JavaScript is disabled in your browser. Please enable JavaScript to view this website.
AB236742

Anti-CHODL antibody

Be the first to review this product! Submit a review

|

(3 Publications)

Rabbit Polyclonal CHODL antibody. Suitable for WB, IHC-P, ICC/IF and reacts with Human samples. Cited in 3 publications. Immunogen corresponding to Recombinant Fragment Protein within Human CHODL aa 100-250.

View Alternative Names

C21orf68, PRED12, UNQ872/PRO1890, CHODL, Chondrolectin, Transmembrane protein MT75

3 Images
Immunocytochemistry/ Immunofluorescence - Anti-CHODL antibody (AB236742)
  • ICC/IF

Supplier Data

Immunocytochemistry/ Immunofluorescence - Anti-CHODL antibody (AB236742)

HeLa (Human epithelial cell line from cervix adenocarcinoma) cells stained for CHODL (green) using ab236742 at 1/100 dilution in ICC/IF. Secondary antibody is an Alexa-Fluor® 488-conjugated Goat Anti-Rabbit IgG (H+L). The nuclear conterstain is DAPI (blue).

The cells were fixed in 4% formaldehyde, permeabilized using 0.2% Triton X-100 and blocked in 10% normal goat serum. The cells were then incubated with the antibody overnight at 4°C.

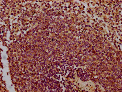
Immunohistochemistry (Formalin/PFA-fixed paraffin-embedded sections) - Anti-CHODL antibody (AB236742)
  • IHC-P

Supplier Data

Immunohistochemistry (Formalin/PFA-fixed paraffin-embedded sections) - Anti-CHODL antibody (AB236742)

Paraffin-embedded human spleen tissue stained for CHODL using ab236742 at 1/300 dilution in immunohistochemical analysis.

After dewaxing and hydration, antigen retrieval was mediated by high pressure in a citrate buffer (pH 6.0). Section was blocked with 10% normal goat serum 30 minutes at RT. Then primary antibody (1% BSA) was incubated at 4°C overnight. The primary is detected by a biotinylated secondary antibody and visualized using an HRP conjugated SP system.

Western blot - Anti-CHODL antibody (AB236742)
  • WB

Supplier Data

Western blot - Anti-CHODL antibody (AB236742)

All lanes:

Western blot - Anti-CHODL antibody (ab236742) at 1/500 dilution

Lane 1:

HeLa (Human epithelial cell line from cervix adenocarcinoma) whole cell lysate

Lane 2:

K562 (Human chronic myelogenous leukemia cell line from bone marrow) whole cell lysate

Secondary

All lanes:

Goat polyclonal to rabbit IgG at 1/50000 dilution

Predicted band size: 30 kDa

false

Key facts

Host species

Rabbit

Clonality

Polyclonal

Isotype

IgG

Carrier free

No

Reacts with

Human

Applications

WB, IHC-P, ICC/IF

applications

Immunogen

Recombinant Fragment Protein within Human CHODL aa 100-250. The exact immunogen used to generate this antibody is proprietary information.

Q9H9P2

Reactivity data

{ "title": "Reactivity Data", "filters": { "stats": ["", "Species", "Dilution Info", "Notes"], "tabs": { "all-applications": {"fullname" : "All Applications", "shortname": "All Applications"}, "WB" : {"fullname" : "Western blot", "shortname":"WB"}, "IHCP" : {"fullname" : "Immunohistochemistry (Formalin/PFA-fixed paraffin-embedded sections)", "shortname":"IHC-P"}, "ICCIF" : {"fullname" : "Immunocytochemistry/ Immunofluorescence", "shortname":"ICC/IF"} }, "product-promise": { "all": "all", "testedAndGuaranteed": "tested", "guaranteed": "expected", "predicted": "predicted", "notRecommended": "not-recommended" } }, "values": { "Human": { "WB-species-checked": "testedAndGuaranteed", "WB-species-dilution-info": "1/500 - 1/5000", "WB-species-notes": "<p></p>", "IHCP-species-checked": "testedAndGuaranteed", "IHCP-species-dilution-info": "1/200 - 1/500", "IHCP-species-notes": "<p></p>", "ICCIF-species-checked": "testedAndGuaranteed", "ICCIF-species-dilution-info": "1/50 - 1/200", "ICCIF-species-notes": "<p></p>" } } }

Properties and storage information

Form
Liquid
Purification technique
Affinity purification Protein G
Purification notes
Purity >95%
Storage buffer
pH: 7.4 Preservative: 0.03% Proclin 300 Constituents: PBS, 50% Glycerol (glycerin, glycerine)
Shipped at conditions
Blue Ice
Appropriate short-term storage duration
1-2 weeks
Appropriate short-term storage conditions
+4°C
Appropriate long-term storage conditions
-20°C
Aliquoting information
Upon delivery aliquot
Storage information
Avoid freeze / thaw cycle

Product protocols

For this product, it's our understanding that no specific protocols are required. You can visit:

Target data

May play a role in the development of the nervous system such as in neurite outgrowth and elongation. May be involved in motor axon growth and guidance.
See full target information CHODL

Publications (3)

Recent publications for all applications. Explore the full list and refine your search

Frontiers in immunology 15:1420847 PubMed38975339

2024

Integrating single-cell and spatial transcriptomic analysis to unveil heterogeneity in high-grade serous ovarian cancer.

Applications

Unspecified application

Species

Unspecified reactive species

Haixia Luo,Kunyu Wang,Bin Li

BMC cancer 22:1364 PubMed36581816

2022

mA RNA methylation regulator-based signature for prognostic prediction and its potential immunological role in uterine corpus endometrial carcinoma.

Applications

Unspecified application

Species

Unspecified reactive species

Fang Fang,Peipei Wang,Haoyu Huang,Mingquan Ye,Xiaocen Liu,Qingqing Li

Advances in clinical and experimental medicine : official organ Wroclaw Medical University 30:691-699 PubMed34118147

2021

Upregulation of centromere protein K is crucial for lung adenocarcinoma cell viability and invasion.

Applications

Unspecified application

Species

Unspecified reactive species

Yongbo Wang,Yue Wang,Chunna Ren,Haicun Wang,Yang Zhang,Yunxia Xiu
View all publications

Product promise

We are committed to supporting your work with high-quality reagents, and we're here for you every step of the way. In the unlikely event that one of our products does not perform as expected, you're protected by our Product Promise.
For full details, please see our Terms & Conditions

Please note: All products are 'FOR RESEARCH USE ONLY. NOT FOR USE IN DIAGNOSTIC OR THERAPEUTIC PROCEDURES'.

For licensing inquiries, please contact partnerships@abcam.com