JavaScript is disabled in your browser. Please enable JavaScript to view this website.
AB275019

Anti-Chromogranin C/SGII antibody [EPR23876-52]

  • BOND RX™ Validated
  • 20ul selling size
  • RabMAb
  • Recombinant
  • What is this?

4

(1 Review)

|

(0 Publication)

Rabbit Recombinant Monoclonal Chromogranin C/SGII antibody. Suitable for IHC-P, ICC/IF, WB, IHC-Fr, Flow Cyt (Intra) and reacts with Mouse, Rat, Human samples.

View Alternative Names

CHGC, SCG2, Secretogranin-2, Chromogranin-C, Secretogranin II, SgII

11 Images
Immunohistochemistry (Formalin/PFA-fixed paraffin-embedded sections) - Anti-Chromogranin C/SGII antibody [EPR23876-52] (AB275019)
  • IHC-P

Unknown

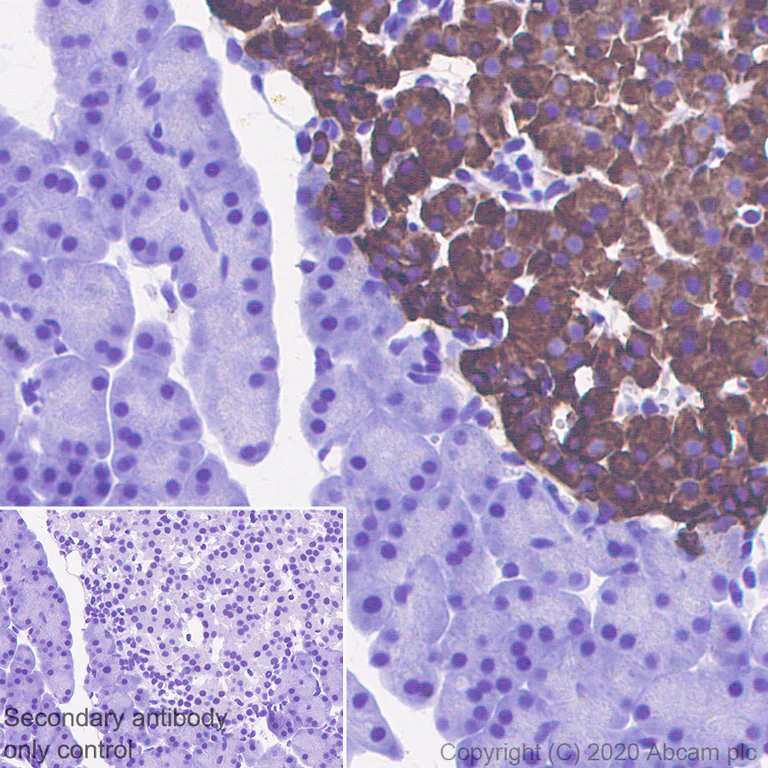
Immunohistochemistry (Formalin/PFA-fixed paraffin-embedded sections) - Anti-Chromogranin C/SGII antibody [EPR23876-52] (AB275019)

Immunohistochemical analysis of paraffin-embedded Human pancreas tissue labeling Chromogranin C/SGII with ab275019 at 1/2000 (0.267 ug/ml) followed by a ready to use Rabbit specific IHC polymer detection kit HRP/DAB (ab209101). Cytoplasmic staining in human pancreatic islet (PMID : 30690892)The section was incubated with ab275019 for 30 mins at room temperature.The immunostaining was performed on a Leica Biosystems BOND® RX instrument Counterstained with Hematoxylin.

Secondary antibody only control : Secondary antibody is a ready to use Rabbit specific IHC polymer detection kit HRP/DAB (ab209101).

Heat mediated antigen retrieval with Tris-EDTA buffer (pH 9.0, epitope retrieval solution2) for 20 mins

Immunocytochemistry/ Immunofluorescence - Anti-Chromogranin C/SGII antibody [EPR23876-52] (AB275019)
  • ICC/IF

Unknown

Immunocytochemistry/ Immunofluorescence - Anti-Chromogranin C/SGII antibody [EPR23876-52] (AB275019)

Immunofluorescent analysis of 100% methanol-fixed PC-12 cells labelling Chromogranin C/SGII with ab275019 at 1/50 (10.68 ug/ml) dilution, followed by ab150077 Goat Anti-Rabbit IgG H&L (Alexa Fluor® 488) antibody at 1/1000 dilution (Green). Confocal image showing cytoplasmic staining in PC-12 cell line. is observed. ab195889 Anti-alpha Tubulin mouse monoclonal antibody - Microtubule Marker (Alexa Fluor® 594) was used to counterstain tubulin at 1/200 dilution (Red). The Nuclear counterstain was DAPI (Blue).

Secondary antibody only control : Secondary antibody is ab150077 Goat Anti-Rabbit IgG H&L (Alexa Fluor® 488) at 1/1000 dilution.

Immunohistochemistry (Formalin/PFA-fixed paraffin-embedded sections) - Anti-Chromogranin C/SGII antibody [EPR23876-52] (AB275019)
  • IHC-P

Unknown

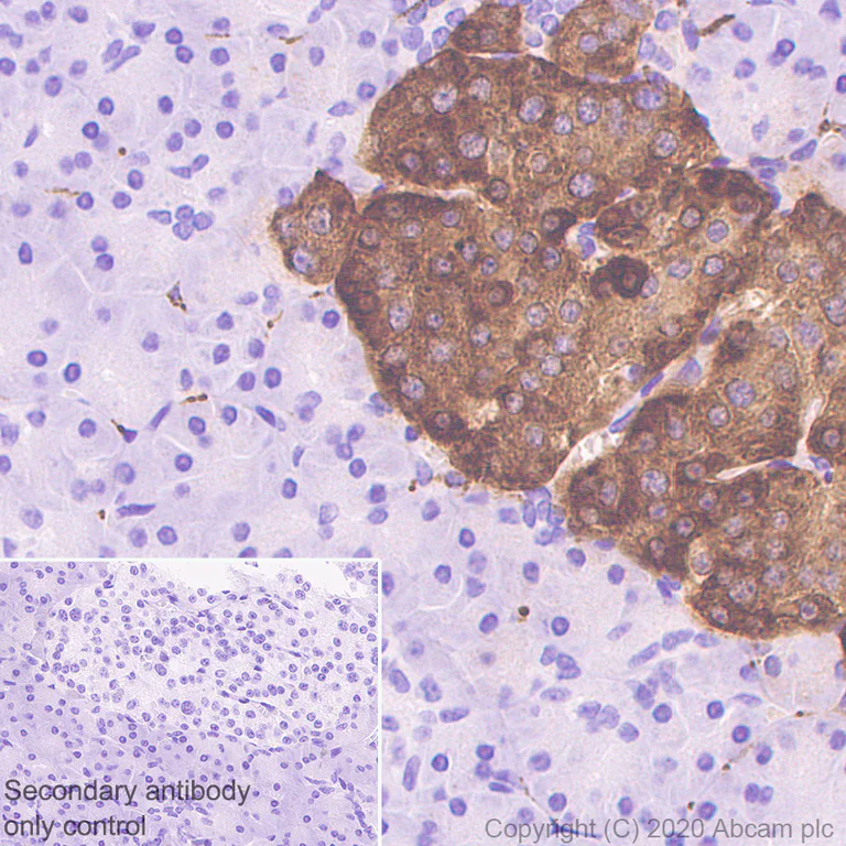
Immunohistochemistry (Formalin/PFA-fixed paraffin-embedded sections) - Anti-Chromogranin C/SGII antibody [EPR23876-52] (AB275019)

Immunohistochemical analysis of paraffin-embedded Mouse pancreas tissue labeling Chromogranin C/SGII with ab275019 at 1/2000 dilution followed by a ready to use Rabbit specific IHC polymer detection kit HRP/DAB (ab209101). Cytoplasmic staining in mouse pancreatic islet (PMID : 30690892). The section was incubated with ab275019 for 10 mins at room temperature. The immunostaining was performed on a Leica Biosystems BOND® RX instrument.Counterstained with Hematoxylin.

Secondary antibody only control : Secondary antibody is a ready to use Rabbit specific IHC polymer detection kit HRP/DAB (ab209101).

Heat mediated antigen retrieval with Citrate buffer (pH 6.0, epitope retrieval solution 1) for 20 mins.

Immunohistochemistry (Frozen sections) - Anti-Chromogranin C/SGII antibody [EPR23876-52] (AB275019)
  • IHC-Fr

Unknown

Immunohistochemistry (Frozen sections) - Anti-Chromogranin C/SGII antibody [EPR23876-52] (AB275019)

Immunohistochemical analysis of 4% PFA-fixed, 0.2% Triton X-100 permeabilized frozen Mouse pancreas tissue labeling Chromogranin C/SGII with ab275019 at 1/500 (1.068 ug/ml) dilution followed by ab150077 Goat Anti-Rabbit IgG H&L (Alexa Fluor® 488) at 1/1000 dilution (Green). Positive staining on mouse pancreatic islet is observed. Insulin was counterstained using ab6995 at 1/1000 dilution, followed by ab150120 Goat Anti-Mouse IgG H&L (Alexa Fluor® 594) at 1/1000 dilution (Red).The nuclear counterstain was DAPI (Blue).

Heat mediated antigen retrieval using sodium citrate buffer (10mM citrate pH 6.0 + 0.05% Tween-20).

Immunohistochemistry (Frozen sections) - Anti-Chromogranin C/SGII antibody [EPR23876-52] (AB275019)
  • IHC-Fr

Unknown

Immunohistochemistry (Frozen sections) - Anti-Chromogranin C/SGII antibody [EPR23876-52] (AB275019)

Immunohistochemical analysis of 4% PFA-fixed, 0.2% Triton X-100 permeabilized frozen Rat pancreas tissue labeling Chromogranin C/SGII with ab275019 at 1/500 (1.068 ug/ml) dilution followed by ab150077 Goat Anti-Rabbit IgG H&L (Alexa Fluor® 488) at 1/1000 dilution (Green). Positive staining on rat pancreatic islet is observed. The nuclear counterstain was DAPI (Blue). Insulin was counterstained using ab6995 at 1/1000 dilution, followed by ab150120 Goat Anti-Mouse IgG H&L (Alexa Fluor® 594) at 1/1000 dilution (Red).

Secondary antibody control : Secondary antibody is ab150077 Goat Anti-Rabbit IgG H&L (Alexa Fluor® 488)at 1/1000 dilution.

Heat mediated antigen retrieval using sodium citrate buffer (10mM citrate pH 6.0 + 0.05% Tween-20).

Flow Cytometry (Intracellular) - Anti-Chromogranin C/SGII antibody [EPR23876-52] (AB275019)
  • Flow Cyt (Intra)

Unknown

Flow Cytometry (Intracellular) - Anti-Chromogranin C/SGII antibody [EPR23876-52] (AB275019)

Intracellular flow cytometric analysis of 4% paraformaldehyde fixed 90% methanol permeabilized Beta-TC-6 (Mouse pancreas insulinoma beta cell) cells labelling Chromogranin C/SGII with ab275019 at 1/500 dilution (0.1ug) (Red) compared with a Rabbit monoclonal IgG (ab172730) isotype control (Black) and an unlabelled control (cells without incubation with primary antibody and secondary antibody) (Blue).

A Goat anti rabbit IgG (Alexa Fluor® 488, ab150077) at 1/2000 dilution was used as the secondary antibody.

Immunocytochemistry/ Immunofluorescence - Anti-Chromogranin C/SGII antibody [EPR23876-52] (AB275019)
  • ICC/IF

Unknown

Immunocytochemistry/ Immunofluorescence - Anti-Chromogranin C/SGII antibody [EPR23876-52] (AB275019)

Immunofluorescent analysis of 4% Paraformaldehyde-fixed, 0.1% Triton X-100 permeabilized Beta-TC-6 cells labelling Chromogranin C/SGII with ab275019 at 1/50 (10.68 ug/ml) dilution, followed by ab150077 Goat Anti-Rabbit IgG H&L (Alexa Fluor® 488) antibody at 1/1000 dilution (Green). Confocal image showing cytoplasmic staining in Beta-TC-6 cell line. ab195889 Anti-alpha Tubulin mouse monoclonal antibody - Microtubule Marker (Alexa Fluor® 594) was used to counterstain tubulin at 1/200 dilution (Red). The Nuclear counterstain was DAPI (Blue).

Secondary antibody only control : Secondary antibody is ab150077 Goat Anti-Rabbit IgG H&L (Alexa Fluor® 488) at 1/1000 dilution.

Flow Cytometry (Intracellular) - Anti-Chromogranin C/SGII antibody [EPR23876-52] (AB275019)
  • Flow Cyt (Intra)

Unknown

Flow Cytometry (Intracellular) - Anti-Chromogranin C/SGII antibody [EPR23876-52] (AB275019)

Intracellular flow cytometric analysis of 4% paraformaldehyde fixed, 90% methanol permeabilized PC-12 (Rat adrenal gland pheochromocytoma) cells labelling Chromogranin C/SGII with ab275019 at 1/500 dilution (0.1ug) (Red) compared with a Rabbit monoclonal IgG (ab172730) isotype control (Black) and an unlabelled control (cells without incubation with primary antibody and secondary antibody) (Blue).

A Goat anti rabbit IgG (Alexa Fluor® 488, ab150077) at 1/2000 dilution was used as the secondary antibody.

Immunohistochemistry (Formalin/PFA-fixed paraffin-embedded sections) - Anti-Chromogranin C/SGII antibody [EPR23876-52] (AB275019)
  • IHC-P

Unknown

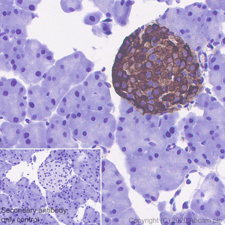
Immunohistochemistry (Formalin/PFA-fixed paraffin-embedded sections) - Anti-Chromogranin C/SGII antibody [EPR23876-52] (AB275019)

Immunohistochemical analysis of paraffin-embedded Rat pancreas tissue labeling Chromogranin C/SGII with ab275019 at 1/2000 dilution followed by a ready to use Rabbit specific IHC polymer detection kit HRP/DAB (ab209101). Cytoplasmic staining in pancreatic islet (PMID : 30690892). The section was incubated with ab275019 for 10 mins at room temperature. The immunostaining was performed on a Leica Biosystems BOND® RX instrument.Counterstained with Hematoxylin.

Secondary antibody only control : Secondary antibody is a ready to use Rabbit specific IHC polymer detection kit HRP/DAB (ab209101).

Heat mediated antigen retrieval with Citrate buffer (pH 6.0, epitope retrieval solution 1) for 20 mins.

Western blot - Anti-Chromogranin C/SGII antibody [EPR23876-52] (AB275019)
  • WB

Unknown

Western blot - Anti-Chromogranin C/SGII antibody [EPR23876-52] (AB275019)

Blocking and dilution buffer : 5% NFDM/TBST.

Exposure times : Lane 1 : 26 seconds; Lane 2 : 48 seconds.

Chromogranin C/SGII is proteolytically processed to small fragments. 81-kDa, 22 to 48 kDa forms are observed. The molecular weight observed is consistent with what has been described in the literature (PMID : 2282535, 8492910, 16357044, 7883050).

All lanes:

Western blot - Anti-Chromogranin C/SGII antibody [EPR23876-52] (ab275019) at 1/1000 dilution

Lane 1:

Mouse hypothalamus tissue lysate at 40 µg

Lane 2:

Rat hypothalamus tissue lysate at 40 µg

Secondary

All lanes:

Goat Anti-Rabbit IgG, (H+L), Peroxidase conjugated (<a href='/en-us/products/secondary-antibodies/goat-rabbit-igg-h-l-hrp-ab97051'>ab97051</a>) at 1/20000 dilution

Predicted band size: 71 kDa

false

Western blot - Anti-Chromogranin C/SGII antibody [EPR23876-52] (AB275019)
  • WB

Unknown

Western blot - Anti-Chromogranin C/SGII antibody [EPR23876-52] (AB275019)

Blocking and dilution buffer : 5% NFDM/TBST.

Exposure times : Lane 1 : 37 seconds; Lane 2 : 15 seconds; Lane3-4 : 5.5 seconds; Lane5 : 1 second.

Chromogranin C/SGII is proteolytically processed to small fragments. 81-kDa, 55-kDa, 22 to 48 kDa forms are observed. The molecular weight observed is consistent with what has been described in the literature (PMID : 2282535, 8492910, 16357044, 7883050).

All lanes:

Western blot - Anti-Chromogranin C/SGII antibody [EPR23876-52] (ab275019) at 1/1000 dilution

Lane 1:

SH-SY5Y (human neuroblastoma epithelial cell) whole cell lysate at 40 µg

Lane 2:

Neuro-2a (mouse neuroblastoma neuroblast) whole cell lysate at 40 µg

Lane 3:

Beta-TC-6 (mouse pancreas insulinoma beta cell) whole cell lysate at 40 µg

Lane 4:

GH3 (rat pituitary epithelial) whole cell lysate at 40 µg

Lane 5:

PC-12 (rat adrenal gland pheochromocytoma) whole cell lysate at 40 µg

Secondary

All lanes:

Goat Anti-Rabbit IgG, (H+L), Peroxidase conjugated (<a href='/en-us/products/secondary-antibodies/goat-rabbit-igg-h-l-hrp-ab97051'>ab97051</a>) at 1/20000 dilution

Predicted band size: 71 kDa

false

  • Carrier free

    Anti-Chromogranin C/SGII antibody [EPR23876-52] - BSA and Azide free

Key facts

Host species

Rabbit

Clonality

Monoclonal

Clone number

EPR23876-52

Isotype

IgG

Carrier free

No

Reacts with

Mouse, Rat, Human

Applications

WB, ICC/IF, Flow Cyt (Intra), IHC-P, IHC-Fr

applications

Immunogen

The exact immunogen used to generate this antibody is proprietary information.

Reactivity data

{ "title": "Reactivity Data", "filters": { "stats": ["", "Species", "Dilution Info", "Notes"], "tabs": { "all-applications": {"fullname" : "All Applications", "shortname": "All Applications"}, "IHCP" : {"fullname" : "Immunohistochemistry (Formalin/PFA-fixed paraffin-embedded sections)", "shortname":"IHC-P"}, "ICCIF" : {"fullname" : "Immunocytochemistry/ Immunofluorescence", "shortname":"ICC/IF"}, "IP" : {"fullname" : "Immunoprecipitation", "shortname":"IP"}, "WB" : {"fullname" : "Western blot", "shortname":"WB"}, "IHCFr" : {"fullname" : "Immunohistochemistry (Frozen sections)", "shortname":"IHC-Fr"}, "FlowCytIntra" : {"fullname" : "Flow Cytometry (Intracellular)", "shortname":"Flow Cyt (Intra)"} }, "product-promise": { "all": "all", "testedAndGuaranteed": "tested", "guaranteed": "expected", "predicted": "predicted", "notRecommended": "not-recommended" } }, "values": { "Human": { "IHCP-species-checked": "testedAndGuaranteed", "IHCP-species-dilution-info": "1/2000", "IHCP-species-notes": "<p></p>", "ICCIF-species-checked": "guaranteed", "ICCIF-species-dilution-info": "", "ICCIF-species-notes": "", "IP-species-checked": "notRecommended", "IP-species-dilution-info": "", "IP-species-notes": "<p></p>", "WB-species-checked": "testedAndGuaranteed", "WB-species-dilution-info": "1/1000", "WB-species-notes": "<p></p>", "IHCFr-species-checked": "guaranteed", "IHCFr-species-dilution-info": "", "IHCFr-species-notes": "", "FlowCytIntra-species-checked": "guaranteed", "FlowCytIntra-species-dilution-info": "", "FlowCytIntra-species-notes": "" }, "Mouse": { "IHCP-species-checked": "testedAndGuaranteed", "IHCP-species-dilution-info": "1/2000", "IHCP-species-notes": "<p></p>", "ICCIF-species-checked": "testedAndGuaranteed", "ICCIF-species-dilution-info": "1/50", "ICCIF-species-notes": "<p></p>", "IP-species-checked": "notRecommended", "IP-species-dilution-info": "", "IP-species-notes": "<p></p>", "WB-species-checked": "testedAndGuaranteed", "WB-species-dilution-info": "1/1000", "WB-species-notes": "<p></p>", "IHCFr-species-checked": "testedAndGuaranteed", "IHCFr-species-dilution-info": "1/500", "IHCFr-species-notes": "<p>Heat mediated antigen retrieval using sodium citrate buffer (10mM citrate pH 6.0 + 0.05% Tween-20).</p>", "FlowCytIntra-species-checked": "testedAndGuaranteed", "FlowCytIntra-species-dilution-info": "1/500", "FlowCytIntra-species-notes": "<p></p>" }, "Rat": { "IHCP-species-checked": "testedAndGuaranteed", "IHCP-species-dilution-info": "1/2000", "IHCP-species-notes": "<p></p>", "ICCIF-species-checked": "testedAndGuaranteed", "ICCIF-species-dilution-info": "1/50", "ICCIF-species-notes": "<p></p>", "IP-species-checked": "notRecommended", "IP-species-dilution-info": "", "IP-species-notes": "<p></p>", "WB-species-checked": "testedAndGuaranteed", "WB-species-dilution-info": "1/1000", "WB-species-notes": "<p></p>", "IHCFr-species-checked": "testedAndGuaranteed", "IHCFr-species-dilution-info": "1/500", "IHCFr-species-notes": "<p>Heat mediated antigen retrieval using sodium citrate buffer (10mM citrate pH 6.0 + 0.05% Tween-20).</p>", "FlowCytIntra-species-checked": "testedAndGuaranteed", "FlowCytIntra-species-dilution-info": "1/500", "FlowCytIntra-species-notes": "<p></p>" } } }

Product details

Patented technology
Our RabMAb® technology is a patented hybridoma-based technology for making rabbit monoclonal antibodies. For details on our patents, please refer to RabMAb® patents.

What are the advantages of a recombinant monoclonal antibody?
This product is a recombinant monoclonal antibody, which offers several advantages including:

  • - High batch-to-batch consistency and reproducibility
  • - Improved sensitivity and specificity
  • - Long-term security of supply
  • - Animal-free batch production

For more information, read more on recombinant antibodies.

Properties and storage information

Form
Liquid
Purification technique
Affinity purification Protein A
Storage buffer
Preservative: 0.01% Sodium azide Constituents: PBS, 40% Glycerol (glycerin, glycerine), 0.05% BSA
Shipped at conditions
Blue Ice
Appropriate short-term storage duration
1-2 weeks
Appropriate short-term storage conditions
+4°C
Appropriate long-term storage conditions
-20°C
Aliquoting information
Upon delivery aliquot
Storage information
Avoid freeze / thaw cycle

Supplementary information

This supplementary information is collated from multiple sources and compiled automatically.

Chromogranin C also known as secretogranin II (SGII) is a member of the granin family and weighs approximately 68 kDa. This protein is mainly located within the dense core secretory granules of endocrine and neuronal cells. It plays a mechanical role in the storage and release of peptide hormones and neurotransmitters. Chromogranin C is found in various regions of the brain adrenal medulla and in the pituitary gland reflecting its involvement in the neuroendocrine system.
Biological function summary

This protein functions in the regulation of peptide hormone secretion and is part of a complex with other granin proteins such as Chromogranin A. It modulates the granule's environment by affecting the pH and ionic composition which influences the storage and release of hormones and neurotransmitters. Chromogranin C participates in the production of biologically active peptides after proteolytic processing playing roles in the modulation of endocrine and neuronal activities.

Pathways

Chromogranin C connects to the neuroendocrine signaling pathways and regulated secretory pathway. Within these pathways it interacts with other proteins such as the prohormone convertases and furin which handle peptide precursors' cleavage into active hormones and neurotransmitters. This procession is important for maintaining cellular communication and response mechanisms linking Chromogranin C to cellular signaling and biochemical processes that control physiological homeostasis and stress responses.

Chromogranin C correlates with neurodegenerative diseases like Alzheimer's disease and psychiatric disorders such as depression. These connections arise through its relationship with amyloid precursor protein in Alzheimer's and alterations in serotonergic systems in depression. The expression levels and processing of Chromogranin C may serve as a biomarker for these diseases highlighting its potential role in the pathogenesis and progression of neuro-psychiatric conditions.

Product protocols

For this product, it's our understanding that no specific protocols are required. You can visit:

Target data

Neuroendocrine protein of the granin family that regulates the biogenesis of secretory granules.
See full target information SCG2

Product promise

We are committed to supporting your work with high-quality reagents, and we're here for you every step of the way. In the unlikely event that one of our products does not perform as expected, you're protected by our Product Promise.
For full details, please see our Terms & Conditions

Please note: All products are 'FOR RESEARCH USE ONLY. NOT FOR USE IN DIAGNOSTIC OR THERAPEUTIC PROCEDURES'.

For licensing inquiries, please contact partnerships@abcam.com