JavaScript is disabled in your browser. Please enable JavaScript to view this website.
AB283261

Anti-Chk1 (phospho S345) antibody [EPR24754-147]

Be the first to review this product! Submit a review

|

(1 Publication)

Rabbit Recombinant Monoclonal CHK1 phospho S345 antibody. Suitable for Dot, WB and reacts with Synthetic peptide - Human, Human samples. Cited in 1 publication.

View Alternative Names

CHK1, CHEK1, Serine/threonine-protein kinase Chk1, CHK1 checkpoint homolog, Cell cycle checkpoint kinase, Checkpoint kinase-1

3 Images
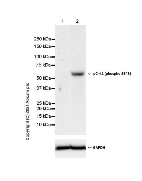
Western blot - Anti-Chk1 (phospho S345) antibody [EPR24754-147] (AB283261)
  • WB

Lab

Western blot - Anti-Chk1 (phospho S345) antibody [EPR24754-147] (AB283261)

Blocking and diluting buffer and concentration : 5% NFDM/TBST. UV-C treatment induces phosphorylation of Chk1 at Ser345 (PMID : 20609246).

This blot was developed using a higher sensitivity ECL substrate.

All lanes:

Western blot - Anti-Chk1 (phospho S345) antibody [EPR24754-147] (ab283261) at 1/1000 dilution

Lane 1:

HeLa (human cervix adenocarcinoma epithelial cell) whole cell lysate at 20 µg

Lane 2:

HeLa treated with 100 J/m2 UV-C then recovery for 1 hour whole cell lysate at 20 µg

Secondary

All lanes:

Western blot - Goat Anti-Rabbit IgG H&L (HRP) (<a href='/en-us/products/secondary-antibodies/goat-rabbit-igg-h-l-hrp-ab97051'>ab97051</a>) at 1/20000 dilution

Predicted band size: 54 kDa

Observed band size: 56 kDa

false

Exposure time: 70s

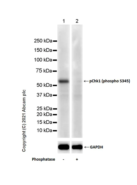
Western blot - Anti-Chk1 (phospho S345) antibody [EPR24754-147] (AB283261)
  • WB

Lab

Western blot - Anti-Chk1 (phospho S345) antibody [EPR24754-147] (AB283261)

Blocking and diluting buffer and concentration : 5% NFDM/TBST. UV-C treatment induces phosphorylation of Chk1 at Ser345 (PMID : 20609246).

This blot was developed using a higher sensitivity ECL substrate.

All lanes:

Western blot - Anti-Chk1 (phospho S345) antibody [EPR24754-147] (ab283261) at 1/1000 dilution

Lane 1:

HeLa (human cervix adenocarcinoma epithelial cell) treated with 100 J/m2 UV-C then recovery for 1 hour whole cell lysate at 20 µg

Lane 2:

HeLa treated with 100 J/m2 UV-C then recovery for 1 hour whole cell lysate (phosphatase treated membrane) at 20 µg

Secondary

All lanes:

Western blot - Goat Anti-Rabbit IgG H&L (HRP) (<a href='/en-us/products/secondary-antibodies/goat-rabbit-igg-h-l-hrp-ab97051'>ab97051</a>) at 1/20000 dilution

Predicted band size: 54 kDa

Observed band size: 56 kDa

false

Exposure time: 70s

Dot Blot - Anti-Chk1 (phospho S345) antibody [EPR24754-147] (AB283261)
  • Dot

Supplier Data

Dot Blot - Anti-Chk1 (phospho S345) antibody [EPR24754-147] (AB283261)

Dot blot analysis of Chk1 (phospho S345) using ab283261 at 1/1000 (0.614 μg/mL) followed by a Goat Anti-Rabbit IgG, (H+L), Peroxidase conjugated (ab97051) at 1/100,000 dilution.

Lane 1 : Human pChk1 (phospho S345) peptide1

Lane 2 : Human pChk1 (phospho S345) peptide2

Lane 3 : Human Chk1 non-phospho peptide

Exposure time : 3 minutes.

Blocking and diluting buffer and concentration : 5% NFDM/TBST.

  • Carrier free

    Anti-Chk1 (phospho S345) antibody [EPR24754-147] - BSA and Azide free

Key facts

Host species

Rabbit

Clonality

Monoclonal

Clone number

EPR24754-147

Isotype

IgG

Carrier free

No

Reacts with

Human

Applications

WB, Dot

applications

Immunogen

The exact immunogen used to generate this antibody is proprietary information.

Reactivity data

{ "title": "Reactivity Data", "filters": { "stats": ["", "Species", "Dilution Info", "Notes"], "tabs": { "all-applications": {"fullname" : "All Applications", "shortname": "All Applications"}, "ICCIF" : {"fullname" : "Immunocytochemistry/ Immunofluorescence", "shortname":"ICC/IF"}, "Dot" : {"fullname" : "Dot Blot", "shortname":"Dot"}, "WB" : {"fullname" : "Western blot", "shortname":"WB"}, "IHCP" : {"fullname" : "Immunohistochemistry (Formalin/PFA-fixed paraffin-embedded sections)", "shortname":"IHC-P"}, "FlowCytIntra" : {"fullname" : "Flow Cytometry (Intracellular)", "shortname":"Flow Cyt (Intra)"} }, "product-promise": { "all": "all", "testedAndGuaranteed": "tested", "guaranteed": "expected", "predicted": "predicted", "notRecommended": "not-recommended" } }, "values": { "Human": { "ICCIF-species-checked": "notRecommended", "ICCIF-species-dilution-info": "", "ICCIF-species-notes": "<p></p>", "Dot-species-checked": "guaranteed", "Dot-species-dilution-info": "", "Dot-species-notes": "", "WB-species-checked": "testedAndGuaranteed", "WB-species-dilution-info": "1/1000", "WB-species-notes": "<p></p>", "IHCP-species-checked": "notRecommended", "IHCP-species-dilution-info": "", "IHCP-species-notes": "<p></p>", "FlowCytIntra-species-checked": "notRecommended", "FlowCytIntra-species-dilution-info": "", "FlowCytIntra-species-notes": "<p></p>" }, "Mouse": { "ICCIF-species-checked": "notRecommended", "ICCIF-species-dilution-info": "", "ICCIF-species-notes": "", "Dot-species-checked": "notRecommended", "Dot-species-dilution-info": "", "Dot-species-notes": "", "WB-species-checked": "notRecommended", "WB-species-dilution-info": "1/1000", "WB-species-notes": "<p></p>", "IHCP-species-checked": "notRecommended", "IHCP-species-dilution-info": "", "IHCP-species-notes": "<p></p>", "FlowCytIntra-species-checked": "notRecommended", "FlowCytIntra-species-dilution-info": "", "FlowCytIntra-species-notes": "" }, "Rat": { "ICCIF-species-checked": "notRecommended", "ICCIF-species-dilution-info": "", "ICCIF-species-notes": "", "Dot-species-checked": "notRecommended", "Dot-species-dilution-info": "", "Dot-species-notes": "", "WB-species-checked": "notRecommended", "WB-species-dilution-info": "1/1000", "WB-species-notes": "<p></p>", "IHCP-species-checked": "notRecommended", "IHCP-species-dilution-info": "", "IHCP-species-notes": "<p></p>", "FlowCytIntra-species-checked": "notRecommended", "FlowCytIntra-species-dilution-info": "", "FlowCytIntra-species-notes": "" }, "Synthetic peptide - Human": { "ICCIF-species-checked": "notRecommended", "ICCIF-species-dilution-info": "", "ICCIF-species-notes": "", "Dot-species-checked": "testedAndGuaranteed", "Dot-species-dilution-info": "1/1000", "Dot-species-notes": "<p></p>", "WB-species-checked": "notRecommended", "WB-species-dilution-info": "", "WB-species-notes": "", "IHCP-species-checked": "notRecommended", "IHCP-species-dilution-info": "", "IHCP-species-notes": "", "FlowCytIntra-species-checked": "notRecommended", "FlowCytIntra-species-dilution-info": "", "FlowCytIntra-species-notes": "" } } }

You may be interested in:

AB304942

Human Chk1 ELISA Kit

0

0 Reviews

View product

We recommend this product because it’s often used in the same experiment or related research.

We advise that you always check the datasheet to ensure it fits your experiments, or contact ourtechnical teamfor help.

Product details

Patented technology
Our RabMAb® technology is a patented hybridoma-based technology for making rabbit monoclonal antibodies. For details on our patents, please refer to RabMAb® patents.

What are the advantages of a recombinant monoclonal antibody?
This product is a recombinant monoclonal antibody, which offers several advantages including:

  • - High batch-to-batch consistency and reproducibility
  • - Improved sensitivity and specificity
  • - Long-term security of supply
  • - Animal-free batch production

For more information, read more on recombinant antibodies.

Properties and storage information

Form
Liquid
Purification technique
Affinity purification Protein A
Storage buffer
pH: 7.2 - 7.4 Preservative: 0.01% Sodium azide Constituents: 59.94% PBS, 40% Glycerol (glycerin, glycerine), 0.05% BSA
Shipped at conditions
Blue Ice
Appropriate short-term storage duration
1-2 weeks
Appropriate short-term storage conditions
+4°C
Appropriate long-term storage conditions
-20°C
Aliquoting information
Upon delivery aliquot
Storage information
Avoid freeze / thaw cycle

Product protocols

For this product, it's our understanding that no specific protocols are required. You can visit:

Target data

Serine/threonine-protein kinase which is required for checkpoint-mediated cell cycle arrest and activation of DNA repair in response to the presence of DNA damage or unreplicated DNA (PubMed : 11535615, PubMed : 12399544, PubMed : 12446774, PubMed : 14559997, PubMed : 14988723, PubMed : 15311285, PubMed : 15650047, PubMed : 15665856, PubMed : 32357935). May also negatively regulate cell cycle progression during unperturbed cell cycles (PubMed : 11535615, PubMed : 12399544, PubMed : 12446774, PubMed : 14559997, PubMed : 14988723, PubMed : 15311285, PubMed : 15650047, PubMed : 15665856). This regulation is achieved by a number of mechanisms that together help to preserve the integrity of the genome (PubMed : 11535615, PubMed : 12399544, PubMed : 12446774, PubMed : 14559997, PubMed : 14988723, PubMed : 15311285, PubMed : 15650047, PubMed : 15665856). Recognizes the substrate consensus sequence [R-X-X-S/T] (PubMed : 11535615, PubMed : 12399544, PubMed : 12446774, PubMed : 14559997, PubMed : 14988723, PubMed : 15311285, PubMed : 15650047, PubMed : 15665856). Binds to and phosphorylates CDC25A, CDC25B and CDC25C (PubMed : 12676583, PubMed : 12676925, PubMed : 12759351, PubMed : 14559997, PubMed : 14681206, PubMed : 19734889, PubMed : 9278511). Phosphorylation of CDC25A at 'Ser-178' and 'Thr-507' and phosphorylation of CDC25C at 'Ser-216' creates binding sites for 14-3-3 proteins which inhibit CDC25A and CDC25C (PubMed : 9278511). Phosphorylation of CDC25A at 'Ser-76', 'Ser-124', 'Ser-178', 'Ser-279' and 'Ser-293' promotes proteolysis of CDC25A (PubMed : 12676583, PubMed : 12676925, PubMed : 12759351, PubMed : 14681206, PubMed : 19734889, PubMed : 9278511). Phosphorylation of CDC25A at 'Ser-76' primes the protein for subsequent phosphorylation at 'Ser-79', 'Ser-82' and 'Ser-88' by NEK11, which is required for polyubiquitination and degradation of CDCD25A (PubMed : 19734889, PubMed : 20090422, PubMed : 9278511). Inhibition of CDC25 leads to increased inhibitory tyrosine phosphorylation of CDK-cyclin complexes and blocks cell cycle progression (PubMed : 9278511). Also phosphorylates NEK6 (PubMed : 18728393). Binds to and phosphorylates RAD51 at 'Thr-309', which promotes the release of RAD51 from BRCA2 and enhances the association of RAD51 with chromatin, thereby promoting DNA repair by homologous recombination (PubMed : 15665856). Phosphorylates multiple sites within the C-terminus of TP53, which promotes activation of TP53 by acetylation and promotes cell cycle arrest and suppression of cellular proliferation (PubMed : 10673501, PubMed : 15659650, PubMed : 16511572). Also promotes repair of DNA cross-links through phosphorylation of FANCE (PubMed : 17296736). Binds to and phosphorylates TLK1 at 'Ser-743', which prevents the TLK1-dependent phosphorylation of the chromatin assembly factor ASF1A (PubMed : 12660173, PubMed : 12955071). This may enhance chromatin assembly both in the presence or absence of DNA damage (PubMed : 12660173, PubMed : 12955071). May also play a role in replication fork maintenance through regulation of PCNA (PubMed : 18451105). May regulate the transcription of genes that regulate cell-cycle progression through the phosphorylation of histones (By similarity). Phosphorylates histone H3.1 (to form H3T11ph), which leads to epigenetic inhibition of a subset of genes (By similarity). May also phosphorylate RB1 to promote its interaction with the E2F family of transcription factors and subsequent cell cycle arrest (PubMed : 17380128). Phosphorylates SPRTN, promoting SPRTN recruitment to chromatin (PubMed : 31316063). Reduces replication stress and activates the G2/M checkpoint, by phosphorylating and inactivating PABIR1/FAM122A and promoting the serine/threonine-protein phosphatase 2A-mediated dephosphorylation and stabilization of WEE1 levels and activity (PubMed : 33108758).. Isoform 2. Endogenous repressor of isoform 1, interacts with, and antagonizes CHK1 to promote the S to G2/M phase transition.
See full target information CHEK1 phospho S345

Publications (1)

Recent publications for all applications. Explore the full list and refine your search

Frontiers in pharmacology 13:990401 PubMed36204234

2022

AZD6738 Inhibits fibrotic response of conjunctival fibroblasts by regulating checkpoint kinase 1/ and / pathways.

Applications

Unspecified application

Species

Unspecified reactive species

Longxiang Huang,Qin Ye,Chunlin Lan,Xiaohui Wang,Yihua Zhu
View all publications

Product promise

We are committed to supporting your work with high-quality reagents, and we're here for you every step of the way. In the unlikely event that one of our products does not perform as expected, you're protected by our Product Promise.
For full details, please see our Terms & Conditions

Please note: All products are 'FOR RESEARCH USE ONLY. NOT FOR USE IN DIAGNOSTIC OR THERAPEUTIC PROCEDURES'.

For licensing inquiries, please contact partnerships@abcam.com