JavaScript is disabled in your browser. Please enable JavaScript to view this website.
AB256169

Anti-Chromogranin A antibody [EPR22537-249] - BSA and Azide free

  • BOND RX™ Validated
  • RabMAb
  • Advanced Validation
  • Recombinant
  • What is this?

4

(1 Review)

|

(1 Publication)

Rabbit Recombinant Monoclonal Chromogranin A antibody. Carrier free. Suitable for mIHC, WB, IHC-Fr, IHC-P and reacts with Human, Mouse, Rat samples. Cited in 1 publication.

View Alternative Names

Chromogranin-A, CgA, Pituitary secretory protein I, SP-I, CHGA

10 Images
Immunohistochemistry (Formalin/PFA-fixed paraffin-embedded sections) - Anti-Chromogranin A antibody [EPR22537-249] - BSA and Azide free (AB256169)
  • IHC-P

Unknown

Immunohistochemistry (Formalin/PFA-fixed paraffin-embedded sections) - Anti-Chromogranin A antibody [EPR22537-249] - BSA and Azide free (AB256169)

Immunohistochemical analysis of paraffin-embedded human adrenal gland tissue labeling Chromogranin A with ab254557 at 1/5000 dilution, followed by a Rabbit specific IHC polymer detection kit HRP/DAB (ab209101). Positive staining on human adrenal medulla (PMID : 15615849) is observed. Counter stained with hematoxylin.

Secondary antibody only control : Used PBS instead of primary antibody, secondary antibody is Rabbit specific IHC polymer detection kit HRP/DAB (ab209101).

Heat mediated antigen retrieval with Tris-EDTA buffer (pH 9.0, epitope retrieval solution 2) for 20 mins.

The section was incubated with ab254557 for 10 mins at RT.

The immunostaining was performed on a Leica Biosystems BOND® RX instrument.

This data was developed using the same antibody clone in a different buffer formulation containing PBS, BSA, glycerol, and sodium azide (ab254557).

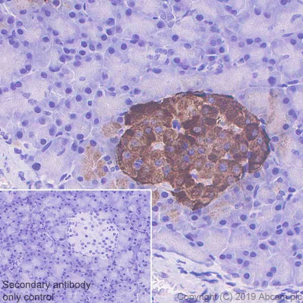
Immunohistochemistry (Formalin/PFA-fixed paraffin-embedded sections) - Anti-Chromogranin A antibody [EPR22537-249] - BSA and Azide free (AB256169)
  • IHC-P

Unknown

Immunohistochemistry (Formalin/PFA-fixed paraffin-embedded sections) - Anti-Chromogranin A antibody [EPR22537-249] - BSA and Azide free (AB256169)

Immunohistochemical analysis of paraffin-embedded human pancreas tissue labeling Chromogranin A with ab254557 at 1/5000 dilution, followed by Rabbit specific IHC polymer detection kit HRP/DAB (ab209101). Positive staining on human pancreas islet (PMID : 22412953) is observed. Counter stained with hematoxylin.

Secondary antibody only control : Used PBS instead of primary antibody, secondary antibody is Rabbit specific IHC polymer detection kit HRP/DAB (ab209101).

Heat mediated antigen retrieval with Tris-EDTA buffer (pH 9.0, epitope retrieval solution 2) for 20 mins.

The section was incubated with ab254557 for 10 mins at RT.

The immunostaining was performed on a Leica Biosystems BOND® RX instrument.

This data was developed using the same antibody clone in a different buffer formulation containing PBS, BSA, glycerol, and sodium azide (ab254557).

Multiplex immunohistochemistry - Anti-Chromogranin A antibody [EPR22537-249] - BSA and Azide free (AB256169)
  • mIHC

Lab

Multiplex immunohistochemistry - Anti-Chromogranin A antibody [EPR22537-249] - BSA and Azide free (AB256169)

Fluorescence multiplex immunohistochemical analysis of the human duodenum (Formalin/PFA-fixed paraffin-embedded sections). Panel A : merged staining of anti-liver FABP (ab240401, gray; Opal™690), anti-Lysozyme (ab242430, green; Opal™520) and anti-Chromogranin A (ab254557, red; Opal™570) on human duodenum. Panel B : anti-liver FABP stained on enterocytes. Panel C : anti-Lysozyme stained on Paneth cells. Panel D : anti-Chromogranin A stained on neuroendocrine cells. Opal Polymer HRP Ms + Rb was used as a secondary antibody. The immunostaining was performed on a Leica Biosystems BOND® RX instrument with an Opal™ 4-color kit. The section was incubated in three rounds of staining : in the order of ab240401 (1/8000 dilution), ab242430 (1 : 250 dilution), and ab254557 (1/5000 dilution) for 30 mins at room temperature. Each round was followed by a separate fluorescent tyramide signal amplification system. Heat mediated antigen retrieval with Tris-EDTA buffer (pH 9.0, epitope retrieval solution2) for 20 mins. DAPI (blue) was used as a nuclear counter stain. Image acquisition was performed with Leica SP8 confocal microscope.

This data was developed using the same antibody clone in a different buffer formulation containing PBS, BSA, glycerol, and sodium azide (ab254557).

Multiplex immunohistochemistry - Anti-Chromogranin A antibody [EPR22537-249] - BSA and Azide free (AB256169)
  • mIHC

Lab

Multiplex immunohistochemistry - Anti-Chromogranin A antibody [EPR22537-249] - BSA and Azide free (AB256169)

Fluorescence multiplex immunohistochemical analysis of the human stomach (Formalin/PFA-fixed paraffin-embedded sections). Panel A : merged staining of anti-Chromogranin A (ab254557, gray; Opal™690), anti-MUC-6 (ab223846, green; Opal™520) and anti-Rab3D (ab128997, red; Opal™570) on human stomach. Panel B : anti-MUC-6 stained on mucous neck cells. Panel C : anti-Chromogranin A stained on neuroendocrine cells. Panel D : anti-Rab3D stained on Chief cells. Rabbit specific IHC polymer detection kit HRP/DAB (ab209101) was used as a secondary antibody. The immunostaining was performed on a Leica Biosystems BOND® RX instrument with an Opal™ 4-color kit. The section was incubated in three rounds of staining : in the order of ab254557 (1/5000), ab223846 (1/1000), and ab128997 (1/10000) for 30 mins at room temperature. Each round was followed by a separate fluorescent tyramide signal amplification system. Heat mediated antigen retrieval with Tris-EDTA buffer (pH 9.0, epitope retrieval solution2) for 20 mins. DAPI (blue) was used as a nuclear counter stain. Image acquisition was performed with Leica SP8 confocal microscope. This data was developed using the same antibody clone in a different buffer formulation containing PBS, BSA, glycerol, and sodium azide (ab254557).

Immunohistochemistry (Frozen sections) - Anti-Chromogranin A antibody [EPR22537-249] - BSA and Azide free (AB256169)
  • IHC-Fr

Unknown

Immunohistochemistry (Frozen sections) - Anti-Chromogranin A antibody [EPR22537-249] - BSA and Azide free (AB256169)

Immunohistochemical analysis of frozen section of mouse colon tissue labeling Chromogranin A with ab254557 at 1/500 dilution, followed by Goat Anti-Rabbit IgG H&L (Alexa Fluor® 488) (ab150077) secondary antibody at 1/1000 dilution (green). Positive staining on enteroendocrine cells of colon (PMID : 27287799) is observed. The nuclear counter stain is DAPI (blue).

Secondary antibody only control : Used PBS instead of primary antibody, secondary antibody is Goat Anti-Rabbit IgG H&L (Alexa Fluor® 488) (ab150077) secondary antibody at 1/1000 dilution.

Heat mediated antigen retrieval using sodium citrate buffer (10mM citrate pH 6.0 + 0.05% Tween-20).

This data was developed using the same antibody clone in a different buffer formulation containing PBS, BSA, glycerol, and sodium azide (ab254557).

Immunohistochemistry (Formalin/PFA-fixed paraffin-embedded sections) - Anti-Chromogranin A antibody [EPR22537-249] - BSA and Azide free (AB256169)
  • IHC-P

Unknown

Immunohistochemistry (Formalin/PFA-fixed paraffin-embedded sections) - Anti-Chromogranin A antibody [EPR22537-249] - BSA and Azide free (AB256169)

Immunohistochemical analysis of paraffin-embedded mouse adrenal gland tissue labeling Chromogranin A with ab254557 at 1/5000 dilution, followed by Rabbit specific IHC polymer detection kit HRP/DAB (ab209101). Positive staining on mouse adrenal medulla (PMID : 15615849) is observed. Counter stained with hematoxylin.

Secondary antibody only control : Used PBS instead of primary antibody, secondary antibody is Rabbit specific IHC polymer detection kit HRP/DAB (ab209101).

Heat mediated antigen retrieval with Tris-EDTA buffer (pH 9.0, epitope retrieval solution 2) for 20 mins.

The section was incubated with ab254557 for 10 mins at RT.

The immunostaining was performed on a Leica Biosystems BOND® RX instrument.

This data was developed using the same antibody clone in a different buffer formulation containing PBS, BSA, glycerol, and sodium azide (ab254557).

Immunohistochemistry (Frozen sections) - Anti-Chromogranin A antibody [EPR22537-249] - BSA and Azide free (AB256169)
  • IHC-Fr

Unknown

Immunohistochemistry (Frozen sections) - Anti-Chromogranin A antibody [EPR22537-249] - BSA and Azide free (AB256169)

Immunohistochemical analysis of frozen section of rat colon tissue labeling Chromogranin A with ab254557 at 1/500 dilution, followed by Goat Anti-Rabbit IgG H&L (Alexa Fluor® 488) (ab150077) secondary antibody at 1/1000 dilution (green). Positive staining on enteroendocrine cells of colon (PMID : 27287799) is observed. The nuclear counter stain is DAPI (blue).

Secondary antibody only control : Used PBS instead of primary antibody, secondary antibody is Goat Anti-Rabbit IgG H&L (Alexa Fluor® 488) (ab150077) secondary antibody at 1/1000 dilution.

Heat mediated antigen retrieval using sodium citrate buffer (10mM citrate pH 6.0 + 0.05% Tween-20).

This data was developed using the same antibody clone in a different buffer formulation containing PBS, BSA, glycerol, and sodium azide (ab254557).

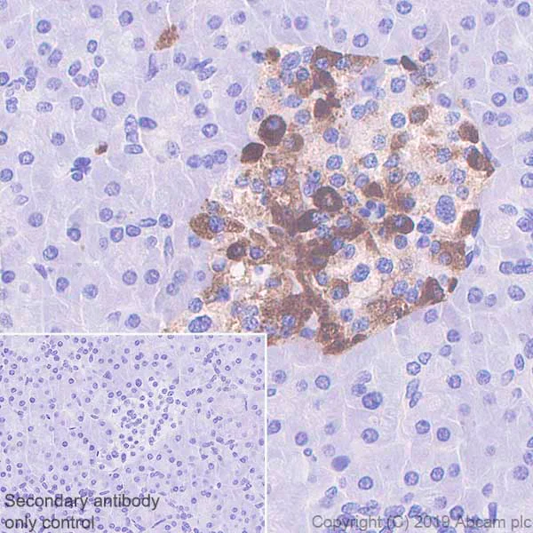
Immunohistochemistry (Formalin/PFA-fixed paraffin-embedded sections) - Anti-Chromogranin A antibody [EPR22537-249] - BSA and Azide free (AB256169)
  • IHC-P

Unknown

Immunohistochemistry (Formalin/PFA-fixed paraffin-embedded sections) - Anti-Chromogranin A antibody [EPR22537-249] - BSA and Azide free (AB256169)

Immunohistochemical analysis of paraffin-embedded mouse pancreas tissue labeling Chromogranin A with ab254557 at 1/5000 dilution, followed by Rabbit specific IHC polymer detection kit HRP/DAB (ab209101). Positive staining on mouse pancreas islet (PMID : 22412953) is observed. Counter stained with hematoxylin.

Secondary antibody only control : Used PBS instead of primary antibody, secondary antibody is Rabbit specific IHC polymer detection kit HRP/DAB (ab209101).

Heat mediated antigen retrieval with Tris-EDTA buffer (pH 9.0, epitope retrieval solution 2) for 20 mins.

The section was incubated with ab254557 for 10 mins at RT.

The immunostaining was performed on a Leica Biosystems BOND® RX instrument.

This data was developed using the same antibody clone in a different buffer formulation containing PBS, BSA, glycerol, and sodium azide (ab254557).

Immunohistochemistry (Formalin/PFA-fixed paraffin-embedded sections) - Anti-Chromogranin A antibody [EPR22537-249] - BSA and Azide free (AB256169)
  • IHC-P

Unknown

Immunohistochemistry (Formalin/PFA-fixed paraffin-embedded sections) - Anti-Chromogranin A antibody [EPR22537-249] - BSA and Azide free (AB256169)

Immunohistochemical analysis of paraffin-embedded rat adrenal gland tissue labeling Chromogranin A with ab254557 at 1/5000 dilution, followed by Rabbit specific IHC polymer detection kit HRP/DAB (ab209101). Strong staining on rat adrenal medulla (PMID : 15615849) is observed. Counter stained with hematoxylin.

Secondary antibody only control : Used PBS instead of primary antibody, secondary antibody is Rabbit specific IHC polymer detection kit HRP/DAB (ab209101).

Heat mediated antigen retrieval with Tris-EDTA buffer (pH 9.0, epitope retrieval solution 2) for 20 mins.

The section was incubated with ab254557 for 10 mins at RT.

The immunostaining was performed on a Leica Biosystems BOND® RX instrument.

This data was developed using the same antibody clone in a different buffer formulation containing PBS, BSA, glycerol, and sodium azide (ab254557).

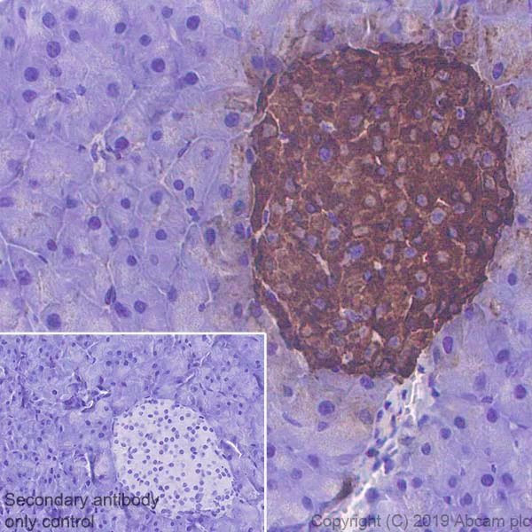
Immunohistochemistry (Formalin/PFA-fixed paraffin-embedded sections) - Anti-Chromogranin A antibody [EPR22537-249] - BSA and Azide free (AB256169)
  • IHC-P

Unknown

Immunohistochemistry (Formalin/PFA-fixed paraffin-embedded sections) - Anti-Chromogranin A antibody [EPR22537-249] - BSA and Azide free (AB256169)

Immunohistochemical analysis of paraffin-embedded rat pancreas tissue labeling Chromogranin A with ab254557 at 1/5000 dilution, followed by a Rabbit specific IHC polymer detection kit HRP/DAB (ab209101). Positive staining on rat pancreas islet (PMID : 22412953) is observed. Counter stained with hematoxylin.

Secondary antibody only control : Used PBS instead of primary antibody, secondary antibody is Rabbit specific IHC polymer detection kit HRP/DAB (ab209101).

Heat mediated antigen retrieval with Tris-EDTA buffer (pH 9.0, epitope retrieval solution 2) for 20 mins.

The section was incubated with ab254557 for 10 mins at RT.

The immunostaining was performed on a Leica Biosystems BOND® RX instrument.

This data was developed using the same antibody clone in a different buffer formulation containing PBS, BSA, glycerol, and sodium azide (ab254557).

  • Unconjugated

    Anti-Chromogranin A antibody [EPR22537-249]

  • Carrier free

    Anti-Chromogranin A antibody [EPR22537-249] - BSA and Azide free (Capture)

Key facts

Host species

Rabbit

Clonality

Monoclonal

Clone number

EPR22537-249

Isotype

IgG

Carrier free

Yes

Reacts with

Mouse, Rat, Human

Applications

mIHC, WB, IHC-Fr, IHC-P

applications

Immunogen

The exact immunogen used to generate this antibody is proprietary information.

Reactivity data

{ "title": "Reactivity Data", "filters": { "stats": ["", "Species", "Dilution Info", "Notes"], "tabs": { "all-applications": {"fullname" : "All Applications", "shortname": "All Applications"}, "IP" : {"fullname" : "Immunoprecipitation", "shortname":"IP"}, "FlowCyt" : {"fullname" : "Flow Cytometry", "shortname":"Flow Cyt"}, "mIHC" : {"fullname" : "Multiplex immunohistochemistry", "shortname":"mIHC"}, "WB" : {"fullname" : "Western blot", "shortname":"WB"}, "ICCIF" : {"fullname" : "Immunocytochemistry/ Immunofluorescence", "shortname":"ICC/IF"}, "IHCFr" : {"fullname" : "Immunohistochemistry (Frozen sections)", "shortname":"IHC-Fr"}, "IHCP" : {"fullname" : "Immunohistochemistry (Formalin/PFA-fixed paraffin-embedded sections)", "shortname":"IHC-P"} }, "product-promise": { "all": "all", "testedAndGuaranteed": "tested", "guaranteed": "expected", "predicted": "predicted", "notRecommended": "not-recommended" } }, "values": { "Human": { "IP-species-checked": "notRecommended", "IP-species-dilution-info": "", "IP-species-notes": "<p></p>", "FlowCyt-species-checked": "notRecommended", "FlowCyt-species-dilution-info": "", "FlowCyt-species-notes": "<p></p>", "mIHC-species-checked": "testedAndGuaranteed", "mIHC-species-dilution-info": "", "mIHC-species-notes": "<p></p>", "WB-species-checked": "testedAndGuaranteed", "WB-species-dilution-info": "", "WB-species-notes": "<p></p>", "ICCIF-species-checked": "notRecommended", "ICCIF-species-dilution-info": "", "ICCIF-species-notes": "<p></p>", "IHCFr-species-checked": "guaranteed", "IHCFr-species-dilution-info": "", "IHCFr-species-notes": "", "IHCP-species-checked": "testedAndGuaranteed", "IHCP-species-dilution-info": "", "IHCP-species-notes": "<p></p>" }, "Mouse": { "IP-species-checked": "notRecommended", "IP-species-dilution-info": "", "IP-species-notes": "<p></p>", "FlowCyt-species-checked": "notRecommended", "FlowCyt-species-dilution-info": "", "FlowCyt-species-notes": "<p></p>", "mIHC-species-checked": "guaranteed", "mIHC-species-dilution-info": "", "mIHC-species-notes": "", "WB-species-checked": "testedAndGuaranteed", "WB-species-dilution-info": "", "WB-species-notes": "<p></p>", "ICCIF-species-checked": "notRecommended", "ICCIF-species-dilution-info": "", "ICCIF-species-notes": "<p></p>", "IHCFr-species-checked": "testedAndGuaranteed", "IHCFr-species-dilution-info": "", "IHCFr-species-notes": "<p>Heat mediated antigen retrieval using sodium citrate buffer (10mM citrate pH 6.0 + 0.05% Tween-20)</p>", "IHCP-species-checked": "testedAndGuaranteed", "IHCP-species-dilution-info": "", "IHCP-species-notes": "<p></p>" }, "Rat": { "IP-species-checked": "notRecommended", "IP-species-dilution-info": "", "IP-species-notes": "<p></p>", "FlowCyt-species-checked": "notRecommended", "FlowCyt-species-dilution-info": "", "FlowCyt-species-notes": "<p></p>", "mIHC-species-checked": "guaranteed", "mIHC-species-dilution-info": "", "mIHC-species-notes": "", "WB-species-checked": "testedAndGuaranteed", "WB-species-dilution-info": "", "WB-species-notes": "<p></p>", "ICCIF-species-checked": "notRecommended", "ICCIF-species-dilution-info": "", "ICCIF-species-notes": "<p></p>", "IHCFr-species-checked": "testedAndGuaranteed", "IHCFr-species-dilution-info": "", "IHCFr-species-notes": "<p>Heat mediated antigen retrieval using sodium citrate buffer (10mM citrate pH 6.0 + 0.05% Tween-20)</p>", "IHCP-species-checked": "testedAndGuaranteed", "IHCP-species-dilution-info": "", "IHCP-species-notes": "<p></p>" } } }

Product details

ab256169 is the carrier-free version of ab254557.

Patented technology
Our RabMAb® technology is a patented hybridoma-based technology for making rabbit monoclonal antibodies. For details on our patents, please refer to RabMAb® patents.

What are the advantages of a recombinant monoclonal antibody?
This product is a recombinant monoclonal antibody, which offers several advantages including:

  • - High batch-to-batch consistency and reproducibility
  • - Improved sensitivity and specificity
  • - Long-term security of supply
  • - Animal-free batch production

For more information, read more on recombinant antibodies.

Conjugation ready
Our carrier-free antibodies are typically supplied in a PBS-only formulation, purified and free of BSA, sodium azide and glycerol. This conjugation-ready format is designed for use with fluorochromes, metal isotopes, oligonucleotides, and enzymes, which makes them ideal for antibody labelling, functional and cell-based assays, flow-based assays (e.g. mass cytometry) and Multiplex Imaging applications.

Use our conjugation kits for antibody conjugates that are ready-to-use in as little as 20 minutes with 1 minute hands-on-time and 100% antibody recovery: available for fluorescent dyes, HRP, biotin and gold.

Compatibility
This product is compatible with the Maxpar® Antibody Labeling Kit from Fluidigm, without the need for antibody preparation. Maxpar® is a trademark of Fluidigm Canada Inc.

Properties and storage information

Form
Liquid
Purification technique
Affinity purification Protein A
Storage buffer
pH: 7.2 - 7.4 Constituents: PBS
Shipped at conditions
Blue Ice
Appropriate short-term storage conditions
+4°C
Appropriate long-term storage conditions
+4°C
Storage information
Do Not Freeze

Supplementary information

This supplementary information is collated from multiple sources and compiled automatically.

Chromogranin A (CgA) sometimes called chromagranin A is a glycoprotein with a molecular weight of approximately 49–52 kDa. It is highly expressed in the secretory granules of neuroendocrine cells present in tissues such as the adrenal medulla pancreas and endocrine cells of the gastrointestinal tract. CgA identified as part of a family including chromogranin B and chromogranin C functions mechanically as a precursor to various bioactive peptides. This translates into its involvement in the storage and release of hormones and peptides within vesicles.
Biological function summary

Chromogranin A assists in the regulation of secretory pathways across multiple neuroendocrine systems. It plays a role in hormone storage conversion to active peptides and regulates the exocytosis of hormones. CgA acts within a complex contributing to secretory granule biogenesis and influencing intravesicular acidity. As a regulatory component the exact physiological roles are diverse impacting cardiovascular metabolic and immunological processes.

Pathways

Chromogranin A is involved in pathways such as the catecholamine synthesis and release pathway and the serotonergic pathway. Within these pathways it interacts with proteins like secretogranin II and parathyroid hormone (PTH). These interactions modulate neurotransmitter storage and secretion across various systems. CgA's bioactive peptides also contribute to modulating physiological processes like vasoconstriction and insulin regulation linking it closely with these signaling cascades.

Chromogranin A is a known marker for neuroendocrine tumors where its levels in blood may increase due to tumor activity. It links to diseases like pheochromocytoma and carcinoid tumors where improper regulation of CgA-associated pathways occurs. Additionally its connection to parathyroid disorders through the PTH pathway illustrates its broader implication in endocrine pathophysiology. CgA serves as an invaluable diagnostic and prognostic tool in these disease states and supports the development of targeted therapies.

Product protocols

For this product, it's our understanding that no specific protocols are required. You can visit:

Target data

Pancreastatin. Strongly inhibits glucose induced insulin release from the pancreas.. Catestatin. Inhibits catecholamine release from chromaffin cells and noradrenergic neurons by acting as a non-competitive nicotinic cholinergic antagonist (PubMed : 15326220). Displays antibacterial activity against Gram-positive bacteria S.aureus and M.luteus, and Gram-negative bacteria E.coli and P.aeruginosa (PubMed : 15723172, PubMed : 24723458). Can induce mast cell migration, degranulation and production of cytokines and chemokines (PubMed : 21214543). Acts as a potent scavenger of free radicals in vitro (PubMed : 24723458). May play a role in the regulation of cardiac function and blood pressure (PubMed : 18541522).. Serpinin. Regulates granule biogenesis in endocrine cells by up-regulating the transcription of protease nexin 1 (SERPINE2) via a cAMP-PKA-SP1 pathway. This leads to inhibition of granule protein degradation in the Golgi complex which in turn promotes granule formation.
See full target information CHGA

Publications (1)

Recent publications for all applications. Explore the full list and refine your search

Cell death & disease 16:681 PubMed41053117

2025

ALIX mediates reversible gasdermin-D pore formation via the endosomal pathway to limit pyroptosis by active membrane repair.

Applications

Unspecified application

Species

Unspecified reactive species

Sylvia Otchere,Prafulla Shrestha,Himesh N Parmar,Jadyn F Perry,Brittany L Hofmeister,Michelle Steyn,Radhey S Kaushik,Adam D Hoppe,Natalie W Thiex,Ryan L Hanson,Jaime Lopez-Mosqueda,Gergely Imre
View all publications

Product promise

We are committed to supporting your work with high-quality reagents, and we're here for you every step of the way. In the unlikely event that one of our products does not perform as expected, you're protected by our Product Promise.
For full details, please see our Terms & Conditions

Please note: All products are 'FOR RESEARCH USE ONLY. NOT FOR USE IN DIAGNOSTIC OR THERAPEUTIC PROCEDURES'.

For licensing inquiries, please contact partnerships@abcam.com