JavaScript is disabled in your browser. Please enable JavaScript to view this website.
AB210964

Anti-Chk1 antibody [EP691Y] - BSA and Azide free

Be the first to review this product! Submit a review

|

(2 Publications)

Rabbit Recombinant Monoclonal CHK1 antibody. Carrier free. Suitable for IHC-P, ICC/IF, WB, Flow Cyt (Intra) and reacts with Human samples. Cited in 2 publications.

View Alternative Names

CHK1, CHEK1, Serine/threonine-protein kinase Chk1, CHK1 checkpoint homolog, Cell cycle checkpoint kinase, Checkpoint kinase-1

6 Images
Immunocytochemistry/ Immunofluorescence - Anti-Chk1 antibody [EP691Y] - BSA and Azide free (AB210964)
  • ICC/IF

Lab

Immunocytochemistry/ Immunofluorescence - Anti-Chk1 antibody [EP691Y] - BSA and Azide free (AB210964)

Clone EP691Y (ab210964) has been successfully conjugated by Abcam. This image was generated using Anti-Chk1 antibody [EP691Y] (Alexa Fluor® 647). Please refer to ab196520 for protocol details.

ab196520 staining Chk1 in MCF7 cells. The cells were fixed with 4% formaldehyde (10 min), permeabilized in 0.1% Triton X-100 for 5 minutes and then blocked in 1% BSA/10% normal goat serum/0.3M glycine in 0.1% PBS-Tween for 1h. The cells were then incubated with ab196520 at 1/100 dilution (shown in red) and ab195887, Mouse monoclonal [DM1A] to alpha Tubulin (Alexa Fluor® 488, shown in green) at 1/167 dilution, overnight at +4°C. Nuclear DNA was labelled in blue with DAPI.

Image was taken with a confocal microscope (Leica-Microsystems, TCS SP8).

Immunocytochemistry/ Immunofluorescence - Anti-Chk1 antibody [EP691Y] - BSA and Azide free (AB210964)
  • ICC/IF

Lab

Immunocytochemistry/ Immunofluorescence - Anti-Chk1 antibody [EP691Y] - BSA and Azide free (AB210964)

Clone EP691Y (ab210964) has been successfully conjugated by Abcam. This image was generated using Anti-Chk1 antibody [EP691Y] (Alexa Fluor® 488). Please refer to ab196308 for protocol details.

ab196308 staining Chk1 in MCF-7cells. The cells were fixed with 4% formaldehyde (10 min), permeabilised in 0.1% Triton X-100 for 5 minutes and then blocked in 1% BSA/10% normal goat serum/0.3M glycine in 0.1%PBS-Tween for 1h. The cells were then incubated with ab196308 at 1/500 dilution (shown in green) and ab195889, Mouse monoclonal [DM1A] to alpha Tubulin (Alexa Fluor® 594, shown in red) at 1/167 dilution overnight at +4°C. Nuclear DNA was labelled in blue with DAPI.

Image was taken with a confocal microscope (Leica-Microsystems, TCS SP8).

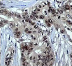
Immunohistochemistry (Formalin/PFA-fixed paraffin-embedded sections) - Anti-Chk1 antibody [EP691Y] - BSA and Azide free (AB210964)
  • IHC-P

Unknown

Immunohistochemistry (Formalin/PFA-fixed paraffin-embedded sections) - Anti-Chk1 antibody [EP691Y] - BSA and Azide free (AB210964)

Immunohistochemical analysis of Chk1 expression in paraffin-embedded human breast carcinoma using ab40866 at a 1 : 250 dilution. Heat mediated antigen retrieval was performed with citrate buffer pH 6 before commencing with IHC staining protocol.

This data was developed using the same antibody clone in a different buffer formulation containing PBS, BSA, glycerol, and sodium azide (ab40866).

Immunocytochemistry/ Immunofluorescence - Anti-Chk1 antibody [EP691Y] - BSA and Azide free (AB210964)
  • ICC/IF

Unknown

Immunocytochemistry/ Immunofluorescence - Anti-Chk1 antibody [EP691Y] - BSA and Azide free (AB210964)

Immunofluorescence staining of MCF7 cells with purified ab40866 at a working dilution of 1/500, counter-stained with DAPI. The secondary antibody was an Alexa Fluor® 488 conjugated goat anti-rabbit (ab150077), used at a dilution of 1/1000. The cells were fixed in 4% PFA and permeabilized using 0.1% Triton X 100. The negative control is shown in bottom right hand panel - for the negative control, PBS was used instead of the primary antibody.

This data was developed using the same antibody clone in a different buffer formulation containing PBS, BSA, glycerol, and sodium azide (ab40866).

Flow Cytometry (Intracellular) - Anti-Chk1 antibody [EP691Y] - BSA and Azide free (AB210964)
  • Flow Cyt (Intra)

Unknown

Flow Cytometry (Intracellular) - Anti-Chk1 antibody [EP691Y] - BSA and Azide free (AB210964)

Overlay histogram showing HeLa cells stained with ab40866 (red line). The cells were fixed with 80% methanol (5 min) and then permeabilized with 0.1% PBS-Tween for 20 min. The cells were then incubated in 1x PBS / 10% normal goat serum / 0.3M glycine to block non-specific protein-protein interactions followed by the antibody (ab40866, 1/1000 dilution) for 30 min at 22°C. The secondary antibody used was Alexa Fluor® 488 goat anti-rabbit IgG (H&L) (ab150077) at 1/2000 dilution for 30 min at 22°C. Isotype control antibody (black line) was rabbit IgG (monoclonal) (0.1μg/1x106 cells) used under the same conditions. Unlabelled sample (blue line) was also used as a control. Acquisition of >5,000 events were collected using a 20mW Argon ion laser (488nm) and 525/30 bandpass filter. This data was developed using the same antibody clone in a different buffer formulation containing PBS, BSA, glycerol, and sodium azide (ab40866).

Western blot - Anti-Chk1 antibody [EP691Y] - BSA and Azide free (AB210964)
  • WB

Lab

Western blot - Anti-Chk1 antibody [EP691Y] - BSA and Azide free (AB210964)

This data was developed using the same antibody clone in a different buffer formulation containing PBS, BSA, glycerol, and sodium azide (ab40866). Anti-CHEK1 antibody [EP691Y] (ab40866) staining at 1/10000 dilution, shown in green; Mouse anti-GAPDH antibody [6C5] (ab8245) loading control staining at 1/20000 dilution, shown in red. In Western blot, ab40866 was shown to bind specifically to CHEK1. A band was observed at 57 kDa in wild-type A549 cell lysates with a reduction in signal observed at this size in CHEK1 heterozygous knockout cell line. To generate this image, wild-type and CHEK1 heterozygous knockout A549 cell lysates were analysed. First, samples were run on an SDS-PAGE gel then transferred onto a nitrocellulose membrane. Membranes were blocked in 3 % milk in TBS-0.1 % Tween® 20 (TBS-T) before incubation with primary antibodies overnight at 4 °C. Blots were washed four times in TBS-T, incubated with secondary antibodies for 1 h at room temperature, washed again four times then imaged. Secondary antibodies used were Goat anti-Rabbit IgG H&L 800CW and Goat anti-Mouse IgG H&L 680RD at 1/20000 dilution.

All lanes:

Western blot - Anti-Chk1 antibody [EP691Y] (<a href='/en-us/products/primary-antibodies/chk1-antibody-ep691y-ab40866'>ab40866</a>) at 1/10000 dilution

Lane 1:

Wild-type A549 cell lysate at 20 µg

Lane 2:

Western blot - Human CHEK1 heterozygous knockout A549 cell line (<a href='/en-us/products/cell-lines/human-chek1-heterozygous-knockout-a549-cell-line-ab276102'>ab276102</a>)

Lane 2:

CHEK1 knockout A549 cell lysate at 20 µg

Lane 3:

A431 cell lysate at 20 µg

Lane 4:

MOLT-4 cell lysate at 20 µg

Secondary

Lanes 1 - 4:

Goat anti-Rabbit IgG H&L 800CW at 1/20000 dilution

Lanes 1 - 4:

Goat anti-Mouse IgG H&L 680RD at 1/20000 dilution

Predicted band size: 54 kDa

Observed band size: 57 kDa

false

Key facts

Host species

Rabbit

Clonality

Monoclonal

Clone number

EP691Y

Isotype

IgG

Carrier free

Yes

Reacts with

Human

Applications

WB, Flow Cyt (Intra), ICC/IF, IHC-P

applications

Immunogen

The exact immunogen used to generate this antibody is proprietary information.

Reactivity data

{ "title": "Reactivity Data", "filters": { "stats": ["", "Species", "Dilution Info", "Notes"], "tabs": { "all-applications": {"fullname" : "All Applications", "shortname": "All Applications"}, "IHCP" : {"fullname" : "Immunohistochemistry (Formalin/PFA-fixed paraffin-embedded sections)", "shortname":"IHC-P"}, "ICCIF" : {"fullname" : "Immunocytochemistry/ Immunofluorescence", "shortname":"ICC/IF"}, "WB" : {"fullname" : "Western blot", "shortname":"WB"}, "FlowCytIntra" : {"fullname" : "Flow Cytometry (Intracellular)", "shortname":"Flow Cyt (Intra)"} }, "product-promise": { "all": "all", "testedAndGuaranteed": "tested", "guaranteed": "expected", "predicted": "predicted", "notRecommended": "not-recommended" } }, "values": { "Human": { "IHCP-species-checked": "testedAndGuaranteed", "IHCP-species-dilution-info": "", "IHCP-species-notes": "<p></p>", "ICCIF-species-checked": "testedAndGuaranteed", "ICCIF-species-dilution-info": "", "ICCIF-species-notes": "<p></p>", "WB-species-checked": "testedAndGuaranteed", "WB-species-dilution-info": "", "WB-species-notes": "<p></p>", "FlowCytIntra-species-checked": "testedAndGuaranteed", "FlowCytIntra-species-dilution-info": "", "FlowCytIntra-species-notes": "<p><a href='/en-us/products/primary-antibodies/rabbit-igg-monoclonal-epr25a-isotype-control-low-endotoxin-azide-free-ab199376'>ab199376</a> - Rabbit monoclonal IgG, is suitable for use as an isotype control with this antibody.</p>" } } }

Product details

ab210964 is the carrier-free version of ab40866.

Species reactivity
Mouse, Rat: We have preliminary internal testing data to indicate this antibody may not react with these species.
Please contact us for more information.

Patented technology
Our RabMAb® technology is a patented hybridoma-based technology for making rabbit monoclonal antibodies. For details on our patents, please refer to RabMAb® patents.

What are the advantages of a recombinant monoclonal antibody?
This product is a recombinant monoclonal antibody, which offers several advantages including:

  • - High batch-to-batch consistency and reproducibility
  • - Improved sensitivity and specificity
  • - Long-term security of supply
  • - Animal-free batch production

For more information, read more on recombinant antibodies.

Conjugation ready
Our carrier-free antibodies are typically supplied in a PBS-only formulation, purified and free of BSA, sodium azide and glycerol. This conjugation-ready format is designed for use with fluorochromes, metal isotopes, oligonucleotides, and enzymes, which makes them ideal for antibody labelling, functional and cell-based assays, flow-based assays (e.g. mass cytometry) and Multiplex Imaging applications.

Use our conjugation kits for antibody conjugates that are ready-to-use in as little as 20 minutes with 1 minute hands-on-time and 100% antibody recovery: available for fluorescent dyes, HRP, biotin and gold.

Compatibility
This product is compatible with the Maxpar® Antibody Labeling Kit from Fluidigm, without the need for antibody preparation. Maxpar® is a trademark of Fluidigm Canada Inc.

Properties and storage information

Form
Liquid
Purification technique
Affinity purification Protein A
Storage buffer
pH: 7.2 - 7.4 Constituents: PBS
Shipped at conditions
Blue Ice
Appropriate short-term storage conditions
+4°C
Appropriate long-term storage conditions
+4°C
Storage information
Do Not Freeze

Product protocols

For this product, it's our understanding that no specific protocols are required. You can visit:

Target data

Serine/threonine-protein kinase which is required for checkpoint-mediated cell cycle arrest and activation of DNA repair in response to the presence of DNA damage or unreplicated DNA (PubMed : 11535615, PubMed : 12399544, PubMed : 12446774, PubMed : 14559997, PubMed : 14988723, PubMed : 15311285, PubMed : 15650047, PubMed : 15665856, PubMed : 32357935). May also negatively regulate cell cycle progression during unperturbed cell cycles (PubMed : 11535615, PubMed : 12399544, PubMed : 12446774, PubMed : 14559997, PubMed : 14988723, PubMed : 15311285, PubMed : 15650047, PubMed : 15665856). This regulation is achieved by a number of mechanisms that together help to preserve the integrity of the genome (PubMed : 11535615, PubMed : 12399544, PubMed : 12446774, PubMed : 14559997, PubMed : 14988723, PubMed : 15311285, PubMed : 15650047, PubMed : 15665856). Recognizes the substrate consensus sequence [R-X-X-S/T] (PubMed : 11535615, PubMed : 12399544, PubMed : 12446774, PubMed : 14559997, PubMed : 14988723, PubMed : 15311285, PubMed : 15650047, PubMed : 15665856). Binds to and phosphorylates CDC25A, CDC25B and CDC25C (PubMed : 12676583, PubMed : 12676925, PubMed : 12759351, PubMed : 14559997, PubMed : 14681206, PubMed : 19734889, PubMed : 9278511). Phosphorylation of CDC25A at 'Ser-178' and 'Thr-507' and phosphorylation of CDC25C at 'Ser-216' creates binding sites for 14-3-3 proteins which inhibit CDC25A and CDC25C (PubMed : 9278511). Phosphorylation of CDC25A at 'Ser-76', 'Ser-124', 'Ser-178', 'Ser-279' and 'Ser-293' promotes proteolysis of CDC25A (PubMed : 12676583, PubMed : 12676925, PubMed : 12759351, PubMed : 14681206, PubMed : 19734889, PubMed : 9278511). Phosphorylation of CDC25A at 'Ser-76' primes the protein for subsequent phosphorylation at 'Ser-79', 'Ser-82' and 'Ser-88' by NEK11, which is required for polyubiquitination and degradation of CDCD25A (PubMed : 19734889, PubMed : 20090422, PubMed : 9278511). Inhibition of CDC25 leads to increased inhibitory tyrosine phosphorylation of CDK-cyclin complexes and blocks cell cycle progression (PubMed : 9278511). Also phosphorylates NEK6 (PubMed : 18728393). Binds to and phosphorylates RAD51 at 'Thr-309', which promotes the release of RAD51 from BRCA2 and enhances the association of RAD51 with chromatin, thereby promoting DNA repair by homologous recombination (PubMed : 15665856). Phosphorylates multiple sites within the C-terminus of TP53, which promotes activation of TP53 by acetylation and promotes cell cycle arrest and suppression of cellular proliferation (PubMed : 10673501, PubMed : 15659650, PubMed : 16511572). Also promotes repair of DNA cross-links through phosphorylation of FANCE (PubMed : 17296736). Binds to and phosphorylates TLK1 at 'Ser-743', which prevents the TLK1-dependent phosphorylation of the chromatin assembly factor ASF1A (PubMed : 12660173, PubMed : 12955071). This may enhance chromatin assembly both in the presence or absence of DNA damage (PubMed : 12660173, PubMed : 12955071). May also play a role in replication fork maintenance through regulation of PCNA (PubMed : 18451105). May regulate the transcription of genes that regulate cell-cycle progression through the phosphorylation of histones (By similarity). Phosphorylates histone H3.1 (to form H3T11ph), which leads to epigenetic inhibition of a subset of genes (By similarity). May also phosphorylate RB1 to promote its interaction with the E2F family of transcription factors and subsequent cell cycle arrest (PubMed : 17380128). Phosphorylates SPRTN, promoting SPRTN recruitment to chromatin (PubMed : 31316063). Reduces replication stress and activates the G2/M checkpoint, by phosphorylating and inactivating PABIR1/FAM122A and promoting the serine/threonine-protein phosphatase 2A-mediated dephosphorylation and stabilization of WEE1 levels and activity (PubMed : 33108758).. Isoform 2. Endogenous repressor of isoform 1, interacts with, and antagonizes CHK1 to promote the S to G2/M phase transition.
See full target information CHEK1

Publications (2)

Recent publications for all applications. Explore the full list and refine your search

Aging 16:11062-11071 PubMed38975935

2024

Sevoflurane impedes neuropathic pain by maintaining endoplasmic reticulum stress and oxidative stress homeostasis through inhibiting the activation of the PLCγ/CaMKII/IP3R signaling pathway.

Applications

Unspecified application

Species

Unspecified reactive species

An Xie,Xianjie Zhang,Feng Ju,Yukai Zhou,Dan Wu,Jia Han

Cancer cell 39:566-579.e7 PubMed33848478

2021

Therapeutic targeting of ATR yields durable regressions in small cell lung cancers with high replication stress.

Applications

Unspecified application

Species

Unspecified reactive species

Anish Thomas,Nobuyuki Takahashi,Vinodh N Rajapakse,Xiaohu Zhang,Yilun Sun,Michele Ceribelli,Kelli M Wilson,Yang Zhang,Erin Beck,Linda Sciuto,Samantha Nichols,Brian Elenbaas,Janusz Puc,Heike Dahmen,Astrid Zimmermann,Jillian Varonin,Christopher W Schultz,Sehyun Kim,Hirity Shimellis,Parth Desai,Carleen Klumpp-Thomas,Lu Chen,Jameson Travers,Crystal McKnight,Sam Michael,Zina Itkin,Sunmin Lee,Akira Yuno,Min-Jung Lee,Christophe E Redon,Jessica D Kindrick,Cody J Peer,Jun S Wei,Mirit I Aladjem,William Douglas Figg,Seth M Steinberg,Jane B Trepel,Frank T Zenke,Yves Pommier,Javed Khan,Craig J Thomas
View all publications

Product promise

We are committed to supporting your work with high-quality reagents, and we're here for you every step of the way. In the unlikely event that one of our products does not perform as expected, you're protected by our Product Promise.
For full details, please see our Terms & Conditions

Please note: All products are 'FOR RESEARCH USE ONLY. NOT FOR USE IN DIAGNOSTIC OR THERAPEUTIC PROCEDURES'.

For licensing inquiries, please contact partnerships@abcam.com