JavaScript is disabled in your browser. Please enable JavaScript to view this website.
AB108361

Anti-cIAP1 antibody [EPR4673]

Be the first to review this product! Submit a review

|

(30 Publications)

Rabbit Recombinant Monoclonal cIAP1 antibody. Suitable for IHC-P, WB and reacts with Human samples. Cited in 30 publications.

View Alternative Names

API1, MIHB, RNF48, BIRC2, Baculoviral IAP repeat-containing protein 2, Cellular inhibitor of apoptosis 1, IAP homolog B, Inhibitor of apoptosis protein 2, RING finger protein 48, RING-type E3 ubiquitin transferase BIRC2, TNFR2-TRAF-signaling complex protein 2, C-IAP1, hIAP-2, hIAP2

6 Images
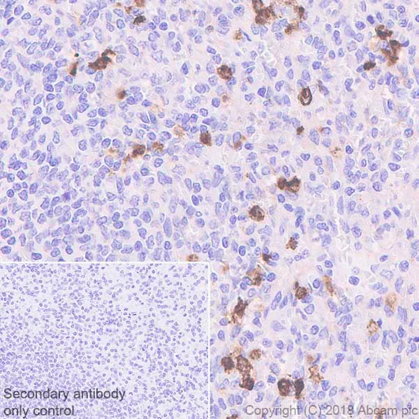
Immunohistochemistry (Formalin/PFA-fixed paraffin-embedded sections) - Anti-cIAP1 antibody [EPR4673] (AB108361)
  • IHC-P

Unknown

Immunohistochemistry (Formalin/PFA-fixed paraffin-embedded sections) - Anti-cIAP1 antibody [EPR4673] (AB108361)

ab108361, at 1/50, staining cIAP1 in paraffin-embedded Human spleen tissue by Immunohistochemistry.

Perform heat mediated antigen retrieval with citrate buffer pH 6 before commencing with IHC staining protocol.

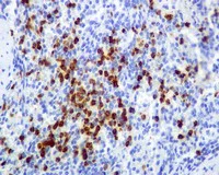
Immunohistochemistry (Formalin/PFA-fixed paraffin-embedded sections) - Anti-cIAP1 antibody [EPR4673] (AB108361)
  • IHC-P

Unknown

Immunohistochemistry (Formalin/PFA-fixed paraffin-embedded sections) - Anti-cIAP1 antibody [EPR4673] (AB108361)

Immunohistochemistry (Formalin/PFA-fixed paraffin-embedded sections) analysis of Human spleen tissue sections labeling cIAP1 with Purified ab108361 at 1 : 500 dilution (2.82 µg/ml). Heat mediated antigen retrieval was performed using ab93684 (Tris/EDTA buffer, pH 9.0). ImmunoHistoProbe one step HRP Polymer (ready to use)was used. Negative control : PBS instead of the primary antibody. Hematoxylin was used as a counterstain.

Western blot - Anti-cIAP1 antibody [EPR4673] (AB108361)
  • WB

Lab

Western blot - Anti-cIAP1 antibody [EPR4673] (AB108361)

Lanes 1- 2 : Merged signal (red and green). Green - ab108361 observed at 70 kDa. Red - Anti-GAPDH antibody [6C5] - Loading Control (ab8245) observed at 37 kDa.

ab108361 was shown to react with cIAP1 in wild-type HeLa cells in western blot. Loss of signal was observed when knockout cell line ab265896 (knockout cell lysate ab257372) was used. Wild-type HeLa and BIRC2 knockout HeLa cell lysates were subjected to SDS-PAGE. Membrane was blocked for 1 hour at room temperature in 0.1% TBST with 3% non-fat dried milk. ab108361 and Anti-GAPDH antibody [6C5] - Loading Control (ab8245) were incubated overnight at 4°C at a 1 in 1000 dilution and a 1 in 20000 dilution respectively. Blots were developed with Goat anti-Rabbit IgG H&L (IRDye®800CW) preadsorbed (ab216773) and Goat anti-Mouse IgG H&L (IRDye®680RD) preadsorbed (ab216776) secondary antibodies at 1 in 20000 dilution for 1 hour at room temperature before imaging.

All lanes:

Western blot - Anti-cIAP1 antibody [EPR4673] (ab108361) at 1/1000 dilution

Lane 1:

Wild-type HeLa cell lysate at 20 µg

Lane 2:

BIRC2 knockout HeLa cell lysate at 20 µg

Lane 2:

Western blot - Human BIRC2 (cIAP1) knockout HeLa cell line (<a href='/en-us/products/cell-lines/human-birc2-ciap1-knockout-hela-cell-line-ab265896'>ab265896</a>)

Predicted band size: 70 kDa

Observed band size: 70 kDa

false

Western blot - Anti-cIAP1 antibody [EPR4673] (AB108361)
  • WB

Lab

Western blot - Anti-cIAP1 antibody [EPR4673] (AB108361)

Lane 1 : Wild-type HAP1 cell lysate (20 μg)
Lane 2 : cIAP1 knockout HAP1 cell lysate (20 μg)
Lane 3 : HeLa cell lysate (20 μg)
Lane 4 : Jurkat cell lysate (20 μg)
Lanes 1 - 4 : Merged signal (red and green). Green - ab108361 observed at 70 kDa. Red - loading control, ab8245, observed at 37 kDa.

ab108361 was shown to specifically react with cIAP1 when cIAP1 knockout samples were used. Wild-type and cIAP1 knockout samples were subjected to SDS-PAGE. ab108361 and ab8245 (loading control to GAPDH) were diluted at 1/1000 and 1/10,000 dilution respectively and incubated overnight at 4C. Blots were developed withGoat anti-Rabbit IgG H&L (IRDye® 800CW) preadsorbed (ab216773) and Goat anti-Mouse IgG H&L (IRDye® 680RD) preadsorbed (ab216776) secondary antibodies at 1/10,000 dilution for 1 hour at room temperature before imaging.

All lanes:

Western blot - Anti-cIAP1 antibody [EPR4673] (ab108361)

Predicted band size: 70 kDa

false

Western blot - Anti-cIAP1 antibody [EPR4673] (AB108361)
  • WB

Unknown

Western blot - Anti-cIAP1 antibody [EPR4673] (AB108361)

All lanes:

Western blot - Anti-cIAP1 antibody [EPR4673] (ab108361) at 1/2000 dilution

All lanes:

HepG2 (Human hepatocellular carcinoma epithelial cell) whole cell lysates at 1/15 dilution

Secondary

All lanes:

Western blot - Goat Anti-Rabbit IgG H&L (HRP) (<a href='/en-us/products/secondary-antibodies/goat-rabbit-igg-h-l-hrp-ab97051'>ab97051</a>) at 1/200000 dilution

Predicted band size: 70 kDa

false

Western blot - Anti-cIAP1 antibody [EPR4673] (AB108361)
  • WB

Unknown

Western blot - Anti-cIAP1 antibody [EPR4673] (AB108361)

All lanes:

Western blot - Anti-cIAP1 antibody [EPR4673] (ab108361) at 1/1000 dilution

Lane 1:

Jurkat cell lysate at 10 µg

Lane 2:

HeLa cell lysate at 10 µg

Lane 3:

HT29 cell lysate at 10 µg

Lane 4:

HepG2 cell lysate at 10 µg

Predicted band size: 70 kDa

Observed band size: 70 kDa

false

  • HRP

    HRP Anti-cIAP1 antibody [EPR4673]

  • Carrier free

    Anti-cIAP1 antibody [EPR4673] - BSA and Azide free

Key facts

Host species

Rabbit

Clonality

Monoclonal

Clone number

EPR4673

Isotype

IgG

Carrier free

No

Reacts with

Human

Applications

IHC-P, WB

applications

Immunogen

The exact immunogen used to generate this antibody is proprietary information.

Reactivity data

{ "title": "Reactivity Data", "filters": { "stats": ["", "Species", "Dilution Info", "Notes"], "tabs": { "all-applications": {"fullname" : "All Applications", "shortname": "All Applications"}, "IHCP" : {"fullname" : "Immunohistochemistry (Formalin/PFA-fixed paraffin-embedded sections)", "shortname":"IHC-P"}, "IP" : {"fullname" : "Immunoprecipitation", "shortname":"IP"}, "FlowCyt" : {"fullname" : "Flow Cytometry", "shortname":"Flow Cyt"}, "WB" : {"fullname" : "Western blot", "shortname":"WB"}, "ICCIF" : {"fullname" : "Immunocytochemistry/ Immunofluorescence", "shortname":"ICC/IF"} }, "product-promise": { "all": "all", "testedAndGuaranteed": "tested", "guaranteed": "expected", "predicted": "predicted", "notRecommended": "not-recommended" } }, "values": { "Human": { "IHCP-species-checked": "testedAndGuaranteed", "IHCP-species-dilution-info": "1/500", "IHCP-species-notes": "<p>For purification use at 1/50 - 1/100</p> Perform heat-mediated antigen retrieval with citrate buffer pH 6 before commencing with IHC staining protocol.", "IP-species-checked": "notRecommended", "IP-species-dilution-info": "", "IP-species-notes": "<p></p>", "FlowCyt-species-checked": "notRecommended", "FlowCyt-species-dilution-info": "", "FlowCyt-species-notes": "<p></p>", "WB-species-checked": "testedAndGuaranteed", "WB-species-dilution-info": "1/1000 - 1/10000", "WB-species-notes": "<p></p>", "ICCIF-species-checked": "notRecommended", "ICCIF-species-dilution-info": "", "ICCIF-species-notes": "<p></p>" } } }

Product details

Species reactivity
Mouse, Rat: We have preliminary internal testing data to indicate this antibody may not react with these species.
Please contact us for more information.

Patented technology
Our RabMAb® technology is a patented hybridoma-based technology for making rabbit monoclonal antibodies. For details on our patents, please refer to RabMAb® patents.

What are the advantages of a recombinant monoclonal antibody?
This product is a recombinant monoclonal antibody, which offers several advantages including:

  • - High batch-to-batch consistency and reproducibility
  • - Improved sensitivity and specificity
  • - Long-term security of supply
  • - Animal-free batch production

For more information, read more on recombinant antibodies.

Properties and storage information

Form
Liquid
Purification technique
Affinity purification Protein A
Storage buffer
pH: 7.2 - 7.4 Preservative: 0.01% Sodium azide Constituents: PBS, 40% Glycerol (glycerin, glycerine), 0.05% BSA
Shipped at conditions
Blue Ice
Appropriate short-term storage conditions
+4°C
Appropriate long-term storage conditions
-20°C
Storage information
Stable for 12 months at -20°C

Supplementary information

This supplementary information is collated from multiple sources and compiled automatically.

The cellular inhibitor of apoptosis protein 1 (cIAP1) also referred to as BIRC2 is a protein with a molecular mass of approximately 70 kDa. cIAP1 belongs to the inhibitor of apoptosis (IAP) family and contains several distinct domains important for its function including three Baculoviral IAP Repeat (BIR) domains a ubiquitin-associated (UBA) domain and a really interesting new gene (RING) domain. This protein is expressed in various tissues but predominantly in cells engaged in apoptosis regulation such as immune cells.
Biological function summary

CIAP1 plays an important role in regulating apoptosis by inhibiting the activity of certain caspases including caspase-3 and caspase-7. It is often part of larger protein complexes that include other members of the IAP family such as cIAP2. By binding directly to tumor necrosis factor receptor-associated factors (TRAFs) cIAP1 helps modulate signaling pathways that determine cell survival or death contributing to cellular homeostasis.

Pathways

CIAP1 is intricately involved in the NF-κB signaling pathway and the TNF receptor signaling pathway. Its interaction with TRAFs links it to these critical pathways helping to control inflammatory and immune responses. Other proteins related to cIAP1 through these pathways include RIP1 and TRAF2 both important for transmitting signals that affect cell fate decisions.

CIAP1 has significant implications in cancer and autoimmune disorders. In many cancers overexpression of cIAP1 contributes to uncontrolled cell proliferation by preventing apoptosis therefore aiding tumor survival and progression. Moreover its dysregulation is linked to disorders such as rheumatoid arthritis where improper cell death regulation leads to tissue damage. cIAP1 interacts with and regulates the activity of the protein XIAP in contributing to these diseases making it a potential target for therapeutic interventions.

Product protocols

For this product, it's our understanding that no specific protocols are required. You can visit:

Target data

Multi-functional protein which regulates not only caspases and apoptosis, but also modulates inflammatory signaling and immunity, mitogenic kinase signaling, and cell proliferation, as well as cell invasion and metastasis. Acts as an E3 ubiquitin-protein ligase regulating NF-kappa-B signaling and regulates both canonical and non-canonical NF-kappa-B signaling by acting in opposite directions : acts as a positive regulator of the canonical pathway and suppresses constitutive activation of non-canonical NF-kappa-B signaling. The target proteins for its E3 ubiquitin-protein ligase activity include : RIPK1, RIPK2, RIPK3, RIPK4, CASP3, CASP7, CASP8, TRAF2, DIABLO/SMAC, MAP3K14/NIK, MAP3K5/ASK1, IKBKG/NEMO, IKBKE and MXD1/MAD1. Can also function as an E3 ubiquitin-protein ligase of the NEDD8 conjugation pathway, targeting effector caspases for neddylation and inactivation. Acts as an important regulator of innate immune signaling via regulation of Toll-like receptors (TLRs), Nodlike receptors (NLRs) and RIG-I like receptors (RLRs), collectively referred to as pattern recognition receptors (PRRs). Protects cells from spontaneous formation of the ripoptosome, a large multi-protein complex that has the capability to kill cancer cells in a caspase-dependent and caspase-independent manner. Suppresses ripoptosome formation by ubiquitinating RIPK1 and CASP8. Can stimulate the transcriptional activity of E2F1. Plays a role in the modulation of the cell cycle.
See full target information BIRC2

Publications (30)

Recent publications for all applications. Explore the full list and refine your search

iScience 27:111470 PubMed39758987

2025

Bivalent SMAC mimetic APG-1387 reduces HIV reservoirs and limits viral rebound in humanized mice.

Applications

Unspecified application

Species

Unspecified reactive species

Jaspreet Jain,Tram N Q Pham,Sharmin Begum,Maria Carmen Romero-Medina,Nicolas Bellini,Yuanyi Li,Frédéric Dallaire,Kathie Béland,Natasha Patey,Jean V Guimond,Élie Haddad,Yifan Zhai,Éric A Cohen

The Journal of cell biology 223: PubMed38319288

2024

TNF and IFNγ-induced cell death requires IRF1 and ELAVL1 to promote CASP8 expression.

Applications

Unspecified application

Species

Unspecified reactive species

Buhao Deng,Jingyi Wang,Tingyun Yang,Zhao Deng,Jiafan Yuan,Bohan Zhang,Zhen Zhou,Fang Chen,Lu Fang,Chengzhi Liang,Bo Yan,Youwei Ai

American journal of cancer research 13:3517-3530 PubMed37693159

2023

DNMT3A governs tyrosine kinase inhibitors responses through IAPs and in a cell senescence-dependent manner in non-small cell lung cancer.

Applications

Unspecified application

Species

Unspecified reactive species

Qin-Fang Deng,Chao Li,Jing Liu,Xian-Xiu Ji,Xiao-Ying Wan,Chun-Yan Wang,Hui Sun,Qi-Yu Fang,Wei-Qin Gu,Chao Ma,Hui-Yong Wang,Cai-Cun Zhou,Yi-Xue Li,Bo-Xiong Xie,Song-Wen Zhou

Nature structural & molecular biology 30:1265-1274 PubMed37524969

2023

Molecular basis for nuclear accumulation and targeting of the inhibitor of apoptosis BIRC2.

Applications

Unspecified application

Species

Unspecified reactive species

Adam H Tencer,Yucong Yu,Sebastien Z Causse,Grant R Campbell,Brianna J Klein,Hongwen Xuan,Jessy Cartier,Mark A Miles,Nitika Gaurav,Aymeric Zadoroznyj,Tina A Holt,Hong Wen,Christine J Hawkins,Stephen A Spector,Laurence Dubrez,Xiaobing Shi,Tatiana G Kutateladze

Cancer cell international 23:57 PubMed37005661

2023

Aberrant accumulation of NIK promotes tumor growth by dysregulating translation and post-translational modifications in breast cancer.

Applications

Unspecified application

Species

Unspecified reactive species

Yusuke Hayashi,Jun Nakayama,Mizuki Yamamoto,Masashi Maekawa,Shinya Watanabe,Shigeki Higashiyama,Jun-Ichiro Inoue,Yusuke Yamamoto,Kentaro Semba

Frontiers in oncology 12:963928 PubMed36016611

2022

BI 2536 induces gasdermin E-dependent pyroptosis in ovarian cancer.

Applications

Unspecified application

Species

Unspecified reactive species

Jianting Huo,Yuhong Shen,Yuchen Zhang,Lifei Shen

iScience 25:103649 PubMed35024584

2022

Crotonylation sensitizes IAPi-induced disruption of latent HIV by enhancing p100 cleavage into p52.

Applications

Unspecified application

Species

Unspecified reactive species

Dajiang Li,Morgan G Dewey,Li Wang,Shane D Falcinelli,Lilly M Wong,Yuyang Tang,Edward P Browne,Xian Chen,Nancie M Archin,David M Margolis,Guochun Jiang

Cancer immunology research 10:87-107 PubMed34782346

2021

BET Inhibition Enhances TNF-Mediated Antitumor Immunity.

Applications

Unspecified application

Species

Unspecified reactive species

Lisa C Wellinger,Simon J Hogg,Dane M Newman,Thomas Friess,Daniela Geiss,Jessica Michie,Kelly M Ramsbottom,Marina Bacac,Tanja Fauti,Daniel Marbach,Laura Jarassier,Phillip Thienger,Axel Paehler,Leonie A Cluse,Conor J Kearney,Stephin J Vervoort,Joseph A Trapani,Jane Oliaro,Jake Shortt,Astrid Ruefli-Brasse,Daniel Rohle,Ricky W Johnstone

Frontiers in pharmacology 12:560903 PubMed33841136

2021

Alternol Sensitizes Renal Carcinoma Cells to TRAIL-Induced Apoptosis.

Applications

Unspecified application

Species

Unspecified reactive species

Yu Ren,Xue Wang,Shuaishuai Huang,Yangkai Xu,Guobin Weng,Rui Yu

Journal of cellular and molecular medicine 25:1759-1770 PubMed33452764

2021

Exploring the five different genes associated with PKCα in bladder cancer based on gene expression microarray.

Applications

Unspecified application

Species

Unspecified reactive species

Xiaotong Zhang,Jiarun Zhang,Hao Zhang,Yang Liu,Lei Yin,Xi Liu,Xuejie Li,Xiuyue Yu,Jinlong Yao,Zhe Zhang,Chuize Kong
View all publications

Product promise

We are committed to supporting your work with high-quality reagents, and we're here for you every step of the way. In the unlikely event that one of our products does not perform as expected, you're protected by our Product Promise.
For full details, please see our Terms & Conditions

Please note: All products are 'FOR RESEARCH USE ONLY. NOT FOR USE IN DIAGNOSTIC OR THERAPEUTIC PROCEDURES'.

For licensing inquiries, please contact partnerships@abcam.com