JavaScript is disabled in your browser. Please enable JavaScript to view this website.
AB271961

Anti-Chk2 antibody [EPR19236] - BSA and Azide free

Be the first to review this product! Submit a review

|

(0 Publication)

Rabbit Recombinant Monoclonal Chk2 antibody. Carrier free. Suitable for IHC-P, IP, WB and reacts with Mouse samples.

View Alternative Names

Chk2, Rad53, Chek2, Serine/threonine-protein kinase Chk2, CHK2 checkpoint homolog, Checkpoint kinase 2

3 Images
Immunohistochemistry (Formalin/PFA-fixed paraffin-embedded sections) - Anti-Chk2 antibody [EPR19236] - BSA and Azide free (AB271961)
  • IHC-P

Lab

Immunohistochemistry (Formalin/PFA-fixed paraffin-embedded sections) - Anti-Chk2 antibody [EPR19236] - BSA and Azide free (AB271961)

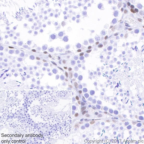
Immunohistochemical analysis of paraffin-embedded mouse testis tissue labeling Chk2 with ab199031 at 1/500 dilution, followed by Rabbit specific IHC polymer detection kit HRP/DAB (ab209101, ready to use). Nuclear staining on spermatogonia of mouse testis is observed (PMID : 12192050, 11593395). Counter stained with Hematoxylin.

Secondary antibody only control : Used PBS instead of primary antibody, secondary antibody is Rabbit specific IHC polymer detection kit HRP/DAB ab209101, ready to use.

Nuclear staining on spermatogonia of mouse testis (PMID : 12192050, PMID : 11593395).

Perform heat mediated antigen retrieval before commencing with IHC staining protocol.

This data was developed using the same antibody clone in a different buffer formulation containing PBS, BSA, glycerol, and sodium azide (ab199031).

Immunohistochemistry (Formalin/PFA-fixed paraffin-embedded sections) - Anti-Chk2 antibody [EPR19236] - BSA and Azide free (AB271961)
  • IHC-P

Lab

Immunohistochemistry (Formalin/PFA-fixed paraffin-embedded sections) - Anti-Chk2 antibody [EPR19236] - BSA and Azide free (AB271961)

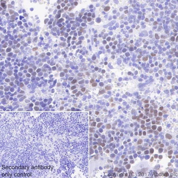
Immunohistochemical analysis of paraffin-embedded mouse spleen tissue labeling Chk2 with ab199031 at 1/500 dilution, followed by Rabbit specific IHC polymer detection kit HRP/DAB (ab209101, ready to use). Nuclear staining on mouse spleen is observed (PMID : 12192050, 11593395). Counter stained with Hematoxylin.

Secondary antibody only control : Used PBS instead of primary antibody, secondary antibody is Rabbit specific IHC polymer detection kit HRP/DAB ab209101, ready to use.

Nuclear staining on mouse spleen (PMID : 12192050, PMID : 11593395).

Perform heat mediated antigen retrieval before commencing with IHC staining protocol.

This data was developed using the same antibody clone in a different buffer formulation containing PBS, BSA, glycerol, and sodium azide (ab199031).

Immunoprecipitation - Anti-Chk2 antibody [EPR19236] - BSA and Azide free (AB271961)
  • IP

Lab

Immunoprecipitation - Anti-Chk2 antibody [EPR19236] - BSA and Azide free (AB271961)

Chk2 was immunoprecipitated from 0.35 mg of NIH/3T3 (mouse embyro fibroblast cell line) whole cell lysate with ab199031 at 1/40 dilution. Western blot was performed from the immunoprecipitate using ab199031 at 1/1000 dilution. VeriBlot for IP Detection Reagent (HRP) (ab131366), was used for detection at 1/1000 dilution.

Exposure time 3 minutes.

Lane 1 : NIH/3T3 whole cell lysate 10 μg (Input).

Lane 2 : ab199031 IP in NIH/3T3 whole cell lysate.

Lane 3 : Rabbit monoclonal IgG (ab172730) instead of ab199031 in NIH/3T3 whole cell lysate.

Blocking and dilution buffer and concentration : 5% NFDM/TBST.

This data was developed using the same antibody clone in a different buffer formulation containing PBS, BSA, glycerol, and sodium azide (ab199031).

All lanes:

Immunoprecipitation - Anti-Chk2 antibody [EPR19236] (<a href='/en-us/products/primary-antibodies/chk2-antibody-epr19236-ab199031'>ab199031</a>) at 1/1000 dilution

Secondary

All lanes:

Immunoprecipitation - VeriBlot for IP Detection Reagent (HRP) (<a href='/en-us/products/reagents/veriblot-for-ip-detection-reagent-hrp-ab131366'>ab131366</a>) at 1/1000 dilution

Predicted band size: 61 kDa

Observed band size: 61 kDa

false

Exposure time: 3min

Key facts

Host species

Rabbit

Clonality

Monoclonal

Clone number

EPR19236

Isotype

IgG

Carrier free

Yes

Reacts with

Mouse

Applications

WB, IP, IHC-P

applications

Immunogen

The exact immunogen used to generate this antibody is proprietary information.

Reactivity data

{ "title": "Reactivity Data", "filters": { "stats": ["", "Species", "Dilution Info", "Notes"], "tabs": { "all-applications": {"fullname" : "All Applications", "shortname": "All Applications"}, "IHCP" : {"fullname" : "Immunohistochemistry (Formalin/PFA-fixed paraffin-embedded sections)", "shortname":"IHC-P"}, "IP" : {"fullname" : "Immunoprecipitation", "shortname":"IP"}, "WB" : {"fullname" : "Western blot", "shortname":"WB"} }, "product-promise": { "all": "all", "testedAndGuaranteed": "tested", "guaranteed": "expected", "predicted": "predicted", "notRecommended": "not-recommended" } }, "values": { "Mouse": { "IHCP-species-checked": "testedAndGuaranteed", "IHCP-species-dilution-info": "", "IHCP-species-notes": "<p></p> Perform heat-mediated antigen retrieval before commencing with IHC staining protocol.", "IP-species-checked": "testedAndGuaranteed", "IP-species-dilution-info": "", "IP-species-notes": "<p></p>", "WB-species-checked": "guaranteed", "WB-species-dilution-info": "", "WB-species-notes": "<p></p>" } } }

Product details

Properties and storage information

Form
Liquid
Purification technique
Affinity purification Protein A
Storage buffer
pH: 7.2 - 7.4 Constituents: PBS
Shipped at conditions
Blue Ice
Appropriate short-term storage conditions
+4°C
Appropriate long-term storage conditions
+4°C
Storage information
Do Not Freeze

Product protocols

For this product, it's our understanding that no specific protocols are required. You can visit:

Target data

Serine/threonine-protein kinase which is required for checkpoint-mediated cell cycle arrest, activation of DNA repair and apoptosis in response to the presence of DNA double-strand breaks. May also negatively regulate cell cycle progression during unperturbed cell cycles. Following activation, phosphorylates numerous effectors preferentially at the consensus sequence [L-X-R-X-X-S/T]. Regulates cell cycle checkpoint arrest through phosphorylation of CDC25A, CDC25B and CDC25C, inhibiting their activity. Inhibition of CDC25 phosphatase activity leads to increased inhibitory tyrosine phosphorylation of CDK-cyclin complexes and blocks cell cycle progression. May also phosphorylate NEK6 which is involved in G2/M cell cycle arrest. Regulates DNA repair through phosphorylation of BRCA2, enhancing the association of RAD51 with chromatin which promotes DNA repair by homologous recombination. Also stimulates the transcription of genes involved in DNA repair (including BRCA2) through the phosphorylation and activation of the transcription factor FOXM1. Regulates apoptosis through the phosphorylation of p53/TP53, MDM4 and PML. Phosphorylation of p53/TP53 at 'Ser-20' by CHEK2 may alleviate inhibition by MDM2, leading to accumulation of active p53/TP53. Phosphorylation of MDM4 may also reduce degradation of p53/TP53. Also controls the transcription of pro-apoptotic genes through phosphorylation of the transcription factor E2F1. Tumor suppressor, it may also have a DNA damage-independent function in mitotic spindle assembly by phosphorylating BRCA1. Its absence may be a cause of the chromosomal instability observed in some cancer cells. Promotes the CCAR2-SIRT1 association and is required for CCAR2-mediated SIRT1 inhibition (By similarity). Under oxidative stress, promotes ATG7 ubiquitination by phosphorylating the E3 ubiquitin ligase TRIM32 at 'Ser-56' leading to positive regulation of the autophagosme assembly (By similarity).
See full target information Chek2

Product promise

We are committed to supporting your work with high-quality reagents, and we're here for you every step of the way. In the unlikely event that one of our products does not perform as expected, you're protected by our Product Promise.
For full details, please see our Terms & Conditions

Associated Products

Select an associated product type
Alternative Product
Primary Antibodies

AB200762

Alexa Fluor® 488 Anti-Chk2 antibody [EPR4325]

primary-antibodies

alexa-fluor-488-chk2-antibody-epr4325-ab200762

0

(0 reviews)

Alternative Product
Primary Antibodies

AB109413

Anti-Chk2 antibody [EPR4325]

primary-antibodies

chk2-antibody-epr4325-ab109413

5

(9 reviews)

Alternative Product
Primary Antibodies

AB207446

Anti-Chk2 antibody [EPR19482]

primary-antibodies

chk2-antibody-epr19482-ab207446

5

(1 reviews)

Alternative Product
Primary Antibodies

AB251477

Anti-Chk2 antibody [EPR19482] - BSA and Azide free

primary-antibodies

chk2-antibody-epr19482-bsa-and-azide-free-ab251477

0

(0 reviews)

Alternative Product
Primary Antibodies

AB227998

Anti-Chk2 antibody [EPR4325] - BSA and Azide free

primary-antibodies

chk2-antibody-epr4325-bsa-and-azide-free-ab227998

0

(0 reviews)

Please note: All products are 'FOR RESEARCH USE ONLY. NOT FOR USE IN DIAGNOSTIC OR THERAPEUTIC PROCEDURES'.

For licensing inquiries, please contact partnerships@abcam.com