JavaScript is disabled in your browser. Please enable JavaScript to view this website.
AB11570

Anti-Chondroitin Sulfate antibody [CS-56]

5

(6 Reviews)

|

(95 Publications)

Anti-Chondroitin Sulfate antibody [CS-56] (ab11570) is a mouse monoclonal antibody detecting Chondroitin Sulfate in IHC-P, ICC/IF, EM.

- Over 70 publications
- Trusted since 2004
3 Images
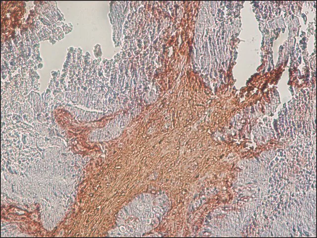
Immunohistochemistry (Formalin/PFA-fixed paraffin-embedded sections) - Anti-Chondroitin Sulfate antibody [CS-56] (AB11570)
  • IHC-P

Supplier Data

Immunohistochemistry (Formalin/PFA-fixed paraffin-embedded sections) - Anti-Chondroitin Sulfate antibody [CS-56] (AB11570)

Immunohistochemical analysis of formalin-fixed, paraffin-embedded human colon cancer sections labelling chondroitin sulfate with ab11570 at 1/2500 dilution.

Electron Microscopy - Anti-Chondroitin Sulfate antibody [CS-56] (AB11570)
  • EM

Supplier Data

Electron Microscopy - Anti-Chondroitin Sulfate antibody [CS-56] (AB11570)

Normal rabbit aorta, Lowicryl K4M thin section, stained with Monoclonal Anti-Chondroitin Sulfate, ab11570 and Goat Anti-Mouse IgM (µ-chain specific) 10 nm gold. Counterstain was uranyl acetate and Reynold's lead citrate. Magnification 44,600x. (el=Elastin, col=Collagen).

Immunocytochemistry/ Immunofluorescence - Anti-Chondroitin Sulfate antibody [CS-56] (AB11570)
  • ICC/IF

Supplier Data

Immunocytochemistry/ Immunofluorescence - Anti-Chondroitin Sulfate antibody [CS-56] (AB11570)

This antibody was developed using Goat Anti-Mouse IgM, Cy3™ conjugate.

Immunocytochemistry analysis of cow mammary gland epithelial cells labeling Chondroitin Sulfate with ab11570 at 2.5 μg/mL. Cells were fixed and permeabilized with 4% Paraformaldehyde and 0.5% Triton X-100. The antibody was developed using Goat Anti-Mouse IgG, Cy3™ conjugate. Cells were counterstained with DAPI (blue) to stain nuclei.

Key facts

Host species

Mouse

Clonality

Monoclonal

Clone number

CS-56

Isotype

IgM

Carrier free

No

Applications

IHC-P, EM, ICC/IF

applications

Specificity

The antibody has been reported to be specific for the glycosaminoglycan (GAG) portion of native chondroitin sulfate proteoglycan (CSPG). The antibody reacts specifically with chondroitin sulfate types A and C but not with type B (dermatan sulfate), and may be used for localization of chondroitin sulfate in tissues and cultured fibroblasts.

Reactivity data

{ "title": "Reactivity Data", "filters": { "stats": ["", "Species", "Dilution Info", "Notes"], "tabs": { "all-applications": {"fullname" : "All Applications", "shortname": "All Applications"}, "IHCP" : {"fullname" : "Immunohistochemistry (Formalin/PFA-fixed paraffin-embedded sections)", "shortname":"IHC-P"}, "EM" : {"fullname" : "Electron Microscopy", "shortname":"EM"}, "ICCIF" : {"fullname" : "Immunocytochemistry/ Immunofluorescence", "shortname":"ICC/IF"} }, "product-promise": { "all": "all", "testedAndGuaranteed": "tested", "guaranteed": "expected", "predicted": "predicted", "notRecommended": "not-recommended" } }, "values": { "Chemical": { "IHCP-species-checked": "testedAndGuaranteed", "IHCP-species-dilution-info": "1/2500", "IHCP-species-notes": "<p></p>", "EM-species-checked": "testedAndGuaranteed", "EM-species-dilution-info": "", "EM-species-notes": "<p></p>", "ICCIF-species-checked": "testedAndGuaranteed", "ICCIF-species-dilution-info": "", "ICCIF-species-notes": "<p></p>" } } }

Product details

What is this antibody validated in?
Anti-Chondroitin Sulfate antibody [CS-56] (ab11570) is a mouse monoclonal antibody and is validated for use in Immunohistochemistry (IHC-P), Immunocytochemistry/immunofluorescence (ICC/IF), Electron microscopy (EM). Trusted by the scientific community
Anti-Chondroitin Sulfate [CS-56] (ab11570) was first used in a scientific publication in 2004 and has been cited over 70 times in peer-reviewed journals.

Reviewed by scientists
Anti-Chondroitin Sulfate [CS-56] (ab11570) has over 5 independent reviews from customers.

Properties and storage information

Form
Liquid
Purification technique
Proprietary technique
Purification notes
Purified from Tissue culture supernatant.
Storage buffer
pH: 7.4 Preservative: 0.097% Sodium azide Constituents: PBS
Shipped at conditions
Blue Ice
Appropriate short-term storage conditions
+4°C
Appropriate long-term storage conditions
-20°C
Aliquoting information
Upon delivery aliquot
Storage information
Avoid freeze / thaw cycle

Supplementary information

This supplementary information is collated from multiple sources and compiled automatically.

Chondroitin sulfate also known as CS-56 or chondroitin sulphate is a complex carbohydrate considered part of the glycosaminoglycan family. This molecule plays a mechanical role in the extracellular matrix providing structural integrity and resistance to compression in tissues such as cartilage. The mass of chondroitin sulfate can vary due to its polymeric nature typically ranging from 30 to 50 kDa. It is expressed mainly in the cartilage but you can also find it in bone skin and connective tissues. It contributes to the physical properties of these tissues enabling them to withstand force and stress.
Biological function summary

Chondroitin sulfate participates in cellular processes like cell growth and differentiation by interacting with cell surface receptors. It is a component of proteoglycans forming complex structures with proteins that help maintain the viscoelastic properties of tissues. These proteoglycan complexes play various roles by modulating the behavior of surrounding cells and influencing tissue repair and regeneration. In cartilage chondroitin sulfate contributes to the formation of the strong yet flexible matrices that help in joint movement and load-bearing.

Pathways

Chondroitin sulfate participates in the extracellular matrix organization and signal transduction pathways. It interacts with proteins such as aggrecan and versican which are essential components of the cartilage homeostasis pathways. The presence of chondroitin sulfate in these pathways allows it to modulate interactions between matrix components and cellular signaling. This biological function supports proper tissue construction and maintenance necessary for normal physiological conditions and quick recovery from tissue injuries.

Chondroitin sulfate is linked to osteoarthritis and connective tissue disorders. Osteoarthritis characterized by cartilage degradation involves the breakdown of chondroitin sulfate and related proteoglycans such as aggrecan. Restoration of chondroitin sulfate levels has been shown to help in maintaining cartilage integrity and reducing inflammation. In connective tissue disorders alterations in chondroitin sulfate structure or expression can lead to compromised tissue resilience and elasticity. Understanding the interaction between chondroitin sulfate and proteins involved in these conditions is critical for developing therapeutic strategies.

Product protocols

For this product, it's our understanding that no specific protocols are required. You can visit:

Publications (95)

Recent publications for all applications. Explore the full list and refine your search

Cell death & disease 16:678 PubMed41053113

2025

SDC4 drives fibrotic remodeling of the intervertebral disc under altered spinal loading.

Applications

Unspecified application

Species

Unspecified reactive species

Kimheak Sao,Makarand V Risbud

Bone research 13:50 PubMed40335469

2025

Sirt6 deficiency promotes senescence and age-associated intervertebral disc degeneration in mice.

Applications

Unspecified application

Species

Unspecified reactive species

Pranay Ramteke,Bahiyah Watson,Mallory Toci,Victoria A Tran,Shira Johnston,Maria Tsingas,Ruteja A Barve,Ramkrishna Mitra,Richard F Loeser,John A Collins,Makarand V Risbud

Science advances 11:eado6847 PubMed40267183

2025

Genetics- and age-driven neuroimmune and disc changes underscore herniation susceptibility and pain-associated behaviors in SM/J mice.

Applications

Unspecified application

Species

Unspecified reactive species

Emanuel J Novais,Olivia K Ottone,Eric V Brown,Vedavathi Madhu,Victoria A Tran,Pranay Ramteke,Abhijit S Dighe,Michael D Solga,Alexandra Manchel,Angelo C Lepore,Makarand V Risbud

IBRO neuroscience reports 18:16-30 PubMed39816479

2025

Effect of metabolic disorders on reactive gliosis and glial scarring at the early subacute phase of stroke in a mouse model of diabetes and obesity.

Applications

Unspecified application

Species

Unspecified reactive species

Julien Clain,David Couret,Matthieu Bringart,Olivier Meilhac,Christian Lefebvre d'Hellencourt,Nicolas Diotel

FASEB journal : official publication of the Federation of American Societies for Experimental Biology 39:e70279 PubMed39760159

2025

Klotho mutation does not accelerate intervertebral disc aging in mice.

Applications

Unspecified application

Species

Unspecified reactive species

Justin Hong,Veeraj Shah,Ravi Krishnan,M Victoria Gomez-Stallons,Sunil Poudel,Katherine E Yutzey,Chitra L Dahia

Advanced healthcare materials 14:e2402976 PubMed39618007

2024

Self-Assembled Nanoparticles with Well-Defined Oligosaccharide Promote Osteogenesis by Regulating Golgi Stress Response.

Applications

Unspecified application

Species

Unspecified reactive species

Pingping Niu,Liman Zhao,Jing Yang,Yanan Ding,Xiaoqiao Xu,Sijin Li,Lige Song,Guosong Chen,Yao Sun

Diagnostics (Basel, Switzerland) 14: PubMed39202223

2024

Hypoxia-Regulated Proteins: Expression in Endometrial Cancer and Their Association with Clinicopathologic Features.

Applications

Unspecified application

Species

Unspecified reactive species

Dae Hyun Song,Jae Yoon Jo,Cho Hee Kim,Min Hye Kim,In Ae Cho,Jeong Kyu Shin,Won Jun Choi,Jong Chul Baek

International journal of molecular sciences 25: PubMed38892038

2024

N-Acetylgalactosamine-4-sulfatase (Arylsulfatase B) Regulates PD-L1 Expression in Melanoma by an HDAC3-Mediated Epigenetic Mechanism.

Applications

Unspecified application

Species

Unspecified reactive species

Sumit Bhattacharyya,InSug O-Sullivan,Joanne K Tobacman

NPJ precision oncology 8:116 PubMed38783045

2024

Metabolic pathway-based subtypes associate glycan biosynthesis and treatment response in head and neck cancer.

Applications

Unspecified application

Species

Unspecified reactive species

Benedek Dankó,Julia Hess,Kristian Unger,Daniel Samaga,Christoph Walz,Axel Walch,Na Sun,Philipp Baumeister,Peter Y F Zeng,Franziska Walter,Sebastian Marschner,Richard Späth,Olivier Gires,Timm Herkommer,Ramin Dazeh,Thaina Matos,Lisa Kreutzer,Johann Matschke,Katharina Eul,Frederick Klauschen,Ulrike Pflugradt,Martin Canis,Ute Ganswindt,Joe S Mymryk,Barbara Wollenberg,Anthony C Nichols,Claus Belka,Horst Zitzelsberger,Kirsten Lauber,Martin Selmansberger

Journal of pharmaceutical analysis 14:335-347 PubMed38618242

2024

Hapln1 promotes dedifferentiation and proliferation of iPSC-derived cardiomyocytes by promoting versican-based GDF11 trapping.

Applications

Unspecified application

Species

Unspecified reactive species

Ding-Jun Hao,Yue Qin,Shi-Jie Zhou,Bu-Huai Dong,Jun-Song Yang,Peng Zou,Li-Ping Wang,Yuan-Ting Zhao
View all publications

Product promise

We are committed to supporting your work with high-quality reagents, and we're here for you every step of the way. In the unlikely event that one of our products does not perform as expected, you're protected by our Product Promise.
For full details, please see our Terms & Conditions

Please note: All products are 'FOR RESEARCH USE ONLY. NOT FOR USE IN DIAGNOSTIC OR THERAPEUTIC PROCEDURES'.

For licensing inquiries, please contact partnerships@abcam.com