JavaScript is disabled in your browser. Please enable JavaScript to view this website.
AB96273

Anti-CHMP5 antibody

Be the first to review this product! Submit a review

|

(4 Publications)

Rabbit Polyclonal CHMP5 antibody. Suitable for WB, IHC-P, ICC/IF and reacts with Human samples. Cited in 4 publications. Immunogen corresponding to Recombinant Fragment Protein within Human CHMP5 aa 1-200.

View Alternative Names

C9orf83, SNF7DC2, CGI-34, HSPC177, PNAS-114, PNAS-2, CHMP5, Charged multivesicular body protein 5, Chromatin-modifying protein 5, SNF7 domain-containing protein 2, Vacuolar protein sorting-associated protein 60, Vps60, hVps60

4 Images
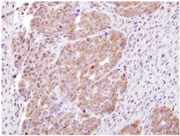
Immunohistochemistry (Formalin/PFA-fixed paraffin-embedded sections) - Anti-CHMP5 antibody (AB96273)
  • IHC-P

Unknown

Immunohistochemistry (Formalin/PFA-fixed paraffin-embedded sections) - Anti-CHMP5 antibody (AB96273)

Immunohistochemical analysis of paraffin-embedded NCIN87 xenograft, using ab96273 at 1/100 dilution

Immunocytochemistry/ Immunofluorescence - Anti-CHMP5 antibody (AB96273)
  • ICC/IF

Supplier Data

Immunocytochemistry/ Immunofluorescence - Anti-CHMP5 antibody (AB96273)

Immunofluorescence analysis of HL-60 cells fixed in ice-cold MeOH for 5 min labelling CHMP5 protein using ab96273 at a 1/500 dilution (Green). Hoechst 33342 was used for nuclear staining (Blue).

Western blot - Anti-CHMP5 antibody (AB96273)
  • WB

Unknown

Western blot - Anti-CHMP5 antibody (AB96273)

12% SDS PAGE

All lanes:

Western blot - Anti-CHMP5 antibody (ab96273) at 1/1000 dilution

Lane 1:

293T whole cell lysate at 30 µg

Lane 2:

A431 whole cell lysate at 30 µg

Lane 3:

H1299 whole cell lysate at 30 µg

Lane 4:

HeLa S3 whole cell lysate at 30 µg

Lane 5:

HepG2 whole cell lysate at 30 µg

Predicted band size: 25 kDa

false

Western blot - Anti-CHMP5 antibody (AB96273)
  • WB

Supplier Data

Western blot - Anti-CHMP5 antibody (AB96273)

Samples were separated by 15 % SDS-PAGE.

All lanes:

Western blot - Anti-CHMP5 antibody (ab96273) at 1/1000 dilution

Lane 1:

293T whole cell lysate at 30 µg

Lane 2:

A431 whole cell lysate at 30 µg

Lane 3:

HeLa whole cell lysate at 30 µg

Lane 4:

HepG2 whole cell lysate at 30 µg

Predicted band size: 25 kDa

false

Key facts

Host species

Rabbit

Clonality

Polyclonal

Isotype

IgG

Carrier free

No

Reacts with

Human

Applications

IHC-P, ICC/IF, WB

applications

Immunogen

Recombinant Fragment Protein within Human CHMP5 aa 1-200. The exact immunogen used to generate this antibody is proprietary information.

Q9NZZ3

Reactivity data

{ "title": "Reactivity Data", "filters": { "stats": ["", "Species", "Dilution Info", "Notes"], "tabs": { "all-applications": {"fullname" : "All Applications", "shortname": "All Applications"}, "WB" : {"fullname" : "Western blot", "shortname":"WB"}, "IHCP" : {"fullname" : "Immunohistochemistry (Formalin/PFA-fixed paraffin-embedded sections)", "shortname":"IHC-P"}, "ICCIF" : {"fullname" : "Immunocytochemistry/ Immunofluorescence", "shortname":"ICC/IF"} }, "product-promise": { "all": "all", "testedAndGuaranteed": "tested", "guaranteed": "expected", "predicted": "predicted", "notRecommended": "not-recommended" } }, "values": { "Human": { "WB-species-checked": "testedAndGuaranteed", "WB-species-dilution-info": "1/500 - 1/3000", "WB-species-notes": "<p></p>", "IHCP-species-checked": "testedAndGuaranteed", "IHCP-species-dilution-info": "1/100 - 1/1000", "IHCP-species-notes": "<p></p>", "ICCIF-species-checked": "testedAndGuaranteed", "ICCIF-species-dilution-info": "1/100 - 1/1000", "ICCIF-species-notes": "<p></p>" }, "Mouse": { "WB-species-checked": "predicted", "WB-species-dilution-info": "", "WB-species-notes": "", "IHCP-species-checked": "predicted", "IHCP-species-dilution-info": "", "IHCP-species-notes": "", "ICCIF-species-checked": "predicted", "ICCIF-species-dilution-info": "", "ICCIF-species-notes": "" }, "Cow": { "WB-species-checked": "predicted", "WB-species-dilution-info": "", "WB-species-notes": "", "IHCP-species-checked": "predicted", "IHCP-species-dilution-info": "", "IHCP-species-notes": "", "ICCIF-species-checked": "predicted", "ICCIF-species-dilution-info": "", "ICCIF-species-notes": "" } } }

Properties and storage information

Form
Liquid
Purification technique
Affinity purification Immunogen
Storage buffer
pH: 7 Preservative: 0.01% Thimerosal (merthiolate) Constituents: 10% Glycerol (glycerin, glycerine), 1.21% Tris, 0.75% Glycine
Shipped at conditions
Blue Ice
Appropriate short-term storage conditions
+4°C
Appropriate long-term storage conditions
-20°C
Aliquoting information
Upon delivery aliquot
Storage information
Avoid freeze / thaw cycle

Product protocols

For this product, it's our understanding that no specific protocols are required. You can visit:

Target data

Probable peripherally associated component of the endosomal sorting required for transport complex III (ESCRT-III) which is involved in multivesicular bodies (MVBs) formation and sorting of endosomal cargo proteins into MVBs. MVBs contain intraluminal vesicles (ILVs) that are generated by invagination and scission from the limiting membrane of the endosome and mostly are delivered to lysosomes enabling degradation of membrane proteins, such as stimulated growth factor receptors, lysosomal enzymes and lipids. The MVB pathway appears to require the sequential function of ESCRT-O, -I,-II and -III complexes. ESCRT-III proteins mostly dissociate from the invaginating membrane before the ILV is released. The ESCRT machinery also functions in topologically equivalent membrane fission events, such as the terminal stages of cytokinesis and the budding of enveloped viruses (HIV-1 and other lentiviruses) (PubMed : 14519844). ESCRT-III proteins are believed to mediate the necessary vesicle extrusion and/or membrane fission activities, possibly in conjunction with the AAA ATPase VPS4. Involved in HIV-1 p6- and p9-dependent virus release (PubMed : 14519844).
See full target information CHMP5

Publications (4)

Recent publications for all applications. Explore the full list and refine your search

Diagnostic pathology 19:4 PubMed38178187

2024

A risk model based on 10 ferroptosis regulators and markers established by LASSO-regularized linear Cox regression has a good prognostic value for ovarian cancer patients.

Applications

Unspecified application

Species

Unspecified reactive species

Tingchuan Xiong,Yinghong Wang,Changjun Zhu

Advanced science (Weinheim, Baden-Wurttemberg, Germany) 10:e2300414 PubMed37387572

2023

Autophagosomes Defeat Ferroptosis by Decreasing Generation and Increasing Discharge of Free Fe in Skin Repair Cells to Accelerate Diabetic Wound Healing.

Applications

Unspecified application

Species

Unspecified reactive species

Shengnan Cui,Xi Liu,Yong Liu,Wenzhi Hu,Kui Ma,Qilin Huang,Ziqiang Chu,Lige Tian,Sheng Meng,Jianlong Su,Wenhua Zhang,Haihong Li,Xiaobing Fu,Cuiping Zhang

Cancer management and research 12:2381-2391 PubMed32280275

2020

B3GNT3, a Direct Target of miR-149-5p, Promotes Lung Cancer Development and Indicates Poor Prognosis of Lung Cancer.

Applications

Unspecified application

Species

Unspecified reactive species

Yu Sun,Tao Liu,Lei Xian,Wenzhou Liu,Jun Liu,Huafu Zhou

Methods in molecular biology (Clifton, N.J.) 1998:219-226 PubMed31250305

2019

Assessment of ESCRT Protein CHMP5 Activity on Client Protein Ubiquitination by Immunoprecipitation and Western Blotting.

Applications

Unspecified application

Species

Unspecified reactive species

Francheska Son,Katharine Umphred-Wilson,Jae-Hyuck Shim,Stanley Adoro
View all publications

Product promise

We are committed to supporting your work with high-quality reagents, and we're here for you every step of the way. In the unlikely event that one of our products does not perform as expected, you're protected by our Product Promise.
For full details, please see our Terms & Conditions

Please note: All products are 'FOR RESEARCH USE ONLY. NOT FOR USE IN DIAGNOSTIC OR THERAPEUTIC PROCEDURES'.

For licensing inquiries, please contact partnerships@abcam.com