JavaScript is disabled in your browser. Please enable JavaScript to view this website.
AB85743

Anti-Chk2 (phospho T68) antibody

4

(2 Reviews)

|

(14 Publications)

Rabbit Polyclonal Chk2 phospho T68 antibody. Suitable for IHC-P, WB, ICC/IF and reacts with Human samples. Cited in 14 publications.

View Alternative Names

CDS1, CHK2, RAD53, CHEK2, Serine/threonine-protein kinase Chk2, CHK2 checkpoint homolog, Cds1 homolog, Checkpoint kinase 2, Hucds1, hCds1

3 Images
Immunocytochemistry/ Immunofluorescence - Anti-Chk2 (phospho T68) antibody (AB85743)
  • ICC/IF

Unknown

Immunocytochemistry/ Immunofluorescence - Anti-Chk2 (phospho T68) antibody (AB85743)

ICC/IF image of ab85743 stained HepG2 cells. The cells were 4% formaldehyde fixed (10 min) and then incubated in 1%BSA / 10% normal goat serum / 0.3M glycine in 0.1% PBS-Tween for 1h to permeabilise the cells and block non-specific protein-protein interactions. The cells were then incubated with the antibody ab85743 at 5μg/ml overnight at +4°C. The secondary antibody (green) was goat anti rabbit DyLight® 488 IgG (H+L) (ab96899) used at a 1/1000 dilution for 1h. Alexa Fluor® 594 WGA was used to label plasma membranes (red) at a 1/200 dilution for 1h. DAPI was used to stain the cell nuclei (blue) at a concentration of 1.43μM. This antibody also gave a positive result in formaldehyde fixed (4%, 10min) HeLa cells at 5ug/ml.

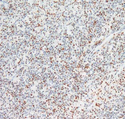
Immunohistochemistry (Formalin/PFA-fixed paraffin-embedded sections) - Anti-Chk2 (phospho T68) antibody (AB85743)
  • IHC-P

Unknown

Immunohistochemistry (Formalin/PFA-fixed paraffin-embedded sections) - Anti-Chk2 (phospho T68) antibody (AB85743)

IHC image of Chk2 staining in human colon adenocarcinoma formalin fixed paraffin embedded tissue section, performed on a Leica BondTM system using the standard protocol F. The section was pre-treated using heat mediated antigen retrieval with sodium citrate buffer (pH6, epitope retrieval solution 1) for 20 mins. The section was then incubated with ab85743, 5µg/ml, for 15 mins at room temperature and detected using an HRP conjugated compact polymer system. DAB was used as the chromogen. The section was then counterstained with haematoxylin and mounted with DPX.

For other IHC staining systems (automated and non-automated) customers should optimize variable parameters such as antigen retrieval conditions, primary antibody concentration and antibody incubation times.

Western blot - Anti-Chk2 (phospho T68) antibody (AB85743)
  • WB

Unknown

Western blot - Anti-Chk2 (phospho T68) antibody (AB85743)

Secondary antibody - anti-rabbit HRP (IgG H&L; ab97080)

All lanes:

Western blot - Anti-Chk2 (phospho T68) antibody (ab85743) at 1 µg/mL

Lane 1:

HeLa Whole Cell Lysate - Irradiated (5Gy) at 10 µg

Lane 2:

HeLa (Human epithelial carcinoma cell line) Whole Cell Lysate at 10 µg

Lane 3:

HeLa Whole Cell Lysate - Irradiated (5Gy) at 10 µg with Human Chk2 (phospho T68) peptide (<a href='/en-us/products/unavailable/human-chk2-phospho-t68-peptide-ab111650'>ab111650</a>)

Lane 4:

HeLa (Human epithelial carcinoma cell line) Whole Cell Lysate at 10 µg with Human Chk2 (phospho T68) peptide (<a href='/en-us/products/unavailable/human-chk2-phospho-t68-peptide-ab111650'>ab111650</a>)

Lane 5:

HeLa Whole Cell Lysate - Irradiated (5Gy) at 10 µg with Human Chk2 peptide (<a href='/en-us/products/unavailable/human-chk2-peptide-ab118179'>ab118179</a>)

Lane 6:

HeLa (Human epithelial carcinoma cell line) Whole Cell Lysate at 10 µg with Human Chk2 peptide (<a href='/en-us/products/unavailable/human-chk2-peptide-ab118179'>ab118179</a>)

Secondary

All lanes:

Western blot - Goat Anti-Rabbit IgG H&L (HRP) preadsorbed (<a href='/en-us/products/secondary-antibodies/goat-rabbit-igg-h-l-hrp-preadsorbed-ab97080'>ab97080</a>) at 1/5000 dilution

Predicted band size: 61 kDa

Observed band size: 145 kDa,38 kDa,70 kDa

true

Exposure time: 3min

Key facts

Host species

Rabbit

Clonality

Polyclonal

Isotype

IgG

Carrier free

No

Reacts with

Human

Applications

ICC/IF, WB, IHC-P

applications

Immunogen

The exact immunogen used to generate this antibody is proprietary information.

Reactivity data

{ "title": "Reactivity Data", "filters": { "stats": ["", "Species", "Dilution Info", "Notes"], "tabs": { "all-applications": {"fullname" : "All Applications", "shortname": "All Applications"}, "IHCP" : {"fullname" : "Immunohistochemistry (Formalin/PFA-fixed paraffin-embedded sections)", "shortname":"IHC-P"}, "WB" : {"fullname" : "Western blot", "shortname":"WB"}, "ICCIF" : {"fullname" : "Immunocytochemistry/ Immunofluorescence", "shortname":"ICC/IF"} }, "product-promise": { "all": "all", "testedAndGuaranteed": "tested", "guaranteed": "expected", "predicted": "predicted", "notRecommended": "not-recommended" } }, "values": { "Human": { "IHCP-species-checked": "testedAndGuaranteed", "IHCP-species-dilution-info": "5 µg/mL", "IHCP-species-notes": "<p></p>", "WB-species-checked": "testedAndGuaranteed", "WB-species-dilution-info": "1 µg/mL", "WB-species-notes": "<p></p>", "ICCIF-species-checked": "testedAndGuaranteed", "ICCIF-species-dilution-info": "5 µg/mL", "ICCIF-species-notes": "<p></p>" }, "Mouse": { "IHCP-species-checked": "predicted", "IHCP-species-dilution-info": "", "IHCP-species-notes": "", "WB-species-checked": "predicted", "WB-species-dilution-info": "", "WB-species-notes": "", "ICCIF-species-checked": "predicted", "ICCIF-species-dilution-info": "", "ICCIF-species-notes": "" }, "Rat": { "IHCP-species-checked": "predicted", "IHCP-species-dilution-info": "", "IHCP-species-notes": "", "WB-species-checked": "predicted", "WB-species-dilution-info": "", "WB-species-notes": "", "ICCIF-species-checked": "predicted", "ICCIF-species-dilution-info": "", "ICCIF-species-notes": "" }, "Cow": { "IHCP-species-checked": "predicted", "IHCP-species-dilution-info": "", "IHCP-species-notes": "", "WB-species-checked": "predicted", "WB-species-dilution-info": "", "WB-species-notes": "", "ICCIF-species-checked": "predicted", "ICCIF-species-dilution-info": "", "ICCIF-species-notes": "" }, "Pig": { "IHCP-species-checked": "predicted", "IHCP-species-dilution-info": "", "IHCP-species-notes": "", "WB-species-checked": "predicted", "WB-species-dilution-info": "", "WB-species-notes": "", "ICCIF-species-checked": "predicted", "ICCIF-species-dilution-info": "", "ICCIF-species-notes": "" } } }

Properties and storage information

Form
Liquid
Purification technique
Affinity purification Immunogen
Storage buffer
pH: 7.4 Preservative: 0.02% Sodium azide Constituents: PBS, 1% BSA
Shipped at conditions
Blue Ice
Appropriate short-term storage duration
1-2 weeks
Appropriate short-term storage conditions
+4°C
Appropriate long-term storage conditions
-20°C
Aliquoting information
Upon delivery aliquot
Storage information
Avoid freeze / thaw cycle

Product protocols

For this product, it's our understanding that no specific protocols are required. You can visit:

Target data

Serine/threonine-protein kinase which is required for checkpoint-mediated cell cycle arrest, activation of DNA repair and apoptosis in response to the presence of DNA double-strand breaks. May also negatively regulate cell cycle progression during unperturbed cell cycles. Following activation, phosphorylates numerous effectors preferentially at the consensus sequence [L-X-R-X-X-S/T] (PubMed : 37943659). Regulates cell cycle checkpoint arrest through phosphorylation of CDC25A, CDC25B and CDC25C, inhibiting their activity. Inhibition of CDC25 phosphatase activity leads to increased inhibitory tyrosine phosphorylation of CDK-cyclin complexes and blocks cell cycle progression. May also phosphorylate NEK6 which is involved in G2/M cell cycle arrest. Regulates DNA repair through phosphorylation of BRCA2, enhancing the association of RAD51 with chromatin which promotes DNA repair by homologous recombination. Also stimulates the transcription of genes involved in DNA repair (including BRCA2) through the phosphorylation and activation of the transcription factor FOXM1. Regulates apoptosis through the phosphorylation of p53/TP53, MDM4 and PML. Phosphorylation of p53/TP53 at 'Ser-20' by CHEK2 may alleviate inhibition by MDM2, leading to accumulation of active p53/TP53. Phosphorylation of MDM4 may also reduce degradation of p53/TP53. Also controls the transcription of pro-apoptotic genes through phosphorylation of the transcription factor E2F1. Tumor suppressor, it may also have a DNA damage-independent function in mitotic spindle assembly by phosphorylating BRCA1. Its absence may be a cause of the chromosomal instability observed in some cancer cells. Promotes the CCAR2-SIRT1 association and is required for CCAR2-mediated SIRT1 inhibition (PubMed : 25361978). Under oxidative stress, promotes ATG7 ubiquitination by phosphorylating the E3 ubiquitin ligase TRIM32 at 'Ser-55' leading to positive regulation of the autophagosme assembly (PubMed : 37943659).. (Microbial infection) Phosphorylates herpes simplex virus 1/HHV-1 protein ICP0 and thus activates its SUMO-targeted ubiquitin ligase activity.
See full target information CHEK2 phospho T68

Publications (14)

Recent publications for all applications. Explore the full list and refine your search

Dose-response : a publication of International Hormesis Society 23:15593258251352726 PubMed40548124

2025

NEDD4-Mediated Endothelial-Mesenchymal Transition Participates in Radiation-Induced Lung Injury Through the ATM Signaling Pathway.

Applications

Unspecified application

Species

Unspecified reactive species

Yang Feng,Lirong Zhang,Youbin Zhang,Ying Xu,Kaixiao Zhou,Zhao Yang,Wei Zhu,Qi Zhang,Jianping Cao,Lili Wang,Yang Jiao

Cancer science 116:56-66 PubMed39435731

2024

P2RY6 deletion promotes UVB-induced skin carcinogenesis by activating the PI3K/AKT signal pathway.

Applications

Unspecified application

Species

Unspecified reactive species

Peng Xu,Tanglin Liu,Zile Yang,Kai Zang,Xiaoxuan Gao,Yuling Shi,Xiyun Ye,Yongyan Dang

MedComm 5:e548 PubMed38645664

2024

Mechanism of Musashi2 affecting radiosensitivity of lung cancer by modulating DNA damage repair.

Applications

Unspecified application

Species

Unspecified reactive species

Hongjin Qu,Xiong Shi,Ying Xu,Hongran Qin,Junshi Li,Shanlin Cai,Jianpeng Zhao,Bingbing Wan,Yanyong Yang,Bailong Li

Anticancer research 41:5393-5403 PubMed34732408

2021

DNA Double-strand Break Signaling Is a Therapeutic Target in Head and Neck Cancer.

Applications

Unspecified application

Species

Unspecified reactive species

Jianchun Wu,Kate Jillian Galvan,Ryan D Bogard,Caryn E Peterson,Ardaman Shergill,David L Crowe

Clinical cancer research : an official journal of 26:5246-5257 PubMed32718999

2020

Low-Dose Hsp90 Inhibitor Selectively Radiosensitizes HNSCC and Pancreatic Xenografts.

Applications

Unspecified application

Species

Unspecified reactive species

Ranjit K Mehta,Sanjima Pal,Koushik Kondapi,Merna Sitto,Cuyler Dewar,Theresa Devasia,Matthew J Schipper,Dafydd G Thomas,Venkatesha Basrur,Manjunath P Pai,Yoshihiro Morishima,Yoichi Osawa,William B Pratt,Theodore S Lawrence,Mukesh K Nyati

Gut microbes 11:1567-1589 PubMed32588736

2020

Inhibition of autophagy aggravates DNA damage response and gastric tumorigenesis via Rad51 ubiquitination in response to infection.

Applications

Unspecified application

Species

Unspecified reactive species

Chuan Xie,Nianshuang Li,Huan Wang,Cong He,Yi Hu,Chao Peng,Yaobin Ouyang,Dejie Wang,Yong Xie,Jiang Chen,Xu Shu,Yin Zhu,Nonghua Lu

Molecular cancer research : MCR 18:1326-1339 PubMed32467172

2020

Telomere DNA Damage Signaling Regulates Prostate Cancer Tumorigenesis.

Applications

Unspecified application

Species

Unspecified reactive species

Jianchun Wu,David L Crowe

The Journal of experimental medicine 217: PubMed31658985

2019

Collective cancer invasion forms an integrin-dependent radioresistant niche.

Applications

Unspecified application

Species

Unspecified reactive species

Anna Haeger,Stephanie Alexander,Manon Vullings,Fabian M P Kaiser,Cornelia Veelken,Uta Flucke,Gudrun E Koehl,Markus Hirschberg,Michael Flentje,Robert M Hoffman,Edward K Geissler,Stephan Kissler,Peter Friedl

Cell reports 29:551-559.e4 PubMed31618626

2019

ATR Signaling Uncouples the Role of RAD51 Paralogs in Homologous Recombination and Replication Stress Response.

Applications

Unspecified application

Species

Unspecified reactive species

Sneha Saxena,Suruchi Dixit,Kumar Somyajit,Ganesh Nagaraju

Cell reports 25:3273-3282.e6 PubMed30566856

2018

XRCC2 Regulates Replication Fork Progression during dNTP Alterations.

Applications

Unspecified application

Species

Unspecified reactive species

Sneha Saxena,Kumar Somyajit,Ganesh Nagaraju
View all publications

Product promise

We are committed to supporting your work with high-quality reagents, and we're here for you every step of the way. In the unlikely event that one of our products does not perform as expected, you're protected by our Product Promise.
For full details, please see our Terms & Conditions

Please note: All products are 'FOR RESEARCH USE ONLY. NOT FOR USE IN DIAGNOSTIC OR THERAPEUTIC PROCEDURES'.

For licensing inquiries, please contact partnerships@abcam.com