JavaScript is disabled in your browser. Please enable JavaScript to view this website.
AB68271

Anti-Chromogranin A antibody [EP1030Y]

3

(2 Reviews)

|

(18 Publications)

Anti-Chromogranin A antibody [EP1030Y] (ab68271) is a rabbit monoclonal antibody detecting Chromogranin A in Western Blot, Flow Cytometry (Intra), Flow Cytometry, IHC-P, ICC/IF. Suitable for Human.

- Biophysical QC for unrivalled batch-batch consistency
- Over 10 publications
- Trusted since 2008

View Alternative Names

Chromogranin-A, CgA, Pituitary secretory protein I, SP-I, CHGA

4 Images
Immunocytochemistry/ Immunofluorescence - Anti-Chromogranin A antibody [EP1030Y] (AB68271)
  • ICC/IF

Unknown

Immunocytochemistry/ Immunofluorescence - Anti-Chromogranin A antibody [EP1030Y] (AB68271)

Immunocytochemistry analysis of SH-SY5Y (human neuroblastoma epithelial cell) labeling Chromogranin A with purified ab68271 at 1/50 dilution (3 μg/ml). Cells were fixed with 4% Paraformaldehyde and permeabilised with 0.1% tritonX-100. Goat anti rabbit IgG (Alexa Fluor® 488, ab150077) at 1/1000 (2 μg/ml) was used as the secondary antibody. ab195889 Anti-alpha Tubulin antibody [DM1A] - Microtubule Marker (Alexa Fluor® 594) 1/200 (2.17 μg/ml) was used as counterstain. Nuclei were stained blue with DAPI.
Negative control : PBS instead of the primary antibody.

Flow Cytometry (Intracellular) - Anti-Chromogranin A antibody [EP1030Y] (AB68271)
  • Flow Cyt (Intra)

Lab

Flow Cytometry (Intracellular) - Anti-Chromogranin A antibody [EP1030Y] (AB68271)

Flow Cytometry analysis of Jurkat (Human T cell leukemia T lymphocyte, Left) / SH-SY5Y (Human neuroblastoma epithelial cell, Right) cells labeling Chromogranin A with purified ab68271 at 1/200 dilution (1 μg/mL) (Red). Cells were fixed with 4% Paraformaldehyde and permeabilised with 90% Methanol. A Goat anti rabbit IgG (Alexa Fluor® 488, ab150077) secondary antibody was used at 1/2000. Isotype control - Rabbit monoclonal IgG (Left).
Negative control : Jurkat.

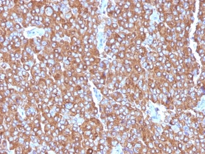
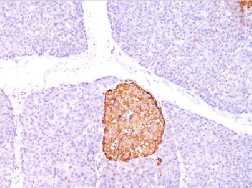
Immunohistochemistry (Formalin/PFA-fixed paraffin-embedded sections) - Anti-Chromogranin A antibody [EP1030Y] (AB68271)
  • IHC-P

Unknown

Immunohistochemistry (Formalin/PFA-fixed paraffin-embedded sections) - Anti-Chromogranin A antibody [EP1030Y] (AB68271)

Formalin/PFA-fixed paraffin-embedded human pancreas tissue stained for Chromogranin A with ab68271 at a 1/100 dilution in immunohistochemical analysis.

Perform heat mediated antigen retrieval with citrate buffer pH 6 before commencing with IHC staining protocol.

Western blot - Anti-Chromogranin A antibody [EP1030Y] (AB68271)
  • WB

Unknown

Western blot - Anti-Chromogranin A antibody [EP1030Y] (AB68271)

All lanes:

Western blot - Anti-Chromogranin A antibody [EP1030Y] (ab68271)

All lanes:

SH-SY5Y (Human neuroblastoma cell line from bone marrow) cell lysate at 10 µg

Secondary

All lanes:

HRP conjugated Goat anti-rabbit at 1/2000 dilution

Predicted band size: 50 kDa

Observed band size: 90 kDa

false

Key facts

Host species

Rabbit

Clonality

Monoclonal

Clone number

EP1030Y

Isotype

IgG

Carrier free

No

Reacts with

Human

Applications

WB, Flow Cyt (Intra), ICC/IF, IHC-P

applications

Immunogen

The exact immunogen used to generate this antibody is proprietary information.

Reactivity data

{ "title": "Reactivity Data", "filters": { "stats": ["", "Species", "Dilution Info", "Notes"], "tabs": { "all-applications": {"fullname" : "All Applications", "shortname": "All Applications"}, "IHCP" : {"fullname" : "Immunohistochemistry (Formalin/PFA-fixed paraffin-embedded sections)", "shortname":"IHC-P"}, "ICCIF" : {"fullname" : "Immunocytochemistry/ Immunofluorescence", "shortname":"ICC/IF"}, "IP" : {"fullname" : "Immunoprecipitation", "shortname":"IP"}, "WB" : {"fullname" : "Western blot", "shortname":"WB"}, "FlowCytIntra" : {"fullname" : "Flow Cytometry (Intracellular)", "shortname":"Flow Cyt (Intra)"} }, "product-promise": { "all": "all", "testedAndGuaranteed": "tested", "guaranteed": "expected", "predicted": "predicted", "notRecommended": "not-recommended" } }, "values": { "Human": { "IHCP-species-checked": "testedAndGuaranteed", "IHCP-species-dilution-info": "1/100 - 1/250", "IHCP-species-notes": "<p></p> Perform heat-mediated antigen retrieval with citrate buffer pH 6 before commencing with IHC staining protocol.", "ICCIF-species-checked": "testedAndGuaranteed", "ICCIF-species-dilution-info": "1/100 - 1/250", "ICCIF-species-notes": "<p></p>", "IP-species-checked": "notRecommended", "IP-species-dilution-info": "", "IP-species-notes": "<p></p>", "WB-species-checked": "testedAndGuaranteed", "WB-species-dilution-info": "1/10000 - 1/50000", "WB-species-notes": "<p></p>", "FlowCytIntra-species-checked": "testedAndGuaranteed", "FlowCytIntra-species-dilution-info": "1/200", "FlowCytIntra-species-notes": "<p><a href='/en-us/products/primary-antibodies/rabbit-igg-monoclonal-epr25a-isotype-control-ab172730'>ab172730</a> - Rabbit monoclonal IgG, is suitable for use as an isotype control with this antibody.</p>" } } }

Product details

What is this antibody validated in?
Anti-Chromogranin A antibody [EP1030Y] (ab68271) is a rabbit recombinant monoclonal antibody and is validated for use in Western Blot (WB), Flow Cytometry (Intra), Flow Cytometry (Flow Cyt), Immunohistochemistry (IHC-P), Immunocytochemistry/immunofluorescence (ICC/IF) in Human samples.

What is the molecular weight of Chromogranin A?
Anti-Chromogranin A [EP1030Y] (ab68271) specifically detects a band for Chromogranin A (UniProt: P10645) at a molecular weight of 51kDa.

Trusted by the scientific community
Anti-Chromogranin A [EP1030Y] (ab68271) was first used in a scientific publication in 2008 and has been cited over 10 times in peer-reviewed journals.

Trial sizes available!
Test your antibody or perform pre-screening before committing to a larger quantity. Sold in 10µl. Discover our selection of trial-size antibodies.

Other related products
We have a range of other formats of antibody clone [EP1030Y] also available for your convenience: ab68271, Alexa Fluor® 488 - ab199192, HRP - ab199194, PE - ab213341, Carrier free - ab215276, APC - ab310873, Alexa Fluor® 647 - ab311094, Alexa Fluor® 594 - ab311703, Alexa Fluor® 568 - ab312978, Alexa Fluor® 555 - ab313186, Alexa Fluor® 750 - ab321690

Species reactivity
Mouse, Rat: We have preliminary internal testing data to indicate this antibody may not react with these species.
Please contact us for more information.

Patented technology
Our RabMAb® technology is a patented hybridoma-based technology for making rabbit monoclonal antibodies. For details on our patents, please refer to RabMAb® patents.

What are the advantages of a recombinant monoclonal antibody?
This product is a recombinant monoclonal antibody, which offers several advantages including:

  • - High batch-to-batch consistency and reproducibility
  • - Improved sensitivity and specificity
  • - Long-term security of supply
  • - Animal-free batch production

For more information, read more on recombinant antibodies.

Properties and storage information

Form
Liquid
Purification technique
Affinity purification Protein A
Storage buffer
pH: 7.2 - 7.4 Preservative: 0.01% Sodium azide Constituents: PBS, 40% Glycerol (glycerin, glycerine), 0.05% BSA
Shipped at conditions
Blue Ice
Appropriate short-term storage duration
1-2 weeks
Appropriate short-term storage conditions
+4°C
Appropriate long-term storage conditions
-20°C
Aliquoting information
Upon delivery aliquot
Storage information
Avoid freeze / thaw cycle

Supplementary information

This supplementary information is collated from multiple sources and compiled automatically.

Chromogranin A (CgA) sometimes called chromagranin A is a glycoprotein with a molecular weight of approximately 49–52 kDa. It is highly expressed in the secretory granules of neuroendocrine cells present in tissues such as the adrenal medulla pancreas and endocrine cells of the gastrointestinal tract. CgA identified as part of a family including chromogranin B and chromogranin C functions mechanically as a precursor to various bioactive peptides. This translates into its involvement in the storage and release of hormones and peptides within vesicles.
Biological function summary

Chromogranin A assists in the regulation of secretory pathways across multiple neuroendocrine systems. It plays a role in hormone storage conversion to active peptides and regulates the exocytosis of hormones. CgA acts within a complex contributing to secretory granule biogenesis and influencing intravesicular acidity. As a regulatory component the exact physiological roles are diverse impacting cardiovascular metabolic and immunological processes.

Pathways

Chromogranin A is involved in pathways such as the catecholamine synthesis and release pathway and the serotonergic pathway. Within these pathways it interacts with proteins like secretogranin II and parathyroid hormone (PTH). These interactions modulate neurotransmitter storage and secretion across various systems. CgA's bioactive peptides also contribute to modulating physiological processes like vasoconstriction and insulin regulation linking it closely with these signaling cascades.

Chromogranin A is a known marker for neuroendocrine tumors where its levels in blood may increase due to tumor activity. It links to diseases like pheochromocytoma and carcinoid tumors where improper regulation of CgA-associated pathways occurs. Additionally its connection to parathyroid disorders through the PTH pathway illustrates its broader implication in endocrine pathophysiology. CgA serves as an invaluable diagnostic and prognostic tool in these disease states and supports the development of targeted therapies.

Product protocols

For this product, it's our understanding that no specific protocols are required. You can visit:

Target data

Pancreastatin. Strongly inhibits glucose induced insulin release from the pancreas.. Catestatin. Inhibits catecholamine release from chromaffin cells and noradrenergic neurons by acting as a non-competitive nicotinic cholinergic antagonist (PubMed : 15326220). Displays antibacterial activity against Gram-positive bacteria S.aureus and M.luteus, and Gram-negative bacteria E.coli and P.aeruginosa (PubMed : 15723172, PubMed : 24723458). Can induce mast cell migration, degranulation and production of cytokines and chemokines (PubMed : 21214543). Acts as a potent scavenger of free radicals in vitro (PubMed : 24723458). May play a role in the regulation of cardiac function and blood pressure (PubMed : 18541522).. Serpinin. Regulates granule biogenesis in endocrine cells by up-regulating the transcription of protease nexin 1 (SERPINE2) via a cAMP-PKA-SP1 pathway. This leads to inhibition of granule protein degradation in the Golgi complex which in turn promotes granule formation.
See full target information CHGA

Publications (18)

Recent publications for all applications. Explore the full list and refine your search

The Journal of clinical investigation 134: PubMed39106106

2024

Hif-2α programs oxygen chemosensitivity in chromaffin cells.

Applications

Unspecified application

Species

Unspecified reactive species

Maria Prange-Barczynska,Holly A Jones,Yoichiro Sugimoto,Xiaotong Cheng,Joanna Dcc Lima,Indrika Ratnayaka,Gillian Douglas,Keith J Buckler,Peter J Ratcliffe,Thomas P Keeley,Tammie Bishop

Scientific reports 13:6417 PubMed37076494

2023

Co-administration with A1M does not influence apoptotic response of Lu-octreotate in GOT1 neuroendocrine tumors.

Applications

Unspecified application

Species

Unspecified reactive species

Nishte Rassol,Charlotte Andersson,Daniella Pettersson,Amin Al-Awar,Emman Shubbar,Anikó Kovács,Bo Åkerström,Magnus Gram,Khalil Helou,Eva Forssell-Aronsson

BMC cancer 23:267 PubMed36959559

2023

Exposure to nonanoic acid alters small intestinal neuroendocrine tumor phenotype.

Applications

Unspecified application

Species

Unspecified reactive species

Bilal Almobarak,Vishal Amlani,Linda Inge,Tobias Hofving,Andreas Muth,Ola Nilsson,Martin Johansson,Yvonne Arvidsson,Erik Elias

iScience 25:104576 PubMed35789834

2022

Single-cell transcriptional regulation and genetic evolution of neuroendocrine prostate cancer.

Applications

Unspecified application

Species

Unspecified reactive species

Ziwei Wang,Tao Wang,Danni Hong,Baijun Dong,Yan Wang,Huaqiang Huang,Wenhui Zhang,Bijun Lian,Boyao Ji,Haoqing Shi,Min Qu,Xu Gao,Daofeng Li,Colin Collins,Gonghong Wei,Chuanliang Xu,Hyung Joo Lee,Jialiang Huang,Jing Li

Journal of neuroendocrinology 34:e13109 PubMed35304807

2022

Combined use of Lu-DOTATATE peptide receptor radionuclide therapy and fluzoparib for treatment of well-differentiated neuroendocrine tumors: A preclinical study.

Applications

Unspecified application

Species

Unspecified reactive species

Jingjing Fu,Fan Qiu,Cati Raluca Stolniceanu,Fei Yu,Shiming Zang,Yili Xiang,Yue Huang,Milovan Matovic,Cipriana Stefanescu,Qiyun Tang,Feng Wang

Frontiers in genetics 13:790621 PubMed35368699

2022

miR-145-5p Inhibits Neuroendocrine Differentiation and Tumor Growth by Regulating the SOX11/MYCN Axis in Prostate cancer.

Applications

Unspecified application

Species

Unspecified reactive species

Shuya Ji,Yi Shi,Lin Yang,Feng Zhang,Yong Li,Feng Xu

Cancers 14: PubMed35008397

2022

Hyperfractionated Treatment with Lu-Octreotate Increases Tumor Response in Human Small-Intestine Neuroendocrine GOT1 Tumor Model.

Applications

Unspecified application

Species

Unspecified reactive species

Mikael Elvborn,Emman Shubbar,Eva Forssell-Aronsson

Cell reports. Medicine 2:100466 PubMed35028608

2021

Insulin expression and C-peptide in type 1 diabetes subjects implanted with stem cell-derived pancreatic endoderm cells in an encapsulation device.

Applications

Unspecified application

Species

Unspecified reactive species

A M James Shapiro,David Thompson,Thomas W Donner,Melena D Bellin,Willa Hsueh,Jeremy Pettus,Jon Wilensky,Mark Daniels,Richard M Wang,Eugene P Brandon,Manasi S Jaiman,Evert J Kroon,Kevin A D'Amour,Howard L Foyt

Nature communications 12:4458 PubMed34294685

2021

Pancreatic Ppy-expressing γ-cells display mixed phenotypic traits and the adaptive plasticity to engage insulin production.

Applications

Unspecified application

Species

Unspecified reactive species

Marta Perez-Frances,Léon van Gurp,Maria Valentina Abate,Valentina Cigliola,Kenichiro Furuyama,Eva Bru-Tari,Daniel Oropeza,Taïna Carreaux,Yoshio Fujitani,Fabrizio Thorel,Pedro L Herrera

Cell chemical biology 27:1561-1572.e7 PubMed33125912

2020

Combined Omics Approaches Reveal the Roles of Non-canonical WNT7B Signaling and YY1 in the Proliferation of Human Pancreatic Progenitor Cells.

Applications

Unspecified application

Species

Unspecified reactive species

Azuma Kimura,Taro Toyoda,Mio Iwasaki,Ryusuke Hirama,Kenji Osafune
View all publications

Product promise

We are committed to supporting your work with high-quality reagents, and we're here for you every step of the way. In the unlikely event that one of our products does not perform as expected, you're protected by our Product Promise.
For full details, please see our Terms & Conditions

Please note: All products are 'FOR RESEARCH USE ONLY. NOT FOR USE IN DIAGNOSTIC OR THERAPEUTIC PROCEDURES'.

For licensing inquiries, please contact partnerships@abcam.com