JavaScript is disabled in your browser. Please enable JavaScript to view this website.
AB133505

Anti-Chk2 antibody [EPR5528]

  • 20ul selling size
  • RabMAb
  • Recombinant
  • KO Validated
  • What is this?

Be the first to review this product! Submit a review

|

(1 Publication)

Rabbit Recombinant Monoclonal Chk2 antibody. Suitable for WB and reacts with Human samples. Cited in 1 publication.

View Alternative Names

CDS1, CHK2, RAD53, CHEK2, Serine/threonine-protein kinase Chk2, CHK2 checkpoint homolog, Cds1 homolog, Checkpoint kinase 2, Hucds1, hCds1

4 Images
Western blot - Anti-Chk2 antibody [EPR5528] (AB133505)
  • WB

Unknown

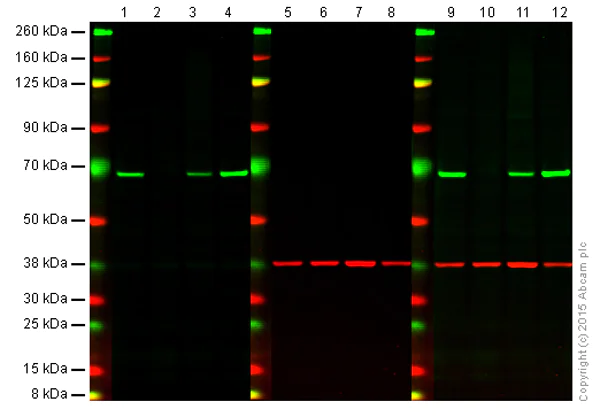
Western blot - Anti-Chk2 antibody [EPR5528] (AB133505)

Lanes 1, 5 and 9 : Wild-type HAP1 cell lysate (20 μg)
Lanes 2, 6 and 10 : Chk2 knockout HAP1 cell lysate (20 μg)
Lanes 3, 7 and 11 : HeLa cell lysate (20 μg)
Lanes 4, 8 and 12 : HEK293 cell lysate (20 μg)
Lanes 1, 2, 3 and 4 : Green signal from target - ab133505 observed at 62 kDa
Lanes 5, 6, 7 and 8 : Red signal from loading control - ab8245 observed at 37 kDa
Lanes 9, 10, 11 and 12 : Merged (red and green) signal
ab133505 was shown to specifically react with Chk2 when Chk2 knockout samples were used. Wild-type and Chk2 knockout samples were subjected to SDS-PAGE. ab133505 and ab8245 (loading control to GAPDH) were diluted 1/10000 and 1/2000 respectively and incubated overnight at 4°C. Blots were developed with Goat anti-Rabbit IgG H&L (IRDye® 800CW) preadsorbed ab216773 and Goat anti-Mouse IgG H&L (IRDye® 680RD) preadsorbed ab216776 secondary antibodies at 1/10000 dilution for 1 h at room temperature before imaging.

All lanes:

Western blot - Anti-Chk2 antibody [EPR5528] (ab133505)

Predicted band size: 61 kDa

false

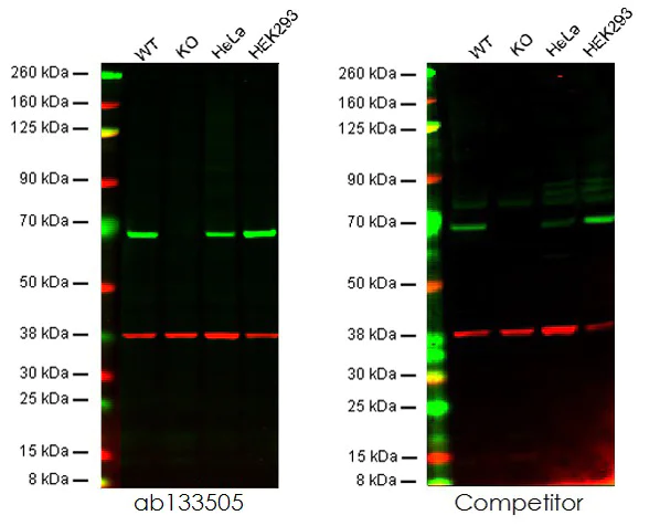
Western blot - Anti-Chk2 antibody [EPR5528] (AB133505)
  • WB

Lab

Western blot - Anti-Chk2 antibody [EPR5528] (AB133505)

Lanes 1 : Wild-type HAP1 cell lysate (20 μg)
Lanes 2 : Chk2 knockout HAP1 cell lysate (20 μg)
Lanes 3 : HeLa cell lysate (20 μg)
Lanes 4 : HEK293 cell lysate (20 μg)

Lanes 1 - 4 : Merged signal (red and green). Green - ab133505 observed at 64 kDa. Red - loading control, ab8245, observed at 37 kDa.

This western blot image is a comparison between ab133505 and a competitor's rabbit polyclonal antibody.

All lanes:

Western blot - Anti-Chk2 antibody [EPR5528] (ab133505)

Predicted band size: 61 kDa

false

Western blot - Anti-Chk2 antibody [EPR5528] (AB133505)
  • WB

Unknown

Western blot - Anti-Chk2 antibody [EPR5528] (AB133505)

All lanes:

Western blot - Anti-Chk2 antibody [EPR5528] (ab133505) at 1/10000 dilution

Lane 1:

SH-SY5Y lysate at 10 µg

Lane 2:

HeLa lysate at 10 µg

Lane 3:

HT29 lysate at 10 µg

Lane 4:

293T cell lysate at 10 µg

Secondary

All lanes:

Goat-anti-rabbit HRP at 1/2000 dilution

Predicted band size: 61 kDa

Observed band size: 61 kDa

false

OI-RD Scanning - Anti-Chk2 antibody [EPR5528] (AB133505)
  • OI-RD Scanning

Unknown

OI-RD Scanning - Anti-Chk2 antibody [EPR5528] (AB133505)

We have systematically measured KD (the equilibrium dissociation constant between the antibody and its antigen), of more than 840 recombinant antibodies to assess not only their individual KD values but also to see the average affinity of antibody. Based on the comparison with published literature values for mouse monoclonal antibodies, Recombinant antibodies appear to be on average 1-2 order of magnitude higher affinity.

Key facts

Host species

Rabbit

Clonality

Monoclonal

Clone number

EPR5528

Isotype

IgG

Carrier free

No

Reacts with

Human

Applications

WB

applications

Immunogen

The exact immunogen used to generate this antibody is proprietary information.

Reactivity data

{ "title": "Reactivity Data", "filters": { "stats": ["", "Species", "Dilution Info", "Notes"], "tabs": { "all-applications": {"fullname" : "All Applications", "shortname": "All Applications"}, "IP" : {"fullname" : "Immunoprecipitation", "shortname":"IP"}, "FlowCyt" : {"fullname" : "Flow Cytometry", "shortname":"Flow Cyt"}, "WB" : {"fullname" : "Western blot", "shortname":"WB"}, "IHCP" : {"fullname" : "Immunohistochemistry (Formalin/PFA-fixed paraffin-embedded sections)", "shortname":"IHC-P"}, "ICCIF" : {"fullname" : "Immunocytochemistry/ Immunofluorescence", "shortname":"ICC/IF"} }, "product-promise": { "all": "all", "testedAndGuaranteed": "tested", "guaranteed": "expected", "predicted": "predicted", "notRecommended": "not-recommended" } }, "values": { "Human": { "IP-species-checked": "notRecommended", "IP-species-dilution-info": "", "IP-species-notes": "<p></p>", "FlowCyt-species-checked": "notRecommended", "FlowCyt-species-dilution-info": "", "FlowCyt-species-notes": "<p></p>", "WB-species-checked": "testedAndGuaranteed", "WB-species-dilution-info": "", "WB-species-notes": "<p></p>", "IHCP-species-checked": "notRecommended", "IHCP-species-dilution-info": "", "IHCP-species-notes": "<p></p>", "ICCIF-species-checked": "notRecommended", "ICCIF-species-dilution-info": "", "ICCIF-species-notes": "<p></p>" } } }

Product details

Species reactivity
Mouse, Rat: We have preliminary internal testing data to indicate this antibody may not react with these species.
Please contact us for more information.

Patented technology
Our RabMAb® technology is a patented hybridoma-based technology for making rabbit monoclonal antibodies. For details on our patents, please refer to RabMAb® patents.

What are the advantages of a recombinant monoclonal antibody?
This product is a recombinant monoclonal antibody, which offers several advantages including:

  • - High batch-to-batch consistency and reproducibility
  • - Improved sensitivity and specificity
  • - Long-term security of supply
  • - Animal-free batch production

For more information, read more on recombinant antibodies.

Properties and storage information

Form
Liquid
Purity
Tissue culture supernatant
Storage buffer
pH: 7.2 - 7.4 Preservative: 0.05% Sodium azide Constituents: 50% Tissue culture supernatant, 40% Glycerol (glycerin, glycerine), 9.85% Tris glycine
Shipped at conditions
Blue Ice
Appropriate short-term storage conditions
+4°C
Appropriate long-term storage conditions
-20°C
Storage information
Stable for 12 months at -20°C

Product protocols

For this product, it's our understanding that no specific protocols are required. You can visit:

Target data

Serine/threonine-protein kinase which is required for checkpoint-mediated cell cycle arrest, activation of DNA repair and apoptosis in response to the presence of DNA double-strand breaks. May also negatively regulate cell cycle progression during unperturbed cell cycles. Following activation, phosphorylates numerous effectors preferentially at the consensus sequence [L-X-R-X-X-S/T] (PubMed : 37943659). Regulates cell cycle checkpoint arrest through phosphorylation of CDC25A, CDC25B and CDC25C, inhibiting their activity. Inhibition of CDC25 phosphatase activity leads to increased inhibitory tyrosine phosphorylation of CDK-cyclin complexes and blocks cell cycle progression. May also phosphorylate NEK6 which is involved in G2/M cell cycle arrest. Regulates DNA repair through phosphorylation of BRCA2, enhancing the association of RAD51 with chromatin which promotes DNA repair by homologous recombination. Also stimulates the transcription of genes involved in DNA repair (including BRCA2) through the phosphorylation and activation of the transcription factor FOXM1. Regulates apoptosis through the phosphorylation of p53/TP53, MDM4 and PML. Phosphorylation of p53/TP53 at 'Ser-20' by CHEK2 may alleviate inhibition by MDM2, leading to accumulation of active p53/TP53. Phosphorylation of MDM4 may also reduce degradation of p53/TP53. Also controls the transcription of pro-apoptotic genes through phosphorylation of the transcription factor E2F1. Tumor suppressor, it may also have a DNA damage-independent function in mitotic spindle assembly by phosphorylating BRCA1. Its absence may be a cause of the chromosomal instability observed in some cancer cells. Promotes the CCAR2-SIRT1 association and is required for CCAR2-mediated SIRT1 inhibition (PubMed : 25361978). Under oxidative stress, promotes ATG7 ubiquitination by phosphorylating the E3 ubiquitin ligase TRIM32 at 'Ser-55' leading to positive regulation of the autophagosme assembly (PubMed : 37943659).. (Microbial infection) Phosphorylates herpes simplex virus 1/HHV-1 protein ICP0 and thus activates its SUMO-targeted ubiquitin ligase activity.
See full target information CHEK2

Publications (1)

Recent publications for all applications. Explore the full list and refine your search

Scientific reports 6:27484 PubMed27265872

2016

The presence of disulfide bonds reveals an evolutionarily conserved mechanism involved in mitochondrial protein translocase assembly.

Applications

Unspecified application

Species

Unspecified reactive species

Lidia Wrobel,Anna M Sokol,Magdalena Chojnacka,Agnieszka Chacinska
View all publications

Product promise

We are committed to supporting your work with high-quality reagents, and we're here for you every step of the way. In the unlikely event that one of our products does not perform as expected, you're protected by our Product Promise.
For full details, please see our Terms & Conditions

Please note: All products are 'FOR RESEARCH USE ONLY. NOT FOR USE IN DIAGNOSTIC OR THERAPEUTIC PROCEDURES'.

For licensing inquiries, please contact partnerships@abcam.com