JavaScript is disabled in your browser. Please enable JavaScript to view this website.
AB17191

Anti-Chk1 antibody

Be the first to review this product! Submit a review

|

(1 Publication)

Rabbit Polyclonal CHK1 antibody. Suitable for IP, WB, IHC-P and reacts with Human samples. Cited in 1 publication. Immunogen corresponding to Synthetic Peptide within Human CHEK1 aa 250-300.

View Alternative Names

CHK1, CHEK1, Serine/threonine-protein kinase Chk1, CHK1 checkpoint homolog, Cell cycle checkpoint kinase, Checkpoint kinase-1

3 Images
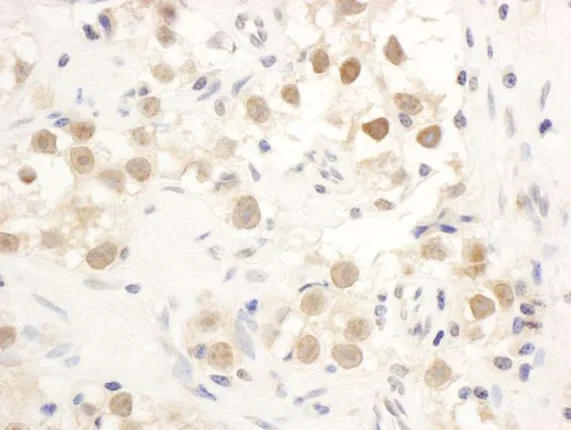
Immunohistochemistry (Formalin/PFA-fixed paraffin-embedded sections) - Anti-Chk1 antibody (AB17191)
  • IHC-P

Supplier Data

Immunohistochemistry (Formalin/PFA-fixed paraffin-embedded sections) - Anti-Chk1 antibody (AB17191)

Immunohistochemical (Formalin/PFA-fixed paraffin-embedded sections) analysis of human breast carcinoma tissue labelling Chk1 with ab17191 at 1/1000 dilution. Detection : DAB.

Immunoprecipitation - Anti-Chk1 antibody (AB17191)
  • IP

Supplier Data

Immunoprecipitation - Anti-Chk1 antibody (AB17191)

Detection of Chk1 by immunoprecipitation of whole cell lysate (1.0 mg per IP reaction; 20% of IP loaded) from HeLa cells. Lane 1 : Anti-Chk1 antibody (ab17191) at 6 µg/mg lysate, Lane 2 : Anti-Chk1 antibody (ab 17191) at 6 µg/mg lysate, Lane 3 : Control IgG was used as a negative control. Detection : Chemiluminescence with an exposure time of 1 seconds.

All lanes:

Immunoprecipitation - Anti-Chk1 antibody (ab17191)

Predicted band size: 54 kDa

false

Western blot - Anti-Chk1 antibody (AB17191)
  • WB

Supplier Data

Western blot - Anti-Chk1 antibody (AB17191)

All lanes:

Western blot - Anti-Chk1 antibody (ab17191) at 0.4 µg/mL

Lane 1:

HeLa (Human cervix adenocarcinoma epithelial cell) whole cell lysate at 50 µg

Lane 2:

HEK-293T (Human epithelial cell line from embryonic kidney transformed with large T antigen) whole cell lysate at 50 µg

Lane 3:

Jurkat (Human T cell leukemia cell line from peripheral blood) whole cell lysate at 50 µg

Lane 4:

TMCK (Mouse SV40 transformed kidney cell line) whole cell lysate at 50 µg

Predicted band size: 54 kDa

false

Exposure time: 30s

Key facts

Host species

Rabbit

Clonality

Polyclonal

Isotype

IgG

Carrier free

No

Reacts with

Human

Applications

IP, WB, IHC-P

applications

Immunogen

Synthetic Peptide within Human CHEK1 aa 250-300. The exact immunogen used to generate this antibody is proprietary information.

O14757

Reactivity data

{ "title": "Reactivity Data", "filters": { "stats": ["", "Species", "Dilution Info", "Notes"], "tabs": { "all-applications": {"fullname" : "All Applications", "shortname": "All Applications"}, "IP" : {"fullname" : "Immunoprecipitation", "shortname":"IP"}, "WB" : {"fullname" : "Western blot", "shortname":"WB"}, "IHCP" : {"fullname" : "Immunohistochemistry (Formalin/PFA-fixed paraffin-embedded sections)", "shortname":"IHC-P"} }, "product-promise": { "all": "all", "testedAndGuaranteed": "tested", "guaranteed": "expected", "predicted": "predicted", "notRecommended": "not-recommended" } }, "values": { "Human": { "IP-species-checked": "testedAndGuaranteed", "IP-species-dilution-info": "2-10 µg/mg of lysate", "IP-species-notes": "<p></p>", "WB-species-checked": "testedAndGuaranteed", "WB-species-dilution-info": "1/10000 - 1/25000", "WB-species-notes": "<p></p>", "IHCP-species-checked": "testedAndGuaranteed", "IHCP-species-dilution-info": "1/1000 - 1/5000", "IHCP-species-notes": "<p></p>" }, "Chimpanzee": { "IP-species-checked": "predicted", "IP-species-dilution-info": "", "IP-species-notes": "", "WB-species-checked": "predicted", "WB-species-dilution-info": "", "WB-species-notes": "", "IHCP-species-checked": "predicted", "IHCP-species-dilution-info": "", "IHCP-species-notes": "" }, "Dog": { "IP-species-checked": "predicted", "IP-species-dilution-info": "", "IP-species-notes": "", "WB-species-checked": "predicted", "WB-species-dilution-info": "", "WB-species-notes": "", "IHCP-species-checked": "predicted", "IHCP-species-dilution-info": "", "IHCP-species-notes": "" }, "Gorilla": { "IP-species-checked": "predicted", "IP-species-dilution-info": "", "IP-species-notes": "", "WB-species-checked": "predicted", "WB-species-dilution-info": "", "WB-species-notes": "", "IHCP-species-checked": "predicted", "IHCP-species-dilution-info": "", "IHCP-species-notes": "" }, "Orangutan": { "IP-species-checked": "predicted", "IP-species-dilution-info": "", "IP-species-notes": "", "WB-species-checked": "predicted", "WB-species-dilution-info": "", "WB-species-notes": "", "IHCP-species-checked": "predicted", "IHCP-species-dilution-info": "", "IHCP-species-notes": "" }, "Pig": { "IP-species-checked": "predicted", "IP-species-dilution-info": "", "IP-species-notes": "", "WB-species-checked": "predicted", "WB-species-dilution-info": "", "WB-species-notes": "", "IHCP-species-checked": "predicted", "IHCP-species-dilution-info": "", "IHCP-species-notes": "" }, "Rhesus monkey": { "IP-species-checked": "predicted", "IP-species-dilution-info": "", "IP-species-notes": "", "WB-species-checked": "predicted", "WB-species-dilution-info": "", "WB-species-notes": "", "IHCP-species-checked": "predicted", "IHCP-species-dilution-info": "", "IHCP-species-notes": "" } } }

Properties and storage information

Form
Liquid
Purification technique
Affinity purification Immunogen
Storage buffer
pH: 7 - 8 Preservative: 0.09% Sodium azide Constituents: PBS, 1.815% Tris, 1.764% Sodium citrate
Shipped at conditions
Blue Ice
Appropriate short-term storage conditions
+4°C
Appropriate long-term storage conditions
+4°C
Aliquoting information
Upon delivery aliquot
Storage information
Avoid freeze / thaw cycle

Product protocols

For this product, it's our understanding that no specific protocols are required. You can visit:

Target data

Serine/threonine-protein kinase which is required for checkpoint-mediated cell cycle arrest and activation of DNA repair in response to the presence of DNA damage or unreplicated DNA (PubMed : 11535615, PubMed : 12399544, PubMed : 12446774, PubMed : 14559997, PubMed : 14988723, PubMed : 15311285, PubMed : 15650047, PubMed : 15665856, PubMed : 32357935). May also negatively regulate cell cycle progression during unperturbed cell cycles (PubMed : 11535615, PubMed : 12399544, PubMed : 12446774, PubMed : 14559997, PubMed : 14988723, PubMed : 15311285, PubMed : 15650047, PubMed : 15665856). This regulation is achieved by a number of mechanisms that together help to preserve the integrity of the genome (PubMed : 11535615, PubMed : 12399544, PubMed : 12446774, PubMed : 14559997, PubMed : 14988723, PubMed : 15311285, PubMed : 15650047, PubMed : 15665856). Recognizes the substrate consensus sequence [R-X-X-S/T] (PubMed : 11535615, PubMed : 12399544, PubMed : 12446774, PubMed : 14559997, PubMed : 14988723, PubMed : 15311285, PubMed : 15650047, PubMed : 15665856). Binds to and phosphorylates CDC25A, CDC25B and CDC25C (PubMed : 12676583, PubMed : 12676925, PubMed : 12759351, PubMed : 14559997, PubMed : 14681206, PubMed : 19734889, PubMed : 9278511). Phosphorylation of CDC25A at 'Ser-178' and 'Thr-507' and phosphorylation of CDC25C at 'Ser-216' creates binding sites for 14-3-3 proteins which inhibit CDC25A and CDC25C (PubMed : 9278511). Phosphorylation of CDC25A at 'Ser-76', 'Ser-124', 'Ser-178', 'Ser-279' and 'Ser-293' promotes proteolysis of CDC25A (PubMed : 12676583, PubMed : 12676925, PubMed : 12759351, PubMed : 14681206, PubMed : 19734889, PubMed : 9278511). Phosphorylation of CDC25A at 'Ser-76' primes the protein for subsequent phosphorylation at 'Ser-79', 'Ser-82' and 'Ser-88' by NEK11, which is required for polyubiquitination and degradation of CDCD25A (PubMed : 19734889, PubMed : 20090422, PubMed : 9278511). Inhibition of CDC25 leads to increased inhibitory tyrosine phosphorylation of CDK-cyclin complexes and blocks cell cycle progression (PubMed : 9278511). Also phosphorylates NEK6 (PubMed : 18728393). Binds to and phosphorylates RAD51 at 'Thr-309', which promotes the release of RAD51 from BRCA2 and enhances the association of RAD51 with chromatin, thereby promoting DNA repair by homologous recombination (PubMed : 15665856). Phosphorylates multiple sites within the C-terminus of TP53, which promotes activation of TP53 by acetylation and promotes cell cycle arrest and suppression of cellular proliferation (PubMed : 10673501, PubMed : 15659650, PubMed : 16511572). Also promotes repair of DNA cross-links through phosphorylation of FANCE (PubMed : 17296736). Binds to and phosphorylates TLK1 at 'Ser-743', which prevents the TLK1-dependent phosphorylation of the chromatin assembly factor ASF1A (PubMed : 12660173, PubMed : 12955071). This may enhance chromatin assembly both in the presence or absence of DNA damage (PubMed : 12660173, PubMed : 12955071). May also play a role in replication fork maintenance through regulation of PCNA (PubMed : 18451105). May regulate the transcription of genes that regulate cell-cycle progression through the phosphorylation of histones (By similarity). Phosphorylates histone H3.1 (to form H3T11ph), which leads to epigenetic inhibition of a subset of genes (By similarity). May also phosphorylate RB1 to promote its interaction with the E2F family of transcription factors and subsequent cell cycle arrest (PubMed : 17380128). Phosphorylates SPRTN, promoting SPRTN recruitment to chromatin (PubMed : 31316063). Reduces replication stress and activates the G2/M checkpoint, by phosphorylating and inactivating PABIR1/FAM122A and promoting the serine/threonine-protein phosphatase 2A-mediated dephosphorylation and stabilization of WEE1 levels and activity (PubMed : 33108758).. Isoform 2. Endogenous repressor of isoform 1, interacts with, and antagonizes CHK1 to promote the S to G2/M phase transition.
See full target information CHEK1

Publications (1)

Recent publications for all applications. Explore the full list and refine your search

European journal of biochemistry 229:517-25 PubMed7744075

1995

The interaction between human papillomavirus type 16 E1 and E2 proteins is blocked by an antibody to the N-terminal region of E2.

Applications

Unspecified application

Species

Unspecified reactive species

M H Hibma,K Raj,S J Ely,M Stanley,L Crawford
View all publications

Product promise

We are committed to supporting your work with high-quality reagents, and we're here for you every step of the way. In the unlikely event that one of our products does not perform as expected, you're protected by our Product Promise.
For full details, please see our Terms & Conditions

Please note: All products are 'FOR RESEARCH USE ONLY. NOT FOR USE IN DIAGNOSTIC OR THERAPEUTIC PROCEDURES'.

For licensing inquiries, please contact partnerships@abcam.com