JavaScript is disabled in your browser. Please enable JavaScript to view this website.
AB224267

Anti-Choline Acetyltransferase antibody [EPR13024(B)] - BSA and Azide free

Be the first to review this product! Submit a review

|

(1 Publication)

Rabbit Recombinant Monoclonal Choline Acetyltransferase antibody. Carrier free. Suitable for IP, WB, ICC/IF, Flow Cyt (Intra), IHC-P, IHC-Fr and reacts with Human, Mouse, Rat samples. Cited in 1 publication.

View Alternative Names

Choline O-acetyltransferase, CHOACTase, ChAT, Choline acetylase, CHAT

7 Images
Immunocytochemistry/ Immunofluorescence - Anti-Choline Acetyltransferase antibody [EPR13024(B)] - BSA and Azide free (AB224267)
  • ICC/IF

Supplier Data

Immunocytochemistry/ Immunofluorescence - Anti-Choline Acetyltransferase antibody [EPR13024(B)] - BSA and Azide free (AB224267)

This ICC data was generated using the same anti-Choline Acetyltransferase antibody clone [EPR12024(B)] in a different buffer formulation (cat# ab181023).

Immunofluorescent analysis of 4% paraformaldehyde fixed SH-SY5Y cells labeling Choline Acetyltransferase using ab181023 (unpurified) at a 1/100 dilution. A Goat anti rabbit IgG (Alexa Fluor®555) was used as the secondary at a 1/100 dilution.

Flow Cytometry (Intracellular) - Anti-Choline Acetyltransferase antibody [EPR13024(B)] - BSA and Azide free (AB224267)
  • Flow Cyt (Intra)

Supplier Data

Flow Cytometry (Intracellular) - Anti-Choline Acetyltransferase antibody [EPR13024(B)] - BSA and Azide free (AB224267)

Intracellular Flow Cytometry analysis of SH-SY5Y cells labeling Choline Acetyltransferase using ab181023 (unpurified) at a 1/110 dilution (pink). Goat anti rabbit IgG (FITC) used as the secondary at a 1/150 dilution. Isotype control Rabbit monoclonal IgG (green). Cells were fixed in 2% paraformaldehyde.

This data was developed using the same antibody clone in a different buffer formulation containing PBS, BSA, glycerol, and sodium azide (ab181023).

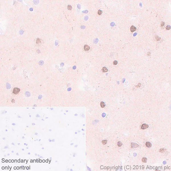
Immunohistochemistry (Formalin/PFA-fixed paraffin-embedded sections) - Anti-Choline Acetyltransferase antibody [EPR13024(B)] - BSA and Azide free (AB224267)
  • IHC-P

Unknown

Immunohistochemistry (Formalin/PFA-fixed paraffin-embedded sections) - Anti-Choline Acetyltransferase antibody [EPR13024(B)] - BSA and Azide free (AB224267)

Immunohistochemistry (Formalin/PFA-fixed paraffin-embedded sections) analysis of Human cerebrum tissue sections labeling Choline Acetyltransferase with purified ab181023 at 1/2000 dilution (0.28 μg/ml). Heat mediated antigen retrieval was performed using heat mediated antigen retrieval using ab93684 (Tris/EDTA buffer, pH 9.0). ImmunoHistoProbe one step HRP Polymer (ready to use) was used as the secondary antibody. Negative control : PBS instead of the primary antibody. Hematoxylin was used as a counterstain.

This data was developed using the same antibody clone in a different buffer formulation containing PBS, BSA, glycerol, and sodium azide (ab181023).

Immunocytochemistry/ Immunofluorescence - Anti-Choline Acetyltransferase antibody [EPR13024(B)] - BSA and Azide free (AB224267)
  • ICC/IF

Unknown

Immunocytochemistry/ Immunofluorescence - Anti-Choline Acetyltransferase antibody [EPR13024(B)] - BSA and Azide free (AB224267)

Immunocytochemistry/ Immunofluorescence analysis of U-87 MG (Human glioblastoma-astrocytoma epithelial cell) cells labeling Choline Acetyltransferase with purified ab181023 at 1/50 dilution (10 μg/ml). Cells were fixed in 4% Paraformaldehyde and permeabilized with 0.1% tritonX-100. Cells were counterstained with ab195889 Anti-alpha Tubulin antibody [DM1A] - Microtubule Marker (Alexa Fluor® 594) at 1/200 (2.5 μg/ml). Goat anti rabbit IgG (Alexa Fluor® 488, ab150077) was used as the secondary antibody at 1/1000 (2 μg/ml) dilution. DAPI (blue) was used as nuclear counterstain. PBS instead of the primary antibody was used as the secondary antibody only control.

This data was developed using the same antibody clone in a different buffer formulation containing PBS, BSA, glycerol, and sodium azide (ab181023).

Flow Cytometry (Intracellular) - Anti-Choline Acetyltransferase antibody [EPR13024(B)] - BSA and Azide free (AB224267)
  • Flow Cyt (Intra)

Unknown

Flow Cytometry (Intracellular) - Anti-Choline Acetyltransferase antibody [EPR13024(B)] - BSA and Azide free (AB224267)

Intracellular Flow Cytometry analysis of SH-SY5Y (Human neuroblastoma epithelial cell) cells labeling Choline Acetyltransferase with purified ab181023 at 1/60 dilution (10μg/ml) (red). Cells were fixed with 4% Paraformaldehyde and permeabilised with 90% Methanol. A Goat anti rabbit IgG (Alexa Fluor® 488, ab150077) secondary antibody was used at 1/2000. Isotype control - Rabbit monoclonal IgG (Black). Unlabeled control - Cell without incubation with primary antibody and secondary antibody (Blue).

This data was developed using the same antibody clone in a different buffer formulation containing PBS, BSA, glycerol, and sodium azide (ab181023).

Immunoprecipitation - Anti-Choline Acetyltransferase antibody [EPR13024(B)] - BSA and Azide free (AB224267)
  • IP

Supplier Data

Immunoprecipitation - Anti-Choline Acetyltransferase antibody [EPR13024(B)] - BSA and Azide free (AB224267)

Lysate from Human fetal brain (Lane 1) and negative control (Lane 2) were immunoprecipitated with ab181023 (unpurified) at a 1/70 dilution. A anti-rabbit IgG (HRP), specific to the non-reduced form of IgG at a 1/1500 dilution for the secondary. Blocking/ Dilution buffer : 5% NFDM/TBST.

This data was developed using the same antibody clone in a different buffer formulation containing PBS, BSA, glycerol, and sodium azide (ab181023).

All lanes:

Immunoprecipitation - Anti-Choline Acetyltransferase antibody [EPR13024(B)] (<a href='/en-us/products/primary-antibodies/choline-acetyltransferase-antibody-epr13024b-ab181023'>ab181023</a>)

Predicted band size: 82 kDa

false

Immunoprecipitation - Anti-Choline Acetyltransferase antibody [EPR13024(B)] - BSA and Azide free (AB224267)
  • IP

Unknown

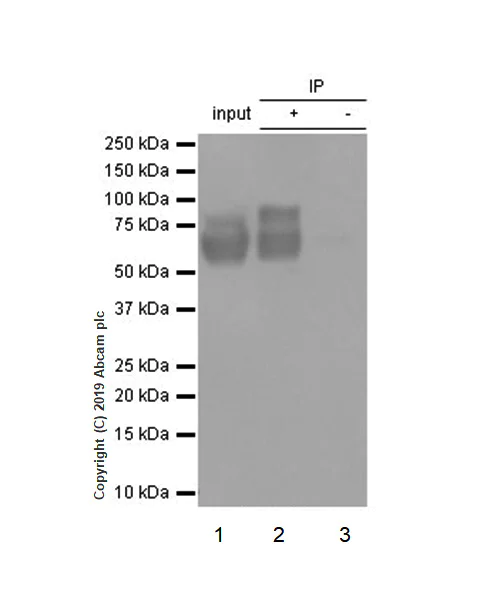
Immunoprecipitation - Anti-Choline Acetyltransferase antibody [EPR13024(B)] - BSA and Azide free (AB224267)

ab181023 (purified) at 1/30 dilution (2ug) immunoprecipitating Choline Acetyltransferase in Human fetal brain lysate. Human fetal brain lysate 10ug
Lane 2 (+) : ab181023 & Human fetal brain lysate
Lane 3 (-) : Rabbit monoclonal IgG (ab172730) instead of ab181023 in Human fetal brain lysate
For western blotting, VeriBlot for IP secondary antibody (HRP) (ab131366) was used at 1/1000 dilution.

Blocking and diluting buffer : 5% NFDM/TBST.

This data was developed using the same antibody clone in a different buffer formulation containing PBS, BSA, glycerol, and sodium azide (ab181023).

All lanes:

Immunoprecipitation - Anti-Choline Acetyltransferase antibody [EPR13024(B)] (<a href='/en-us/products/primary-antibodies/choline-acetyltransferase-antibody-epr13024b-ab181023'>ab181023</a>)

Predicted band size: 82 kDa

false

  • Unconjugated

    Anti-Choline Acetyltransferase antibody [EPR13024(B)]

  • 578 PE

    PE Anti-Choline Acetyltransferase antibody [EPR13024(B)]

  • 660 APC

    APC Anti-Choline Acetyltransferase antibody [EPR13024(B)]

  • 519 Alexa Fluor® 488

    Alexa Fluor® 488 Anti-Choline Acetyltransferase antibody [EPR13024(B)]

  • 665 Alexa Fluor® 647

    Alexa Fluor® 647 Anti-Choline Acetyltransferase antibody [EPR13024(B)]

  • 603 Alexa Fluor® 568

    Alexa Fluor® 568 Anti-Choline Acetyltransferase antibody [EPR13024(B)]

Key facts

Host species

Rabbit

Clonality

Monoclonal

Clone number

EPR13024(B)

Isotype

IgG

Carrier free

Yes

Reacts with

Mouse, Rat, Human

Applications

IP, IHC-Fr, Flow Cyt (Intra), WB, ICC/IF, IHC-P

applications

Immunogen

The exact immunogen used to generate this antibody is proprietary information.

Reactivity data

{ "title": "Reactivity Data", "filters": { "stats": ["", "Species", "Dilution Info", "Notes"], "tabs": { "all-applications": {"fullname" : "All Applications", "shortname": "All Applications"}, "IP" : {"fullname" : "Immunoprecipitation", "shortname":"IP"}, "WB" : {"fullname" : "Western blot", "shortname":"WB"}, "ICCIF" : {"fullname" : "Immunocytochemistry/ Immunofluorescence", "shortname":"ICC/IF"}, "FlowCytIntra" : {"fullname" : "Flow Cytometry (Intracellular)", "shortname":"Flow Cyt (Intra)"}, "IHCP" : {"fullname" : "Immunohistochemistry (Formalin/PFA-fixed paraffin-embedded sections)", "shortname":"IHC-P"}, "IHCFr" : {"fullname" : "Immunohistochemistry (Frozen sections)", "shortname":"IHC-Fr"} }, "product-promise": { "all": "all", "testedAndGuaranteed": "tested", "guaranteed": "expected", "predicted": "predicted", "notRecommended": "not-recommended" } }, "values": { "Human": { "IP-species-checked": "testedAndGuaranteed", "IP-species-dilution-info": "", "IP-species-notes": "<p></p>", "WB-species-checked": "testedAndGuaranteed", "WB-species-dilution-info": "", "WB-species-notes": "<p></p>", "ICCIF-species-checked": "testedAndGuaranteed", "ICCIF-species-dilution-info": "", "ICCIF-species-notes": "<p></p>", "FlowCytIntra-species-checked": "testedAndGuaranteed", "FlowCytIntra-species-dilution-info": "", "FlowCytIntra-species-notes": "<p><a href='/en-us/products/primary-antibodies/rabbit-igg-monoclonal-epr25a-isotype-control-low-endotoxin-azide-free-ab199376'>ab199376</a> - Rabbit monoclonal IgG, is suitable for use as an isotype control with this antibody.</p>", "IHCP-species-checked": "testedAndGuaranteed", "IHCP-species-dilution-info": "", "IHCP-species-notes": "<p><strong>For unpurified format use at 1/100 dilution.</strong></p> Perform heat-mediated antigen retrieval with Tris/EDTA buffer pH 9.0 before commencing with IHC staining protocol.", "IHCFr-species-checked": "testedAndGuaranteed", "IHCFr-species-dilution-info": "", "IHCFr-species-notes": "<p></p>" }, "Mouse": { "IP-species-checked": "guaranteed", "IP-species-dilution-info": "", "IP-species-notes": "", "WB-species-checked": "testedAndGuaranteed", "WB-species-dilution-info": "", "WB-species-notes": "<p></p>", "ICCIF-species-checked": "guaranteed", "ICCIF-species-dilution-info": "", "ICCIF-species-notes": "", "FlowCytIntra-species-checked": "guaranteed", "FlowCytIntra-species-dilution-info": "", "FlowCytIntra-species-notes": "", "IHCP-species-checked": "notRecommended", "IHCP-species-dilution-info": "", "IHCP-species-notes": "<p></p>", "IHCFr-species-checked": "guaranteed", "IHCFr-species-dilution-info": "", "IHCFr-species-notes": "" }, "Rat": { "IP-species-checked": "guaranteed", "IP-species-dilution-info": "", "IP-species-notes": "", "WB-species-checked": "testedAndGuaranteed", "WB-species-dilution-info": "", "WB-species-notes": "<p></p>", "ICCIF-species-checked": "guaranteed", "ICCIF-species-dilution-info": "", "ICCIF-species-notes": "", "FlowCytIntra-species-checked": "guaranteed", "FlowCytIntra-species-dilution-info": "", "FlowCytIntra-species-notes": "", "IHCP-species-checked": "notRecommended", "IHCP-species-dilution-info": "", "IHCP-species-notes": "<p></p>", "IHCFr-species-checked": "guaranteed", "IHCFr-species-dilution-info": "", "IHCFr-species-notes": "" } } }

Product details

ab224267 is the carrier-free version of ab181023.

Patented technology
Our RabMAb® technology is a patented hybridoma-based technology for making rabbit monoclonal antibodies. For details on our patents, please refer to RabMAb® patents.

What are the advantages of a recombinant monoclonal antibody?
This product is a recombinant monoclonal antibody, which offers several advantages including:

  • - High batch-to-batch consistency and reproducibility
  • - Improved sensitivity and specificity
  • - Long-term security of supply
  • - Animal-free batch production

For more information, read more on recombinant antibodies.

Conjugation ready
Our carrier-free antibodies are typically supplied in a PBS-only formulation, purified and free of BSA, sodium azide and glycerol. This conjugation-ready format is designed for use with fluorochromes, metal isotopes, oligonucleotides, and enzymes, which makes them ideal for antibody labelling, functional and cell-based assays, flow-based assays (e.g. mass cytometry) and Multiplex Imaging applications.

Use our conjugation kits for antibody conjugates that are ready-to-use in as little as 20 minutes with 1 minute hands-on-time and 100% antibody recovery: available for fluorescent dyes, HRP, biotin and gold.

Compatibility
This product is compatible with the Maxpar® Antibody Labeling Kit from Fluidigm, without the need for antibody preparation. Maxpar® is a trademark of Fluidigm Canada Inc.

Properties and storage information

Form
Liquid
Purification technique
Affinity purification Protein A
Storage buffer
pH: 7.2 - 7.4 Constituents: PBS
Shipped at conditions
Blue Ice
Appropriate short-term storage conditions
+4°C
Appropriate long-term storage conditions
+4°C
Storage information
Do Not Freeze

Supplementary information

This supplementary information is collated from multiple sources and compiled automatically.

Choline Acetyltransferase (ChAT) also known as EC 2.3.1.6 acts as the enzyme responsible for synthesizing the neurotransmitter acetylcholine. It catalyzes the transfer of an acetyl group from acetyl-CoA to choline to form acetylcholine. ChAT is a protein with an approximate mass of 70 kDa and is expressed in cholinergic neurons throughout the central and peripheral nervous systems. High expression is observed in regions such as the basal forebrain and neuromuscular junctions which are important for cholinergic signaling.
Biological function summary

The enzyme plays an important role in cholinergic conduction by producing acetylcholine which functions in synaptic transmission. It does not function as part of a larger complex but its activity directly influences cholinergic synapses. Choline acetyltransferase function ensures the synthesis and availability of acetylcholine for release into the synaptic cleft initiating muscle contraction and modulating activity in the central nervous system.

Pathways

Choline acetyltransferase is critical in pathways governing neurotransmitter release such as the cholinergic synapse pathway. It interacts functionally with other proteins within this pathway including acetylcholinesterase which breaks down acetylcholine in the synaptic cleft. This interaction ensures proper neurotransmitter regulation and recycling maintaining synapse function and communication within neuronal circuits.

Alterations in choline acetyltransferase activity relate to neurological disorders including Alzheimer's disease and myasthenia gravis. In Alzheimer's disease reduced choline acetyltransferase function leads to decreased acetylcholine synthesis contributing to the cognitive decline observed in patients. In myasthenia gravis acetylcholine receptors are impaired but effective choline acetyltransferase activity is still necessary to manage neurotransmitter levels. A potential therapeutic angle involves targeting related proteins that exacerbate these conditions to support acetylcholine levels.

Product protocols

For this product, it's our understanding that no specific protocols are required. You can visit:

Target data

Catalyzes the reversible synthesis of acetylcholine (ACh) from acetyl CoA and choline at cholinergic synapses.
See full target information CHAT

Publications (1)

Recent publications for all applications. Explore the full list and refine your search

Molecular medicine (Cambridge, Mass.) 23:34-39 PubMed28283678

2017

Deficiency of α7 nicotinic acetylcholine receptor attenuates bleomycin-induced lung fibrosis in mice.

Applications

Unspecified application

Species

Mouse

Peiyu Sun,Ling Li,Caiqi Zhao,Mengyao Pan,Zhikang Qian,Xiao Su
View all publications

Product promise

We are committed to supporting your work with high-quality reagents, and we're here for you every step of the way. In the unlikely event that one of our products does not perform as expected, you're protected by our Product Promise.
For full details, please see our Terms & Conditions

Please note: All products are 'FOR RESEARCH USE ONLY. NOT FOR USE IN DIAGNOSTIC OR THERAPEUTIC PROCEDURES'.

For licensing inquiries, please contact partnerships@abcam.com