JavaScript is disabled in your browser. Please enable JavaScript to view this website.
AB32059

Anti-cIAP2 antibody [E40]

4

(2 Reviews)

|

(51 Publications)

Rabbit Recombinant Monoclonal cIAP2 antibody. Suitable for IP, WB, Flow Cyt (Intra), IHC-P and reacts with Human samples. Cited in 51 publications.

View Alternative Names

API2, MIHC, RNF49, BIRC3, Baculoviral IAP repeat-containing protein 3, Apoptosis inhibitor 2, Cellular inhibitor of apoptosis 2, IAP homolog C, Inhibitor of apoptosis protein 1, RING finger protein 49, RING-type E3 ubiquitin transferase BIRC3, TNFR2-TRAF-signaling complex protein 1, C-IAP2, hIAP-1, hIAP1

7 Images
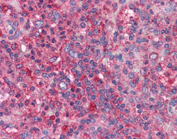
Immunohistochemistry (Formalin/PFA-fixed paraffin-embedded sections) - Anti-cIAP2 antibody [E40] (AB32059)
  • IHC-P

Unknown

Immunohistochemistry (Formalin/PFA-fixed paraffin-embedded sections) - Anti-cIAP2 antibody [E40] (AB32059)

Immunohistochemistry (Formalin/PFA-fixed paraffin-embedded sections) analysis of Human breast carcinoma tissue sections labeling cIAP2 with purified ab32059 at 1/600 dilution (1.12 µg/ml). Perform heat mediated antigen retrieval using ab93684 (Tris/EDTA buffer, pH 9.0). ImmunoHistoProbe one step HRP Polymer (ready to use) was used as the secondary antibody. Negative control : PBS instead of the primary antibody. Hematoxylin was used as a counterstain.

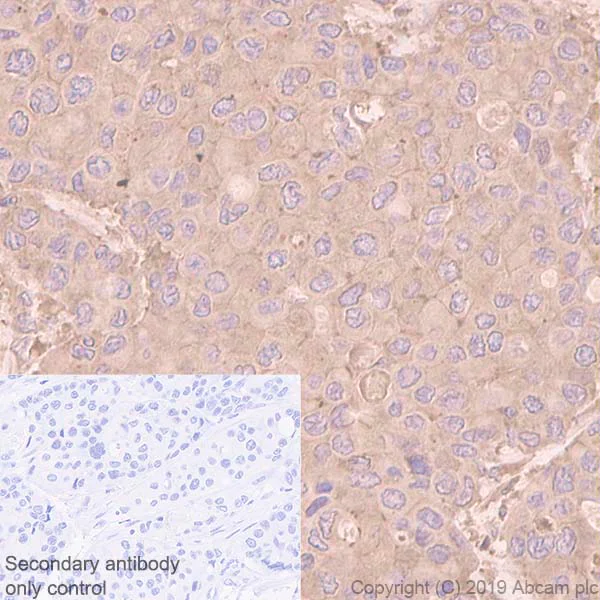
Immunohistochemistry (Formalin/PFA-fixed paraffin-embedded sections) - Anti-cIAP2 antibody [E40] (AB32059)
  • IHC-P

Unknown

Immunohistochemistry (Formalin/PFA-fixed paraffin-embedded sections) - Anti-cIAP2 antibody [E40] (AB32059)

ab32059 (unpurified) at a 1/50 dilution staining cIAP2 in human normal spleen, using Immunohistochemistry, Paraffin Embedded Tissue.

Western blot - Anti-cIAP2 antibody [E40] (AB32059)
  • WB

Lab

Western blot - Anti-cIAP2 antibody [E40] (AB32059)

All lanes:

Western blot - Anti-cIAP2 antibody [E40] (ab32059) at 1/50000 dilution

All lanes:

Raji (Human Burkitt's lymphoma B lymphocyte) whole cell lysates at 15 µg

Secondary

All lanes:

Western blot - Goat Anti-Rabbit IgG H&L (HRP) (<a href='/en-us/products/secondary-antibodies/goat-rabbit-igg-h-l-hrp-ab97051'>ab97051</a>) at 1/20000 dilution

Predicted band size: 68 kDa

Observed band size: 72 kDa

false

Flow Cytometry (Intracellular) - Anti-cIAP2 antibody [E40] (AB32059)
  • Flow Cyt (Intra)

Unknown

Flow Cytometry (Intracellular) - Anti-cIAP2 antibody [E40] (AB32059)

Intracellular Flow Cytometry analysis of Raji (Human Burkitt's lymphoma B lymphocyte) cells labeling cIAP2 with purified ab32059 at 1/70 dilution (10μg/ml) (red). Cells were fixed with 4% Paraformaldehyde and permeabilised with 90% Methanol. A Goat anti rabbit IgG (Alexa Fluorr® 488, ab150077) secondary antibody was used at 1/2000. Isotype control - Rabbit monoclonal IgG (Black). Unlabeled control - Cell without incubation with primary antibody and secondary antibody (Blue).

Immunoprecipitation - Anti-cIAP2 antibody [E40] (AB32059)
  • IP

Unknown

Immunoprecipitation - Anti-cIAP2 antibody [E40] (AB32059)

ab32059 (purified) at 1/30 dilution (2ug) immunoprecipitating cIAP2 in Daudi whole cell lysates.
Lane 1 : Daudi (Human Burkitt's lymphoma lymphoblast) whole cell lysates 10ug
Lane 2 (+) : ab32059 & Daudi whole cell lysates
Lane 3 (-) : Rabbit monoclonal IgG (ab172730) instead of ab32059 in Daudi whole cell lysates
For western blotting, VeriBlot for IP Detection Reagent (HRP) (ab131366) was used at 1/1000 dilution.
Blocking and diluting buffer : 5% NFDM/TBST.

All lanes:

Immunoprecipitation - Anti-cIAP2 antibody [E40] (ab32059)

Predicted band size: 68 kDa

false

Immunoprecipitation - Anti-cIAP2 antibody [E40] (AB32059)
  • IP

Unknown

Immunoprecipitation - Anti-cIAP2 antibody [E40] (AB32059)

cIAP2 was immunoprecipitated using 0.5mg Daudi whole cell extract, 5μg of Rabbit polyclonal to cIAP2 and 50μl of protein G magnetic beads (+). No antibody was added to the control (-).
The antibody was incubated under agitation with Protein G beads for 10min, Daudi whole cell extract lysate diluted in RIPA buffer was added to each sample and incubated for a further 10min under agitation.
Proteins were eluted by addition of 40μl SDS loading buffer and incubated for 10min at 70oC; 10μl of each sample was separated on a SDS PAGE gel, transferred to a nitrocellulose membrane, blocked with 5% BSA and probed with ab32059 (unpurified).
Secondary : Mouse monoclonal [SB62a] Secondary Antibody to Rabbit IgG light chain (HRP) (ab99697).
Band : 72kDa; cIAP2

All lanes:

Immunoprecipitation - Anti-cIAP2 antibody [E40] (ab32059)

Predicted band size: 68 kDa

false

Western blot - Anti-cIAP2 antibody [E40] (AB32059)
  • WB

Unknown

Western blot - Anti-cIAP2 antibody [E40] (AB32059)

All lanes:

Western blot - Anti-cIAP2 antibody [E40] (ab32059) at 1/1000 dilution

All lanes:

Daudi cell lysate.

Predicted band size: 68 kDa

Observed band size: 72 kDa

false

Key facts

Host species

Rabbit

Clonality

Monoclonal

Clone number

E40

Isotype

IgG

Carrier free

No

Reacts with

Human

Applications

WB, Flow Cyt (Intra), IHC-P, IP

applications

Immunogen

The exact immunogen used to generate this antibody is proprietary information.

Specificity

This antibody is specific for human cIAP2. It does not cross-react with any other IAP family members.

Reactivity data

{ "title": "Reactivity Data", "filters": { "stats": ["", "Species", "Dilution Info", "Notes"], "tabs": { "all-applications": {"fullname" : "All Applications", "shortname": "All Applications"}, "ICCIF" : {"fullname" : "Immunocytochemistry/ Immunofluorescence", "shortname":"ICC/IF"}, "IP" : {"fullname" : "Immunoprecipitation", "shortname":"IP"}, "WB" : {"fullname" : "Western blot", "shortname":"WB"}, "FlowCytIntra" : {"fullname" : "Flow Cytometry (Intracellular)", "shortname":"Flow Cyt (Intra)"}, "IHCP" : {"fullname" : "Immunohistochemistry (Formalin/PFA-fixed paraffin-embedded sections)", "shortname":"IHC-P"} }, "product-promise": { "all": "all", "testedAndGuaranteed": "tested", "guaranteed": "expected", "predicted": "predicted", "notRecommended": "not-recommended" } }, "values": { "Human": { "ICCIF-species-checked": "notRecommended", "ICCIF-species-dilution-info": "", "ICCIF-species-notes": "<p></p>", "IP-species-checked": "testedAndGuaranteed", "IP-species-dilution-info": "1/30", "IP-species-notes": "<p><strong>For unpurified use at 5 μg/mL.</strong></p>", "WB-species-checked": "testedAndGuaranteed", "WB-species-dilution-info": "1/50000", "WB-species-notes": "<p><strong>For unpurified use at 1/1000.</strong></p>", "FlowCytIntra-species-checked": "testedAndGuaranteed", "FlowCytIntra-species-dilution-info": "1/70", "FlowCytIntra-species-notes": "<p></p>", "IHCP-species-checked": "testedAndGuaranteed", "IHCP-species-dilution-info": "1/600", "IHCP-species-notes": "<p></p>" } } }

Product details

Species reactivity
Mouse, Rat: We have preliminary internal testing data to indicate this antibody may not react with these species.
Please contact us for more information.

Patented technology
Our RabMAb® technology is a patented hybridoma-based technology for making rabbit monoclonal antibodies. For details on our patents, please refer to RabMAb® patents.

What are the advantages of a recombinant monoclonal antibody?
This product is a recombinant monoclonal antibody, which offers several advantages including:

  • - High batch-to-batch consistency and reproducibility
  • - Improved sensitivity and specificity
  • - Long-term security of supply
  • - Animal-free batch production

For more information, read more on recombinant antibodies.

Properties and storage information

Form
Liquid
Purification technique
Affinity purification Protein A
Storage buffer
pH: 7.2 - 7.4 Preservative: 0.01% Sodium azide Constituents: 59% PBS, 40% Glycerol (glycerin, glycerine), 0.05% BSA
Shipped at conditions
Blue Ice
Appropriate short-term storage duration
1-2 weeks
Appropriate short-term storage conditions
+4°C
Appropriate long-term storage conditions
-20°C
Aliquoting information
Upon delivery aliquot
Storage information
Avoid freeze / thaw cycle

Supplementary information

This supplementary information is collated from multiple sources and compiled automatically.

CIAP2 also called E3 ubiquitin-protein ligase and encoded by the BIRC3 gene functions to inhibit apoptosis. This protein belongs to the inhibitors of apoptosis (IAP) family and is around 69 kDa in mass. cIAP2 is widely expressed in various tissues including the epithelial and lymphoid cells. It operates mechanically by ubiquitinating substrates marking them for proteasomal degradation which is key in preventing cell death and maintaining cellular homeostasis.
Biological function summary

CIAP2 serves as a regulator in cell survival by functioning within signaling cascades. It participates in the formation of the TNF receptor complex which influences the NF-κB signaling pathway and inflammation response. By interacting with several proteins cIAP2 modulates downstream signaling effects that can influence immune responses and cellular proliferation helping cells adapt and survive stressful conditions.

Pathways

CIAP2 plays roles in both the NF-κB and the MAPK signaling pathways. Within these pathways cIAP2 interacts closely with proteins such as TRAF2 and RIP1. In the NF-κB pathway it helps in the regulation of inflammatory responses while in the MAPK pathway it contributes to cell growth and differentiation processes. These pathways highlight its function in regulating immune system responses and cell adaptability.

CIAP2 maintains connections with cancer and chronic inflammation. Abnormal expression or mutations of cIAP2 can lead to tumorigenesis due to disrupted apoptotic control linking it closely to cancers like lymphomas and leukemias. Additionally cIAP2 influences inflammatory diseases like Crohn's disease through its interactions with proteins such as NOD2 which further impacts the disease pathology. Proper regulation of cIAP2 is essential in avoiding unwanted cell survival and excessive inflammation highlighting its significance in various pathological conditions.

Product protocols

For this product, it's our understanding that no specific protocols are required. You can visit:

Target data

Multi-functional protein which regulates not only caspases and apoptosis, but also modulates inflammatory signaling and immunity, mitogenic kinase signaling and cell proliferation, as well as cell invasion and metastasis. Acts as an E3 ubiquitin-protein ligase regulating NF-kappa-B signaling and regulates both canonical and non-canonical NF-kappa-B signaling by acting in opposite directions : acts as a positive regulator of the canonical pathway and suppresses constitutive activation of non-canonical NF-kappa-B signaling. The target proteins for its E3 ubiquitin-protein ligase activity include : RIPK1, RIPK2, RIPK3, RIPK4, CASP3, CASP7, CASP8, IKBKE, TRAF1, and BCL10. Acts as an important regulator of innate immune signaling via regulation of Toll-like receptors (TLRs), Nodlike receptors (NLRs) and RIG-I like receptors (RLRs), collectively referred to as pattern recognition receptors (PRRs). Protects cells from spontaneous formation of the ripoptosome, a large multi-protein complex that has the capability to kill cancer cells in a caspase-dependent and caspase-independent manner. Suppresses ripoptosome formation by ubiquitinating RIPK1 and CASP8.
See full target information BIRC3

Publications (51)

Recent publications for all applications. Explore the full list and refine your search

NPJ precision oncology 9:198 PubMed40537497

2025

G0S2: a potential target for NSCLC identified through prognostic models from multi-Omic analysis of regulatory T cell metabolic genes.

Applications

Unspecified application

Species

Unspecified reactive species

Min Zhou,Mengqing Liu,Yile Hu,Zhe Xu,Lutong Cai,Yunpeng Bai,Lin Su,Lei Sun

iScience 27:111470 PubMed39758987

2025

Bivalent SMAC mimetic APG-1387 reduces HIV reservoirs and limits viral rebound in humanized mice.

Applications

Unspecified application

Species

Unspecified reactive species

Jaspreet Jain,Tram N Q Pham,Sharmin Begum,Maria Carmen Romero-Medina,Nicolas Bellini,Yuanyi Li,Frédéric Dallaire,Kathie Béland,Natasha Patey,Jean V Guimond,Élie Haddad,Yifan Zhai,Éric A Cohen

ACS omega 9:19148-19157 PubMed38708247

2024

BIRC3-HSP90B1 Interaction Inhibits Non-Small Cell Lung Cancer Progression through the Extracellular Signal-Regulated Kinase Pathway.

Applications

Unspecified application

Species

Unspecified reactive species

Feng Suo,Yuan Wu,Qiong Zhou,Longfei Li,Xiangju Wei

Scientific reports 13:6417 PubMed37076494

2023

Co-administration with A1M does not influence apoptotic response of Lu-octreotate in GOT1 neuroendocrine tumors.

Applications

Unspecified application

Species

Unspecified reactive species

Nishte Rassol,Charlotte Andersson,Daniella Pettersson,Amin Al-Awar,Emman Shubbar,Anikó Kovács,Bo Åkerström,Magnus Gram,Khalil Helou,Eva Forssell-Aronsson

Journal of immunology research 2023:5293677 PubMed36969496

2023

Network-Based Method to Investigate the Promoted Cell Apoptosis Mechanisms of Oridonin in OSCC through the RNA-Transcriptome.

Applications

Unspecified application

Species

Unspecified reactive species

Guohui Wu,Yusheng Guo,Yang Liu,Xiangsheng Cai,Tanggang Deng,Tianchu Pei,Long Huang,Kai Chen,Xuan Pan

Translational cancer research 11:2013-2025 PubMed35966289

2022

Inhibitory effects of LOXL2 knockdown on cellular functions of liver cancer stem cells.

Applications

Unspecified application

Species

Unspecified reactive species

Na Li,Huan Gu,Liu Liu,Xiao-Li Zhang,Qiu-Luo Cheng,Ying Zhu

Haematologica 107:1864-1879 PubMed35021606

2022

Immune pathway upregulation and lower genomic instability distinguish EBV-positive nodal T/NK-cell lymphoma from ENKTL and PTCL-NOS.

Applications

Unspecified application

Species

Unspecified reactive species

Cho Mar Myint Wai,Shangying Chen,The Phyu,Shuangyi Fan,Sai Mun Leong,Wenning Zheng,Louis Ching Yi Low,Shoa-Nian Choo,Chi-Kuen Lee,Tae-Hoon Chung,Kenneth Hon Kim Ban,Soumita Ghosh,Stefanus Lie,Seiichi Kato,Shigeo Nakamura,Emiko Takahashi,Young-Hyeh Ko,Joseph D Khoury,Shih-Sung Chuang,Rex K H Au-Yeung,Soo-Yong Tan,Soon-Thye Lim,Choon-Kiat Ong,Yong-Howe Ho,Li Mei Poon,Sanjay De Mel,Anand D Jeyasekharan,Wee-Joo Chng,Franziska Otto,Leticia Quintanilla-Martinez,Federica Zanardi,Fabio Iannelli,Claudio Tripodo,Jason J Pitt,Siok-Bian Ng

Journal of cellular and molecular medicine : PubMed33939305

2021

cIAP1/2 are involved in the radiosensitizing effect of birinapant on NSCLC cell line in vitro.

Applications

Unspecified application

Species

Unspecified reactive species

Hao Sun,Yanan Du,Ming Yao,Qin Wang,Kaihua Ji,Liqing Du,Chang Xu,Ningning He,Jinhan Wang,Manman Zhang,Yang Liu,Yan Wang,Kaixue Wen,Qiang Liu

Frontiers in pharmacology 12:560903 PubMed33841136

2021

Alternol Sensitizes Renal Carcinoma Cells to TRAIL-Induced Apoptosis.

Applications

Unspecified application

Species

Unspecified reactive species

Yu Ren,Xue Wang,Shuaishuai Huang,Yangkai Xu,Guobin Weng,Rui Yu

Journal of cellular and molecular medicine 25:1759-1770 PubMed33452764

2021

Exploring the five different genes associated with PKCα in bladder cancer based on gene expression microarray.

Applications

Unspecified application

Species

Unspecified reactive species

Xiaotong Zhang,Jiarun Zhang,Hao Zhang,Yang Liu,Lei Yin,Xi Liu,Xuejie Li,Xiuyue Yu,Jinlong Yao,Zhe Zhang,Chuize Kong
View all publications

Product promise

We are committed to supporting your work with high-quality reagents, and we're here for you every step of the way. In the unlikely event that one of our products does not perform as expected, you're protected by our Product Promise.
For full details, please see our Terms & Conditions

Please note: All products are 'FOR RESEARCH USE ONLY. NOT FOR USE IN DIAGNOSTIC OR THERAPEUTIC PROCEDURES'.

For licensing inquiries, please contact partnerships@abcam.com