JavaScript is disabled in your browser. Please enable JavaScript to view this website.
AB317738

Anti-Cholera enterotoxin subunit B antibody [EPR27372-4]

  • BOND RX™ Validated
  • 20ul selling size
  • Recombinant
  • RabMAb
  • What is this?

Be the first to review this product! Submit a review

|

(0 Publication)

Rabbit Recombinant Monoclonal CHTB antibody. Suitable for WB, IHC-P, ICC/IF, Flow Cyt (Intra), IP, I-ELISA and reacts with Transfected cell lysate - Vibrio cholerae O1 biovar El Tor str. N16961, Transfected cell line - Vibrio cholerae O1 biovar El Tor str. N16961, Recombinant fragment - Vibrio cholerae O1 biovar El Tor str. N16961 samples.

View Alternative Names

toxB, VC_1456, ctxB, Cholera enterotoxin subunit B, Cholera enterotoxin B chain, Cholera enterotoxin gamma chain, Choleragenoid

6 Images
Immunohistochemistry (Formalin/PFA-fixed paraffin-embedded sections) - Anti-Cholera enterotoxin subunit B antibody [EPR27372-4] (AB317738)
  • IHC-P

Supplier Data

Immunohistochemistry (Formalin/PFA-fixed paraffin-embedded sections) - Anti-Cholera enterotoxin subunit B antibody [EPR27372-4] (AB317738)

Immunohistochemical analysis of paraffin-embedded (A) HEK-293T (human epithelial cell line from embryonic kidney) transfected with a Cholera enterotoxin subunit B expression vector containing a EGFP tag. (B) HEK-293T transfected with empty vector containing a EGFP tag. tissue labeling Cholera enterotoxin subunit B with ab317738 at 1/2000 (0.265 ug/ml) dilution, followed by a ready to use LeicaDS9800 (Bond™ Polymer Refine Detection).

Positive staining on (A) HEK-293T (human epithelial cell line from embryonic kidney) transfected with a Cholera enterotoxin subunit B expression vector containing a EGFP tag, negative staining on (B) HEK-293T transfected with empty vector containing a EGFP tag. The section was incubated with ab317738 for 30 mins at room temperature.
The immunostaining was performed on a Leica Biosystems BOND® RX instrument.

Counterstained with Hematoxylin.

Secondary antibody only control : Secondary antibody is a ready to use LeicaDS9800 (Bond™ Polymer Refine Detection).

Heat mediated antigen retrieval was performed with Tris-EDTA buffer (pH 9.0, Epitope Retrieval Solution2) for 20 mins.

Immunocytochemistry/ Immunofluorescence - Anti-Cholera enterotoxin subunit B antibody [EPR27372-4] (AB317738)
  • ICC/IF

Supplier Data

Immunocytochemistry/ Immunofluorescence - Anti-Cholera enterotoxin subunit B antibody [EPR27372-4] (AB317738)

Immunofluorescent analysis of 4% Paraformaldehyde-fixed, 0.1% TritonX-100 permeabilized 293T (human embryonic kidney epithelial cell) cells labelling Cholera enterotoxin subunit B with ab317738 at 1/2000 (0.265 ug/ml) dilution, followed by ab150088 Goat Anti-Rabbit IgG H&L (Alexa Fluor® 594) preadsorbed (ab150088) antibody at 1/1000 2 ug/ml dilution (Green).

Confocal image showing positive staining in 293T cells transfected with a Cholera enterotoxin subunit B expression vector (shown in magenta) containing a EGFP-tag® (shown in green). Nuclear DNA was labeled with DAPI (shown in blue).
Image was taken with a confocal microscope (Leica-Microsystems, TCS SP8).

Secondary antibody only control : Secondary antibody is ab150088 Goat Anti-Rabbit IgG H&L (Alexa Fluor® 594) preadsorbed (ab150088) at 1/1000 2 ug/ml dilution.

Flow Cytometry (Intracellular) - Anti-Cholera enterotoxin subunit B antibody [EPR27372-4] (AB317738)
  • Flow Cyt (Intra)

Supplier Data

Flow Cytometry (Intracellular) - Anti-Cholera enterotoxin subunit B antibody [EPR27372-4] (AB317738)

Flow cytometric analysis of 4% paraformaldehyde fixed 90% methanol permeabilized Isotype (Left) / 293T cells transfected with a Cholera enterotoxin subunit B expression vector containing an EGFP tag (Middle) / 293T cells transfected with an empty expression vector containing an EGFP tag (Right) cells labelling Cholera enterotoxin subunit B with ab317738 at 1/5000 dilution (0.01 ug)/Middle and Right (Red) compared with a Rabbit monoclonal IgG (ab172730) / Left isotype control and an unlabelled control (cells without incubation with primary antibody and secondary antibody) (Blue).

Goat anti-Rabbit IgG (Alexa Fluor® 647, ab150083) at 1/5000 dilution was used as the secondary antibody.

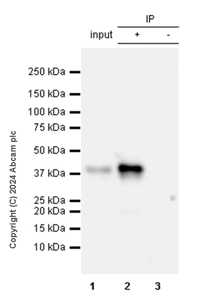
Immunoprecipitation - Anti-Cholera enterotoxin subunit B antibody [EPR27372-4] (AB317738)
  • IP

Supplier Data

Immunoprecipitation - Anti-Cholera enterotoxin subunit B antibody [EPR27372-4] (AB317738)

Cholera enterotoxin subunit B was immunoprecipitated from 0.35 mg 293T (human embryonic kidney epithelial cell) transfected with a Cholera enterotoxin subunit B expression vector containing a EGFP tag, whole cell lysate with ab317738 at 1/30 dilution (2ug in 0.35mg lysates). Western blot was performed on the immunoprecipitate using ab317738 at 1/1000 dilution. VeriBlot for IP secondary antibody(HRP)(ab131366) was used at 1/5000 dilution.

Lane 1 : 293T (human embryonic kidney epithelial cell) transfected with a Cholera enterotoxin subunit B expression vector containing a EGFP tag, whole cell lysate
Lane 2 : ab317738 IP in 293T (human embryonic kidney epithelial cell) transfected with a Cholera enterotoxin subunit B expression vector containing a EGFP tag, whole cell lysate
Lane 3 : Rabbit monoclonal IgG (ab172730) instead of ab317738 in 293T cells transfected with a Cholera enterotoxin subunit B expression vector containing a EGFP tag, whole cell lysate

All lanes:

Immunoprecipitation - Anti-Cholera enterotoxin subunit B antibody [EPR27372-4] (ab317738) at 1/30 dilution

All lanes:

293T (human embryonic kidney epithelial cell) transfected with a Cholera enterotoxin subunit B expression vector containing a EGFP tag, whole cell lysate at 10 µg

Secondary

All lanes:

Immunoprecipitation - VeriBlot for IP Detection Reagent (HRP) (<a href='/en-us/products/reagents/veriblot-for-ip-detection-reagent-hrp-ab131366'>ab131366</a>) at 1/5000 dilution

false

Exposure time: 10s

ELISA - Anti-Cholera enterotoxin subunit B antibody [EPR27372-4] (AB317738)
  • ELISA

Supplier Data

ELISA - Anti-Cholera enterotoxin subunit B antibody [EPR27372-4] (AB317738)

Indirect ELISA analysis of ab317738 at 1000-0 ng/ml. The Secondary antibody used was Alkaline Phosphatase-conjugated AffiniPure Goat Anti-Rabbit IgG (H+L) at 1 : 2500 dilution.

Antigen : Cholera enterotoxin subunit B.

Antigen concentration : 1000 ng/ml

The recombinant protein of Cholera enterotoxin subunit B was made in house.

Western blot - Anti-Cholera enterotoxin subunit B antibody [EPR27372-4] (AB317738)
  • WB

Supplier Data

Western blot - Anti-Cholera enterotoxin subunit B antibody [EPR27372-4] (AB317738)

In Western blot, Anti-GFP antibody [E385] (ab32146) staining at 1/10000 dilution.

All lanes:

Western blot - Anti-Cholera enterotoxin subunit B antibody [EPR27372-4] (ab317738) at 1/5000 dilution

Lane 1:

293T (human embryonic kidney epithelial cell) transfected with an empty vector containing a EGFP tag, whole cell lysate at 2 µg

Lane 2:

293T transfected with a Cholera enterotoxin subunit B expression vector containing a EGFP tag, whole cell lysate 2 at 2 µg

Secondary

All lanes:

Western blot - Goat Anti-Rabbit IgG H&L (HRP) (<a href='/en-us/products/secondary-antibodies/goat-rabbit-igg-h-l-hrp-ab97051'>ab97051</a>) at 1/100000 dilution

Observed band size: 40 kDa

false

Exposure time: 180s

  • Carrier free

    Anti-Cholera enterotoxin subunit B antibody [EPR27372-4] - BSA and Azide free

Key facts

Host species

Rabbit

Clonality

Monoclonal

Clone number

EPR27372-4

Isotype

IgG

Carrier free

No

Applications

WB, Flow Cyt (Intra), IHC-P, ICC/IF, I-ELISA, IP

applications

Immunogen

The exact immunogen used to generate this antibody is proprietary information.

Reactivity data

{ "title": "Reactivity Data", "filters": { "stats": ["", "Species", "Dilution Info", "Notes"], "tabs": { "all-applications": {"fullname" : "All Applications", "shortname": "All Applications"}, "WB" : {"fullname" : "Western blot", "shortname":"WB"}, "IHCP" : {"fullname" : "Immunohistochemistry (Formalin/PFA-fixed paraffin-embedded sections)", "shortname":"IHC-P"}, "ICCIF" : {"fullname" : "Immunocytochemistry/ Immunofluorescence", "shortname":"ICC/IF"}, "FlowCytIntra" : {"fullname" : "Flow Cytometry (Intracellular)", "shortname":"Flow Cyt (Intra)"}, "IP" : {"fullname" : "Immunoprecipitation", "shortname":"IP"}, "IELISA" : {"fullname" : "Indirect ELISA", "shortname":"I-ELISA"} }, "product-promise": { "all": "all", "testedAndGuaranteed": "tested", "guaranteed": "expected", "predicted": "predicted", "notRecommended": "not-recommended" } }, "values": { "Recombinant fragment - Vibrio cholerae O1 biovar El Tor str. N16961": { "WB-species-checked": "notRecommended", "WB-species-dilution-info": "", "WB-species-notes": "", "IHCP-species-checked": "notRecommended", "IHCP-species-dilution-info": "", "IHCP-species-notes": "", "ICCIF-species-checked": "notRecommended", "ICCIF-species-dilution-info": "", "ICCIF-species-notes": "", "FlowCytIntra-species-checked": "notRecommended", "FlowCytIntra-species-dilution-info": "", "FlowCytIntra-species-notes": "", "IP-species-checked": "notRecommended", "IP-species-dilution-info": "", "IP-species-notes": "", "IELISA-species-checked": "testedAndGuaranteed", "IELISA-species-dilution-info": "1000 ng/mL", "IELISA-species-notes": "<p></p>" }, "Transfected cell line - Vibrio cholerae O1 biovar El Tor str. N16961": { "WB-species-checked": "notRecommended", "WB-species-dilution-info": "", "WB-species-notes": "", "IHCP-species-checked": "testedAndGuaranteed", "IHCP-species-dilution-info": "1/2000", "IHCP-species-notes": "<p></p>", "ICCIF-species-checked": "testedAndGuaranteed", "ICCIF-species-dilution-info": "1/2000", "ICCIF-species-notes": "<p></p>", "FlowCytIntra-species-checked": "testedAndGuaranteed", "FlowCytIntra-species-dilution-info": "1/5000", "FlowCytIntra-species-notes": "<p></p>", "IP-species-checked": "notRecommended", "IP-species-dilution-info": "", "IP-species-notes": "", "IELISA-species-checked": "notRecommended", "IELISA-species-dilution-info": "", "IELISA-species-notes": "" }, "Transfected cell lysate - Vibrio cholerae O1 biovar El Tor str. N16961": { "WB-species-checked": "testedAndGuaranteed", "WB-species-dilution-info": "1/5000", "WB-species-notes": "<p></p>", "IHCP-species-checked": "notRecommended", "IHCP-species-dilution-info": "", "IHCP-species-notes": "", "ICCIF-species-checked": "notRecommended", "ICCIF-species-dilution-info": "", "ICCIF-species-notes": "", "FlowCytIntra-species-checked": "notRecommended", "FlowCytIntra-species-dilution-info": "", "FlowCytIntra-species-notes": "", "IP-species-checked": "testedAndGuaranteed", "IP-species-dilution-info": "1/30", "IP-species-notes": "<p></p>", "IELISA-species-checked": "notRecommended", "IELISA-species-dilution-info": "", "IELISA-species-notes": "" }, "Vibrio cholerae O1 biovar El Tor str. N16961": { "WB-species-checked": "predicted", "WB-species-dilution-info": "", "WB-species-notes": "", "IHCP-species-checked": "predicted", "IHCP-species-dilution-info": "", "IHCP-species-notes": "", "ICCIF-species-checked": "predicted", "ICCIF-species-dilution-info": "", "ICCIF-species-notes": "", "FlowCytIntra-species-checked": "predicted", "FlowCytIntra-species-dilution-info": "", "FlowCytIntra-species-notes": "", "IP-species-checked": "predicted", "IP-species-dilution-info": "", "IP-species-notes": "", "IELISA-species-checked": "predicted", "IELISA-species-dilution-info": "", "IELISA-species-notes": "" } } }

Product details

Patented technology
Our RabMAb® technology is a patented hybridoma-based technology for making rabbit monoclonal antibodies. For details on our patents, please refer to RabMAb® patents.

What are the advantages of a recombinant monoclonal antibody?
This product is a recombinant monoclonal antibody, which offers several advantages including:

  • - High batch-to-batch consistency and reproducibility
  • - Improved sensitivity and specificity
  • - Long-term security of supply
  • - Animal-free batch production

For more information, read more on recombinant antibodies.

Properties and storage information

Form
Liquid
Purification technique
Affinity purification Protein A
Storage buffer
pH: 7.2 - 7.4 Preservative: 0.01% Sodium azide Constituents: PBS, 40% Glycerol (glycerin, glycerine), 0.05% BSA
Shipped at conditions
Blue Ice
Appropriate short-term storage duration
1-2 weeks
Appropriate short-term storage conditions
+4°C
Appropriate long-term storage conditions
-20°C
Aliquoting information
Upon delivery aliquot
Storage information
Avoid freeze / thaw cycle

Supplementary information

This supplementary information is collated from multiple sources and compiled automatically.

Cholera enterotoxin subunit B also known as CTB is the non-toxic component of cholera toxin with a molecular weight of approximately 11.6 kDa. CTB plays an important role in the toxin's ability to bind to target cells. Structurally CTB forms a pentameric ring that tightly binds to the GM1 ganglioside receptor on the surface of intestinal epithelial cells. While the CTB itself displays non-pathogenicity it facilitates the delivery of the toxic subunit causing the internalization of the entire cholera toxin complex. CTB is mainly expressed by the bacterium Vibrio cholerae which is found in aquatic environments especially in regions with poor sanitation.
Biological function summary

Cholera enterotoxin subunit B serves as a binding agent in the cholera toxin complex. Once CTB binds to the GM1 ganglioside receptors on intestinal epithelial cells it assists the A subunit also part of the cholera toxin complex in gaining entry into cells. Upon entry the A subunit triggers a cascade of events that results in dysregulation of cAMP levels leading to massive chloride ion secretion into the intestinal lumen. As a part of the entire cholera toxin CTB indirectly contributes to the excessive watery diarrhea that characterizes cholera infection.

Pathways

Cholera enterotoxin subunit B interacts with signal transduction processes related to cyclic AMP (cAMP) pathways. After CTB-mediated internalization the A subunit activates adenylate cyclase leading to increased cAMP in intestinal epithelial cells. This activation is an important event in the signaling pathway that causes altered ion transport across the cell membrane. This pathway is linked to the CFTR protein a chloride channel regulated by cAMP which plays a critical role in maintaining ion balance in epithelial tissues. This pathway emphasizes the connection between CTB and ion transport dysregulation in cholera.

Cholera enterotoxin subunit B is associated with cholera an acute diarrheal illness caused by Vibrio cholerae. CTB's role in facilitating the cholera toxin's effects links it indirectly to dehydration and electrolyte imbalance the main clinical manifestations of the disease. While CTB itself shows potential in therapeutic applications due to its non-toxic nature in context of Vibrio cholerae infection it remains an important player in the disease's pathogenesis. Interactions between CTB GM1 ganglioside and the CFTR protein underline its relevance in the disorder's mechanism.

Product protocols

For this product, it's our understanding that no specific protocols are required. You can visit:

Target data

The B subunit pentameric ring directs the A subunit to its target by binding to the GM1 gangliosides present on the surface of the intestinal epithelial cells. It can bind five GM1 gangliosides. It has no toxic activity by itself.
See full target information ctxB

Product promise

We are committed to supporting your work with high-quality reagents, and we're here for you every step of the way. In the unlikely event that one of our products does not perform as expected, you're protected by our Product Promise.
For full details, please see our Terms & Conditions

Please note: All products are 'FOR RESEARCH USE ONLY. NOT FOR USE IN DIAGNOSTIC OR THERAPEUTIC PROCEDURES'.

For licensing inquiries, please contact partnerships@abcam.com