JavaScript is disabled in your browser. Please enable JavaScript to view this website.
AB325676

Anti-Chk1 (phospho S345) antibody [EPR30270-566] - BSA and Azide free

Be the first to review this product! Submit a review

|

(0 Publication)

Rabbit Recombinant Monoclonal CHK1 phospho S345 antibody. Carrier free. Suitable for Dot, ICC/IF, WB and reacts with Synthetic peptide - Human, Human, Transfected cell lysate - Human samples.

View Alternative Names

CHK1, CHEK1, Serine/threonine-protein kinase Chk1, CHK1 checkpoint homolog, Cell cycle checkpoint kinase, Checkpoint kinase-1

4 Images
Immunocytochemistry/ Immunofluorescence - Anti-Chk1 (phospho S345) antibody [EPR30270-566] - BSA and Azide free (AB325676)
  • ICC/IF

Supplier Data

Immunocytochemistry/ Immunofluorescence - Anti-Chk1 (phospho S345) antibody [EPR30270-566] - BSA and Azide free (AB325676)

This data was developed using ab325675, the same antibody clone in a different buffer formulation.

Immunofluorescent analysis of 4% Paraformaldehyde-fixed, 0.1% TritonX-100 permeabilized Synchronized G1/S HeLa (human cervical adenocarcinoma epithelial cell), Synchronized G1/S HeLa cells treated with UV-C (100 J/m2) and then recovery for 1 hr and Synchronized G1/S HeLa cells treated with UV-C (100 J/m2) and then recovery for 1 hr and treated with phosphatase at 37℃ for 2h labelling Chk1 (phospho S345) with ab325675 at 1/500 (1.02 ug/ml) dilution, followed by ab150081 Goat Anti-Rabbit IgG H&L (Alexa Fluor® 488) preadsorbed antibody at 1/1000 (2 ug/ml) dilution (Green).

Confocal image showing increased nuclear staining in HeLa cells (shown in green) treated with UV-C (100 J/m2) and then recovery for 1 hr, and the signal decreased after phosphatase treatment at 37℃ for 2h. The counterstain was observed in magenta. Nuclear DNA was labelled with DAPI (shown in blue). Image was taken with a confocal microscope (Leica-Microsystems, TCS SP8).

ab7291 Anti-alpha Tubulin mouse monoclonal antibody was used to counterstain tubulin at 1/1000 (1 ug/ml) dilution, followed by ab150120 Goat Anti-Mouse IgG H&L (Alexa Fluor® 594) at 1/1000 (2 ug/ml) dilution (Magenta).

Western blot - Anti-Chk1 (phospho S345) antibody [EPR30270-566] - BSA and Azide free (AB325676)
  • WB

Supplier Data

Western blot - Anti-Chk1 (phospho S345) antibody [EPR30270-566] - BSA and Azide free (AB325676)

This data was developed using ab325675, the same antibody clone in a different buffer formulation.

Blocking and diluting buffer and concentration : 5% NFDM/TBST.

In Western blot, Anti-GAPDH antibody [EPR16891] - Loading Control (ab181602) staining at 1/200000 dilution.

In Western blot, Anti-6X His tag® antibody [EPR20547] - ChIP Grade (ab213204) staining at 1/5000 dilution.

All lanes:

Western blot - Anti-Chk1 (phospho S345) antibody [EPR30270-566] (<a href='/en-us/products/primary-antibodies/chk1-phospho-s345-antibody-epr30270-566-ab325675'>ab325675</a>) at 1/1000 dilution

Lane 1:

293T (human embryonic kidney epithelial cell) transfected with an empty vector containing a myc-His-tag® whole cell lysate at 20 µg

Lane 2:

293T transfected with a human wild-type Chk1 expression vector containing a myc-His-tag® whole cell lysate at 20 µg

Lane 3:

293T transfected with a human Chk1 (S345A mutation) expression vector containing a myc-His-tag® whole cell lysate at 20 µg

Secondary

All lanes:

Western blot - Goat Anti-Rabbit IgG H&L (HRP) (<a href='/en-us/products/secondary-antibodies/goat-rabbit-igg-h-l-hrp-ab97051'>ab97051</a>) at 1/20000 dilution

Observed band size: 56 kDa,36 kDa

false

Exposure time: 37s

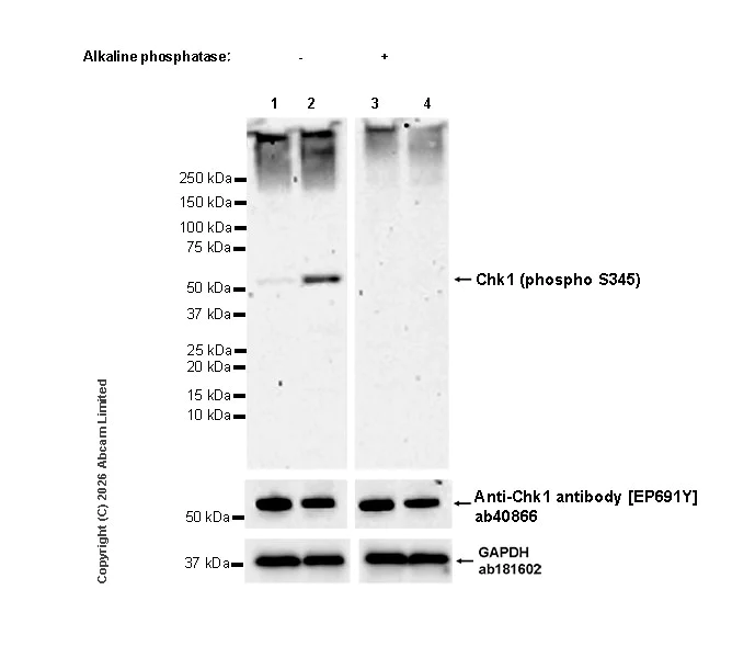
Western blot - Anti-Chk1 (phospho S345) antibody [EPR30270-566] - BSA and Azide free (AB325676)
  • WB

Supplier Data

Western blot - Anti-Chk1 (phospho S345) antibody [EPR30270-566] - BSA and Azide free (AB325676)

This data was developed using ab325675, the same antibody clone in a different buffer formulation.

Blocking and diluting buffer and concentration : 5% NFDM/TBST.

UV-C treatment induces phosphorylation of Chk1 at Ser345 (PMID : 20609246).

The identity of the bands higher than 150 kDa are unknown.

In Western blot, Anti-GAPDH antibody [EPR16891] - Loading Control (ab181602) staining at 1/200000 dilution.

In Western blot, Anti-Chk1 antibody [EP691Y] (ab40866) staining at 56KDa dilution.

All lanes:

Western blot - Anti-Chk1 (phospho S345) antibody [EPR30270-566] (<a href='/en-us/products/primary-antibodies/chk1-phospho-s345-antibody-epr30270-566-ab325675'>ab325675</a>) at 1/1000 dilution

Lane 1:

Untreated Synchronized G1/S HeLa (human cervix adenocarcinoma epithelial cell) whole cell lysate (untreated membrane) at 20 µg

Lane 2:

Synchronized G1/S HeLa treated with 100 J/m2 UV-C, then recovery for 1 hour whole cell lysate (untreated membrane) at 20 µg

Lane 3:

Untreated Synchronized G1/S HeLa (human cervix adenocarcinoma epithelial cell) whole cell lysate (phosphatase treated membrane) at 20 µg

Lane 4:

Synchronized G1/S HeLa treated with 100 J/m2 UV-C, then recovery for 1 hour whole cell lysate (phosphatase treated membrane) at 20 µg

Secondary

All lanes:

Western blot - Goat Anti-Rabbit IgG H&L (HRP) (<a href='/en-us/products/secondary-antibodies/goat-rabbit-igg-h-l-hrp-ab97051'>ab97051</a>) at 1/20000 dilution

Observed band size: 56 kDa,36 kDa

false

Exposure time: 180s

Dot Blot - Anti-Chk1 (phospho S345) antibody [EPR30270-566] - BSA and Azide free (AB325676)
  • Dot

Supplier Data

Dot Blot - Anti-Chk1 (phospho S345) antibody [EPR30270-566] - BSA and Azide free (AB325676)

This data was developed using ab325675, the same antibody clone in a different buffer formulation.

Dot blot analysis of Chk1 (phospho S345) using ab325675 at 1 : 1000 (0.51 ug/ml) followed by a Goat Anti-Rabbit IgG, (H+L), Peroxidase conjugated (ab97051) at 1 : 100,000 dilution.

Lane1 : Human Chk1 (phospho S345) peptide a
Lane2 : Human Chk1 (phospho S345) peptide b
Lane3 : Human Chk1 (non-phospho) peptide

Exposure time : 180 seconds.

Blocking and diluting buffer and concentration : 5% NFDM/TBST.

All lanes:

Dot Blot - Anti-Chk1 (phospho S345) antibody [EPR30270-566] (<a href='/en-us/products/primary-antibodies/chk1-phospho-s345-antibody-epr30270-566-ab325675'>ab325675</a>) at 1/1000 dilution

Lane 1:

Human Chk1 (phospho S345) peptide a

Lane 2:

Human Chk1 (phospho S345) peptide b

Lane 3:

Human Chk1 (non-phospho) peptide

Secondary

All lanes:

Dot Blot - Goat Anti-Rabbit IgG H&L (HRP) (<a href='/en-us/products/secondary-antibodies/goat-rabbit-igg-h-l-hrp-ab97051'>ab97051</a>) at 1/100000 dilution

false

Exposure time: 180s

Key facts

Host species

Rabbit

Clonality

Monoclonal

Clone number

EPR30270-566

Isotype

IgG

Carrier free

Yes

Reacts with

Human

Applications

WB, ICC/IF, Dot

applications

Immunogen

The exact immunogen used to generate this antibody is proprietary information.

Reactivity data

{ "title": "Reactivity Data", "filters": { "stats": ["", "Species", "Dilution Info", "Notes"], "tabs": { "all-applications": {"fullname" : "All Applications", "shortname": "All Applications"}, "Dot" : {"fullname" : "Dot Blot", "shortname":"Dot"}, "ICCIF" : {"fullname" : "Immunocytochemistry/ Immunofluorescence", "shortname":"ICC/IF"}, "WB" : {"fullname" : "Western blot", "shortname":"WB"}, "IHCP" : {"fullname" : "Immunohistochemistry (Formalin/PFA-fixed paraffin-embedded sections)", "shortname":"IHC-P"} }, "product-promise": { "all": "all", "testedAndGuaranteed": "tested", "guaranteed": "expected", "predicted": "predicted", "notRecommended": "not-recommended" } }, "values": { "Human": { "Dot-species-checked": "guaranteed", "Dot-species-dilution-info": "", "Dot-species-notes": "", "ICCIF-species-checked": "testedAndGuaranteed", "ICCIF-species-dilution-info": "", "ICCIF-species-notes": "<p></p>", "WB-species-checked": "testedAndGuaranteed", "WB-species-dilution-info": "", "WB-species-notes": "<p></p>", "IHCP-species-checked": "notRecommended", "IHCP-species-dilution-info": "", "IHCP-species-notes": "<p></p>" }, "Mouse": { "Dot-species-checked": "notRecommended", "Dot-species-dilution-info": "", "Dot-species-notes": "", "ICCIF-species-checked": "notRecommended", "ICCIF-species-dilution-info": "", "ICCIF-species-notes": "", "WB-species-checked": "notRecommended", "WB-species-dilution-info": "", "WB-species-notes": "<p></p>", "IHCP-species-checked": "notRecommended", "IHCP-species-dilution-info": "", "IHCP-species-notes": "<p></p>" }, "Synthetic peptide - Human": { "Dot-species-checked": "testedAndGuaranteed", "Dot-species-dilution-info": "", "Dot-species-notes": "<p></p>", "ICCIF-species-checked": "notRecommended", "ICCIF-species-dilution-info": "", "ICCIF-species-notes": "", "WB-species-checked": "notRecommended", "WB-species-dilution-info": "", "WB-species-notes": "", "IHCP-species-checked": "notRecommended", "IHCP-species-dilution-info": "", "IHCP-species-notes": "" }, "Transfected cell lysate - Human": { "Dot-species-checked": "notRecommended", "Dot-species-dilution-info": "", "Dot-species-notes": "", "ICCIF-species-checked": "notRecommended", "ICCIF-species-dilution-info": "", "ICCIF-species-notes": "", "WB-species-checked": "testedAndGuaranteed", "WB-species-dilution-info": "", "WB-species-notes": "<p></p>", "IHCP-species-checked": "notRecommended", "IHCP-species-dilution-info": "", "IHCP-species-notes": "" } } }

Product details

ab325676 is the PBS only version of ab325675.

Patented technology
Our RabMAb® technology is a patented hybridoma-based technology for making rabbit monoclonal antibodies. For details on our patents, please refer to RabMAb® patents.

What are the advantages of a recombinant monoclonal antibody?
This product is a recombinant monoclonal antibody, which offers several advantages including:

  • - High batch-to-batch consistency and reproducibility
  • - Improved sensitivity and specificity
  • - Long-term security of supply
  • - Animal-free batch production

For more information, read more on recombinant antibodies.

Conjugation ready
Our carrier-free antibodies are typically supplied in a PBS-only formulation, purified and free of BSA, sodium azide and glycerol. This conjugation-ready format is designed for use with fluorochromes, metal isotopes, oligonucleotides, and enzymes, which makes them ideal for antibody labelling, functional and cell-based assays, flow-based assays (e.g. mass cytometry) and Multiplex Imaging applications.

Use our conjugation kits for antibody conjugates that are ready-to-use in as little as 20 minutes with 1 minute hands-on-time and 100% antibody recovery: available for fluorescent dyes, HRP, biotin and gold.

Compatibility
This product is compatible with the Maxpar® Antibody Labeling Kit from Fluidigm, without the need for antibody preparation. Maxpar® is a trademark of Fluidigm Canada Inc.

Properties and storage information

Form
Liquid
Purification technique
Affinity purification Protein A
Storage buffer
pH: 7.2 - 7.4 Constituents: PBS
Shipped at conditions
Blue Ice
Appropriate short-term storage conditions
+4°C
Appropriate long-term storage conditions
+4°C

Product protocols

For this product, it's our understanding that no specific protocols are required. You can visit:

Target data

Serine/threonine-protein kinase which is required for checkpoint-mediated cell cycle arrest and activation of DNA repair in response to the presence of DNA damage or unreplicated DNA (PubMed : 11535615, PubMed : 12399544, PubMed : 12446774, PubMed : 14559997, PubMed : 14988723, PubMed : 15311285, PubMed : 15650047, PubMed : 15665856, PubMed : 32357935). May also negatively regulate cell cycle progression during unperturbed cell cycles (PubMed : 11535615, PubMed : 12399544, PubMed : 12446774, PubMed : 14559997, PubMed : 14988723, PubMed : 15311285, PubMed : 15650047, PubMed : 15665856). This regulation is achieved by a number of mechanisms that together help to preserve the integrity of the genome (PubMed : 11535615, PubMed : 12399544, PubMed : 12446774, PubMed : 14559997, PubMed : 14988723, PubMed : 15311285, PubMed : 15650047, PubMed : 15665856). Recognizes the substrate consensus sequence [R-X-X-S/T] (PubMed : 11535615, PubMed : 12399544, PubMed : 12446774, PubMed : 14559997, PubMed : 14988723, PubMed : 15311285, PubMed : 15650047, PubMed : 15665856). Binds to and phosphorylates CDC25A, CDC25B and CDC25C (PubMed : 12676583, PubMed : 12676925, PubMed : 12759351, PubMed : 14559997, PubMed : 14681206, PubMed : 19734889, PubMed : 9278511). Phosphorylation of CDC25A at 'Ser-178' and 'Thr-507' and phosphorylation of CDC25C at 'Ser-216' creates binding sites for 14-3-3 proteins which inhibit CDC25A and CDC25C (PubMed : 9278511). Phosphorylation of CDC25A at 'Ser-76', 'Ser-124', 'Ser-178', 'Ser-279' and 'Ser-293' promotes proteolysis of CDC25A (PubMed : 12676583, PubMed : 12676925, PubMed : 12759351, PubMed : 14681206, PubMed : 19734889, PubMed : 9278511). Phosphorylation of CDC25A at 'Ser-76' primes the protein for subsequent phosphorylation at 'Ser-79', 'Ser-82' and 'Ser-88' by NEK11, which is required for polyubiquitination and degradation of CDCD25A (PubMed : 19734889, PubMed : 20090422, PubMed : 9278511). Inhibition of CDC25 leads to increased inhibitory tyrosine phosphorylation of CDK-cyclin complexes and blocks cell cycle progression (PubMed : 9278511). Also phosphorylates NEK6 (PubMed : 18728393). Binds to and phosphorylates RAD51 at 'Thr-309', which promotes the release of RAD51 from BRCA2 and enhances the association of RAD51 with chromatin, thereby promoting DNA repair by homologous recombination (PubMed : 15665856). Phosphorylates multiple sites within the C-terminus of TP53, which promotes activation of TP53 by acetylation and promotes cell cycle arrest and suppression of cellular proliferation (PubMed : 10673501, PubMed : 15659650, PubMed : 16511572). Also promotes repair of DNA cross-links through phosphorylation of FANCE (PubMed : 17296736). Binds to and phosphorylates TLK1 at 'Ser-743', which prevents the TLK1-dependent phosphorylation of the chromatin assembly factor ASF1A (PubMed : 12660173, PubMed : 12955071). This may enhance chromatin assembly both in the presence or absence of DNA damage (PubMed : 12660173, PubMed : 12955071). May also play a role in replication fork maintenance through regulation of PCNA (PubMed : 18451105). May regulate the transcription of genes that regulate cell-cycle progression through the phosphorylation of histones (By similarity). Phosphorylates histone H3.1 (to form H3T11ph), which leads to epigenetic inhibition of a subset of genes (By similarity). May also phosphorylate RB1 to promote its interaction with the E2F family of transcription factors and subsequent cell cycle arrest (PubMed : 17380128). Phosphorylates SPRTN, promoting SPRTN recruitment to chromatin (PubMed : 31316063). Reduces replication stress and activates the G2/M checkpoint, by phosphorylating and inactivating PABIR1/FAM122A and promoting the serine/threonine-protein phosphatase 2A-mediated dephosphorylation and stabilization of WEE1 levels and activity (PubMed : 33108758).. Isoform 2. Endogenous repressor of isoform 1, interacts with, and antagonizes CHK1 to promote the S to G2/M phase transition.
See full target information CHEK1 phospho S345

Product promise

We are committed to supporting your work with high-quality reagents, and we're here for you every step of the way. In the unlikely event that one of our products does not perform as expected, you're protected by our Product Promise.
For full details, please see our Terms & Conditions

Please note: All products are 'FOR RESEARCH USE ONLY. NOT FOR USE IN DIAGNOSTIC OR THERAPEUTIC PROCEDURES'.

For licensing inquiries, please contact partnerships@abcam.com