JavaScript is disabled in your browser. Please enable JavaScript to view this website.
AB226031

Anti-cIAP1 antibody [EPR4673] - BSA and Azide free

Be the first to review this product! Submit a review

|

(2 Publications)

Rabbit Recombinant Monoclonal cIAP1 antibody. Carrier free. Suitable for IHC-P, WB and reacts with Human samples. Cited in 2 publications.

View Alternative Names

API1, MIHB, RNF48, BIRC2, Baculoviral IAP repeat-containing protein 2, Cellular inhibitor of apoptosis 1, IAP homolog B, Inhibitor of apoptosis protein 2, RING finger protein 48, RING-type E3 ubiquitin transferase BIRC2, TNFR2-TRAF-signaling complex protein 2, C-IAP1, hIAP-2, hIAP2

4 Images
Immunohistochemistry (Formalin/PFA-fixed paraffin-embedded sections) - Anti-cIAP1 antibody [EPR4673] - BSA and Azide free (AB226031)
  • IHC-P

Unknown

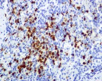
Immunohistochemistry (Formalin/PFA-fixed paraffin-embedded sections) - Anti-cIAP1 antibody [EPR4673] - BSA and Azide free (AB226031)

Immunohistochemistry (Formalin/PFA-fixed paraffin-embedded sections) analysis of Human spleen tissue sections labeling cIAP1 with Purified ab108361 at 1 : 500 dilution (2.82 �g/ml). Heat mediated antigen retrieval was performed using ab93684 (Tris/EDTA buffer, pH 9.0). ImmunoHistoProbe one step HRP Polymer (ready to use)was used. Negative control : PBS instead of the primary antibody. Hematoxylin was used as a counterstain.This data was developed using the same antibody clone in a different buffer formulation containing PBS, BSA, glycerol, and sodium azide (ab108361).

Immunohistochemistry (Formalin/PFA-fixed paraffin-embedded sections) - Anti-cIAP1 antibody [EPR4673] - BSA and Azide free (AB226031)
  • IHC-P

Unknown

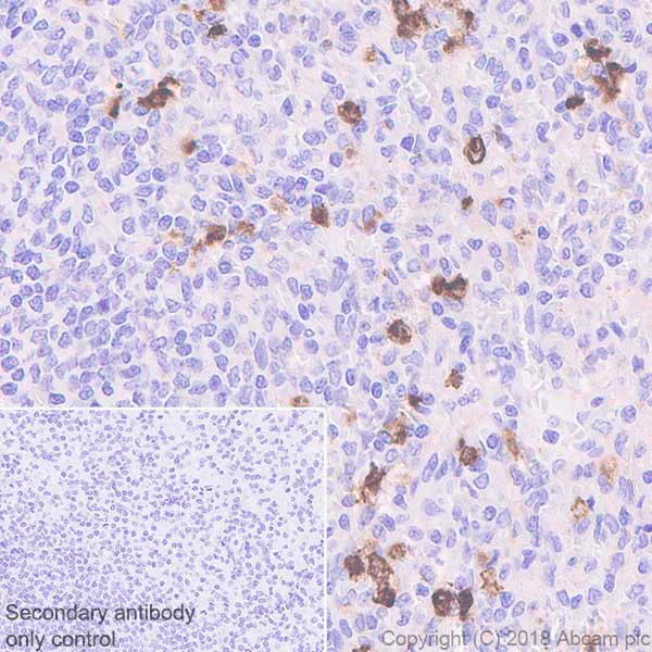
Immunohistochemistry (Formalin/PFA-fixed paraffin-embedded sections) - Anti-cIAP1 antibody [EPR4673] - BSA and Azide free (AB226031)

This IHC data was generated using the same anti-cIAP1 antibody clone, EPR4673, in a different buffer formulation (cat# ab108361).

ab108361, at 1/50, staining cIAP1 in paraffin-embedded Human spleen tissue by Immunohistochemistry.

Perform heat mediated antigen retrieval with citrate buffer pH 6 before commencing with IHC staining protocol.

Western blot - Anti-cIAP1 antibody [EPR4673] - BSA and Azide free (AB226031)
  • WB

Lab

Western blot - Anti-cIAP1 antibody [EPR4673] - BSA and Azide free (AB226031)

This WB data was generated using the same anti-cIAP1 antibody clone, EPR4673, in a different buffer formulation (cat# ab108361).

Lane 1 : Wild-type HAP1 cell lysate (20 μg)
Lane 2 : cIAP1 knockout HAP1 cell lysate (20 μg)
Lane 3 : HeLa cell lysate (20 μg)
Lane 4 : Jurkat cell lysate (20 μg)
Lanes 1 - 4 : Merged signal (red and green). Green - ab108361 observed at 70 kDa. Red - loading control, ab8245, observed at 37 kDa.

ab108361 was shown to specifically react with cIAP1 when cIAP1 knockout samples were used. Wild-type and cIAP1 knockout samples were subjected to SDS-PAGE. ab108361 and ab8245 (loading control to GAPDH) were diluted at 1/1000 and 1/10,000 dilution respectively and incubated overnight at 4C. Blots were developed withGoat anti-Rabbit IgG H&L (IRDye® 800CW) preadsorbed (ab216773) and Goat anti-Mouse IgG H&L (IRDye® 680RD) preadsorbed (ab216776) secondary antibodies at 1/10,000 dilution for 1 hour at room temperature before imaging.

All lanes:

Western blot - Anti-cIAP1 antibody [EPR4673] (<a href='/en-us/products/primary-antibodies/ciap1-antibody-epr4673-ab108361'>ab108361</a>)

Predicted band size: 70 kDa

false

Western blot - Anti-cIAP1 antibody [EPR4673] - BSA and Azide free (AB226031)
  • WB

Lab

Western blot - Anti-cIAP1 antibody [EPR4673] - BSA and Azide free (AB226031)

This data was developed using the same antibody clone in a different buffer formulation (ab108361).

Lanes 1- 2 : Merged signal (red and green). Green - ab108361 observed at 70 kDa. Red - Anti-GAPDH antibody [6C5] - Loading Control (ab8245) observed at 37 kDa.

ab108361 was shown to react with cIAP1 in wild-type HeLa cells in western blot. Loss of signal was observed when knockout cell line ab265896 (knockout cell lysate ab257372) was used. Wild-type HeLa and BIRC2 knockout HeLa cell lysates were subjected to SDS-PAGE. Membrane was blocked for 1 hour at room temperature in 0.1% TBST with 3% non-fat dried milk. ab108361 and Anti-GAPDH antibody [6C5] - Loading Control (ab8245) were incubated overnight at 4°C at a 1 in 1000 dilution and a 1 in 20000 dilution respectively. Blots were developed with Goat anti-Rabbit IgG H&L (IRDye®800CW) preadsorbed (ab216773) and Goat anti-Mouse IgG H&L (IRDye®680RD) preadsorbed (ab216776) secondary antibodies at 1 in 20000 dilution for 1 hour at room temperature before imaging.

All lanes:

Western blot - Anti-cIAP1 antibody [EPR4673] (<a href='/en-us/products/primary-antibodies/ciap1-antibody-epr4673-ab108361'>ab108361</a>) at 1/1000 dilution

Lane 1:

Wild-type HeLa cell lysate at 20 µg

Lane 2:

BIRC2 knockout HeLa cell lysate at 20 µg

Lane 2:

Western blot - Human BIRC2 (cIAP1) knockout HeLa cell line (<a href='/en-us/products/cell-lines/human-birc2-ciap1-knockout-hela-cell-line-ab265896'>ab265896</a>)

Predicted band size: 70 kDa

Observed band size: 70 kDa

false

  • Unconjugated

    Anti-cIAP1 antibody [EPR4673]

  • HRP

    HRP Anti-cIAP1 antibody [EPR4673]

Key facts

Host species

Rabbit

Clonality

Monoclonal

Clone number

EPR4673

Isotype

IgG

Carrier free

Yes

Reacts with

Human

Applications

IHC-P, WB

applications

Immunogen

The exact immunogen used to generate this antibody is proprietary information.

Reactivity data

{ "title": "Reactivity Data", "filters": { "stats": ["", "Species", "Dilution Info", "Notes"], "tabs": { "all-applications": {"fullname" : "All Applications", "shortname": "All Applications"}, "IHCP" : {"fullname" : "Immunohistochemistry (Formalin/PFA-fixed paraffin-embedded sections)", "shortname":"IHC-P"}, "IP" : {"fullname" : "Immunoprecipitation", "shortname":"IP"}, "FlowCyt" : {"fullname" : "Flow Cytometry", "shortname":"Flow Cyt"}, "WB" : {"fullname" : "Western blot", "shortname":"WB"}, "ICCIF" : {"fullname" : "Immunocytochemistry/ Immunofluorescence", "shortname":"ICC/IF"} }, "product-promise": { "all": "all", "testedAndGuaranteed": "tested", "guaranteed": "expected", "predicted": "predicted", "notRecommended": "not-recommended" } }, "values": { "Human": { "IHCP-species-checked": "testedAndGuaranteed", "IHCP-species-dilution-info": "", "IHCP-species-notes": "<p></p>", "IP-species-checked": "notRecommended", "IP-species-dilution-info": "", "IP-species-notes": "<p></p>", "FlowCyt-species-checked": "notRecommended", "FlowCyt-species-dilution-info": "", "FlowCyt-species-notes": "<p></p>", "WB-species-checked": "testedAndGuaranteed", "WB-species-dilution-info": "", "WB-species-notes": "<p></p>", "ICCIF-species-checked": "notRecommended", "ICCIF-species-dilution-info": "", "ICCIF-species-notes": "<p></p>" } } }

Product details

ab226031 is the carrier-free version of ab108361.

Species reactivity
Mouse, Rat: We have preliminary internal testing data to indicate this antibody may not react with these species.
Please contact us for more information.

Conjugation ready
Our carrier-free antibodies are typically supplied in a PBS-only formulation, purified and free of BSA, sodium azide and glycerol. This conjugation-ready format is designed for use with fluorochromes, metal isotopes, oligonucleotides, and enzymes, which makes them ideal for antibody labelling, functional and cell-based assays, flow-based assays (e.g. mass cytometry) and Multiplex Imaging applications.

Use our conjugation kits for antibody conjugates that are ready-to-use in as little as 20 minutes with 1 minute hands-on-time and 100% antibody recovery: available for fluorescent dyes, HRP, biotin and gold.

Compatibility
This product is compatible with the Maxpar® Antibody Labeling Kit from Fluidigm, without the need for antibody preparation. Maxpar® is a trademark of Fluidigm Canada Inc.

Properties and storage information

Form
Liquid
Purification technique
Affinity purification Protein A
Storage buffer
pH: 7.2 - 7.4 Constituents: PBS
Shipped at conditions
Blue Ice
Appropriate short-term storage conditions
+4°C
Appropriate long-term storage conditions
+4°C
Storage information
Do Not Freeze

Supplementary information

This supplementary information is collated from multiple sources and compiled automatically.

The cellular inhibitor of apoptosis protein 1 (cIAP1) also referred to as BIRC2 is a protein with a molecular mass of approximately 70 kDa. cIAP1 belongs to the inhibitor of apoptosis (IAP) family and contains several distinct domains important for its function including three Baculoviral IAP Repeat (BIR) domains a ubiquitin-associated (UBA) domain and a really interesting new gene (RING) domain. This protein is expressed in various tissues but predominantly in cells engaged in apoptosis regulation such as immune cells.
Biological function summary

CIAP1 plays an important role in regulating apoptosis by inhibiting the activity of certain caspases including caspase-3 and caspase-7. It is often part of larger protein complexes that include other members of the IAP family such as cIAP2. By binding directly to tumor necrosis factor receptor-associated factors (TRAFs) cIAP1 helps modulate signaling pathways that determine cell survival or death contributing to cellular homeostasis.

Pathways

CIAP1 is intricately involved in the NF-κB signaling pathway and the TNF receptor signaling pathway. Its interaction with TRAFs links it to these critical pathways helping to control inflammatory and immune responses. Other proteins related to cIAP1 through these pathways include RIP1 and TRAF2 both important for transmitting signals that affect cell fate decisions.

CIAP1 has significant implications in cancer and autoimmune disorders. In many cancers overexpression of cIAP1 contributes to uncontrolled cell proliferation by preventing apoptosis therefore aiding tumor survival and progression. Moreover its dysregulation is linked to disorders such as rheumatoid arthritis where improper cell death regulation leads to tissue damage. cIAP1 interacts with and regulates the activity of the protein XIAP in contributing to these diseases making it a potential target for therapeutic interventions.

Product protocols

For this product, it's our understanding that no specific protocols are required. You can visit:

Target data

Multi-functional protein which regulates not only caspases and apoptosis, but also modulates inflammatory signaling and immunity, mitogenic kinase signaling, and cell proliferation, as well as cell invasion and metastasis. Acts as an E3 ubiquitin-protein ligase regulating NF-kappa-B signaling and regulates both canonical and non-canonical NF-kappa-B signaling by acting in opposite directions : acts as a positive regulator of the canonical pathway and suppresses constitutive activation of non-canonical NF-kappa-B signaling. The target proteins for its E3 ubiquitin-protein ligase activity include : RIPK1, RIPK2, RIPK3, RIPK4, CASP3, CASP7, CASP8, TRAF2, DIABLO/SMAC, MAP3K14/NIK, MAP3K5/ASK1, IKBKG/NEMO, IKBKE and MXD1/MAD1. Can also function as an E3 ubiquitin-protein ligase of the NEDD8 conjugation pathway, targeting effector caspases for neddylation and inactivation. Acts as an important regulator of innate immune signaling via regulation of Toll-like receptors (TLRs), Nodlike receptors (NLRs) and RIG-I like receptors (RLRs), collectively referred to as pattern recognition receptors (PRRs). Protects cells from spontaneous formation of the ripoptosome, a large multi-protein complex that has the capability to kill cancer cells in a caspase-dependent and caspase-independent manner. Suppresses ripoptosome formation by ubiquitinating RIPK1 and CASP8. Can stimulate the transcriptional activity of E2F1. Plays a role in the modulation of the cell cycle.
See full target information BIRC2

Publications (2)

Recent publications for all applications. Explore the full list and refine your search

BMC anesthesiology 20:275 PubMed33126850

2020

Bupivacaine suppresses the progression of gastric cancer through regulating circ_0000376/miR-145-5p axis.

Applications

Unspecified application

Species

Unspecified reactive species

Changqiao Ju,Jia Zhou,Hui Miao,Xin Chen,Qingyu Zhang

Cell reports 33:108253 PubMed33053339

2020

PAI-1-Dependent Inactivation of SMAD4-Modulated Junction and Adhesion Complex in Obese Endometrial Cancer.

Applications

Unspecified application

Species

Unspecified reactive species

Li-Ling Lin,Edward R Kost,Chun-Lin Lin,Philip Valente,Chiou-Miin Wang,Mikhail G Kolonin,Alexes C Daquinag,Xi Tan,Nicholas Lucio,Chia-Nung Hung,Chen-Pin Wang,Nameer B Kirma,Tim H-M Huang
View all publications

Product promise

We are committed to supporting your work with high-quality reagents, and we're here for you every step of the way. In the unlikely event that one of our products does not perform as expected, you're protected by our Product Promise.
For full details, please see our Terms & Conditions

Please note: All products are 'FOR RESEARCH USE ONLY. NOT FOR USE IN DIAGNOSTIC OR THERAPEUTIC PROCEDURES'.

For licensing inquiries, please contact partnerships@abcam.com