JavaScript is disabled in your browser. Please enable JavaScript to view this website.
AB237676

Anti-CHMP1a antibody

Be the first to review this product! Submit a review

|

(1 Publication)

Rabbit Polyclonal CHMP1a antibody. Suitable for IHC-P, WB, ICC/IF and reacts with Human samples. Cited in 1 publication. Immunogen corresponding to Recombinant Full Length Protein corresponding to Human CHMP1A.

View Alternative Names

CHMP1, KIAA0047, PCOLN3, PRSM1, CHMP1A, Charged multivesicular body protein 1a, Chromatin-modifying protein 1a, Vacuolar protein sorting-associated protein 46-1, CHMP1a, Vps46-1, hVps46-1

4 Images
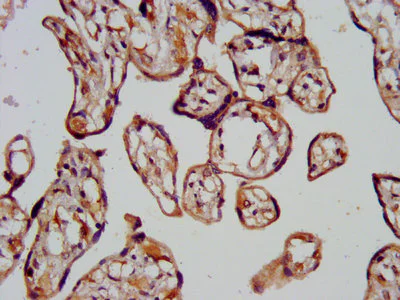
Immunohistochemistry (Formalin/PFA-fixed paraffin-embedded sections) - Anti-CHMP1a antibody (AB237676)
  • IHC-P

Supplier Data

Immunohistochemistry (Formalin/PFA-fixed paraffin-embedded sections) - Anti-CHMP1a antibody (AB237676)

Paraffin-embedded human placenta tissue stained for CHMP1a using ab237676 at 1/200 dilution in immunohistochemical analysis.

After dewaxing and hydration, antigen retrieval was mediated by high pressure in a citrate buffer (pH 6.0). Section was blocked with 10% normal goat serum 30min at RT. Then primary antibody (1% BSA) was incubated at 4°C overnight. The primary is detected by a biotinylated secondary antibody and visualized using an HRP conjugated SP system.

Immunocytochemistry/ Immunofluorescence - Anti-CHMP1a antibody (AB237676)
  • ICC/IF

Supplier Data

Immunocytochemistry/ Immunofluorescence - Anti-CHMP1a antibody (AB237676)

HepG2 (human liver hepatocellular carcinoma cell line) cells stained for CHMP1a (green) using ab237676 at 1/66 dilution in ICC/IF, followed by Alexa Fluor 488® conjugated Goat Anti-Rabbit IgG (H+L). The nuclear counter stain is DAPI.

The cells were fixed in 4% formaldehyde, permeabilized using 0.2% Triton X-100 and blocked in 10% normal Goat Serum. The cells were then incubated with the antibody overnight at 4°C.

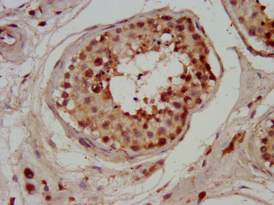
Immunohistochemistry (Formalin/PFA-fixed paraffin-embedded sections) - Anti-CHMP1a antibody (AB237676)
  • IHC-P

Supplier Data

Immunohistochemistry (Formalin/PFA-fixed paraffin-embedded sections) - Anti-CHMP1a antibody (AB237676)

Paraffin-embedded human testis tissue stained for CHMP1a using ab237676 at 1/200 dilution in immunohistochemical analysis.

After dewaxing and hydration, antigen retrieval was mediated by high pressure in a citrate buffer (pH 6.0). Section was blocked with 10% normal goat serum 30min at RT. Then primary antibody (1% BSA) was incubated at 4°C overnight. The primary is detected by a biotinylated secondary antibody and visualized using an HRP conjugated SP system.

Western blot - Anti-CHMP1a antibody (AB237676)
  • WB

Supplier Data

Western blot - Anti-CHMP1a antibody (AB237676)

All lanes:

Western blot - Anti-CHMP1a antibody (ab237676) at 1/1000 dilution

All lanes:

HEK-293T (human epithelial cell line from embryonic kidney transformed with large T antigen) whole cell lysate

Secondary

All lanes:

Goat polyclonal to rabbit IgG at 1/50000 dilution

Predicted band size: 22 kDa

false

Key facts

Host species

Rabbit

Clonality

Polyclonal

Isotype

IgG

Carrier free

No

Reacts with

Human

Applications

WB, IHC-P, ICC/IF

applications

Immunogen

Recombinant Full Length Protein corresponding to Human CHMP1A.

Q9HD42

Reactivity data

{ "title": "Reactivity Data", "filters": { "stats": ["", "Species", "Dilution Info", "Notes"], "tabs": { "all-applications": {"fullname" : "All Applications", "shortname": "All Applications"}, "IHCP" : {"fullname" : "Immunohistochemistry (Formalin/PFA-fixed paraffin-embedded sections)", "shortname":"IHC-P"}, "WB" : {"fullname" : "Western blot", "shortname":"WB"}, "ICCIF" : {"fullname" : "Immunocytochemistry/ Immunofluorescence", "shortname":"ICC/IF"} }, "product-promise": { "all": "all", "testedAndGuaranteed": "tested", "guaranteed": "expected", "predicted": "predicted", "notRecommended": "not-recommended" } }, "values": { "Human": { "IHCP-species-checked": "testedAndGuaranteed", "IHCP-species-dilution-info": "1/200 - 1/500", "IHCP-species-notes": "<p></p> Perform heat-mediated antigen retrieval with citrate buffer pH 6 before commencing with IHC staining protocol.", "WB-species-checked": "testedAndGuaranteed", "WB-species-dilution-info": "1/1000 - 1/5000", "WB-species-notes": "<p></p>", "ICCIF-species-checked": "testedAndGuaranteed", "ICCIF-species-dilution-info": "1/50 - 1/200", "ICCIF-species-notes": "<p></p>" }, "Mouse": { "IHCP-species-checked": "predicted", "IHCP-species-dilution-info": "", "IHCP-species-notes": "", "WB-species-checked": "predicted", "WB-species-dilution-info": "", "WB-species-notes": "", "ICCIF-species-checked": "predicted", "ICCIF-species-dilution-info": "", "ICCIF-species-notes": "" }, "Orangutan": { "IHCP-species-checked": "predicted", "IHCP-species-dilution-info": "", "IHCP-species-notes": "", "WB-species-checked": "predicted", "WB-species-dilution-info": "", "WB-species-notes": "", "ICCIF-species-checked": "predicted", "ICCIF-species-dilution-info": "", "ICCIF-species-notes": "" } } }

Properties and storage information

Form
Liquid
Purification technique
Affinity purification Protein G
Purification notes
Purity greater than 95%.
Storage buffer
pH: 7.4 Preservative: 0.03% Proclin 300 Constituents: PBS, 50% Glycerol (glycerin, glycerine)
Shipped at conditions
Blue Ice
Appropriate short-term storage duration
1-2 weeks
Appropriate short-term storage conditions
+4°C
Appropriate long-term storage conditions
-20°C
Aliquoting information
Upon delivery aliquot
Storage information
Avoid freeze / thaw cycle

Supplementary information

This supplementary information is collated from multiple sources and compiled automatically.

The protein charged multivesicular body protein 1a (CHMP1a) is an essential component of the endosomal sorting complex required for transport (ESCRT)-III also known as chromatin-modifying protein 1A. CHMP1a has a molecular mass of approximately 22 kDa. It shows expression in various tissues with significant presence observed in the brain liver and kidneys. CHMP1a plays a role in the cellular process of membrane remodeling and vesicle trafficking.
Biological function summary

CHMP1a assists in cellular processes like cytokinesis and maintenance of chromatin structure. It is an important part of the ESCRT-III complex which is important for the final stages of cell division and intracellular sorting processes. CHMP1a contributes to the degradation of membrane proteins in lysosomes and the maintenance of proper cell function by controlling the fate of cell surface receptors.

Pathways

The ESCRT-III complex including CHMP1a is involved in the endosomal-lysosomal degradation pathway. This pathway plays a critical role in the down-regulation of cell signaling. CHMP1a associates with proteins such as VPS4 which is involved in the disassembly and recycling of the ESCRT-III complex for repeated use in successive cell cycles. CHMP1a also contributes to the proper functioning of the mitotic spindle assembly ensuring successful mitosis.

Defects or mutations in CHMP1a expression can associate with neurodegenerative diseases like frontotemporal dementia. Research shows implications in cancer with altered CHMP1a expression affecting tumor progression due to disrupted cell division and regulation. The proteins within its pathways such as TSG101 and ALIX also exhibit connections to oncogenic processes further highlighting the role of CHMP1a in pathological conditions.

Product protocols

For this product, it's our understanding that no specific protocols are required. You can visit:

Target data

Probable peripherally associated component of the endosomal sorting required for transport complex III (ESCRT-III) which is involved in multivesicular bodies (MVBs) formation and sorting of endosomal cargo proteins into MVBs. MVBs contain intraluminal vesicles (ILVs) that are generated by invagination and scission from the limiting membrane of the endosome and mostly are delivered to lysosomes enabling degradation of membrane proteins, such as stimulated growth factor receptors, lysosomal enzymes and lipids. The MVB pathway appears to require the sequential function of ESCRT-O, -I,-II and -III complexes. ESCRT-III proteins mostly dissociate from the invaginating membrane before the ILV is released. The ESCRT machinery also functions in topologically equivalent membrane fission events, such as the terminal stages of cytokinesis and the budding of enveloped viruses (HIV-1 and other lentiviruses). ESCRT-III proteins are believed to mediate the necessary vesicle extrusion and/or membrane fission activities, possibly in conjunction with the AAA ATPase VPS4. Involved in cytokinesis. Involved in recruiting VPS4A and/or VPS4B to the midbody of dividing cells. May also be involved in chromosome condensation. Targets the Polycomb group (PcG) protein BMI1/PCGF4 to regions of condensed chromatin. May play a role in stable cell cycle progression and in PcG gene silencing.
See full target information CHMP1A

Publications (1)

Recent publications for all applications. Explore the full list and refine your search

Frontiers in oncology 11:619915 PubMed33842324

2021

A Positive Feedback Loop of Long Noncoding RNA LINC00152 and KLF5 Facilitates Breast Cancer Growth.

Applications

Unspecified application

Species

Unspecified reactive species

Qiang Li,Xiao Wang,Liheng Zhou,Mingyun Jiang,Guansheng Zhong,Shuguang Xu,Minjun Zhang,Yigan Zhang,Xiaodong Liang,Lei Zhang,Jianming Tang,Haibo Zhang
View all publications

Product promise

We are committed to supporting your work with high-quality reagents, and we're here for you every step of the way. In the unlikely event that one of our products does not perform as expected, you're protected by our Product Promise.
For full details, please see our Terms & Conditions

Please note: All products are 'FOR RESEARCH USE ONLY. NOT FOR USE IN DIAGNOSTIC OR THERAPEUTIC PROCEDURES'.

For licensing inquiries, please contact partnerships@abcam.com