JavaScript is disabled in your browser. Please enable JavaScript to view this website.
AB133210

Anti-Chorionic Gonadotropin antibody

Be the first to review this product! Submit a review

|

(1 Publication)

Rabbit Polyclonal CGB7 antibody. Suitable for IHC-P, WB and reacts with Human, Mouse samples. Cited in 1 publication. Immunogen corresponding to Synthetic Peptide within Human Choriogonadotropin subunit beta 7.

View Alternative Names

Choriogonadotropin subunit beta 7, CGB7, Choriogonadotropin subunit beta 7, CGB7

2 Images
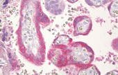
Immunohistochemistry (Formalin/PFA-fixed paraffin-embedded sections) - Anti-Chorionic Gonadotropin antibody (AB133210)
  • IHC-P

Unknown

Immunohistochemistry (Formalin/PFA-fixed paraffin-embedded sections) - Anti-Chorionic Gonadotropin antibody (AB133210)

ab133210, at 10 µg/ml, staining Chorionic Gonadotropin in Formalin-fixed, Paraffin-embedded Human placenta trophoblast tissue by Immunohistochemistry.

Western blot - Anti-Chorionic Gonadotropin antibody (AB133210)
  • WB

Unknown

Western blot - Anti-Chorionic Gonadotropin antibody (AB133210)

All lanes:

Western blot - Anti-Chorionic Gonadotropin antibody (ab133210) at 1/500 dilution

Lane 1:

NIH-3T3 cell extracts

Lane 2:

NIH-3T3 cell extracts with Synthesized peptide

Predicted band size: 18 kDa

false

Key facts

Host species

Rabbit

Clonality

Polyclonal

Isotype

IgG

Carrier free

No

Reacts with

Mouse, Human

Applications

WB, IHC-P

applications

Immunogen

Synthetic Peptide within Human Choriogonadotropin subunit beta 7. The exact immunogen used to generate this antibody is proprietary information.

P0DN87

Reactivity data

{ "title": "Reactivity Data", "filters": { "stats": ["", "Species", "Dilution Info", "Notes"], "tabs": { "all-applications": {"fullname" : "All Applications", "shortname": "All Applications"}, "IHCP" : {"fullname" : "Immunohistochemistry (Formalin/PFA-fixed paraffin-embedded sections)", "shortname":"IHC-P"}, "WB" : {"fullname" : "Western blot", "shortname":"WB"} }, "product-promise": { "all": "all", "testedAndGuaranteed": "tested", "guaranteed": "expected", "predicted": "predicted", "notRecommended": "not-recommended" } }, "values": { "Human": { "IHCP-species-checked": "testedAndGuaranteed", "IHCP-species-dilution-info": "10 µg/mL", "IHCP-species-notes": "<p></p> Perform heat-mediated antigen retrieval with citrate buffer pH 6 before commencing with IHC staining protocol.", "WB-species-checked": "guaranteed", "WB-species-dilution-info": "", "WB-species-notes": "" }, "Mouse": { "IHCP-species-checked": "guaranteed", "IHCP-species-dilution-info": "", "IHCP-species-notes": "", "WB-species-checked": "testedAndGuaranteed", "WB-species-dilution-info": "1/500 - 1/1000", "WB-species-notes": "<p></p>" } } }

Properties and storage information

Form
Liquid
Purification technique
Affinity purification Immunogen
Storage buffer
pH: 7.4 Preservative: 0.02% Sodium azide Constituents: PBS, 50% Glycerol (glycerin, glycerine), 0.88% Sodium chloride
Shipped at conditions
Blue Ice
Appropriate short-term storage duration
1-2 weeks
Appropriate short-term storage conditions
+4°C
Appropriate long-term storage conditions
-20°C

Supplementary information

This supplementary information is collated from multiple sources and compiled automatically.

Chorionic Gonadotropin often called hCG is a glycoprotein hormone essential for reproductive processes. With a molecular mass of about 37 kDa it consists of an alpha and beta subunit. It shares the alpha subunit with other pituitary glycoprotein hormones but the beta subunit is distinct and gives hCG its unique biological activity. The hormone is mainly expressed in the placenta during pregnancy supporting corpus luteum function and stimulating the production of progesterone. This expression plays a primary role in maintaining the early stages of pregnancy.
Biological function summary

HCG promotes fetal development and modulates the maternal immune response to support a successful pregnancy. It acts as a signal between the developing placenta and maternal cells. Furthermore hCG belongs to a hormone-receptor complex binding to the luteinizing hormone/chorionic gonadotropin receptor (LH/CG receptor) on target tissues. This interaction triggers intracellular pathways that are vital for maintaining pregnancy dynamics.

Pathways

HCG is integral in reproductive and endocrine signaling pathways. Participating in the cAMP-dependent signaling pathway it activates adenylate cyclase after binding to its receptor increasing cyclic AMP levels and protein kinase A (PKA) activity. hCG is also related to luteinizing hormone (LH) and follicle-stimulating hormone (FSH) as they share the alpha subunit and interact with similar receptors facilitating communication within reproductive hormonal pathways.

HCG serves as a biomarker for certain trophoblastic diseases and testicular cancer. Elevated levels of hCG may indicate gestational trophoblastic disease while abnormal hCG patterns can be associated with testicular cancer in males. Additionally hCG levels relate to disorders like hyperemesis gravidarum a severe form of nausea during pregnancy. Its interactions with proteins such as the LH/CG receptor play a part in these disease contexts offering diagnostic and potential therapeutic insights.

Product protocols

For this product, it's our understanding that no specific protocols are required. You can visit:

Target data

Beta subunit of the human chorionic gonadotropin (hCG). hCG is a complex glycoprotein composed of two glycosylated subunits alpha and beta which are non-covalently associated. The alpha subunit is identical to those in the pituitary gonadotropin hormones (LH, FSH and TSH). The beta subunits are distinct in each of the hormones and confer receptor and biological specificity. Has an essential role for pregnancy and maternal adaptation. Stimulates the ovaries to synthesize the steroids that are essential for the maintenance of pregnancy.
See full target information Choriogonadotropin subunit beta 7

Additional targets

Choriogonadotropin subunit beta 7

Publications (1)

Recent publications for all applications. Explore the full list and refine your search

Scientific reports 8:7386 PubMed29743633

2018

Integrated analysis highlights APC11 protein expression as a likely new independent predictive marker for colorectal cancer.

Applications

Unspecified application

Species

Unspecified reactive species

Youenn Drouet,Isabelle Treilleux,Alain Viari,Sophie Léon,Mojgan Devouassoux-Shisheboran,Nicolas Voirin,Christelle de la Fouchardière,Brigitte Manship,Alain Puisieux,Christine Lasset,Caroline Moyret-Lalle
View all publications

Product promise

We are committed to supporting your work with high-quality reagents, and we're here for you every step of the way. In the unlikely event that one of our products does not perform as expected, you're protected by our Product Promise.
For full details, please see our Terms & Conditions

Please note: All products are 'FOR RESEARCH USE ONLY. NOT FOR USE IN DIAGNOSTIC OR THERAPEUTIC PROCEDURES'.

For licensing inquiries, please contact partnerships@abcam.com