JavaScript is disabled in your browser. Please enable JavaScript to view this website.
AB254322

Anti-Chromogranin A antibody [EPR22537-248]

  • BOND RX™ Validated
  • RabMAb
  • Recombinant
  • 20ul selling size
  • What is this?

Be the first to review this product! Submit a review

|

(9 Publications)

Rabbit Recombinant Monoclonal Chromogranin A antibody. Suitable for WB, ICC/IF, IHC-Fr, Flow Cyt (Intra), IHC-P and reacts with Mouse, Rat samples. Cited in 9 publications.

View Alternative Names

Chromogranin-A, CgA, Chga

8 Images
Immunocytochemistry/ Immunofluorescence - Anti-Chromogranin A antibody [EPR22537-248] (AB254322)
  • ICC/IF

Unknown

Immunocytochemistry/ Immunofluorescence - Anti-Chromogranin A antibody [EPR22537-248] (AB254322)

Immunofluorescent analysis of 4% paraformaldehyde-fixed, 0.1% Triton X-100 permeabilized PC-12 (rat adrenal gland pheochromocytoma cell line) cells labeling Chromogranin A with ab254322 at 1/100 dilution, followed by a Goat Anti-Rabbit IgG H&L (Alexa Fluor® 488) (ab150077) secondary antibody at 1/1000 dilution (green). Confocal image showing membranous and cytoplasmic staining in PC-12 cell line. The nuclear counter stain is DAPI (blue). Tubulin is detected with Anti-alpha Tubulin antibody [DM1A] - Microtubule Marker (Alexa Fluor® 594) (ab195889) at 1/200 dilution (red).

Secondary antibody only control : Used PBS instead of primary antibody, followed by Goat Anti-Rabbit IgG H&L (Alexa Fluor® 488) (ab150077) secondary antibody at 1/1000 dilution.

Flow Cytometry (Intracellular) - Anti-Chromogranin A antibody [EPR22537-248] (AB254322)
  • Flow Cyt (Intra)

Unknown

Flow Cytometry (Intracellular) - Anti-Chromogranin A antibody [EPR22537-248] (AB254322)

Intracellular flow cytometric analysis of4% paraformaldehyde-fixed, 90% methanol-permeabilized Neuro-2a (mouse neuroblastoma cell line) cells labeling Chromogranin A with ab254322 at 1/60 (red) compared with Recombinant Rabbit IgG, monoclonal [EPR25A] - Isotype Control (ab172730) (black) and an unlabelled control (cells without incubation with primary antibody and secondary antibody) (blue).

Goat Anti-Rabbit IgG H&L (Alexa Fluor® 488) (ab150077), at 1/2000 dilution was used as the secondary antibody.

Immunocytochemistry/ Immunofluorescence - Anti-Chromogranin A antibody [EPR22537-248] (AB254322)
  • ICC/IF

Unknown

Immunocytochemistry/ Immunofluorescence - Anti-Chromogranin A antibody [EPR22537-248] (AB254322)

Immunofluorescent analysis of 4% paraformaldehyde-fixed, 0.1% Triton X-100 permeabilized Neuro-2a (mouse neuroblastoma cell line) cells labeling Chromogranin A with ab254322 at 1/100 dilution, followed by a Goat Anti-Rabbit IgG H&L (Alexa Fluor® 488) (ab150077) secondary antibody at 1/1000 dilution (green). Confocal image showing membranous and cytoplasmic staining in Neuro-2a cell line. The nuclear counter stain is DAPI (blue). Tubulin is detected with Anti-alpha Tubulin antibody [DM1A] - Microtubule Marker (Alexa Fluor® 594) (ab195889) at 1/200 dilution (red).

Secondary antibody only control : Used PBS instead of primary antibody, followed by Goat Anti-Rabbit IgG H&L (Alexa Fluor® 488) (ab150077) secondary antibody at 1/1000 dilution.

Immunohistochemistry (Formalin/PFA-fixed paraffin-embedded sections) - Anti-Chromogranin A antibody [EPR22537-248] (AB254322)
  • IHC-P

Unknown

Immunohistochemistry (Formalin/PFA-fixed paraffin-embedded sections) - Anti-Chromogranin A antibody [EPR22537-248] (AB254322)

Immunohistochemical analysis of paraffin-embedded rat panceas tissue labeling Chromogranin A with ab254322 at 1/4000 dilution, followed by Rabbit specific IHC polymer detection kit HRP/DAB (ab209101). Positive staining on rat pancreas islet (PMID : 22412953) is observed. Counter stained with hematoxylin.

Secondary antibody only control : Used PBS instead of primary antibody, secondary antibody is Rabbit specific IHC polymer detection kit HRP/DAB (ab209101).

Heat mediated antigen retrieval with Tris-EDTA buffer (pH 9.0, epitope retrieval solution 2) for 20 mins.

The section was incubated with ab254322 for 30 mins at RT.

The immunostaining was performed on a Leica Biosystems BOND® RX instrument.

Immunohistochemistry (Frozen sections) - Anti-Chromogranin A antibody [EPR22537-248] (AB254322)
  • IHC-Fr

Unknown

Immunohistochemistry (Frozen sections) - Anti-Chromogranin A antibody [EPR22537-248] (AB254322)

Frozen section of 4% PFA-fixed, 0.2% Triton X-100 permeabilized mouse colon tissue labeling Chromogranin A with ab254322 at 1/500 dilution, followed by Goat Anti-Rabbit IgG H&L (Alexa Fluor® 488) (ab150077), at 1/1000 dilution (green). Positive staining on enteroendocrine cells of mouse colon (PMID : 27287799). is observed. The nuclear counter stain is DAPI (blue).

Secondary antibody only control : Used PBS instead of primary antibody, secondary antibody is Goat Anti-Rabbit IgG H&L (Alexa Fluor® 488) (ab150077), at 1/1000 dilution.

Heat mediated antigen retrieval using sodium citrate buffer (10mM citrate pH 6.0 + 0.05% Tween-20).

Immunohistochemistry (Frozen sections) - Anti-Chromogranin A antibody [EPR22537-248] (AB254322)
  • IHC-Fr

Unknown

Immunohistochemistry (Frozen sections) - Anti-Chromogranin A antibody [EPR22537-248] (AB254322)

Frozen section of 4% PFA-fixed, 0.2% Triton X-100 permeabilized rat colon tissue labeling Chromogranin A with ab254322 at 1/500 dilution, followed by Goat Anti-Rabbit IgG H&L (Alexa Fluor® 488) (ab150077), at 1/1000 dilution (green). Positive staining on enteroendocrine cells of mouse colon (PMID : 27287799) is observed. The nuclear counter stain is DAPI (blue).

Secondary antibody only control : Used PBS instead of primary antibody, secondary antibody is Goat Anti-Rabbit IgG H&L (Alexa Fluor® 488) (ab150077), at 1/1000 dilution.

Heat mediated antigen retrieval using sodium citrate buffer (10mM citrate pH 6.0 + 0.05% Tween-20).

Immunohistochemistry (Formalin/PFA-fixed paraffin-embedded sections) - Anti-Chromogranin A antibody [EPR22537-248] (AB254322)
  • IHC-P

Unknown

Immunohistochemistry (Formalin/PFA-fixed paraffin-embedded sections) - Anti-Chromogranin A antibody [EPR22537-248] (AB254322)

Immunohistochemical analysis of paraffin-embedded mouse pancreas tissue labeling Chromogranin A with ab254322 at 1/4000 dilution, followed by Rabbit specific IHC polymer detection kit HRP/DAB (ab209101). Positive staining on mouse pancreas islet (PMID : 22412953) is observed. Counter stained with hematoxylin.

Secondary antibody only control : Used PBS instead of primary antibody, secondary antibody is Rabbit specific IHC polymer detection kit HRP/DAB (ab209101).

Heat mediated antigen retrieval with Tris-EDTA buffer (pH 9.0, epitope retrieval solution 2) for 20 mins.

The section was incubated with ab254322 for 30 mins at RT.

The immunostaining was performed on a Leica Biosystems BOND® RX instrument.

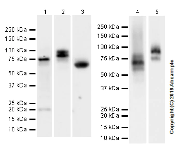
Western blot - Anti-Chromogranin A antibody [EPR22537-248] (AB254322)
  • WB

Unknown

Western blot - Anti-Chromogranin A antibody [EPR22537-248] (AB254322)

Blocking and dilution buffer : 5% NFDM/TBST.

Exposure times.

Lane 1 : 15 seconds; Lane 2 : 3.25 seconds; Lane 3 : 26 seconds; Lane 4 : 3.25 seconds; Lane 5 : 15 seconds.

The molecular weight observed is consistent with what has been described in the literature (PMID : 14734658, 21052719).

All lanes:

Western blot - Anti-Chromogranin A antibody [EPR22537-248] (ab254322) at 1/1000 dilution

Lane 1:

Neuro-2a (mouse neuroblastoma cell line) whole cell lysate at 20 µg

Lane 2:

PC-12 (rat adrenal gland pheochromocytoma cell line) whole cell lysate at 20 µg

Lane 3:

Mouse serum at 20 µg

Lane 4:

Mouse adrenal gland lysate at 20 µg

Lane 5:

Rat adrenal gland lysate at 20 µg

Secondary

All lanes:

Western blot - Goat Anti-Rabbit IgG H&L (HRP) (<a href='/en-us/products/secondary-antibodies/goat-rabbit-igg-h-l-hrp-ab97051'>ab97051</a>) at 1/100000 dilution

Predicted band size: 50 kDa

Observed band size: 20 kDa,75 kDa

false

  • Carrier free

    Anti-Chromogranin A antibody [EPR22537-248] - BSA and Azide free

  • Carrier free

    Anti-Chromogranin A antibody [EPR22537-248] - BSA and Azide free (Detector)

Key facts

Host species

Rabbit

Clonality

Monoclonal

Clone number

EPR22537-248

Isotype

IgG

Carrier free

No

Reacts with

Mouse, Rat

Applications

ICC/IF, IHC-Fr, IHC-P, Flow Cyt (Intra), WB

applications

Immunogen

The exact immunogen used to generate this antibody is proprietary information.

Reactivity data

{ "title": "Reactivity Data", "filters": { "stats": ["", "Species", "Dilution Info", "Notes"], "tabs": { "all-applications": {"fullname" : "All Applications", "shortname": "All Applications"}, "IP" : {"fullname" : "Immunoprecipitation", "shortname":"IP"}, "WB" : {"fullname" : "Western blot", "shortname":"WB"}, "ICCIF" : {"fullname" : "Immunocytochemistry/ Immunofluorescence", "shortname":"ICC/IF"}, "IHCFr" : {"fullname" : "Immunohistochemistry (Frozen sections)", "shortname":"IHC-Fr"}, "FlowCytIntra" : {"fullname" : "Flow Cytometry (Intracellular)", "shortname":"Flow Cyt (Intra)"}, "IHCP" : {"fullname" : "Immunohistochemistry (Formalin/PFA-fixed paraffin-embedded sections)", "shortname":"IHC-P"} }, "product-promise": { "all": "all", "testedAndGuaranteed": "tested", "guaranteed": "expected", "predicted": "predicted", "notRecommended": "not-recommended" } }, "values": { "Mouse": { "IP-species-checked": "notRecommended", "IP-species-dilution-info": "", "IP-species-notes": "<p></p>", "WB-species-checked": "testedAndGuaranteed", "WB-species-dilution-info": "1/1000", "WB-species-notes": "<p></p>", "ICCIF-species-checked": "testedAndGuaranteed", "ICCIF-species-dilution-info": "1/100", "ICCIF-species-notes": "<p></p>", "IHCFr-species-checked": "testedAndGuaranteed", "IHCFr-species-dilution-info": "1/500", "IHCFr-species-notes": "<p>Heat mediated antigen retrieval using sodium citrate buffer (10mM citrate pH 6.0 + 0.05% Tween-20).</p>", "FlowCytIntra-species-checked": "testedAndGuaranteed", "FlowCytIntra-species-dilution-info": "1/60", "FlowCytIntra-species-notes": "<p></p>", "IHCP-species-checked": "testedAndGuaranteed", "IHCP-species-dilution-info": "1/4000", "IHCP-species-notes": "<p></p> Perform heat-mediated antigen retrieval with Tris/EDTA buffer pH 9.0 before commencing with IHC staining protocol." }, "Rat": { "IP-species-checked": "notRecommended", "IP-species-dilution-info": "", "IP-species-notes": "<p></p>", "WB-species-checked": "testedAndGuaranteed", "WB-species-dilution-info": "1/1000", "WB-species-notes": "<p></p>", "ICCIF-species-checked": "testedAndGuaranteed", "ICCIF-species-dilution-info": "1/100", "ICCIF-species-notes": "<p></p>", "IHCFr-species-checked": "testedAndGuaranteed", "IHCFr-species-dilution-info": "1/500", "IHCFr-species-notes": "<p>Heat mediated antigen retrieval using sodium citrate buffer (10mM citrate pH 6.0 + 0.05% Tween-20).</p>", "FlowCytIntra-species-checked": "guaranteed", "FlowCytIntra-species-dilution-info": "", "FlowCytIntra-species-notes": "", "IHCP-species-checked": "testedAndGuaranteed", "IHCP-species-dilution-info": "1/4000", "IHCP-species-notes": "<p></p> Perform heat-mediated antigen retrieval with Tris/EDTA buffer pH 9.0 before commencing with IHC staining protocol." } } }

Product details

Patented technology
Our RabMAb® technology is a patented hybridoma-based technology for making rabbit monoclonal antibodies. For details on our patents, please refer to RabMAb® patents.

What are the advantages of a recombinant monoclonal antibody?
This product is a recombinant monoclonal antibody, which offers several advantages including:

  • - High batch-to-batch consistency and reproducibility
  • - Improved sensitivity and specificity
  • - Long-term security of supply
  • - Animal-free batch production

For more information, read more on recombinant antibodies.

Properties and storage information

Form
Liquid
Purification technique
Affinity purification Protein A
Storage buffer
pH: 7.2 - 7.4 Preservative: 0.01% Sodium azide Constituents: PBS, 40% Glycerol (glycerin, glycerine), 0.05% BSA
Shipped at conditions
Blue Ice
Appropriate short-term storage duration
1-2 weeks
Appropriate short-term storage conditions
+4°C
Appropriate long-term storage conditions
-20°C
Aliquoting information
Upon delivery aliquot
Storage information
Avoid freeze / thaw cycle

Supplementary information

This supplementary information is collated from multiple sources and compiled automatically.

Chromogranin A (CgA) sometimes called chromagranin A is a glycoprotein with a molecular weight of approximately 49–52 kDa. It is highly expressed in the secretory granules of neuroendocrine cells present in tissues such as the adrenal medulla pancreas and endocrine cells of the gastrointestinal tract. CgA identified as part of a family including chromogranin B and chromogranin C functions mechanically as a precursor to various bioactive peptides. This translates into its involvement in the storage and release of hormones and peptides within vesicles.
Biological function summary

Chromogranin A assists in the regulation of secretory pathways across multiple neuroendocrine systems. It plays a role in hormone storage conversion to active peptides and regulates the exocytosis of hormones. CgA acts within a complex contributing to secretory granule biogenesis and influencing intravesicular acidity. As a regulatory component the exact physiological roles are diverse impacting cardiovascular metabolic and immunological processes.

Pathways

Chromogranin A is involved in pathways such as the catecholamine synthesis and release pathway and the serotonergic pathway. Within these pathways it interacts with proteins like secretogranin II and parathyroid hormone (PTH). These interactions modulate neurotransmitter storage and secretion across various systems. CgA's bioactive peptides also contribute to modulating physiological processes like vasoconstriction and insulin regulation linking it closely with these signaling cascades.

Chromogranin A is a known marker for neuroendocrine tumors where its levels in blood may increase due to tumor activity. It links to diseases like pheochromocytoma and carcinoid tumors where improper regulation of CgA-associated pathways occurs. Additionally its connection to parathyroid disorders through the PTH pathway illustrates its broader implication in endocrine pathophysiology. CgA serves as an invaluable diagnostic and prognostic tool in these disease states and supports the development of targeted therapies.

Product protocols

For this product, it's our understanding that no specific protocols are required. You can visit:

Target data

Pancreastatin. Strongly inhibits glucose induced insulin release from the pancreas.. Catestatin. Inhibits catecholamine release from chromaffin cells and noradrenergic neurons by acting as a non-competitive nicotinic cholinergic antagonist. Can induce mast cell migration, degranulation and production of cytokines and chemokines.. Serpinin. Regulates granule biogenesis in endocrine cells by up-regulating the transcription of protease nexin 1 (SERPINE2) via a cAMP-PKA-SP1 pathway. This leads to inhibition of granule protein degradation in the Golgi complex which in turn promotes granule formation (PubMed : 21436258). Pyroglutaminated (pGlu)-serpinin exerts an antiapoptotic effect on cells exposed to oxidative stress (PubMed : 21537909).
See full target information Chromogranin-A

Publications (9)

Recent publications for all applications. Explore the full list and refine your search

Cell discovery 11:46 PubMed40360481

2025

Psychological stress-induced systemic corticosterone directly sabotages intestinal stem cells and exacerbates colitis.

Applications

Unspecified application

Species

Unspecified reactive species

Xiaole Sheng,Lanfei Jin,Zhengrong Yao,Jiaji Gu,Longtao Zhu,Andi Huang,Junxuan Peng,Xin Xu,Xiaolong Ge,Wei Zhou,Jinghao Sheng,Zhengping Xu,Rongpan Bai

BMC oral health 25:118 PubMed39844202

2025

Tensile force promotes osteogenic differentiation via ephrinB2-EphB4 signaling pathway in orthodontic tooth movement.

Applications

Unspecified application

Species

Unspecified reactive species

Hang Yu,Xiaoxi Wei,Huan Jiang,Huichuan Qi,Yi Zhang,Min Hu

Gut microbes 16:2423040 PubMed39569932

2024

ameliorates high-fat diet-induced obesity through modulating intestinal serotonin synthesis and lipid absorption in mice.

Applications

Unspecified application

Species

Unspecified reactive species

Xinxin Wen,Xiaoyan Feng,Fang Xin,Rui An,Huanwei Huang,Liyuan Mao,Ping Liu,Jin Zhang,Haixia Huang,Xicheng Liu,Wei Wang

Nature communications 15:2526 PubMed38514666

2024

Trimethylamine N-oxide impairs β-cell function and glucose tolerance.

Applications

Unspecified application

Species

Unspecified reactive species

Lijuan Kong,Qijin Zhao,Xiaojing Jiang,Jinping Hu,Qian Jiang,Li Sheng,Xiaohong Peng,Shusen Wang,Yibing Chen,Yanjun Wan,Shaocong Hou,Xingfeng Liu,Chunxiao Ma,Yan Li,Li Quan,Liangyi Chen,Bing Cui,Pingping Li

Biology 12: PubMed37508377

2023

Corin Deficiency Diminishes Intestinal Sodium Excretion in Mice.

Applications

Unspecified application

Species

Unspecified reactive species

Xiabing Gu,Kun Wang,Wenguo Li,Meiling He,Tiantian Zhou,Meng Liu,Qingyu Wu,Ningzheng Dong

Bioengineering & translational medicine 8:e10327 PubMed36684067

2023

Extracellular matrix bioink boosts stemness and facilitates transplantation of intestinal organoids as a biosafe Matrigel alternative.

Applications

Unspecified application

Species

Unspecified reactive species

Zi-Yan Xu,Jin-Jian Huang,Ye Liu,Can-Wen Chen,Gui-Wen Qu,Ge-Fei Wang,Yun Zhao,Xiu-Wen Wu,Jian-An Ren

Cell reports. Medicine 4:100911 PubMed36657446

2023

Using patient-derived organoids to predict locally advanced or metastatic lung cancer tumor response: A real-world study.

Applications

Unspecified application

Species

Unspecified reactive species

Han-Min Wang,Chan-Yuan Zhang,Kai-Cheng Peng,Ze-Xin Chen,Jun-Wei Su,Yu-Fa Li,Wen-Feng Li,Qing-Yun Gao,Shi-Ling Zhang,Yu-Qing Chen,Qing Zhou,Cong Xu,Chong-Rui Xu,Zhen Wang,Jian Su,Hong-Hong Yan,Xu-Chao Zhang,Hua-Jun Chen,Yi-Long Wu,Jin-Ji Yang

Cell research 32:670-686 PubMed35296796

2022

Lepr mesenchymal cells sense diet to modulate intestinal stem/progenitor cells via Leptin-Igf1 axis.

Applications

Unspecified application

Species

Unspecified reactive species

Min Deng,Christian F Guerrero-Juarez,Xiaole Sheng,Jiuzhi Xu,Xi Wu,Kai Yao,Mengzhen Li,Xu Yang,Guilin Li,Jintao Xiao,Xiaowei Liu,Kaichun Wu,Fazheng Ren,Qing Nie,Maksim V Plikus,Zhengquan Yu,Cong Lv

Stem cell research & therapy 12:330 PubMed34099046

2021

Rspo3 regulates the abnormal differentiation of small intestinal epithelial cells in diabetic state.

Applications

Unspecified application

Species

Unspecified reactive species

Ti-Dong Shan,Han Yue,Xue-Guo Sun,Yue-Ping Jiang,Li Chen
View all publications

Product promise

We are committed to supporting your work with high-quality reagents, and we're here for you every step of the way. In the unlikely event that one of our products does not perform as expected, you're protected by our Product Promise.
For full details, please see our Terms & Conditions

Please note: All products are 'FOR RESEARCH USE ONLY. NOT FOR USE IN DIAGNOSTIC OR THERAPEUTIC PROCEDURES'.

For licensing inquiries, please contact partnerships@abcam.com