 7.4 Preservative: 0.09% Sodium azide Constituents: Tris buffered saline, 0.1% BSA
Shipped at conditions
Blue Ice
Appropriate short-term storage conditions
+4°C
Appropriate long-term storage conditions
-20°C
Aliquoting information
Upon delivery aliquot
Storage information
Avoid freeze / thaw cycle

Supplementary information

This supplementary information is collated from multiple sources and compiled automatically.

CHD8 also known as Chromodomain Helicase DNA-binding Protein 8 is a member of the ATP-dependent chromatin remodeling proteins with an approximate mass of 290 kDa. This protein plays a critical role in maintaining chromatin structure by modulating the accessibility of DNA to transcription factors and repair machinery. CHD8 is ubiquitously expressed with notable presence in the brain and other tissues. Through its ability to regulate gene expression CHD8 influences several cellular processes including embryonic development and neural function.
Biological function summary

CHD8 acts as a chromatin remodeler involved in transcriptional regulation. It associates with multiprotein complexes such as the SWI/SNF complex to control gene expression finely. CHD8 can directly bind to promoter regions of target genes impacting their transcriptional activity. In neural development CHD8 contributes to cell differentiation axon guidance and synaptic connectivity highlighting its significance in cognitive functions.

Pathways

CHD8 is involved in critical pathways regulating cellular proliferation and differentiation. Notably it participates in the Wnt signaling pathway and interacts with factors like β-catenin to regulate the transcription of Wnt-responsive genes. CHD8 also interacts with proteins such as CTNNB1 and TCF7L2 demonstrating its role in the modulation of signaling pathways essential for developmental processes and cellular homeostasis.

CHD8 mutations have been implicated in autism spectrum disorder (ASD) and intellectual disabilities. Aberrations in CHD8 function can result in dysregulated gene expression contributing to neurological development problems. Furthermore the protein's interactions with targets like FOXG1 and TBR1 reinforce its connection to the etiology of ASD. Understanding CHD8's role in these disorders may offer insight into potential therapeutic targets for ameliorating symptoms associated with its dysfunction.

Product protocols

For this product, it's our understanding that no specific protocols are required. You can visit:

Target data

DNA helicase that acts as a chromatin remodeling factor and regulates transcription. Acts as a transcription repressor by remodeling chromatin structure and recruiting histone H1 to target genes. Suppresses p53/TP53-mediated apoptosis by recruiting histone H1 and preventing p53/TP53 transactivation activity. Acts as a negative regulator of Wnt signaling pathway by regulating beta-catenin (CTNNB1) activity. Negatively regulates CTNNB1-targeted gene expression by being recruited specifically to the promoter regions of several CTNNB1 responsive genes. Involved in both enhancer blocking and epigenetic remodeling at chromatin boundary via its interaction with CTCF. Acts as a suppressor of STAT3 activity by suppressing the LIF-induced STAT3 transcriptional activity. Also acts as a transcription activator via its interaction with ZNF143 by participating in efficient U6 RNA polymerase III transcription. Regulates alternative splicing of a core group of genes involved in neuronal differentiation, cell cycle and DNA repair. Enables H3K36me3-coupled transcription elongation and co-transcriptional RNA processing likely via interaction with HNRNPL.
See full target information CHD8

Publications (10)

Recent publications for all applications. Explore the full list and refine your search

Translational psychiatry 13:305 PubMed37783686

2023

CHD8 regulates gut epithelial cell function and affects autism-related behaviors through the gut-brain axis.

Applications

Unspecified application

Species

Unspecified reactive species

Ipsita Chatterjee,Dmitriy Getselter,Nasreen Ghanayem,Ram Harari,Liron Davis,Shai Bel,Evan Elliott

Cell genomics 3:100250 PubMed36950384

2023

Protein interaction studies in human induced neurons indicate convergent biology underlying autism spectrum disorders.

Applications

Unspecified application

Species

Unspecified reactive species

Greta Pintacuda,Yu-Han H Hsu,Kalliopi Tsafou,Ka Wan Li,Jacqueline M Martín,Jackson Riseman,Julia C Biagini,Joshua K T Ching,Daya Mena,Miguel A Gonzalez-Lozano,Shawn B Egri,Jake Jaffe,August B Smit,Nadine Fornelos,Kevin C Eggan,Kasper Lage

The Journal of neuroscience : the official journal of the Society for Neuroscience 42:8373-8392 PubMed36127134

2022

Conserved and Distinct Functions of the Autism-Related Chromatin Remodeler CHD8 in Embryonic and Adult Forebrain Neurogenesis.

Applications

Unspecified application

Species

Unspecified reactive species

Chen Dong,Chuntao Zhao,Xiang Chen,Kalen Berry,Jiajia Wang,Feng Zhang,Yunfei Liao,Rong Han,Sean Ogurek,Lingli Xu,Li Zhang,Yifeng Lin,Wenhao Zhou,Mei Xin,Daniel A Lim,Kenneth Campbell,Masato Nakafuku,Ronald R Waclaw,Q Richard Lu

Cell reports 34:108780 PubMed33626347

2021

Excitatory neuronal CHD8 in the regulation of neocortical development and sensory-motor behaviors.

Applications

Unspecified application

Species

Unspecified reactive species

Hanseul Kweon,Won Beom Jung,Geun Ho Im,Jia Ryoo,Joon-Hyuk Lee,Hogyeong Do,Yeonsoo Choi,You-Hyang Song,Hwajin Jung,Haram Park,Lily R Qiu,Jacob Ellegood,Hyun-Ji Shim,Esther Yang,Hyun Kim,Jason P Lerch,Seung-Hee Lee,Won-Suk Chung,Daesoo Kim,Seong-Gi Kim,Eunjoon Kim

Molecular autism 11:74 PubMed33023670

2020

Chd8 haploinsufficiency impairs early brain development and protein homeostasis later in life.

Applications

Unspecified application

Species

Unspecified reactive species

Jessica A Jiménez,Travis S Ptacek,Alex H Tuttle,Ralf S Schmid,Sheryl S Moy,Jeremy M Simon,Mark J Zylka

Developmental cell 45:753-768.e8 PubMed29920279

2018

Dual Requirement of CHD8 for Chromatin Landscape Establishment and Histone Methyltransferase Recruitment to Promote CNS Myelination and Repair.

Applications

Unspecified application

Species

Unspecified reactive species

Chuntao Zhao,Chen Dong,Magali Frah,Yaqi Deng,Corentine Marie,Feng Zhang,Lingli Xu,Zhixing Ma,Xinran Dong,Yifeng Lin,Scott Koenig,Brahim Nait-Oumesmar,Donna M Martin,Laiman N Wu,Mei Xin,Wenhao Zhou,Carlos Parras,Q Richard Lu

Nucleic acids research 44:387-401 PubMed26446991

2015

Mechanism of Wnt signaling induced down regulation of mrhl long non-coding RNA in mouse spermatogonial cells.

Applications

Unspecified application

Species

Unspecified reactive species

Vijay Suresh Akhade,Shrinivas Nivrutti Dighe,Shubhangini Kataruka,Manchanahalli R Satyanarayana Rao

Human molecular genetics 23:4396-405 PubMed24705355

2014

CHARGE and Kabuki syndromes: a phenotypic and molecular link.

Applications

WB

Species

Human

Yvonne Schulz,Luisa Freese,Johanna Mänz,Barbara Zoll,Christiane Völter,Knut Brockmann,Nina Bögershausen,Jutta Becker,Bernd Wollnik,Silke Pauli

Gastroenterology 146:530-38.e5 PubMed24211491

2013

Colorectal carcinomas with CpG island methylator phenotype 1 frequently contain mutations in chromatin regulators.

Applications

IHC-P

Species

Human

Tomomitsu Tahara,Eiichiro Yamamoto,Priyanka Madireddi,Hiromu Suzuki,Reo Maruyama,Woonbok Chung,Judith Garriga,Jaroslav Jelinek,Hiro-O Yamano,Tamotsu Sugai,Yutaka Kondo,Minoru Toyota,Jean-Pierre J Issa,Marcos R H Estécio

PloS one 7:e52640 PubMed23285124

2012

Identification and characterization of FAM124B as a novel component of a CHD7 and CHD8 containing complex.

Applications

IP

Species

Human

Tserendulam Batsukh,Yvonne Schulz,Stephan Wolf,Tamara I Rabe,Thomas Oellerich,Henning Urlaub,Inga-Marie Schaefer,Silke Pauli
View all publications

Product promise

We are committed to supporting your work with high-quality reagents, and we're here for you every step of the way. In the unlikely event that one of our products does not perform as expected, you're protected by our Product Promise.
For full details, please see our Terms & Conditions

Please note: All products are 'FOR RESEARCH USE ONLY. NOT FOR USE IN DIAGNOSTIC OR THERAPEUTIC PROCEDURES'.

For licensing inquiries, please contact partnerships@abcam.com