JavaScript is disabled in your browser. Please enable JavaScript to view this website.
AB207446

Anti-Chk2 antibody [EPR19482]

  • 20ul selling size
  • RabMAb
  • Recombinant
  • KO Validated
  • What is this?

5

(1 Review)

|

(4 Publications)

Knockout Tested Rabbit Recombinant Monoclonal Chk2 antibody. Suitable for IP, WB, ICC/IF, Flow Cyt (Intra), IHC-P and reacts with Human samples. Cited in 4 publications.

View Alternative Names

CDS1, CHK2, RAD53, CHEK2, Serine/threonine-protein kinase Chk2, CHK2 checkpoint homolog, Cds1 homolog, Checkpoint kinase 2, Hucds1, hCds1

12 Images
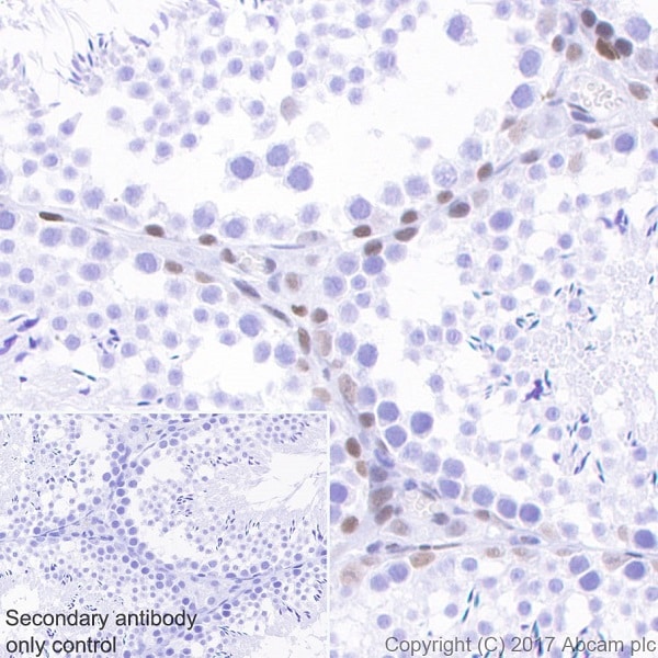
Immunohistochemistry (Formalin/PFA-fixed paraffin-embedded sections) - Anti-Chk2 antibody [EPR19482] (AB207446)
  • IHC-P

Supplier Data

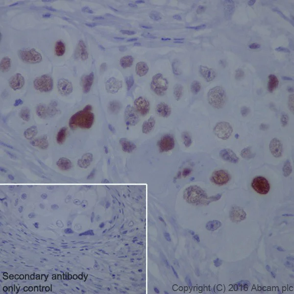
Immunohistochemistry (Formalin/PFA-fixed paraffin-embedded sections) - Anti-Chk2 antibody [EPR19482] (AB207446)

Immunohistochemical analysis of paraffin-embedded Human testis tissue labeling Chk2 with ab207446 at 1/2000 dilution, followed by Goat Anti-Rabbit IgG H&L (HRP) (ab97051) at 1/500 dilution. Nuclear staining on human spermatogonium is observed. Counter stained with Hematoxylin.

Secondary antibody only control : Used PBS instead of primary antibody, secondary antibody is Goat Anti-Rabbit IgG H&L (HRP) (ab97051) at 1/500 dilution.

Perform heat mediated antigen retrieval with Tris/EDTA buffer pH 9.0 before commencing with IHC staining protocol.

Immunocytochemistry/ Immunofluorescence - Anti-Chk2 antibody [EPR19482] (AB207446)
  • ICC/IF

Supplier Data

Immunocytochemistry/ Immunofluorescence - Anti-Chk2 antibody [EPR19482] (AB207446)

Immunofluorescent analysis of 4% paraformaldehyde-fixed, 0.1% Triton X-100 permeabilized HeLa (Human epithelial cell line from cervix adenocarcinoma) cells labeling Chk2 with ab207446 at 1/500 dilution, followed by Goat Anti-Rabbit IgG (Alexa Fluor® 488) (ab150077) secondary antibody at 1/1000 dilution (green). Confocal image showing nuclear staining on HeLa cell line. The nuclear counter stain is DAPI (blue).

Tubulin is detected with Anti-alpha Tubulin mouse MAb (ab7291) at 1/1000 dilution, followed by Goat Anti-Mouse IgG H&L (Alexa Fluor® 594) (ab150120) secondary antibody at 1/1000 dilution (red).

The negative controls are as follows :

-ve control 1 : ab207446 at 1/500 dilution, followed by Goat Anti-Mouse IgG H&L (Alexa Fluor® 594) (ab150120) secondary at 1/1000 dilution.

-ve control 2 : Anti-alpha Tubulin mouse MAb (ab7291) at 1/1000 dilution, followed by Goat Anti-Rabbit IgG H&L (Alexa Fluor® 488) (ab150077) secondary at 1/1000 dilution.

Flow Cytometry (Intracellular) - Anti-Chk2 antibody [EPR19482] (AB207446)
  • Flow Cyt (Intra)

Supplier Data

Flow Cytometry (Intracellular) - Anti-Chk2 antibody [EPR19482] (AB207446)

Intracellular flow cytometric analysis of 4% paraformaldehyde-fixed HCT 116 (Human colorectal carcinoma cell line) cells labeling Chk2 with ab207446 at 1/70 dilution (red) compared with a rabbit monoclonal IgG isotype control (ab172730; black) and an unlabelled control (cells without incubation with primary antibody and secondary antibody; blue). Goat anti rabbit IgG (Alexa Fluorr® 488) at 1/500 dilution was used as the secondary antibody.

Note : Cells were permeabilised with 90% methanol-PBS, -20°C, 30min

Immunocytochemistry/ Immunofluorescence - Anti-Chk2 antibody [EPR19482] (AB207446)
  • ICC/IF

Supplier Data

Immunocytochemistry/ Immunofluorescence - Anti-Chk2 antibody [EPR19482] (AB207446)

Immunofluorescent analysis of 4% paraformaldehyde-fixed, 0.1% Triton X-100 permeabilized HCT 116 (Human colorectal carcinoma cell line) cells labeling Chk2 with ab207446 at 1/500 dilution, followed by Goat Anti-Rabbit IgG (Alexa Fluor® 488) (ab150077) secondary antibody at 1/1000 dilution (green). Confocal image showing nuclear staining on HCT 116 cell line. The nuclear counter stain is DAPI (blue).

Tubulin is detected with Anti-alpha Tubulin mouse MAb (ab7291) at 1/1000 dilution, followed by Goat Anti-Mouse IgG H&L (Alexa Fluor® 594) (ab150120) secondary antibody at 1/1000 dilution (red).
The negative controls are as follows :
-ve control 1 : ab207446 at 1/500 dilution, followed by Goat Anti-Mouse IgG H&L (Alexa Fluor® 594) (ab150120) secondary at 1/1000 dilution.
-ve control 2 : Anti-alpha Tubulin mouse MAb (ab7291) at 1/1000 dilution, followed by Goat Anti-Rabbit IgG H&L (Alexa Fluor® 488) (ab150077) secondary at 1/1000 dilution.

Immunohistochemistry (Formalin/PFA-fixed paraffin-embedded sections) - Anti-Chk2 antibody [EPR19482] (AB207446)
  • IHC-P

Supplier Data

Immunohistochemistry (Formalin/PFA-fixed paraffin-embedded sections) - Anti-Chk2 antibody [EPR19482] (AB207446)

Immunohistochemical analysis of paraffin-embedded human breast cancer tissue labeling Chk2 with ab207446 at 1/2000 dilution, followed by Goat Anti-Rabbit IgG H&L (HRP) (ab97051) at 1/500 dilution. Nuclear staining on tumor cells of human breast cancer is observed. Counter stained with Hematoxylin.

Secondary antibody only control : Used PBS instead of primary antibody, secondary antibody is Goat Anti-Rabbit IgG H&L (HRP) (ab97051) at 1/500 dilution.

Perform heat mediated antigen retrieval with Tris/EDTA buffer pH 9.0 before commencing with IHC staining protocol.

Immunoprecipitation - Anti-Chk2 antibody [EPR19482] (AB207446)
  • IP

Supplier Data

Immunoprecipitation - Anti-Chk2 antibody [EPR19482] (AB207446)

Chk2 was immunoprecipitated from 1mg of HEK-293T (Human epithelial cell line from embryonic kidney) whole cell lysate with ab207446 at 1/40 dilution. Western blot was performed from the immunoprecipitate using ab207446 at 1/1000 dilution. VeriBlot for IP Detection Reagent (HRP) (ab131366), was used for detection at 1/10000 dilution.

Lane 1 : HEK-293T whole cell lysate 10μg (Input).

Lane 2 : ab207446 IP in HEK-293T whole cell lysate.

Lane 3 : Rabbit monoclonal IgG (ab172730) instead of ab207446 in HEK-293T whole cell lysate.

Blocking and dilution buffer and concentration : 5% NFDM/TBST.

Exposure time : 10 seconds.

All lanes:

Immunoprecipitation - Anti-Chk2 antibody [EPR19482] (ab207446)

Predicted band size: 61 kDa

false

Immunoprecipitation - Anti-Chk2 antibody [EPR19482] (AB207446)
  • IP

Supplier Data

Immunoprecipitation - Anti-Chk2 antibody [EPR19482] (AB207446)

Chk2 was immunoprecipitated from 1mg of HeLa (Human epithelial cell line from cervix adenocarcinoma) whole cell lysate with ab207446 at 1/40 dilution. Western blot was performed from the immunoprecipitate using ab207446 at 1/1000 dilution. VeriBlot for IP Detection Reagent (HRP) (ab131366), was used for detection at 1/10000 dilution.

Lane 1 : HeLa whole cell lysate 10μg (Input).

Lane 2 : ab207446 IP in HeLa whole cell lysate.

Lane 3 : Rabbit monoclonal IgG (ab172730) instead of ab207446 in HeLa whole cell lysate.

Blocking and dilution buffer and concentration : 5% NFDM/TBST.

Exposure time : 10 seconds.

All lanes:

Immunoprecipitation - Anti-Chk2 antibody [EPR19482] (ab207446)

Predicted band size: 61 kDa

false

Western blot - Anti-Chk2 antibody [EPR19482] (AB207446)
  • WB

Supplier Data

Western blot - Anti-Chk2 antibody [EPR19482] (AB207446)

Blocking/Dilution buffer : 5% NFDM/TBST.

Exposure time : Lane 1/3 : 15 seconds; Lane 2 : 8 seconds; Lane 4 : 30 seconds; Lane 5 : 3 minutes.

Lanes 1, 2, 3 and 5:

Western blot - Anti-Chk2 antibody [EPR19482] (ab207446) at 1/1000 dilution

Lane 4:

Western blot - Anti-Chk2 antibody [EPR19482] (ab207446) at 1/5000 dilution

Lane 1:

HeLa (Human epithelial cell line from cervix adenocarcinoma) whole cell lysate at 10 µg

Lane 2:

HEK-293 (Human epithelial cell line from embryonic kidney) whole cell lysate at 10 µg

Lane 3:

HEK-293T (Human epithelial cell line from embryonic kidney) whole cell lysate at 10 µg

Lane 4:

HCT 116 (Human colorectal carcinoma cell line) whole cell lysate at 10 µg

Lane 5:

SH-SY5Y (Human neuroblastoma cell line from bone marrow) whole cell lysate at 10 µg

Secondary

All lanes:

Western blot - Goat Anti-Rabbit IgG H&L (HRP) (<a href='/en-us/products/secondary-antibodies/goat-rabbit-igg-h-l-hrp-ab97051'>ab97051</a>) at 1/100000 dilution

Predicted band size: 61 kDa

Observed band size: 61 kDa

false

Western blot - Anti-Chk2 antibody [EPR19482] (AB207446)
  • WB

Lab

Western blot - Anti-Chk2 antibody [EPR19482] (AB207446)

False colour image of Western blot : Anti-Chk2 antibody [EPR19482] staining at 1/1000 dilution, shown in green; Mouse anti-GAPDH antibody [6C5] (ab8245) loading control staining at 1/20000 dilution, shown in red. In Western blot, ab207446 was shown to bind specifically to Chk2. A band was observed at 67 kDa in wild-type A549 cell lysates with no signal observed at this size in CHEK2 knockout cell line ab276098 (knockout cell lysate ab276098). To generate this image, wild-type and CHEK2 knockout A549 cell lysates were analysed. First, samples were run on an SDS-PAGE gel then transferred onto a nitrocellulose membrane. Membranes were blocked in 3 % milk in TBS-0.1 % Tween® 20 (TBS-T) before incubation with primary antibodies overnight at 4 °C. Blots were washed four times in TBS-T, incubated with secondary antibodies for 1 h at room temperature, washed again four times then imaged. Secondary antibodies used were Goat anti-Rabbit IgG H&L 800CW and Goat anti-Mouse IgG H&L 680RD at 1/20000 dilution.

Lanes 1 - 4:

Western blot - Anti-Chk2 antibody [EPR19482] (ab207446) at 1/1000 dilution

Lanes 1 - 4:

Western blot - Anti-Chk2 antibody [EPR19482] - BSA and Azide free (<a href='/en-us/products/primary-antibodies/chk2-antibody-epr19482-bsa-and-azide-free-ab251477'>ab251477</a>) at 1/1000 dilution

Lane 1:

Wild-type A549 cell lysate at 20 µg

Lane 2:

Western blot - Human CHEK2 (Chk2) knockout A549 cell line (<a href='/en-us/products/cell-lines/human-chek2-chk2-knockout-a549-cell-line-ab276098'>ab276098</a>)

Lane 2:

CHEK2 knockout A549 cell lysate at 20 µg

Lane 3:

HEK-293 cell lysate at 20 µg

Lane 4:

MDA-MB-231 cell lysate at 20 µg

Secondary

All lanes:

Goat anti-Rabbit IgG H&L 800CW and Goat anti-Mouse IgG H&L 680RD at 1/20000 dilution

Observed band size: 67 kDa

false

Western blot - Anti-Chk2 antibody [EPR19482] (AB207446)
  • WB

Supplier Data

Western blot - Anti-Chk2 antibody [EPR19482] (AB207446)

Blocking/Dilution buffer : 5% NFDM/TBST.

All lanes:

Western blot - Anti-Chk2 antibody [EPR19482] (ab207446) at 1/1000 dilution

Lane 1:

Human colon lysate at 10 µg

Lane 2:

Human thymus lysate at 10 µg

Lane 3:

Human kidney lysate at 10 µg

Secondary

All lanes:

Goat Anti-Rabbit IgG Peroxidase Conjugate, specific to the non-reduced form of IgG at 1/10000 dilution

Predicted band size: 61 kDa

Observed band size: 61 kDa

false

Exposure time: 3min

Western blot - Anti-Chk2 antibody [EPR19482] (AB207446)
  • WB

Lab

Western blot - Anti-Chk2 antibody [EPR19482] (AB207446)

Lanes 1-4 : Merged signal (red and green). Green - ab207446 observed at 68 kDa. Red - loading control ab8245 observed at 37 kDa.

ab207446 Anti-Chk2 antibody [EPR19482] was shown to specifically react with Chk2 in wild-type HeLa cells. Loss of signal was observed when knockout cell line ab264815 (knockout cell lysate ab257104) was used. Wild-type and Chk2 knockout samples were subjected to SDS-PAGE. ab207446 and Anti-alpha Tubulin antibody [EP1332Y] - Microtubule Marker (ab52866) were incubated overnight at 4°C at 1 in 1000 dilution and 1 in 20000 dilution respectively. Blots were developed with Goat anti-Rabbit IgG H&L (IRDye® 800CW) preadsorbed (ab216773) and Goat anti-Mouse IgG H&L (IRDye® 680RD) preadsorbed (ab216776) secondary antibodies at 1 in 20000 dilution for 1 hour at room temperature before imaging.

All lanes:

Western blot - Anti-Chk2 antibody [EPR19482] (ab207446) at 1/1000 dilution

Lane 1:

Wild-type HeLa cell lysate at 20 µg

Lane 2:

CHEK2 knockout HeLa cell lysate at 20 µg

Lane 2:

Western blot - Human CHEK2 (Chk2) knockout HeLa cell line (<a href='/en-us/products/cell-lines/human-chek2-chk2-knockout-hela-cell-line-ab264815'>ab264815</a>)

Lane 3:

HEK-293 cell lysate at 20 µg

Lane 4:

MDA-MB-231 cell lysate at 20 µg

Secondary

All lanes:

Western blot - Goat anti-Rabbit IgG H&L (IRDye® 800CW) preadsorbed (<a href='/en-us/products/secondary-antibodies/goat-rabbit-igg-h-l-irdye-800cw-preadsorbed-ab216773'>ab216773</a>) at 1/20000 dilution

Predicted band size: 61 kDa

Observed band size: 68 kDa

false

Western blot - Anti-Chk2 antibody [EPR19482] (AB207446)
  • WB

Lab

Western blot - Anti-Chk2 antibody [EPR19482] (AB207446)

Lanes 1 - 3 : Merged signal (red and green). Green - ab207446 observed at 68 kDa. Red - loading control, ab9484, observed at 37 kDa.

ab207446 was shown to specifically recognize CHEK2 in wild-type HAP1 cells along with additional cross-reactive bands. No band was observed when CHEK2 knockout samples were examined. Wild-type and CHEK2 knockout samples were subjected to SDS-PAGE. ab207446 and ab9484 (Mouse anti GAPDH loading control) were incubated overnight at 4°C at 1/1000 dilution and 1/20000 dilution respectively. Blots were developed with Goat anti-Rabbit IgG H&L (IRDye® 800CW) preabsorbed (ab216773) and Goat anti-Mouse IgG H&L (IRDye® 680RD) preabsorbed (ab216776) secondary antibodies at 1/20000 dilution for 1 hour at room temperature before imaging.

All lanes:

Western blot - Anti-Chk2 antibody [EPR19482] (ab207446) at 1/1000 dilution

Lane 1:

Wild-type HAP1 whole cell lysate at 20 µg

Lane 2:

CHEK2 knockout HAP1 whole cell lysate at 20 µg

Lane 3:

HeLa whole cell lysate at 20 µg

Predicted band size: 61 kDa

false

  • Carrier free

    Anti-Chk2 antibody [EPR19482] - BSA and Azide free

Key facts

Host species

Rabbit

Clonality

Monoclonal

Clone number

EPR19482

Isotype

IgG

Carrier free

No

Reacts with

Human

Applications

IHC-P, IP, WB, Flow Cyt (Intra), ICC/IF

applications

Immunogen

The exact immunogen used to generate this antibody is proprietary information.

Reactivity data

{ "title": "Reactivity Data", "filters": { "stats": ["", "Species", "Dilution Info", "Notes"], "tabs": { "all-applications": {"fullname" : "All Applications", "shortname": "All Applications"}, "IP" : {"fullname" : "Immunoprecipitation", "shortname":"IP"}, "WB" : {"fullname" : "Western blot", "shortname":"WB"}, "ICCIF" : {"fullname" : "Immunocytochemistry/ Immunofluorescence", "shortname":"ICC/IF"}, "FlowCytIntra" : {"fullname" : "Flow Cytometry (Intracellular)", "shortname":"Flow Cyt (Intra)"}, "IHCP" : {"fullname" : "Immunohistochemistry (Formalin/PFA-fixed paraffin-embedded sections)", "shortname":"IHC-P"} }, "product-promise": { "all": "all", "testedAndGuaranteed": "tested", "guaranteed": "expected", "predicted": "predicted", "notRecommended": "not-recommended" } }, "values": { "Human": { "IP-species-checked": "testedAndGuaranteed", "IP-species-dilution-info": "1/40", "IP-species-notes": "<p></p>", "WB-species-checked": "testedAndGuaranteed", "WB-species-dilution-info": "1/1000", "WB-species-notes": "<p></p>", "ICCIF-species-checked": "testedAndGuaranteed", "ICCIF-species-dilution-info": "1/500", "ICCIF-species-notes": "<p></p>", "FlowCytIntra-species-checked": "testedAndGuaranteed", "FlowCytIntra-species-dilution-info": "1/70", "FlowCytIntra-species-notes": "<p></p>", "IHCP-species-checked": "testedAndGuaranteed", "IHCP-species-dilution-info": "1/2000", "IHCP-species-notes": "<p></p>" } } }

Product details

Patented technology
Our RabMAb® technology is a patented hybridoma-based technology for making rabbit monoclonal antibodies. For details on our patents, please refer to RabMAb® patents.

What are the advantages of a recombinant monoclonal antibody?
This product is a recombinant monoclonal antibody, which offers several advantages including:

  • - High batch-to-batch consistency and reproducibility
  • - Improved sensitivity and specificity
  • - Long-term security of supply
  • - Animal-free batch production

For more information, read more on recombinant antibodies.

Properties and storage information

Form
Liquid
Purification technique
Affinity purification Protein A
Storage buffer
pH: 7.2 - 7.4 Preservative: 0.01% Sodium azide Constituents: PBS, 40% Glycerol (glycerin, glycerine), 0.05% BSA
Shipped at conditions
Blue Ice
Appropriate short-term storage duration
1-2 weeks
Appropriate short-term storage conditions
+4°C
Appropriate long-term storage conditions
-20°C
Aliquoting information
Upon delivery aliquot
Storage information
Avoid freeze / thaw cycle

Product protocols

For this product, it's our understanding that no specific protocols are required. You can visit:

Target data

Serine/threonine-protein kinase which is required for checkpoint-mediated cell cycle arrest, activation of DNA repair and apoptosis in response to the presence of DNA double-strand breaks. May also negatively regulate cell cycle progression during unperturbed cell cycles. Following activation, phosphorylates numerous effectors preferentially at the consensus sequence [L-X-R-X-X-S/T] (PubMed : 37943659). Regulates cell cycle checkpoint arrest through phosphorylation of CDC25A, CDC25B and CDC25C, inhibiting their activity. Inhibition of CDC25 phosphatase activity leads to increased inhibitory tyrosine phosphorylation of CDK-cyclin complexes and blocks cell cycle progression. May also phosphorylate NEK6 which is involved in G2/M cell cycle arrest. Regulates DNA repair through phosphorylation of BRCA2, enhancing the association of RAD51 with chromatin which promotes DNA repair by homologous recombination. Also stimulates the transcription of genes involved in DNA repair (including BRCA2) through the phosphorylation and activation of the transcription factor FOXM1. Regulates apoptosis through the phosphorylation of p53/TP53, MDM4 and PML. Phosphorylation of p53/TP53 at 'Ser-20' by CHEK2 may alleviate inhibition by MDM2, leading to accumulation of active p53/TP53. Phosphorylation of MDM4 may also reduce degradation of p53/TP53. Also controls the transcription of pro-apoptotic genes through phosphorylation of the transcription factor E2F1. Tumor suppressor, it may also have a DNA damage-independent function in mitotic spindle assembly by phosphorylating BRCA1. Its absence may be a cause of the chromosomal instability observed in some cancer cells. Promotes the CCAR2-SIRT1 association and is required for CCAR2-mediated SIRT1 inhibition (PubMed : 25361978). Under oxidative stress, promotes ATG7 ubiquitination by phosphorylating the E3 ubiquitin ligase TRIM32 at 'Ser-55' leading to positive regulation of the autophagosme assembly (PubMed : 37943659).. (Microbial infection) Phosphorylates herpes simplex virus 1/HHV-1 protein ICP0 and thus activates its SUMO-targeted ubiquitin ligase activity.
See full target information CHEK2

Publications (4)

Recent publications for all applications. Explore the full list and refine your search

Nature communications 16:6770 PubMed40695827

2025

Metabolism archetype cancer cells induce protumor TREM2 macrophages via oxLDL-mediated metabolic interplay in hepatocellular carcinoma.

Applications

Unspecified application

Species

Unspecified reactive species

Tianhao Chu,Guiqi Zhu,Zheng Tang,Weifeng Qu,Rui Yang,Haiting Pan,Yi Wang,Ruilin Tian,Leilei Chen,Zhiqi Guan,Yichao Bu,Qianfu Zhao,Jiafeng Chen,Shengwei Mao,Yuan Fang,Jun Gao,Xiaoling Wu,Jian Zhou,Weiren Liu,Dan Ye,Jia Fan,Yinghong Shi

Frontiers in cell and developmental biology 10:770550 PubMed35300428

2022

An Aging-Related Gene Signature-Based Model for Risk Stratification and Prognosis Prediction in Lung Squamous Carcinoma.

Applications

Unspecified application

Species

Unspecified reactive species

Wen-Yu Zhai,Fang-Fang Duan,Si Chen,Jun-Ye Wang,Ze-Rui Zhao,Yi-Zhi Wang,Bing-Yu Rao,Yao-Bin Lin,Hao Long

International journal of endocrinology 2021:1392386 PubMed34630562

2021

Recurrent Germline Mutations of CHEK2 as a New Susceptibility Gene in Patients with Pheochromocytomas and Paragangliomas.

Applications

Unspecified application

Species

Unspecified reactive species

Yinjie Gao,Chao Ling,Xiaosen Ma,Huiping Wang,Yunying Cui,Min Nie,Anli Tong

Cancer medicine 10:3101-3112 PubMed33787085

2021

Elevated TAB182 enhances the radioresistance of esophageal squamous cell carcinoma through G2-M checkpoint modulation.

Applications

Unspecified application

Species

Unspecified reactive species

Yuandong Cao,Aidi Gao,Xiaoqing Li,Han Min,Chao He,Xinchen Sun,Wei-Qun Ding,Jundong Zhou
View all publications

Product promise

We are committed to supporting your work with high-quality reagents, and we're here for you every step of the way. In the unlikely event that one of our products does not perform as expected, you're protected by our Product Promise.
For full details, please see our Terms & Conditions

Please note: All products are 'FOR RESEARCH USE ONLY. NOT FOR USE IN DIAGNOSTIC OR THERAPEUTIC PROCEDURES'.

For licensing inquiries, please contact partnerships@abcam.com