JavaScript is disabled in your browser. Please enable JavaScript to view this website.
AB47433

Anti-Chk2 antibody

5

(2 Reviews)

|

(28 Publications)

Rabbit Polyclonal Chk2 antibody. Suitable for WB, IHC-P and reacts with Human samples. Cited in 28 publications. Immunogen corresponding to Synthetic Peptide within Human CHEK2.

View Alternative Names

CDS1, CHK2, RAD53, CHEK2, Serine/threonine-protein kinase Chk2, CHK2 checkpoint homolog, Cds1 homolog, Checkpoint kinase 2, Hucds1, hCds1

2 Images
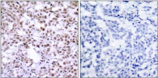
Immunohistochemistry (Formalin/PFA-fixed paraffin-embedded sections) - Anti-Chk2 antibody (AB47433)
  • IHC-P

Unknown

Immunohistochemistry (Formalin/PFA-fixed paraffin-embedded sections) - Anti-Chk2 antibody (AB47433)

ab47433 at 1/100 dilution staining Chk2 in human breast carcinoma tissue section by Immunohistochemistry (Formalin/ PFA fixed paraffin embedded tissue sections). Right image show staining with ab47433 after incubation with specific peptide and left image show staining with untreated antibody.

Western blot - Anti-Chk2 antibody (AB47433)
  • WB

Unknown

Western blot - Anti-Chk2 antibody (AB47433)

All lanes:

Western blot - Anti-Chk2 antibody (ab47433) at 1 µg

Lane 1:

extracts from Jurkat cells

Lane 2:

extracts from Jurkat cells incubated with immunizing peptide

Predicted band size: 61 kDa

Observed band size: 61 kDa

false

Key facts

Host species

Rabbit

Clonality

Polyclonal

Isotype

IgG

Carrier free

No

Reacts with

Human

Applications

IHC-P, WB

applications

Immunogen

Synthetic Peptide within Human CHEK2. The exact immunogen used to generate this antibody is proprietary information.

O96017

Reactivity data

{ "title": "Reactivity Data", "filters": { "stats": ["", "Species", "Dilution Info", "Notes"], "tabs": { "all-applications": {"fullname" : "All Applications", "shortname": "All Applications"}, "WB" : {"fullname" : "Western blot", "shortname":"WB"}, "IHCP" : {"fullname" : "Immunohistochemistry (Formalin/PFA-fixed paraffin-embedded sections)", "shortname":"IHC-P"} }, "product-promise": { "all": "all", "testedAndGuaranteed": "tested", "guaranteed": "expected", "predicted": "predicted", "notRecommended": "not-recommended" } }, "values": { "Human": { "WB-species-checked": "testedAndGuaranteed", "WB-species-dilution-info": "1/500 - 1/1000", "WB-species-notes": "<p></p>", "IHCP-species-checked": "testedAndGuaranteed", "IHCP-species-dilution-info": "", "IHCP-species-notes": "<p></p>" } } }

Properties and storage information

Form
Liquid
Purification technique
Affinity purification Immunogen
Purification notes
Affinity purified from rabbit antiserum by affinity chromatographyusing epitope-specific immunogen.
Storage buffer
pH: 7.4 Preservative: 0.02% Sodium azide Constituents: PBS, 50% Glycerol (glycerin, glycerine), 0.87% Sodium chloride
Shipped at conditions
Blue Ice
Appropriate short-term storage conditions
+4°C
Appropriate long-term storage conditions
-20°C
Aliquoting information
Upon delivery aliquot
Storage information
Avoid freeze / thaw cycle

Product protocols

For this product, it's our understanding that no specific protocols are required. You can visit:

Target data

Serine/threonine-protein kinase which is required for checkpoint-mediated cell cycle arrest, activation of DNA repair and apoptosis in response to the presence of DNA double-strand breaks. May also negatively regulate cell cycle progression during unperturbed cell cycles. Following activation, phosphorylates numerous effectors preferentially at the consensus sequence [L-X-R-X-X-S/T] (PubMed : 37943659). Regulates cell cycle checkpoint arrest through phosphorylation of CDC25A, CDC25B and CDC25C, inhibiting their activity. Inhibition of CDC25 phosphatase activity leads to increased inhibitory tyrosine phosphorylation of CDK-cyclin complexes and blocks cell cycle progression. May also phosphorylate NEK6 which is involved in G2/M cell cycle arrest. Regulates DNA repair through phosphorylation of BRCA2, enhancing the association of RAD51 with chromatin which promotes DNA repair by homologous recombination. Also stimulates the transcription of genes involved in DNA repair (including BRCA2) through the phosphorylation and activation of the transcription factor FOXM1. Regulates apoptosis through the phosphorylation of p53/TP53, MDM4 and PML. Phosphorylation of p53/TP53 at 'Ser-20' by CHEK2 may alleviate inhibition by MDM2, leading to accumulation of active p53/TP53. Phosphorylation of MDM4 may also reduce degradation of p53/TP53. Also controls the transcription of pro-apoptotic genes through phosphorylation of the transcription factor E2F1. Tumor suppressor, it may also have a DNA damage-independent function in mitotic spindle assembly by phosphorylating BRCA1. Its absence may be a cause of the chromosomal instability observed in some cancer cells. Promotes the CCAR2-SIRT1 association and is required for CCAR2-mediated SIRT1 inhibition (PubMed : 25361978). Under oxidative stress, promotes ATG7 ubiquitination by phosphorylating the E3 ubiquitin ligase TRIM32 at 'Ser-55' leading to positive regulation of the autophagosme assembly (PubMed : 37943659).. (Microbial infection) Phosphorylates herpes simplex virus 1/HHV-1 protein ICP0 and thus activates its SUMO-targeted ubiquitin ligase activity.
See full target information CHEK2

Publications (28)

Recent publications for all applications. Explore the full list and refine your search

Science advances 10:eadh3409 PubMed38277448

2024

Ku70 senses cytosolic DNA and assembles a tumor-suppressive signalosome.

Applications

Unspecified application

Species

Unspecified reactive species

Abhimanu Pandey,Cheng Shen,Shouya Feng,Daniel Enosi Tuipulotu,Chinh Ngo,Cheng Liu,Melan Kurera,Anukriti Mathur,Shweta Venkataraman,Jing Zhang,Dipti Talaulikar,Renhua Song,Justin J-L Wong,Narci Teoh,Nadeem O Kaakoush,Si Ming Man

Pathogens (Basel, Switzerland) 11: PubMed35745491

2022

ATM Pathway Is Essential for HPV-Positive Human Cervical Cancer-Derived Cell Lines Viability and Proliferation.

Applications

Unspecified application

Species

Unspecified reactive species

Walason Abjaude,Bruna Prati,Veridiana Munford,Aline Montenegro,Vanesca Lino,Suellen Herbster,Tatiana Rabachini,Lara Termini,Carlos Frederico Martins Menck,Enrique Boccardo

Cancers 13: PubMed34572735

2021

Chemotherapy of HER2- and MDM2-Enriched Breast Cancer Subtypes Induces Homologous Recombination DNA Repair and Chemoresistance.

Applications

Unspecified application

Species

Unspecified reactive species

Marcin Herok,Bartosz Wawrzynow,Marta J Maluszek,Maciej B Olszewski,Alicja Zylicz,Maciej Zylicz

Journal of experimental & clinical cancer research 39:202 PubMed32993749

2020

FadA promotes DNA damage and progression of Fusobacterium nucleatum-induced colorectal cancer through up-regulation of chk2.

Applications

Unspecified application

Species

Unspecified reactive species

Pin Guo,Zibin Tian,Xinjuan Kong,Lin Yang,Xinzhi Shan,Bingzi Dong,Xueli Ding,Xue Jing,Chen Jiang,Na Jiang,Yanan Yu

Gut microbes 11:1567-1589 PubMed32588736

2020

Inhibition of autophagy aggravates DNA damage response and gastric tumorigenesis via Rad51 ubiquitination in response to infection.

Applications

Unspecified application

Species

Unspecified reactive species

Chuan Xie,Nianshuang Li,Huan Wang,Cong He,Yi Hu,Chao Peng,Yaobin Ouyang,Dejie Wang,Yong Xie,Jiang Chen,Xu Shu,Yin Zhu,Nonghua Lu

Journal of experimental & clinical cancer research 39:105 PubMed32517809

2020

A novel M phase blocker, DCZ3301 enhances the sensitivity of bortezomib in resistant multiple myeloma through DNA damage and mitotic catastrophe.

Applications

Unspecified application

Species

Unspecified reactive species

Liangning Hu,Bo Li,Gege Chen,Dongliang Song,Zhijian Xu,Lu Gao,Mengyu Xi,Jinfeng Zhou,Liping Li,Hui Zhang,Qilin Feng,Yingcong Wang,Kang Lu,Yumeng Lu,Wenxuan Bu,Houcai Wang,Xiaosong Wu,Weiliang Zhu,Jumei Shi

Redox biology 32:101452 PubMed32067911

2020

Ginsenoside Rh2 pretreatment and withdrawal reactivated the pentose phosphate pathway to ameliorate intracellular redox disturbance and promoted intratumoral penetration of adriamycin.

Applications

Unspecified application

Species

Unspecified reactive species

Jiali Liu,Qingyun Cai,Wenjie Wang,Meng Lu,Jianming Liu,Fang Zhou,Minjie Sun,Guangji Wang,Jingwei Zhang

British journal of pharmacology 177:1538-1555 PubMed31670839

2020

Disrupted hepatic pentose phosphate pathway directly participates in and indirectly promotes CYP3A reduction: A new strategy for CYP3A-mediated drug hepatotoxicity.

Applications

Unspecified application

Species

Unspecified reactive species

Jiali Liu,Xiaoliang Jin,Fang Zhou,Hongzhu Chen,Wenjie Wang,Yan Liu,Guangji Wang,Kun Hao,Jingwei Zhang

Cells 8: PubMed31635050

2019

Intrinsically Disordered SRC-3/AIB1 Protein Undergoes Homeostatic Nuclear Extrusion by Nuclear Budding While Ectopic Expression Induces Nucleophagy.

Applications

Unspecified application

Species

Unspecified reactive species

Miguel A Cabrita,L Isabel Renart,Rosanna Lau,M A Christine Pratt

Frontiers in oncology 9:853 PubMed31552178

2019

Cinobufagin Induces Cell Cycle Arrest at the G2/M Phase and Promotes Apoptosis in Malignant Melanoma Cells.

Applications

Unspecified application

Species

Unspecified reactive species

Zhaohai Pan,Xin Zhang,Pengfei Yu,Xiaoyu Chen,Peng Lu,Minjing Li,Xiaona Liu,Zhipeng Li,Fei Wei,Kejun Wang,Qiusheng Zheng,Defang Li
View all publications

Product promise

We are committed to supporting your work with high-quality reagents, and we're here for you every step of the way. In the unlikely event that one of our products does not perform as expected, you're protected by our Product Promise.
For full details, please see our Terms & Conditions

Please note: All products are 'FOR RESEARCH USE ONLY. NOT FOR USE IN DIAGNOSTIC OR THERAPEUTIC PROCEDURES'.

For licensing inquiries, please contact partnerships@abcam.com