JavaScript is disabled in your browser. Please enable JavaScript to view this website.
AB238552

Anti-CHMP7 antibody

Be the first to review this product! Submit a review

|

(1 Publication)

Rabbit Polyclonal CHMP7 antibody. Suitable for IHC-P and reacts with Human samples. Cited in 1 publication. Immunogen corresponding to Recombinant Fragment Protein within Human CHMP7 aa 1-300.

View Alternative Names

Charged multivesicular body protein 7, Chromatin-modifying protein 7, CHMP7

1 Images
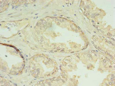
Immunohistochemistry (Formalin/PFA-fixed paraffin-embedded sections) - Anti-CHMP7 antibody (AB238552)
  • IHC-P

Supplier Data

Immunohistochemistry (Formalin/PFA-fixed paraffin-embedded sections) - Anti-CHMP7 antibody (AB238552)

Paraffin-embedded human prostate cancer tissue stained for CHMP7 with ab238552 at a 1/100 dilution in immunohistochemical analysis.

Key facts

Host species

Rabbit

Clonality

Polyclonal

Isotype

IgG

Carrier free

No

Reacts with

Human

Applications

IHC-P

applications

Immunogen

Recombinant Fragment Protein within Human CHMP7 aa 1-300. The exact immunogen used to generate this antibody is proprietary information.

Q8WUX9

Reactivity data

{ "title": "Reactivity Data", "filters": { "stats": ["", "Species", "Dilution Info", "Notes"], "tabs": { "all-applications": {"fullname" : "All Applications", "shortname": "All Applications"}, "IHCP" : {"fullname" : "Immunohistochemistry (Formalin/PFA-fixed paraffin-embedded sections)", "shortname":"IHC-P"} }, "product-promise": { "all": "all", "testedAndGuaranteed": "tested", "guaranteed": "expected", "predicted": "predicted", "notRecommended": "not-recommended" } }, "values": { "Human": { "IHCP-species-checked": "testedAndGuaranteed", "IHCP-species-dilution-info": "1/20 - 1/200", "IHCP-species-notes": "<p></p>" }, "Mouse": { "IHCP-species-checked": "predicted", "IHCP-species-dilution-info": "", "IHCP-species-notes": "" }, "Orangutan": { "IHCP-species-checked": "predicted", "IHCP-species-dilution-info": "", "IHCP-species-notes": "" } } }

Properties and storage information

Form
Liquid
Purification technique
Affinity purification Protein G
Purification notes
Purity >95%
Storage buffer
pH: 7.4 Preservative: 0.03% Proclin 300 Constituents: PBS, 50% Glycerol (glycerin, glycerine)
Shipped at conditions
Blue Ice
Appropriate short-term storage duration
1-2 weeks
Appropriate short-term storage conditions
+4°C
Appropriate long-term storage conditions
-20°C
Aliquoting information
Upon delivery aliquot
Storage information
Avoid freeze / thaw cycle

Product protocols

For this product, it's our understanding that no specific protocols are required. You can visit:

Target data

ESCRT-III-like protein required to recruit the ESCRT-III complex to the nuclear envelope (NE) during late anaphase (PubMed : 26040712). Together with SPAST, the ESCRT-III complex promotes NE sealing and mitotic spindle disassembly during late anaphase (PubMed : 26040712, PubMed : 28242692). Recruited to the reforming NE during anaphase by LEMD2 (PubMed : 28242692). Plays a role in the endosomal sorting pathway (PubMed : 16856878).
See full target information CHMP7

Publications (1)

Recent publications for all applications. Explore the full list and refine your search

Aging cell 23:e14320 PubMed39158018

2024

Single-cell RNA sequencing reveals the CRTAC1 population actively contributes to the pathogenesis of spinal ligament degeneration by SPP1 macrophage.

Applications

Unspecified application

Species

Unspecified reactive species

Yulong Tang,Dachun Zhuo,Yuexin Yu,Weilin Pu,Yanyun Ma,Yuting Zhang,Yan Huang,Qing Zhang,Kunhai Tang,Chen Meng,Di Yang,Lu Bai,Dongyi He,Li Jin,Hejian Zou,Huji Xu,Qi Zhu,Jiucun Wang,Yuanyuan Chen,Jing Liu
View all publications

Product promise

We are committed to supporting your work with high-quality reagents, and we're here for you every step of the way. In the unlikely event that one of our products does not perform as expected, you're protected by our Product Promise.
For full details, please see our Terms & Conditions

Please note: All products are 'FOR RESEARCH USE ONLY. NOT FOR USE IN DIAGNOSTIC OR THERAPEUTIC PROCEDURES'.

For licensing inquiries, please contact partnerships@abcam.com