JavaScript is disabled in your browser. Please enable JavaScript to view this website.
AB181023

Anti-Choline Acetyltransferase antibody [EPR13024(B)]

  • BOND RX™ Validated
  • 20ul selling size
  • RabMAb
  • Recombinant
  • What is this?

4

(1 Review)

|

(46 Publications)

Anti-Choline Acetyltransferase antibody [EPR13024(B)] (ab181023) is a rabbit monoclonal antibody detecting Choline Acetyltransferase in Western Blot, Flow Cytometry (Intra), Flow Cytometry, IP, IHC-P, IHC-Fr, ICC/IF. Suitable for Human, Mouse, Rat.

- Biophysical QC for unrivalled batch-batch consistency
- Over 20 publications

View Alternative Names

Choline O-acetyltransferase, CHOACTase, ChAT, Choline acetylase, CHAT

10 Images
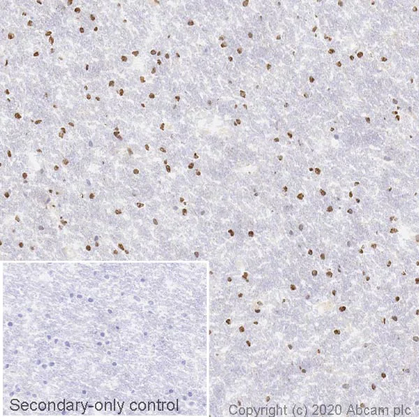
Immunohistochemistry (Frozen sections) - Anti-Choline Acetyltransferase antibody [EPR13024(B)] (AB181023)
  • IHC-Fr

Lab

Immunohistochemistry (Frozen sections) - Anti-Choline Acetyltransferase antibody [EPR13024(B)] (AB181023)

IHC image of Choline Acetyltransferase staining in a section of frozen normal human cerebral cortex performed on a Leica BONDTM system using the standard protocol. The section was fixed in 10% paraformaldehyde (10 min) prior to staining. The section was incubated with ab181023, 1/2000 dilution, for 15 mins at room temperature and detected using an HRP conjugated compact polymer system. DAB was used as the chromogen. The section was then counterstained with haematoxylin and mounted with DPX. The inset secondary-only control image is taken from an identical assay without primary antibody.

For other IHC staining systems (automated and non-automated) customers should optimize variable parameters such as antigen retrieval conditions, primary antibody concentration and antibody incubation times.

Flow Cytometry (Intracellular) - Anti-Choline Acetyltransferase antibody [EPR13024(B)] (AB181023)
  • Flow Cyt (Intra)

Supplier Data

Flow Cytometry (Intracellular) - Anti-Choline Acetyltransferase antibody [EPR13024(B)] (AB181023)

Intracellular Flow Cytometry analysis of SH-SY5Y cells labeling Choline Acetyltransferase using ab181023 (unpurified) at a 1/110 dilution (pink). Goat anti rabbit IgG (FITC) used as the secondary at a 1/150 dilution. Isotype control Rabbit monoclonal IgG (green). Cells were fixed in 2% paraformaldehyde.

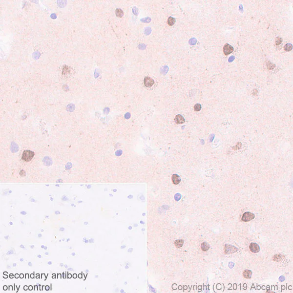
Immunohistochemistry (Formalin/PFA-fixed paraffin-embedded sections) - Anti-Choline Acetyltransferase antibody [EPR13024(B)] (AB181023)
  • IHC-P

Unknown

Immunohistochemistry (Formalin/PFA-fixed paraffin-embedded sections) - Anti-Choline Acetyltransferase antibody [EPR13024(B)] (AB181023)

Immunohistochemistry (Formalin/PFA-fixed paraffin-embedded sections) analysis of Human cerebrum tissue sections labeling Choline Acetyltransferase with purified ab181023 at 1/2000 dilution (0.28 μg/ml). Heat mediated antigen retrieval was performed using heat mediated antigen retrieval using ab93684 (Tris/EDTA buffer, pH 9.0). ImmunoHistoProbe one step HRP Polymer (ready to use) was used as the secondary antibody. Negative control : PBS instead of the primary antibody. Hematoxylin was used as a counterstain.

Immunocytochemistry/ Immunofluorescence - Anti-Choline Acetyltransferase antibody [EPR13024(B)] (AB181023)
  • ICC/IF

Unknown

Immunocytochemistry/ Immunofluorescence - Anti-Choline Acetyltransferase antibody [EPR13024(B)] (AB181023)

Immunocytochemistry/ Immunofluorescence analysis of U-87 MG (Human glioblastoma-astrocytoma epithelial cell) cells labeling Choline Acetyltransferase with purified ab181023 at 1/50 dilution (10 μg/ml). Cells were fixed in 4% Paraformaldehyde and permeabilized with 0.1% tritonX-100. Cells were counterstained with ab195889 Anti-alpha Tubulin antibody [DM1A] - Microtubule Marker (Alexa Fluor® 594) at 1 : 200 (2.5 μg/ml). Goat anti rabbit IgG (Alexa Fluor® 488, ab150077) was used as the secondary antibody at 1/1000 (2 μg/ml) dilution. DAPI (blue) was used as nuclear counterstain. PBS instead of the primary antibody was used as the secondary antibody only control.

Immunocytochemistry/ Immunofluorescence - Anti-Choline Acetyltransferase antibody [EPR13024(B)] (AB181023)
  • ICC/IF

Supplier Data

Immunocytochemistry/ Immunofluorescence - Anti-Choline Acetyltransferase antibody [EPR13024(B)] (AB181023)

Immunofluorescent analysis of 4% paraformaldehyde fixed SH-SY5Y cells labeling Choline Acetyltransferase using ab181023 (unpurified) at a 1/100 dilution. A Goat anti rabbit IgG (Alexa Fluor®555) was used as the secondary at a 1/100 dilution.

Flow Cytometry (Intracellular) - Anti-Choline Acetyltransferase antibody [EPR13024(B)] (AB181023)
  • Flow Cyt (Intra)

Unknown

Flow Cytometry (Intracellular) - Anti-Choline Acetyltransferase antibody [EPR13024(B)] (AB181023)

Intracellular Flow Cytometry analysis of SH-SY5Y (Human neuroblastoma epithelial cell) cells labeling Choline Acetyltransferase with purified ab181023 at 1/60 dilution (10μg/ml) (red). Cells were fixed with 4% Paraformaldehyde and permeabilised with 90% Methanol. A Goat anti rabbit IgG (Alexa Fluor® 488, ab150077) secondary antibody was used at 1/2000. Isotype control - Rabbit monoclonal IgG (Black). Unlabeled control - Cell without incubation with primary antibody and secondary antibody (Blue).

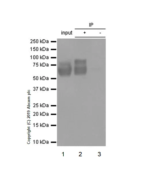
Immunoprecipitation - Anti-Choline Acetyltransferase antibody [EPR13024(B)] (AB181023)
  • IP

Unknown

Immunoprecipitation - Anti-Choline Acetyltransferase antibody [EPR13024(B)] (AB181023)

ab181023 (purified) at 1/30 dilution (2ug) immunoprecipitating Choline Acetyltransferase in Human fetal brain lysate. Human fetal brain lysate 10ug
Lane 2 (+) : ab181023 & Human fetal brain lysate
Lane 3 (-) : Rabbit monoclonal IgG (ab172730) instead of ab181023 in Human fetal brain lysate
For western blotting, VeriBlot for IP secondary antibody (HRP) (ab131366) was used at 1/1000 dilution.
Blocking and diluting buffer : 5% NFDM/TBST.

All lanes:

Immunoprecipitation - Anti-Choline Acetyltransferase antibody [EPR13024(B)] (ab181023)

Predicted band size: 82 kDa

false

Immunoprecipitation - Anti-Choline Acetyltransferase antibody [EPR13024(B)] (AB181023)
  • IP

Supplier Data

Immunoprecipitation - Anti-Choline Acetyltransferase antibody [EPR13024(B)] (AB181023)

Lysate from Human fetal brain (Lane 1) and negative control (Lane 2) were immunoprecipitated with ab181023 (unpurified) at a 1/70 dilution. A anti-rabbit IgG (HRP), specific to the non-reduced form of IgG at a 1/1500 dilution for the secondary. Blocking/ Dilution buffer : 5% NFDM/TBST.

All lanes:

Immunoprecipitation - Anti-Choline Acetyltransferase antibody [EPR13024(B)] (ab181023)

Predicted band size: 82 kDa

false

Western blot - Anti-Choline Acetyltransferase antibody [EPR13024(B)] (AB181023)
  • WB

Supplier Data

Western blot - Anti-Choline Acetyltransferase antibody [EPR13024(B)] (AB181023)

Blocking/ Dilution buffer : 5% NFDM /TBST.

All lanes:

Western blot - Anti-Choline Acetyltransferase antibody [EPR13024(B)] (ab181023) at 1/5000 dilution

Lane 1:

SH-SY5Y cell lysate at 20 µg

Lane 2:

Human fetal brain lysate at 20 µg

Secondary

All lanes:

Goat Anti-Rabbit IgG, (H+L), Peroxidase conjugated at 1/1000 dilution

Predicted band size: 82 kDa

false

Western blot - Anti-Choline Acetyltransferase antibody [EPR13024(B)] (AB181023)
  • WB

Lab

Western blot - Anti-Choline Acetyltransferase antibody [EPR13024(B)] (AB181023)

This antibody recognizes all Choline Acetyltransferase isoforms with the MW ranging from 70-82 KDa based on immunogen blast.

All lanes:

Western blot - Anti-Choline Acetyltransferase antibody [EPR13024(B)] (ab181023) at 1/2000 dilution

Lane 1:

SH-SY5Y (Human neuroblastoma epithelial cell) whole cell lysates at 20 µg

Lane 2:

Mouse brain lysates at 20 µg

Lane 3:

Rat brain lysates at 20 µg

Lane 4:

C6 (Rat glial tumor glial cell) whole cell lysates at 20 µg

Lane 5:

Human fetal brain lysates at 20 µg

Secondary

All lanes:

Goat Anti-Rabbit IgG (HRP) with minimal cross-reactivity with human IgG at 1/2000 dilution

Predicted band size: 82 kDa

Observed band size: 70-82 kDa

false

  • 519 Alexa Fluor® 488

    Alexa Fluor® 488 Anti-Choline Acetyltransferase antibody [EPR13024(B)]

  • 665 Alexa Fluor® 647

    Alexa Fluor® 647 Anti-Choline Acetyltransferase antibody [EPR13024(B)]

  • 660 APC

    APC Anti-Choline Acetyltransferase antibody [EPR13024(B)]

  • Carrier free

    Anti-Choline Acetyltransferase antibody [EPR13024(B)] - BSA and Azide free

  • 603 Alexa Fluor® 568

    Alexa Fluor® 568 Anti-Choline Acetyltransferase antibody [EPR13024(B)]

  • 578 PE

    PE Anti-Choline Acetyltransferase antibody [EPR13024(B)]

Key facts

Host species

Rabbit

Clonality

Monoclonal

Clone number

EPR13024(B)

Isotype

IgG

Carrier free

No

Reacts with

Mouse, Rat, Human

Applications

WB, IHC-P, Flow Cyt (Intra), ICC/IF, IP, IHC-Fr

applications

Immunogen

The exact immunogen used to generate this antibody is proprietary information.

Reactivity data

{ "title": "Reactivity Data", "filters": { "stats": ["", "Species", "Dilution Info", "Notes"], "tabs": { "all-applications": {"fullname" : "All Applications", "shortname": "All Applications"}, "IP" : {"fullname" : "Immunoprecipitation", "shortname":"IP"}, "WB" : {"fullname" : "Western blot", "shortname":"WB"}, "ICCIF" : {"fullname" : "Immunocytochemistry/ Immunofluorescence", "shortname":"ICC/IF"}, "IHCFr" : {"fullname" : "Immunohistochemistry (Frozen sections)", "shortname":"IHC-Fr"}, "FlowCytIntra" : {"fullname" : "Flow Cytometry (Intracellular)", "shortname":"Flow Cyt (Intra)"}, "IHCP" : {"fullname" : "Immunohistochemistry (Formalin/PFA-fixed paraffin-embedded sections)", "shortname":"IHC-P"} }, "product-promise": { "all": "all", "testedAndGuaranteed": "tested", "guaranteed": "expected", "predicted": "predicted", "notRecommended": "not-recommended" } }, "values": { "Human": { "IP-species-checked": "testedAndGuaranteed", "IP-species-dilution-info": "1/30 - 1/70", "IP-species-notes": "<p></p>", "WB-species-checked": "testedAndGuaranteed", "WB-species-dilution-info": "1/1000 - 1/10000", "WB-species-notes": "<p></p>", "ICCIF-species-checked": "testedAndGuaranteed", "ICCIF-species-dilution-info": "1/50 - 1/100", "ICCIF-species-notes": "<p></p>", "IHCFr-species-checked": "testedAndGuaranteed", "IHCFr-species-dilution-info": "", "IHCFr-species-notes": "<p></p>", "FlowCytIntra-species-checked": "testedAndGuaranteed", "FlowCytIntra-species-dilution-info": "1/60 - 1/110", "FlowCytIntra-species-notes": "<p><a href='/en-us/products/primary-antibodies/rabbit-igg-monoclonal-epr25a-isotype-control-ab172730'>ab172730</a> - Rabbit monoclonal IgG, is suitable for use as an isotype control with this antibody.</p>", "IHCP-species-checked": "testedAndGuaranteed", "IHCP-species-dilution-info": "1/2000", "IHCP-species-notes": "<p><strong>For unpurified format use at 1/100 dilution.</strong></p> Perform heat-mediated antigen retrieval with Tris/EDTA buffer pH 9.0 before commencing with IHC staining protocol." }, "Mouse": { "IP-species-checked": "guaranteed", "IP-species-dilution-info": "", "IP-species-notes": "", "WB-species-checked": "testedAndGuaranteed", "WB-species-dilution-info": "1/1000 - 1/10000", "WB-species-notes": "<p></p>", "ICCIF-species-checked": "guaranteed", "ICCIF-species-dilution-info": "", "ICCIF-species-notes": "", "IHCFr-species-checked": "guaranteed", "IHCFr-species-dilution-info": "", "IHCFr-species-notes": "", "FlowCytIntra-species-checked": "guaranteed", "FlowCytIntra-species-dilution-info": "", "FlowCytIntra-species-notes": "", "IHCP-species-checked": "notRecommended", "IHCP-species-dilution-info": "", "IHCP-species-notes": "<p></p>" }, "Rat": { "IP-species-checked": "guaranteed", "IP-species-dilution-info": "", "IP-species-notes": "", "WB-species-checked": "testedAndGuaranteed", "WB-species-dilution-info": "1/1000 - 1/10000", "WB-species-notes": "<p></p>", "ICCIF-species-checked": "guaranteed", "ICCIF-species-dilution-info": "", "ICCIF-species-notes": "", "IHCFr-species-checked": "guaranteed", "IHCFr-species-dilution-info": "", "IHCFr-species-notes": "", "FlowCytIntra-species-checked": "guaranteed", "FlowCytIntra-species-dilution-info": "", "FlowCytIntra-species-notes": "", "IHCP-species-checked": "notRecommended", "IHCP-species-dilution-info": "", "IHCP-species-notes": "<p></p>" } } }

Product details

Product Specifications
Anti-Choline Acetyltransferase antibody [EPR13024(B)] (ab181023) was developed by Abcam using patented rabbit monoclonal antibody technology and is validated for use in Flow Cyt (Intra), ICC/IF, IHC-Fr, IHC-P, IP, WB in human, mouse, rat samples.
Anti-Choline Acetyltransferase antibody [EPR13024(B)] (ab181023) specifically detects Choline Acetyltransferase (UniProt ID: P28329; Molecular weight: 83kDa) and is sold in a convenient trial size to enable initial testing (20 µL) and larger sizes for subsequent scaling up experiments (100 µL and 1 mL).

Quality and Validation
Abcam's high quality manufacturing and validation processes ensure Anti-Choline Acetyltransferase antibody [EPR13024(B)] (ab181023) has high sensitivity and specificity alongside high lot-to-lot consistency and reproducibility.
Anti-Choline Acetyltransferase antibody [EPR13024(B)] (ab181023) has been cited over 23 times in peer reviewed journals and is trusted by the scientific community.

Related Products
Conjugation-ready, carrier free format available for antibody clone EPR13024(B) - ab224267.
Antibody clone EPR13024(B) is also available pre-conjugated to a variety of labels for your convenience - Alexa Fluor® 488, Alexa Fluor® 647, PE, APC, Alexa Fluor® 568 (ab192465, ab192466, ab224000, ab224001, ab302805).

Target Information
Choline Acetyltransferase (ChAT) is an enzyme responsible for the synthesis of the neurotransmitter acetylcholine, which is crucial for cholinergic neurotransmission in the nervous system. It is widely used as a marker for cholinergic neurons. Dysregulation of ChAT activity is associated with various neurological disorders, including Alzheimer's disease (AD), where a decrease in acetylcholine levels contributes to cognitive decline, and myasthenia gravis, an autoimmune disorder affecting neuromuscular transmission.

Patented technology
Our RabMAb® technology is a patented hybridoma-based technology for making rabbit monoclonal antibodies. For details on our patents, please refer to RabMAb® patents.

What are the advantages of a recombinant monoclonal antibody?
This product is a recombinant monoclonal antibody, which offers several advantages including:

  • - High batch-to-batch consistency and reproducibility
  • - Improved sensitivity and specificity
  • - Long-term security of supply
  • - Animal-free batch production

For more information, read more on recombinant antibodies.

Properties and storage information

Form
Liquid
Purification technique
Affinity purification Protein A
Storage buffer
Preservative: 0.01% Sodium azide Constituents: PBS, 40% Glycerol (glycerin, glycerine), 0.05% BSA
Shipped at conditions
Blue Ice
Appropriate short-term storage duration
1-2 weeks
Appropriate short-term storage conditions
+4°C
Appropriate long-term storage conditions
-20°C
Aliquoting information
Upon delivery aliquot
Storage information
Avoid freeze / thaw cycle

Supplementary information

This supplementary information is collated from multiple sources and compiled automatically.

Choline Acetyltransferase (ChAT) also known as EC 2.3.1.6 acts as the enzyme responsible for synthesizing the neurotransmitter acetylcholine. It catalyzes the transfer of an acetyl group from acetyl-CoA to choline to form acetylcholine. ChAT is a protein with an approximate mass of 70 kDa and is expressed in cholinergic neurons throughout the central and peripheral nervous systems. High expression is observed in regions such as the basal forebrain and neuromuscular junctions which are important for cholinergic signaling.
Biological function summary

The enzyme plays an important role in cholinergic conduction by producing acetylcholine which functions in synaptic transmission. It does not function as part of a larger complex but its activity directly influences cholinergic synapses. Choline acetyltransferase function ensures the synthesis and availability of acetylcholine for release into the synaptic cleft initiating muscle contraction and modulating activity in the central nervous system.

Pathways

Choline acetyltransferase is critical in pathways governing neurotransmitter release such as the cholinergic synapse pathway. It interacts functionally with other proteins within this pathway including acetylcholinesterase which breaks down acetylcholine in the synaptic cleft. This interaction ensures proper neurotransmitter regulation and recycling maintaining synapse function and communication within neuronal circuits.

Alterations in choline acetyltransferase activity relate to neurological disorders including Alzheimer's disease and myasthenia gravis. In Alzheimer's disease reduced choline acetyltransferase function leads to decreased acetylcholine synthesis contributing to the cognitive decline observed in patients. In myasthenia gravis acetylcholine receptors are impaired but effective choline acetyltransferase activity is still necessary to manage neurotransmitter levels. A potential therapeutic angle involves targeting related proteins that exacerbate these conditions to support acetylcholine levels.

Product protocols

For this product, it's our understanding that no specific protocols are required. You can visit:

Target data

Catalyzes the reversible synthesis of acetylcholine (ACh) from acetyl CoA and choline at cholinergic synapses.
See full target information CHAT

Publications (46)

Recent publications for all applications. Explore the full list and refine your search

iScience 28:113489 PubMed41019369

2025

Therapeutic potential of 5HT2CR in alleviating spasticity and pain via modulation of motor neurons and interneurons in spinal cord injury.

Applications

Unspecified application

Species

Unspecified reactive species

Han Gong,Zuliyaer Talifu,Yu-Zhe Sun,Zhao-Ming Yue,Xiao-Xia Du,Liang-Jie Du

STAR protocols 6:103975 PubMed40711874

2025

Protocol for direct reprogramming of canine fibroblasts to induced motor neurons.

Applications

Unspecified application

Species

Unspecified reactive species

Ryan S Anderson,Amelia C Corona,Masatoshi Suzuki,Susannah J Sample

International journal of molecular sciences 26: PubMed40649809

2025

Neuroprotective Mechanisms of Porcine Brain Enzyme Hydrolysate in Memory Impairment: Multi-Target Strategy Against Amyloid-β-Induced Neurotoxicity.

Applications

Unspecified application

Species

Unspecified reactive species

Sun Myung Yoon,Ye-Won Lee,Min Ju Kim,Jae-Joon Shin,Gun Won Bae,Sunmin Park

IBRO neuroscience reports 18:814-822 PubMed40510288

2025

Governor Vessel combined with local acupoints electroacupuncture improves the therapeutic effect of nerve conduit transplantation bridging long segment defects of the median nerve.

Applications

Unspecified application

Species

Unspecified reactive species

Yu Cheng,Fanqi Meng,Zhanmou Liang,Xin Zhou,Wenya Pei,Jingwen Ruan,Xiaozhou Lu,Ying Ding,Guanheng He

Biomolecules 15: PubMed40427530

2025

Ngn2-Induced Differentiation of the NG108-15 Cell Line Enhances Motor Neuronal Differentiation and Neuromuscular Junction Formation.

Applications

Unspecified application

Species

Unspecified reactive species

Madeline Meli,Kristy Swiderski,Jinchao Gu,Ben Rollo,Ben Bartlett,Marissa K Caldow,Gordon S Lynch,Patrick Kwan,Huseyin Sumer,Brett Cromer

Aging and disease : PubMed40354376

2025

Hypoxic Preconditioning Mitigates Acute Hypoxia Induced MS/VDB Cholinergic Cell Loss and Memory Impairments.

Applications

Unspecified application

Species

Unspecified reactive species

Linhui Qin,Yong Yang,Houdi Zhang,Sijie Li,Xi Wu,Minjie Wang,Simeng Liu,Heguan Fu,Xunming Ji,Cong Han,Changhong Ren

Cell death discovery 11:98 PubMed40075110

2025

TBK1 is involved in programmed cell death and ALS-related pathways in novel zebrafish models.

Applications

Unspecified application

Species

Unspecified reactive species

Quentin Raas,Gregoire Haouy,Hortense de Calbiac,Elena Pasho,Anca Marian,Ida Chiara Guerrera,Marion Rosello,Patrick Oeckl,Filippo Del Bene,Alberto Catanese,Sorana Ciura,Edor Kabashi

Journal of translational medicine 23:73 PubMed39815264

2025

Development of autonomic innervation at the venous pole of the heart: bridging the gap from mice to human.

Applications

Unspecified application

Species

Unspecified reactive species

Fleur Zwanenburg,Thomas A Bos,Arend D J Ten Harkel,Monique C Haak,Nathan D Hahurij,Robert E Poelmann,Conny J van Munsteren,Lambertus J Wisse,Nico A Blom,Marco C DeRuiter,Monique R M Jongbloed

BMC cardiovascular disorders 24:605 PubMed39472780

2024

Blocking Na1.8 regulates atrial fibrillation inducibility and cardiac conduction after myocardial infarction.

Applications

Unspecified application

Species

Unspecified reactive species

Baozhen Qi,Zhonglei Xie,Dongli Shen,Yu Song,Shaowen Liu,Qibing Wang,Jingmin Zhou,Junbo Ge

Frontiers in pharmacology 15:1411642 PubMed39139632

2024

The 5HT4R agonist velusetrag efficacy on neuropathic chronic intestinal pseudo-obstruction in PrP-SCA7-92Q transgenic mice.

Applications

Unspecified application

Species

Unspecified reactive species

Yongqiang Liu,Yunfei Wu,Dewan Ren,Yulong Tao,Fangyi Mai,Jingyi Zhu,Xiang Li,Emanuela Colla,Maria Grimaldi,Roberto Giovannini,Fabrizio Giorgi,Loredana Vesci
View all publications

Product promise

We are committed to supporting your work with high-quality reagents, and we're here for you every step of the way. In the unlikely event that one of our products does not perform as expected, you're protected by our Product Promise.
For full details, please see our Terms & Conditions

Please note: All products are 'FOR RESEARCH USE ONLY. NOT FOR USE IN DIAGNOSTIC OR THERAPEUTIC PROCEDURES'.

For licensing inquiries, please contact partnerships@abcam.com