JavaScript is disabled in your browser. Please enable JavaScript to view this website.
AB187368

Anti-Chromogranin A antibody [CGA414]

Be the first to review this product! Submit a review

|

(1 Publication)

Mouse Monoclonal Chromogranin A antibody. Suitable for IHC-P and reacts with Human samples. Cited in 1 publication. Immunogen corresponding to Recombinant Full Length Protein corresponding to Human CHGA.

View Alternative Names

Chromogranin-A, CgA, Pituitary secretory protein I, SP-I, CHGA

2 Images
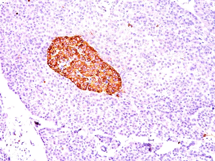
Immunohistochemistry (Formalin/PFA-fixed paraffin-embedded sections) - Anti-Chromogranin A antibody [CGA414] (AB187368)
  • IHC-P

Supplier Data

Immunohistochemistry (Formalin/PFA-fixed paraffin-embedded sections) - Anti-Chromogranin A antibody [CGA414] (AB187368)

Immunohistochemical analysis of paraffin-embedded formalin fixed pancreas tissue labeling Chromogranin A with ab187368 at 1 μg/μl.

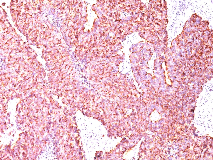
Immunohistochemistry (Formalin/PFA-fixed paraffin-embedded sections) - Anti-Chromogranin A antibody [CGA414] (AB187368)
  • IHC-P

Supplier Data

Immunohistochemistry (Formalin/PFA-fixed paraffin-embedded sections) - Anti-Chromogranin A antibody [CGA414] (AB187368)

Immunohistochemical analysis of paraffin-embedded formalin fixed small cell lung carcinoma tissue labeling Chromogranin A with ab187368 at 1 μg/μl.

Key facts

Host species

Mouse

Clonality

Monoclonal

Clone number

CGA414

Isotype

IgG1

Light chain type

kappa

Carrier free

No

Reacts with

Human

Applications

IHC-P

applications

Immunogen

Recombinant Full Length Protein corresponding to Human CHGA.

P10645

Reactivity data

{ "title": "Reactivity Data", "filters": { "stats": ["", "Species", "Dilution Info", "Notes"], "tabs": { "all-applications": {"fullname" : "All Applications", "shortname": "All Applications"}, "IHCP" : {"fullname" : "Immunohistochemistry (Formalin/PFA-fixed paraffin-embedded sections)", "shortname":"IHC-P"} }, "product-promise": { "all": "all", "testedAndGuaranteed": "tested", "guaranteed": "expected", "predicted": "predicted", "notRecommended": "not-recommended" } }, "values": { "Human": { "IHCP-species-checked": "testedAndGuaranteed", "IHCP-species-dilution-info": "0.5-1 µg/mL", "IHCP-species-notes": "<p></p> Perform heat-mediated antigen retrieval with citrate buffer pH 6 before commencing with IHC staining protocol." }, "Rat": { "IHCP-species-checked": "notRecommended", "IHCP-species-dilution-info": "0.5-1 µg/mL", "IHCP-species-notes": "<p></p> Perform heat-mediated antigen retrieval with citrate buffer pH 6 before commencing with IHC staining protocol." } } }

Properties and storage information

Form
Liquid
Purification technique
Affinity purification Protein G
Storage buffer
pH: 7.2 - 7.4 Preservative: 0.05% Sodium azide Constituents: PBS, 0.05% BSA
Shipped at conditions
Blue Ice
Appropriate short-term storage duration
1-2 weeks
Appropriate short-term storage conditions
+4°C
Appropriate long-term storage conditions
-20°C
Aliquoting information
Upon delivery aliquot
Storage information
Avoid freeze / thaw cycle

Supplementary information

This supplementary information is collated from multiple sources and compiled automatically.

Chromogranin A (CgA) sometimes called chromagranin A is a glycoprotein with a molecular weight of approximately 49–52 kDa. It is highly expressed in the secretory granules of neuroendocrine cells present in tissues such as the adrenal medulla pancreas and endocrine cells of the gastrointestinal tract. CgA identified as part of a family including chromogranin B and chromogranin C functions mechanically as a precursor to various bioactive peptides. This translates into its involvement in the storage and release of hormones and peptides within vesicles.
Biological function summary

Chromogranin A assists in the regulation of secretory pathways across multiple neuroendocrine systems. It plays a role in hormone storage conversion to active peptides and regulates the exocytosis of hormones. CgA acts within a complex contributing to secretory granule biogenesis and influencing intravesicular acidity. As a regulatory component the exact physiological roles are diverse impacting cardiovascular metabolic and immunological processes.

Pathways

Chromogranin A is involved in pathways such as the catecholamine synthesis and release pathway and the serotonergic pathway. Within these pathways it interacts with proteins like secretogranin II and parathyroid hormone (PTH). These interactions modulate neurotransmitter storage and secretion across various systems. CgA's bioactive peptides also contribute to modulating physiological processes like vasoconstriction and insulin regulation linking it closely with these signaling cascades.

Chromogranin A is a known marker for neuroendocrine tumors where its levels in blood may increase due to tumor activity. It links to diseases like pheochromocytoma and carcinoid tumors where improper regulation of CgA-associated pathways occurs. Additionally its connection to parathyroid disorders through the PTH pathway illustrates its broader implication in endocrine pathophysiology. CgA serves as an invaluable diagnostic and prognostic tool in these disease states and supports the development of targeted therapies.

Product protocols

For this product, it's our understanding that no specific protocols are required. You can visit:

Target data

Pancreastatin. Strongly inhibits glucose induced insulin release from the pancreas.. Catestatin. Inhibits catecholamine release from chromaffin cells and noradrenergic neurons by acting as a non-competitive nicotinic cholinergic antagonist (PubMed : 15326220). Displays antibacterial activity against Gram-positive bacteria S.aureus and M.luteus, and Gram-negative bacteria E.coli and P.aeruginosa (PubMed : 15723172, PubMed : 24723458). Can induce mast cell migration, degranulation and production of cytokines and chemokines (PubMed : 21214543). Acts as a potent scavenger of free radicals in vitro (PubMed : 24723458). May play a role in the regulation of cardiac function and blood pressure (PubMed : 18541522).. Serpinin. Regulates granule biogenesis in endocrine cells by up-regulating the transcription of protease nexin 1 (SERPINE2) via a cAMP-PKA-SP1 pathway. This leads to inhibition of granule protein degradation in the Golgi complex which in turn promotes granule formation.
See full target information CHGA

Publications (1)

Recent publications for all applications. Explore the full list and refine your search

International journal of molecular sciences 25: PubMed39409030

2024

Understanding the Dosage-Dependent Role of in Thyroid Tumorigenesis.

Applications

Unspecified application

Species

Unspecified reactive species

María Rojo-Pardillo,Ludivine Godefroid,Geneviève Dom,Anne Lefort,Frederick Libert,Bernard Robaye,Carine Maenhaut
View all publications

Product promise

We are committed to supporting your work with high-quality reagents, and we're here for you every step of the way. In the unlikely event that one of our products does not perform as expected, you're protected by our Product Promise.
For full details, please see our Terms & Conditions

Please note: All products are 'FOR RESEARCH USE ONLY. NOT FOR USE IN DIAGNOSTIC OR THERAPEUTIC PROCEDURES'.

For licensing inquiries, please contact partnerships@abcam.com