JavaScript is disabled in your browser. Please enable JavaScript to view this website.
AB229223

Anti-CHST15 antibody

Be the first to review this product! Submit a review

|

(1 Publication)

Rabbit Polyclonal CHST15 antibody. Suitable for WB, IHC-P and reacts with Human samples. Cited in 1 publication. Immunogen corresponding to Recombinant Fragment Protein within Human CHST15.

View Alternative Names

BRAG, GALNAC4S6ST, KIAA0598, CHST15, Carbohydrate sulfotransferase 15, B-cell RAG-associated gene protein, N-acetylgalactosamine 4-sulfate 6-O-sulfotransferase, hBRAG, GalNAc4S-6ST

2 Images
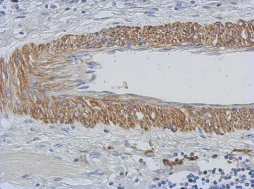
Immunohistochemistry (Formalin/PFA-fixed paraffin-embedded sections) - Anti-CHST15 antibody (AB229223)
  • IHC-P

Supplier Data

Immunohistochemistry (Formalin/PFA-fixed paraffin-embedded sections) - Anti-CHST15 antibody (AB229223)

Paraffin-embedded human gastric cancer tissue stained for CHST15 using ab229223 at 1/500 dilution in immunohistochemical analysis.

Western blot - Anti-CHST15 antibody (AB229223)
  • WB

Supplier Data

Western blot - Anti-CHST15 antibody (AB229223)

7.5% SDS-PAGE gel.

All lanes:

Western blot - Anti-CHST15 antibody (ab229223) at 1/500 dilution

All lanes:

Raji (human Burkitt's lymphoma cell line) whole cell lysate at 30 µg

Predicted band size: 65 kDa

false

Key facts

Host species

Rabbit

Clonality

Polyclonal

Isotype

IgG

Carrier free

No

Reacts with

Human

Applications

WB, IHC-P

applications

Immunogen

Recombinant Fragment Protein within Human CHST15. The exact immunogen used to generate this antibody is proprietary information.

Q7LFX5

Reactivity data

{ "title": "Reactivity Data", "filters": { "stats": ["", "Species", "Dilution Info", "Notes"], "tabs": { "all-applications": {"fullname" : "All Applications", "shortname": "All Applications"}, "WB" : {"fullname" : "Western blot", "shortname":"WB"}, "IHCP" : {"fullname" : "Immunohistochemistry (Formalin/PFA-fixed paraffin-embedded sections)", "shortname":"IHC-P"} }, "product-promise": { "all": "all", "testedAndGuaranteed": "tested", "guaranteed": "expected", "predicted": "predicted", "notRecommended": "not-recommended" } }, "values": { "Human": { "WB-species-checked": "testedAndGuaranteed", "WB-species-dilution-info": "1/500 - 1/3000", "WB-species-notes": "<p></p>", "IHCP-species-checked": "testedAndGuaranteed", "IHCP-species-dilution-info": "1/100 - 1/1000", "IHCP-species-notes": "<p></p>" }, "Mouse": { "WB-species-checked": "predicted", "WB-species-dilution-info": "", "WB-species-notes": "", "IHCP-species-checked": "predicted", "IHCP-species-dilution-info": "", "IHCP-species-notes": "" }, "Rat": { "WB-species-checked": "predicted", "WB-species-dilution-info": "", "WB-species-notes": "", "IHCP-species-checked": "predicted", "IHCP-species-dilution-info": "", "IHCP-species-notes": "" } } }

Properties and storage information

Form
Liquid
Purification technique
Affinity purification Immunogen
Storage buffer
pH: 7 Preservative: 0.01% Thimerosal (merthiolate) Constituents: 20% Glycerol (glycerin, glycerine), 1.21% Tris, 0.75% Glycine
Shipped at conditions
Blue Ice
Appropriate short-term storage duration
1-2 weeks
Appropriate short-term storage conditions
+4°C
Appropriate long-term storage conditions
-20°C
Aliquoting information
Upon delivery aliquot
Storage information
Avoid freeze / thaw cycle

Product protocols

For this product, it's our understanding that no specific protocols are required. You can visit:

Target data

Sulfotransferase that transfers sulfate from 3'-phosphoadenosine 5'-phosphosulfate (PAPS) to the C-6 hydroxyl group of the GalNAc 4-sulfate residue of chondroitin sulfate A and forms chondroitin sulfate E containing GlcA-GalNAc(4,6-SO(4)) repeating units. It also transfers sulfate to a unique non-reducing terminal sequence, GalNAc(4SO4)-GlcA(2SO4)-GalNAc(6SO4), to yield a highly sulfated structure similar to the structure found in thrombomodulin chondroitin sulfate. May also act as a B-cell receptor involved in BCR ligation-mediated early activation that mediate regulatory signals key to B-cell development and/or regulation of B-cell-specific RAG expression; however such results are unclear in vivo.
See full target information CHST15

Publications (1)

Recent publications for all applications. Explore the full list and refine your search

Cell death & disease 14:52 PubMed36681682

2023

Wdr4 promotes cerebellar development and locomotion through Arhgap17-mediated Rac1 activation.

Applications

Unspecified application

Species

Unspecified reactive species

Pei-Rung Wu,Shang-Yin Chiang,Robert Midence,Wen-Chao Kao,Chun-Lun Lai,I-Cheng Cheng,Shen-Ju Chou,Chih-Cheng Chen,Chih-Yang Huang,Ruey-Hwa Chen
View all publications

Product promise

We are committed to supporting your work with high-quality reagents, and we're here for you every step of the way. In the unlikely event that one of our products does not perform as expected, you're protected by our Product Promise.
For full details, please see our Terms & Conditions

Please note: All products are 'FOR RESEARCH USE ONLY. NOT FOR USE IN DIAGNOSTIC OR THERAPEUTIC PROCEDURES'.

For licensing inquiries, please contact partnerships@abcam.com