JavaScript is disabled in your browser. Please enable JavaScript to view this website.
AB235938

Anti-Choline kinase alpha antibody

Be the first to review this product! Submit a review

|

(2 Publications)

Rabbit Polyclonal Choline kinase alpha antibody. Suitable for WB, IHC-P, ICC/IF and reacts with Human samples. Cited in 2 publications. Immunogen corresponding to Recombinant Fragment Protein within Human CHKA aa 50-200.

View Alternative Names

CHK, CKI, CHKA, Choline kinase alpha, CK, CHETK-alpha, Ethanolamine kinase, EK

3 Images
Immunocytochemistry/ Immunofluorescence - Anti-Choline kinase alpha antibody (AB235938)
  • ICC/IF

Supplier Data

Immunocytochemistry/ Immunofluorescence - Anti-Choline kinase alpha antibody (AB235938)

4% formaldehyde-fixed, 0.2% Triton X-100 permeabilized HepG2 (human liver hepatocellular carcinoma cell line) cells stained for Choline kinase alpha (green) using ab235938 at 1/100 dilution in ICC/IF. Secondary antibody is Alexa Fluor® 488-congugated Goat Anti-Rabbit IgG (H+L).

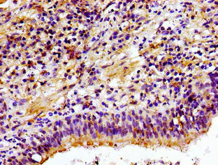
Immunohistochemistry (Formalin/PFA-fixed paraffin-embedded sections) - Anti-Choline kinase alpha antibody (AB235938)
  • IHC-P

Supplier Data

Immunohistochemistry (Formalin/PFA-fixed paraffin-embedded sections) - Anti-Choline kinase alpha antibody (AB235938)

Paraffin-embedded human lung cancer tissue stained for Choline kinase alpha using ab235938 at 1/100 dilution in immunohistochemical analysis.

Western blot - Anti-Choline kinase alpha antibody (AB235938)
  • WB

Supplier Data

Western blot - Anti-Choline kinase alpha antibody (AB235938)

All lanes:

Western blot - Anti-Choline kinase alpha antibody (ab235938) at 1/500 dilution

All lanes:

MCF7 (human breast adenocarcinoma cell line) whole cell lysate

Secondary

All lanes:

Goat polyclonal to rabbit IgG at 1/50000 dilution

Predicted band size: 52 kDa

false

Key facts

Host species

Rabbit

Clonality

Polyclonal

Isotype

IgG

Carrier free

No

Reacts with

Human

Applications

WB, IHC-P, ICC/IF

applications

Immunogen

Recombinant Fragment Protein within Human CHKA aa 50-200. The exact immunogen used to generate this antibody is proprietary information.

P35790

Reactivity data

{ "title": "Reactivity Data", "filters": { "stats": ["", "Species", "Dilution Info", "Notes"], "tabs": { "all-applications": {"fullname" : "All Applications", "shortname": "All Applications"}, "WB" : {"fullname" : "Western blot", "shortname":"WB"}, "IHCP" : {"fullname" : "Immunohistochemistry (Formalin/PFA-fixed paraffin-embedded sections)", "shortname":"IHC-P"}, "ICCIF" : {"fullname" : "Immunocytochemistry/ Immunofluorescence", "shortname":"ICC/IF"} }, "product-promise": { "all": "all", "testedAndGuaranteed": "tested", "guaranteed": "expected", "predicted": "predicted", "notRecommended": "not-recommended" } }, "values": { "Human": { "WB-species-checked": "testedAndGuaranteed", "WB-species-dilution-info": "1/500 - 1/5000", "WB-species-notes": "<p></p>", "IHCP-species-checked": "testedAndGuaranteed", "IHCP-species-dilution-info": "1/20 - 1/200", "IHCP-species-notes": "<p></p>", "ICCIF-species-checked": "testedAndGuaranteed", "ICCIF-species-dilution-info": "1/50 - 1/200", "ICCIF-species-notes": "<p></p>" } } }

Properties and storage information

Form
Liquid
Purification technique
Affinity purification Protein G
Purification notes
Purity >95%
Storage buffer
pH: 7.4 Preservative: 0.03% Proclin 300 Constituents: PBS, 50% Glycerol (glycerin, glycerine)
Shipped at conditions
Blue Ice
Appropriate short-term storage duration
1-2 weeks
Appropriate short-term storage conditions
+4°C
Appropriate long-term storage conditions
-20°C
Aliquoting information
Upon delivery aliquot
Storage information
Avoid freeze / thaw cycle

Supplementary information

This supplementary information is collated from multiple sources and compiled automatically.

Choline kinase alpha also known as CKα or CHKA is an enzyme responsible for catalyzing the first step in the synthesis of phosphatidylcholine converting choline into phosphocholine. This process is important for membrane biosynthesis and cell signaling. Choline kinase alpha has a molecular mass of approximately 45 kDa. It is expressed in various tissues with high levels in liver brain and muscle reflecting its role in both metabolic and proliferative processes. The functional activity of CKα is influenced by its interaction with lipid environments and other cellular factors.
Biological function summary

Choline kinase alpha plays a significant role in cell proliferation and survival due to its involvement in phospholipid metabolism. The enzyme is not known to be part of any large protein complexes but it does interact with a variety of cellular components that regulate its activity. It affects cellular processes by controlling the rate of phosphatidylcholine synthesis therefore impacting membrane dynamics and signal transduction. Changes in CKα activity can result in altered cell growth and function.

Pathways

Choline kinase alpha is an essential part of the Kennedy pathway or the CDP-choline pathway which is a major pathway for phosphatidylcholine biosynthesis. Within this pathway CKα's activity is essential for progressing from choline uptake to the formation of phosphatidylcholine. Other key proteins related through this pathway include CTP:phosphocholine cytidylyltransferase (CCT) and cholinephosphotransferase. The enzyme's function integrates metabolic and signaling pathways connecting lipid metabolism with cellular responses to external stimuli.

Choline kinase alpha aberrations have been linked to cancer and neurodegenerative conditions. Overexpression of CKα is frequently observed in several types of cancer highlighting its role in tumor growth and metastasis. In cancer CKα interacts with oncogenic proteins that further drive malignancy. In neurodegenerative diseases altered choline metabolism may induce neuronal damage but the exact role of CKα in such conditions needs further investigation. Targeting CKα or its pathways could provide therapeutic potential for these disorders.

Product protocols

For this product, it's our understanding that no specific protocols are required. You can visit:

Target data

Plays a key role in phospholipid biosynthesis by catalyzing the phosphorylation of free choline to phosphocholine, the first step in phosphatidylcholine biosynthesis (PubMed : 17007874, PubMed : 19915674, PubMed : 23416529, PubMed : 34077757). Also phosphorylates ethanolamine, thereby contributing to phosphatidylethanolamine biosynthesis (PubMed : 17007874, PubMed : 19915674). Has higher activity with choline (PubMed : 17007874, PubMed : 19915674). May contribute to tumor cell growth (PubMed : 19915674).. Isoform 1. This isoform plays a key role in lipolysis of lipid droplets following glucose deprivation (PubMed : 34077757). In response to glucose deprivation, phosphorylated by AMPK, promoting localization to lipid droplets (PubMed : 34077757). Phosphorylation is followed by acetylation by KAT5, leading to dissociation of the homodimer into a monomer (PubMed : 34077757). Monomeric CHKA isoform 1 is converted into a tyrosine-protein kinase, which phosphorylates lipid droplet structural proteins PLIN2 and PLIN3, leading to lipolysis of lipid droplets (PubMed : 34077757).
See full target information CHKA

Publications (2)

Recent publications for all applications. Explore the full list and refine your search

Journal of experimental & clinical cancer research : CR 44:112 PubMed40181456

2025

TRAF7 knockdown induces cellular senescence and synergizes with lomustine to inhibit glioma progression and recurrence.

Applications

Unspecified application

Species

Unspecified reactive species

Yu Chen,Tongyu Zhou,Rongrong Zhou,Wen Sun,Yan Li,Qiyi Zhou,Dongcheng Xu,Yuxin Zhao,Peihao Hu,Jingrui Liang,Yumeng Zhang,Bin Zhong,Juncheng Yao,Di Jing

EMBO molecular medicine 14:e15200 PubMed36341492

2022

Blocking STAT3/5 through direct or upstream kinase targeting in leukemic cutaneous T-cell lymphoma.

Applications

Unspecified application

Species

Unspecified reactive species

Helena Sorger,Saptaswa Dey,Pablo Augusto Vieyra-Garcia,Daniel Pölöske,Andrea R Teufelberger,Elvin D de Araujo,Abootaleb Sedighi,Ricarda Graf,Benjamin Spiegl,Isaac Lazzeri,Till Braun,Ines Garces de Los Fayos Alonso,Michaela Schlederer,Gerald Timelthaler,Petra Kodajova,Christine Pirker,Marta Surbek,Michael Machtinger,Thomas Graier,Isabella Perchthaler,Yi Pan,Regina Fink-Puches,Lorenzo Cerroni,Jennifer Ober,Moritz Otte,Jana D Albrecht,Gary Tin,Ayah Abdeldayem,Pimyupa Manaswiyoungkul,Olasunkanmi O Olaoye,Martin L Metzelder,Anna Orlova,Walter Berger,Marion Wobser,Jan P Nicolay,Fiona André,Van Anh Nguyen,Heidi A Neubauer,Roman Fleck,Olaf Merkel,Marco Herling,Ellen Heitzer,Patrick T Gunning,Lukas Kenner,Richard Moriggl,Peter Wolf
View all publications

Product promise

We are committed to supporting your work with high-quality reagents, and we're here for you every step of the way. In the unlikely event that one of our products does not perform as expected, you're protected by our Product Promise.
For full details, please see our Terms & Conditions

Please note: All products are 'FOR RESEARCH USE ONLY. NOT FOR USE IN DIAGNOSTIC OR THERAPEUTIC PROCEDURES'.

For licensing inquiries, please contact partnerships@abcam.com