JavaScript is disabled in your browser. Please enable JavaScript to view this website.
AB45179

Anti-Chromogranin A antibody

5

(9 Reviews)

|

(55 Publications)

Anti-Chromogranin A antibody (ab45179) is a rabbit polyclonal antibody detecting Chromogranin A in Western Blot, IHC-P, ICC/IF. Suitable for Human, Mouse, Rat.

- Over 30 publications
- Trusted since 2006

View Alternative Names

Chromogranin-A, CgA, Pituitary secretory protein I, SP-I, CHGA

8 Images
Immunohistochemistry (Formalin/PFA-fixed paraffin-embedded sections) - Anti-Chromogranin A antibody (AB45179)
  • IHC-P

Unknown

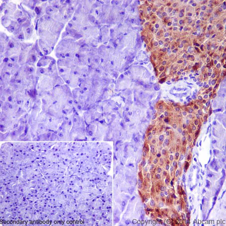
Immunohistochemistry (Formalin/PFA-fixed paraffin-embedded sections) - Anti-Chromogranin A antibody (AB45179)

Immunohistochemistry (Formalin/PFA-fixed paraffin-embedded sections) analysis of human adenocarcinoma of pancreas tissue labelling Chromogranin A with purified ab45179 at 1/200. Heat mediated antigen retrieval was performed using Tris/EDTA buffer pH 9. ab97051, a HRP-conjugated goat anti-rabbit IgG (H+L) was used as the secondary antibody (1/500). Negative control using PBS instead of primary antibody. Counterstained with hematoxylin.

Immunocytochemistry/ Immunofluorescence - Anti-Chromogranin A antibody (AB45179)
  • ICC/IF

Lab

Immunocytochemistry/ Immunofluorescence - Anti-Chromogranin A antibody (AB45179)

ab45179 staining Chromogranin A in SHSY5Y cells. The cells were fixed with 100% methanol (5 min), permeabilized with 0.1% PBS-Tween for 5 minutes and then blocked with 1% BSA/10% normal goat serum/0.3M glycine in 0.1% PBS-Tween for 1h. The cells were then incubated overnight at 4°C with ab45179 at 5µg/ml and ab7291, Mouse monoclonal [DM1A] to alpha Tubulin - Loading Control. Cells were then incubated with ab150081, Goat polyclonal Secondary Antibody to Rabbit IgG - H&L (Alexa Fluor® 488), pre-adsorbed at 1/1000 dilution (shown in green) and ab150080, Goat polyclonal Secondary Antibody to Rabbit IgG - H&L (Alexa Fluor® 594) at 1/1000 dilution (shown in pseudocolour red). Nuclear DNA was labelled with DAPI (shown in blue).

Image was acquired with a high-content analyser (Operetta CLS, Perkin Elmer) and a maximum intensity projection of confocal sections is shown.

Immunohistochemistry (Formalin/PFA-fixed paraffin-embedded sections) - Anti-Chromogranin A antibody (AB45179)
  • IHC-P

Unknown

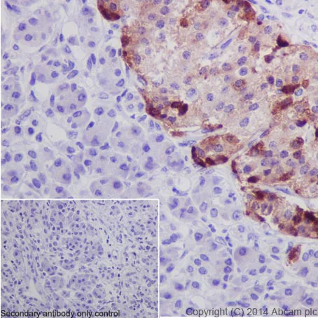
Immunohistochemistry (Formalin/PFA-fixed paraffin-embedded sections) - Anti-Chromogranin A antibody (AB45179)

Immunohistochemistry (Formalin/PFA-fixed paraffin-embedded sections) analysis of mouse pancreas tissue labelling Chromogranin A with purified ab45179 at 1/200. Heat mediated antigen retrieval was performed using Tris/EDTA buffer pH 9. ab97051, a HRP-conjugated goat anti-rabbit IgG (H+L) was used as the secondary antibody (1/500). Negative control using PBS instead of primary antibody. Counterstained with hematoxylin.

Western blot - Anti-Chromogranin A antibody (AB45179)
  • WB

Unknown

Western blot - Anti-Chromogranin A antibody (AB45179)

Blocking and diluting buffer : 5% NFDM/TBST.

All lanes:

Western blot - Anti-Chromogranin A antibody (ab45179) at 1/5000 dilution

All lanes:

SH-SY5Y cell lysate at 10 µg

Secondary

All lanes:

Goat Anti-Rabbit IgG, (H+L), Peroxidase conjugated at 1/1000 dilution

Predicted band size: 50 kDa

Observed band size: 86 kDa

false

Western blot - Anti-Chromogranin A antibody (AB45179)
  • WB

Unknown

Western blot - Anti-Chromogranin A antibody (AB45179)

Blocking and diluting buffer : 5% NFDM/TBST.

All lanes:

Western blot - Anti-Chromogranin A antibody (ab45179) at 1/1000 dilution

All lanes:

PC-12 cell lysate at 20 µg

Secondary

All lanes:

Goat Anti-Rabbit IgG, (H+L), Peroxidase conjugated at 1/1000 dilution

Predicted band size: 50 kDa

Observed band size: 86 kDa

false

Immunohistochemistry (Formalin/PFA-fixed paraffin-embedded sections) - Anti-Chromogranin A antibody (AB45179)
  • IHC-P

AbReview19888****

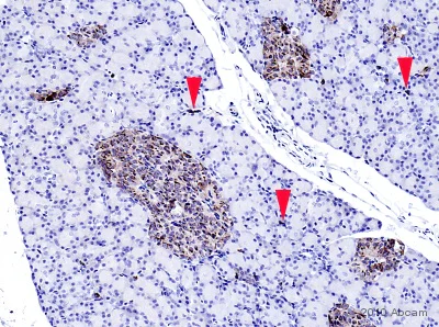
Immunohistochemistry (Formalin/PFA-fixed paraffin-embedded sections) - Anti-Chromogranin A antibody (AB45179)

Chromogranin A staining on monkey pancreas sections. The sections were subjected to heat mediated epitope retrieval using citric acid (pH 6) and blocked using 1% BSA for 10 mins at 21°C. Unpurifeid ab45179 was used at a dilution of 1/750 using TBS/BSA/Azide for 2 hours at 21°C. (Red arrowheads indicate extra Islet positive cells).

This image is courtesy of an abreview submitted by Carl Hobbs, King's College London, United Kingdom

Immunohistochemistry (Formalin/PFA-fixed paraffin-embedded sections) - Anti-Chromogranin A antibody (AB45179)
  • IHC-P

AbReview44622****

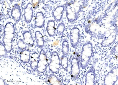
Immunohistochemistry (Formalin/PFA-fixed paraffin-embedded sections) - Anti-Chromogranin A antibody (AB45179)

Unpurified ab45179 staining Chromogranin A in pig small intestine tissue sections by Immunohistochemistry (IHC-P - paraformaldehyde-fixed, paraffin-embedded sections). Tissue was fixed with paraformaldehyde and blocked with 1% BSA for 10 minutes at 21°C; antigen retrieval was by heat mediation in a citrate buffer. Samples were incubated with primary antibody (1/750 in blocking buffer) for 2 hours at 21°C. A Biotin-conjugated Goat anti-rabbit IgG polyclonal (1/250) was used as the secondary antibody.

This image is courtesy of an abreview submitted by Carl Hobbs, King's College London, United Kingdom

Western blot - Anti-Chromogranin A antibody (AB45179)
  • WB

Unknown

Western blot - Anti-Chromogranin A antibody (AB45179)

All lanes:

Western blot - Anti-Chromogranin A antibody (ab45179) at 1/10000 dilution

All lanes:

PC-12 cell lysate at 10 µg

Secondary

All lanes:

HRP-conjugated goat anti-rabbit IgG at 1/2000 dilution

Predicted band size: 50 kDa

Observed band size: 86 kDa

false

Key facts

Host species

Rabbit

Clonality

Polyclonal

Isotype

IgG

Carrier free

No

Reacts with

Mouse, Rat, Human

Applications

ICC/IF, IHC-P, WB

applications

Immunogen

The exact immunogen used to generate this antibody is proprietary information.

Reactivity data

{ "title": "Reactivity Data", "filters": { "stats": ["", "Species", "Dilution Info", "Notes"], "tabs": { "all-applications": {"fullname" : "All Applications", "shortname": "All Applications"}, "IHCP" : {"fullname" : "Immunohistochemistry (Formalin/PFA-fixed paraffin-embedded sections)", "shortname":"IHC-P"}, "WB" : {"fullname" : "Western blot", "shortname":"WB"}, "ICCIF" : {"fullname" : "Immunocytochemistry/ Immunofluorescence", "shortname":"ICC/IF"} }, "product-promise": { "all": "all", "testedAndGuaranteed": "tested", "guaranteed": "expected", "predicted": "predicted", "notRecommended": "not-recommended" } }, "values": { "Human": { "IHCP-species-checked": "testedAndGuaranteed", "IHCP-species-dilution-info": "1/200", "IHCP-species-notes": "<p><strong>For unpurified use at 1/100 - 1/250.</strong></p><p><a href='/en-us/products/primary-antibodies/rabbit-igg-polyclonal-isotype-control-chip-grade-ab171870'>ab171870</a> - Rabbit polyclonal IgG, is suitable for use as an isotype control with this antibody.</p> Perform heat-mediated antigen retrieval before commencing with IHC staining protocol.", "WB-species-checked": "testedAndGuaranteed", "WB-species-dilution-info": "1/2000", "WB-species-notes": "<p><strong>For unpurified use at 1/10000.</strong></p>", "ICCIF-species-checked": "testedAndGuaranteed", "ICCIF-species-dilution-info": "5 µg/mL", "ICCIF-species-notes": "<p><strong>For unpurified use at 1/50 - 1/100.</strong></p>" }, "Mouse": { "IHCP-species-checked": "testedAndGuaranteed", "IHCP-species-dilution-info": "1/200", "IHCP-species-notes": "<p><strong>For unpurified use at 1/100 - 1/250.</strong></p><p><a href='/en-us/products/primary-antibodies/rabbit-igg-polyclonal-isotype-control-chip-grade-ab171870'>ab171870</a> - Rabbit polyclonal IgG, is suitable for use as an isotype control with this antibody.</p> Perform heat-mediated antigen retrieval before commencing with IHC staining protocol.", "WB-species-checked": "guaranteed", "WB-species-dilution-info": "", "WB-species-notes": "", "ICCIF-species-checked": "guaranteed", "ICCIF-species-dilution-info": "", "ICCIF-species-notes": "" }, "Rat": { "IHCP-species-checked": "guaranteed", "IHCP-species-dilution-info": "", "IHCP-species-notes": "", "WB-species-checked": "testedAndGuaranteed", "WB-species-dilution-info": "1/2000", "WB-species-notes": "<p><strong>For unpurified use at 1/10000.</strong></p>", "ICCIF-species-checked": "guaranteed", "ICCIF-species-dilution-info": "", "ICCIF-species-notes": "" }, "Dog": { "IHCP-species-checked": "predicted", "IHCP-species-dilution-info": "", "IHCP-species-notes": "", "WB-species-checked": "predicted", "WB-species-dilution-info": "", "WB-species-notes": "", "ICCIF-species-checked": "predicted", "ICCIF-species-dilution-info": "", "ICCIF-species-notes": "" }, "Monkey": { "IHCP-species-checked": "predicted", "IHCP-species-dilution-info": "", "IHCP-species-notes": "", "WB-species-checked": "predicted", "WB-species-dilution-info": "", "WB-species-notes": "", "ICCIF-species-checked": "predicted", "ICCIF-species-dilution-info": "", "ICCIF-species-notes": "" }, "Pig": { "IHCP-species-checked": "predicted", "IHCP-species-dilution-info": "", "IHCP-species-notes": "", "WB-species-checked": "predicted", "WB-species-dilution-info": "", "WB-species-notes": "", "ICCIF-species-checked": "predicted", "ICCIF-species-dilution-info": "", "ICCIF-species-notes": "" } } }

Product details

What is this antibody validated in?
Anti-Chromogranin A antibody (ab45179) is a rabbit polyclonal antibody and is validated for use in Western Blot (WB), Immunohistochemistry (IHC-P), Immunocytochemistry/immunofluorescence (ICC/IF) in Human, Mouse, Rat samples.

Trusted by the scientific community
Anti-Chromogranin A (ab45179) was first used in a scientific publication in 2006 and has been cited over 30 times in peer-reviewed journals.

Reviewed by scientists
Anti-Chromogranin A (ab45179) has over 5 independent reviews from customers.

Properties and storage information

Form
Liquid
Purification technique
Affinity purification
Storage buffer
pH: 7.4 Preservative: 0.02% Sodium azide Constituents: PBS, 1% BSA
Shipped at conditions
Blue Ice
Appropriate short-term storage duration
1-2 weeks
Appropriate short-term storage conditions
+4°C
Appropriate long-term storage conditions
-20°C
Aliquoting information
Upon delivery aliquot
Storage information
Avoid freeze / thaw cycle

Supplementary information

This supplementary information is collated from multiple sources and compiled automatically.

Chromogranin A (CgA) sometimes called chromagranin A is a glycoprotein with a molecular weight of approximately 49–52 kDa. It is highly expressed in the secretory granules of neuroendocrine cells present in tissues such as the adrenal medulla pancreas and endocrine cells of the gastrointestinal tract. CgA identified as part of a family including chromogranin B and chromogranin C functions mechanically as a precursor to various bioactive peptides. This translates into its involvement in the storage and release of hormones and peptides within vesicles.
Biological function summary

Chromogranin A assists in the regulation of secretory pathways across multiple neuroendocrine systems. It plays a role in hormone storage conversion to active peptides and regulates the exocytosis of hormones. CgA acts within a complex contributing to secretory granule biogenesis and influencing intravesicular acidity. As a regulatory component the exact physiological roles are diverse impacting cardiovascular metabolic and immunological processes.

Pathways

Chromogranin A is involved in pathways such as the catecholamine synthesis and release pathway and the serotonergic pathway. Within these pathways it interacts with proteins like secretogranin II and parathyroid hormone (PTH). These interactions modulate neurotransmitter storage and secretion across various systems. CgA's bioactive peptides also contribute to modulating physiological processes like vasoconstriction and insulin regulation linking it closely with these signaling cascades.

Chromogranin A is a known marker for neuroendocrine tumors where its levels in blood may increase due to tumor activity. It links to diseases like pheochromocytoma and carcinoid tumors where improper regulation of CgA-associated pathways occurs. Additionally its connection to parathyroid disorders through the PTH pathway illustrates its broader implication in endocrine pathophysiology. CgA serves as an invaluable diagnostic and prognostic tool in these disease states and supports the development of targeted therapies.

Product protocols

For this product, it's our understanding that no specific protocols are required. You can visit:

Target data

Pancreastatin. Strongly inhibits glucose induced insulin release from the pancreas.. Catestatin. Inhibits catecholamine release from chromaffin cells and noradrenergic neurons by acting as a non-competitive nicotinic cholinergic antagonist (PubMed : 15326220). Displays antibacterial activity against Gram-positive bacteria S.aureus and M.luteus, and Gram-negative bacteria E.coli and P.aeruginosa (PubMed : 15723172, PubMed : 24723458). Can induce mast cell migration, degranulation and production of cytokines and chemokines (PubMed : 21214543). Acts as a potent scavenger of free radicals in vitro (PubMed : 24723458). May play a role in the regulation of cardiac function and blood pressure (PubMed : 18541522).. Serpinin. Regulates granule biogenesis in endocrine cells by up-regulating the transcription of protease nexin 1 (SERPINE2) via a cAMP-PKA-SP1 pathway. This leads to inhibition of granule protein degradation in the Golgi complex which in turn promotes granule formation.
See full target information CHGA

Publications (55)

Recent publications for all applications. Explore the full list and refine your search

FASEB journal : official publication of the Federation of American Societies for Experimental Biology 39:e71105 PubMed41060246

2025

Transition From a High-Sugar and Butter to a Standard Diet Leads to Cecal Dysbiosis, Disrupts Intestinal Homeostasis, and Favors Increased Ethanol Consumption and Preference.

Applications

Unspecified application

Species

Unspecified reactive species

Renato Elias Moreira Júnior,Mírian Velten Mendes,Mariana Siqueira Amormino,Gwenaëlle Randuineau,Célia Le Boulenger,Sylvie Guérin,Véronique Romé,Gaelle Boudry,Ana Lúcia Brunialti-Godard

The journal of histochemistry and cytochemistry : official journal of the Histochemistry Society 73:29-53 PubMed39791490

2025

Dominant Expression of Chromogranin B in Pituitary Corticotrophs and Its Putative Role in Interaction With Secretogranin III.

Applications

Unspecified application

Species

Unspecified reactive species

Shota Kikuchi,Koki Odashima,Tadashi Yasui,Seiji Torii,Masahiro Hosaka,Hiroshi Gomi

Gut microbes 17:2447834 PubMed39782002

2025

Gut-derived lactic acid enhances tryptophan to 5-hydroxytryptamine in regulation of anxiety via .

Applications

Unspecified application

Species

Unspecified reactive species

Miaomiao Pan,Chenglang Qian,Shaoye Huo,Yuchen Wu,Xinyi Zhao,Yueming Ying,Boyu Wang,Hao Yang,Anaguli Yeerken,Tongyao Wang,Mengwei Fu,Lihong Wang,Yuhuan Wei,Yunhua Zhao,Chunhai Shao,Huijing Wang,Chao Zhao

Frontiers in veterinary science 11:1483421 PubMed39744718

2025

Bacterial attachment and junctional transport function in induced apical-out polarized and differentiated canine intestinal organoids.

Applications

Unspecified application

Species

Unspecified reactive species

Shino Yoshida,Meg Nakazawa,Minae Kawasaki,Yoko M Ambrosini

Advanced biology 9:e2300566 PubMed39703141

2024

Enteroendocrine Cells Sense Sucrose and Alter Enteric Neuron Excitability via Insulin Signaling.

Applications

Unspecified application

Species

Unspecified reactive species

Jessica R Snyder,Minhal Ahmed,Sukhada Bhave,Ryo Hotta,Ryan A Koppes,Allan M Goldstein,Abigail N Koppes

iScience 27:111246 PubMed39634560

2024

Mesenchymal GDNF promotes intestinal enterochromaffin cell differentiation.

Applications

Unspecified application

Species

Unspecified reactive species

Toni T Lemmetyinen,Emma W Viitala,Linnea Wartiovaara,Pekka Päivinen,Heikki T Virtanen,Nalle Pentinmikko,Pekka Katajisto,Tomi P Mäkelä,Timothy C Wang,Jaan-Olle Andressoo,Saara Ollila

Nature communications 15:9755 PubMed39567499

2024

Increased translation driven by non-canonical EZH2 creates a synthetic vulnerability in enzalutamide-resistant prostate cancer.

Applications

Unspecified application

Species

Unspecified reactive species

Shankha S Chatterjee,Juan F Linares,Tania Cid-Diaz,Angeles Duran,Mohd Imran K Khan,Marta Osrodek,Nicholas J Brady,Miguel Reina-Campos,Antonio Marzio,Varadha Balaji Venkadakrishnan,Martin K Bakht,Francesca Khani,Juan Miguel Mosquera,Brian D Robinson,Jenna Moyer,Olivier Elemento,Andrew C Hsieh,David W Goodrich,David S Rickman,Himisha Beltran,Jorge Moscat,Maria T Diaz-Meco

Frontiers in cell and developmental biology 12:1490040 PubMed39493348

2024

A differentiation protocol for generating pancreatic delta cells from human pluripotent stem cells.

Applications

Unspecified application

Species

Unspecified reactive species

Tongran Zhang,Nannan Wang,Zhiying Liao,Jingyi Chen,Hao Meng,Haopeng Lin,Tao Xu,Lihua Chen,Ling-Qiang Zhu,Huisheng Liu

Frontiers in immunology 15:1394539 PubMed39176088

2024

Rare presence and function of neuroendocrine cells in the nasal mucosa.

Applications

Unspecified application

Species

Unspecified reactive species

Tine Wils,Wout Backaert,Inge Jacobs,Emma Ruysseveldt,Jonathan Cremer,Ellen Dilissen,Dominique M Bullens,Karel Talavera,Brecht Steelant,Laura Van Gerven,Katleen Martens,Peter W Hellings

Microbiology spectrum 12:e0096124 PubMed39162490

2024

Enterohemorrhagic (EHEC) disrupts intestinal barrier integrity in translational canine stem cell-derived monolayers.

Applications

Unspecified application

Species

Unspecified reactive species

Itsuma Nagao,Minae Kawasaki,Takashi Goyama,Hyun Jung Kim,Douglas R Call,Yoko M Ambrosini
View all publications

Product promise

We are committed to supporting your work with high-quality reagents, and we're here for you every step of the way. In the unlikely event that one of our products does not perform as expected, you're protected by our Product Promise.
For full details, please see our Terms & Conditions

Please note: All products are 'FOR RESEARCH USE ONLY. NOT FOR USE IN DIAGNOSTIC OR THERAPEUTIC PROCEDURES'.

For licensing inquiries, please contact partnerships@abcam.com