JavaScript is disabled in your browser. Please enable JavaScript to view this website.
AB239800

Anti-cIAP2 antibody [E40] - BSA and Azide free

Be the first to review this product! Submit a review

|

(0 Publication)

Rabbit Recombinant Monoclonal cIAP2 antibody. Carrier free. Suitable for IP, WB, Flow Cyt (Intra), IHC-P and reacts with Human samples.

View Alternative Names

API2, MIHC, RNF49, BIRC3, Baculoviral IAP repeat-containing protein 3, Apoptosis inhibitor 2, Cellular inhibitor of apoptosis 2, IAP homolog C, Inhibitor of apoptosis protein 1, RING finger protein 49, RING-type E3 ubiquitin transferase BIRC3, TNFR2-TRAF-signaling complex protein 1, C-IAP2, hIAP-1, hIAP1

5 Images
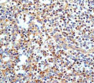
Immunohistochemistry (Formalin/PFA-fixed paraffin-embedded sections) - Anti-cIAP2 antibody [E40] - BSA and Azide free (AB239800)
  • IHC-P

Unknown

Immunohistochemistry (Formalin/PFA-fixed paraffin-embedded sections) - Anti-cIAP2 antibody [E40] - BSA and Azide free (AB239800)

ab32059 (unpurified) at a 1/50 dilution staining cIAP2 in human normal spleen, using Immunohistochemistry, Paraffin Embedded Tissue.

This data was developed using the same antibody clone in a different buffer formulation containing PBS, BSA, glycerol, and sodium azide (ab32059).

Flow Cytometry (Intracellular) - Anti-cIAP2 antibody [E40] - BSA and Azide free (AB239800)
  • Flow Cyt (Intra)

Unknown

Flow Cytometry (Intracellular) - Anti-cIAP2 antibody [E40] - BSA and Azide free (AB239800)

Intracellular Flow Cytometry analysis of Raji (Human Burkitt's lymphoma B lymphocyte) cells labeling cIAP2 with purified ab32059 at 1/70 dilution (10μg/ml) (red). Cells were fixed with 4% Paraformaldehyde and permeabilised with 90% Methanol. A Goat anti rabbit IgG (Alexa Fluor® 488, ab150077) secondary antibody was used at 1/2000. Isotype control - Rabbit monoclonal IgG (Black). Unlabeled control - Cell without incubation with primary antibody and secondary antibody (Blue).

This data was developed using the same antibody clone in a different buffer formulation containing PBS, BSA, glycerol, and sodium azide (ab32059)..

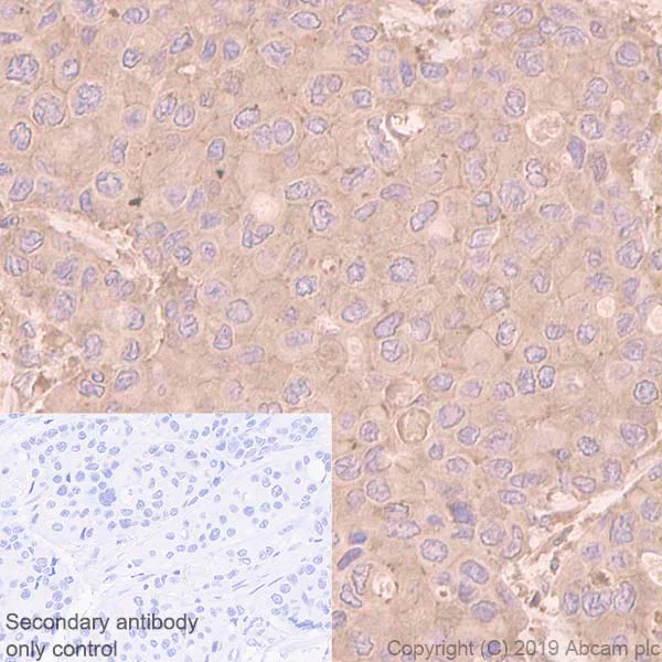
Immunohistochemistry (Formalin/PFA-fixed paraffin-embedded sections) - Anti-cIAP2 antibody [E40] - BSA and Azide free (AB239800)
  • IHC-P

Unknown

Immunohistochemistry (Formalin/PFA-fixed paraffin-embedded sections) - Anti-cIAP2 antibody [E40] - BSA and Azide free (AB239800)

Immunohistochemistry (Formalin/PFA-fixed paraffin-embedded sections) analysis of Human breast carcinoma tissue sections labeling cIAP2 with purified ab32059 at 1/600 dilution (1.12 μg/ml). Perform heat mediated antigen retrieval using ab93684 (Tris/EDTA buffer, pH 9.0). ImmunoHistoProbe one step HRP Polymer (ready to use) was used as the secondary antibody. Negative control : PBS instead of the primary antibody. Hematoxylin was used as a counterstain.

This data was developed using the same antibody clone in a different buffer formulation containing PBS, BSA, glycerol, and sodium azide (ab32059).

Immunoprecipitation - Anti-cIAP2 antibody [E40] - BSA and Azide free (AB239800)
  • IP

Unknown

Immunoprecipitation - Anti-cIAP2 antibody [E40] - BSA and Azide free (AB239800)

ab32059 (purified) at 1/30 dilution (2ug) immunoprecipitating cIAP2 in Daudi whole cell lysates.
Lane 1 : Daudi (Human Burkitt's lymphoma lymphoblast) whole cell lysates 10ug
Lane 2 (+) : ab32059 & Daudi whole cell lysates
Lane 3 (-) : Rabbit monoclonal IgG (ab172730) instead of ab32059 in Daudi whole cell lysates
For western blotting, VeriBlot for IP Detection Reagent (HRP) (ab131366) was used at 1/1000 dilution.
Blocking and diluting buffer : 5% NFDM/TBST.

This data was developed using the same antibody clone in a different buffer formulation containing PBS, BSA, glycerol, and sodium azide (ab32059).

All lanes:

Immunoprecipitation - Anti-cIAP2 antibody [E40] (<a href='/en-us/products/primary-antibodies/ciap2-antibody-e40-ab32059'>ab32059</a>)

Predicted band size: 68 kDa

false

Immunoprecipitation - Anti-cIAP2 antibody [E40] - BSA and Azide free (AB239800)
  • IP

Unknown

Immunoprecipitation - Anti-cIAP2 antibody [E40] - BSA and Azide free (AB239800)

cIAP2 was immunoprecipitated using 0.5mg Daudi whole cell extract, 5μg of Rabbit polyclonal to cIAP2 and 50μl of protein G magnetic beads (+). No antibody was added to the control (-).
The antibody was incubated under agitation with Protein G beads for 10min, Daudi whole cell extract lysate diluted in RIPA buffer was added to each sample and incubated for a further 10min under agitation.
Proteins were eluted by addition of 40μl SDS loading buffer and incubated for 10min at 70oC; 10μl of each sample was separated on a SDS PAGE gel, transferred to a nitrocellulose membrane, blocked with 5% BSA and probed with ab32059 (unpurified).
Secondary : Mouse monoclonal [SB62a] Secondary Antibody to Rabbit IgG light chain (HRP) (ab99697).
Band : 72kDa; cIAP2

This data was developed using the same antibody clone in a different buffer formulation containing PBS, BSA, glycerol, and sodium azide (ab32059).

All lanes:

Immunoprecipitation - Anti-cIAP2 antibody [E40] (<a href='/en-us/products/primary-antibodies/ciap2-antibody-e40-ab32059'>ab32059</a>)

Predicted band size: 68 kDa

false

Key facts

Host species

Rabbit

Clonality

Monoclonal

Clone number

E40

Isotype

IgG

Carrier free

Yes

Reacts with

Human

Applications

IP, WB, IHC-P, Flow Cyt (Intra)

applications

Immunogen

The exact immunogen used to generate this antibody is proprietary information.

Specificity

This antibody is specific for human cIAP2. It does not cross-react with any other IAP family members.

Reactivity data

{ "title": "Reactivity Data", "filters": { "stats": ["", "Species", "Dilution Info", "Notes"], "tabs": { "all-applications": {"fullname" : "All Applications", "shortname": "All Applications"}, "ICCIF" : {"fullname" : "Immunocytochemistry/ Immunofluorescence", "shortname":"ICC/IF"}, "IP" : {"fullname" : "Immunoprecipitation", "shortname":"IP"}, "WB" : {"fullname" : "Western blot", "shortname":"WB"}, "FlowCytIntra" : {"fullname" : "Flow Cytometry (Intracellular)", "shortname":"Flow Cyt (Intra)"}, "IHCP" : {"fullname" : "Immunohistochemistry (Formalin/PFA-fixed paraffin-embedded sections)", "shortname":"IHC-P"} }, "product-promise": { "all": "all", "testedAndGuaranteed": "tested", "guaranteed": "expected", "predicted": "predicted", "notRecommended": "not-recommended" } }, "values": { "Human": { "ICCIF-species-checked": "notRecommended", "ICCIF-species-dilution-info": "", "ICCIF-species-notes": "<p></p>", "IP-species-checked": "testedAndGuaranteed", "IP-species-dilution-info": "", "IP-species-notes": "<p></p>", "WB-species-checked": "guaranteed", "WB-species-dilution-info": "", "WB-species-notes": "<p></p>", "FlowCytIntra-species-checked": "testedAndGuaranteed", "FlowCytIntra-species-dilution-info": "", "FlowCytIntra-species-notes": "<p></p>", "IHCP-species-checked": "testedAndGuaranteed", "IHCP-species-dilution-info": "", "IHCP-species-notes": "<p></p>" } } }

You may be interested in:

AB314836

Human cIAP2 ELISA Kit

0

0 Reviews

View product

We recommend this product because it’s often used in the same experiment or related research.

We advise that you always check the datasheet to ensure it fits your experiments, or contact ourtechnical teamfor help.

Product details

ab239800 is the carrier-free version of ab32059.

Species reactivity
Mouse, Rat: We have preliminary internal testing data to indicate this antibody may not react with these species.
Please contact us for more information.

Patented technology
Our RabMAb® technology is a patented hybridoma-based technology for making rabbit monoclonal antibodies. For details on our patents, please refer to RabMAb® patents.

What are the advantages of a recombinant monoclonal antibody?
This product is a recombinant monoclonal antibody, which offers several advantages including:

  • - High batch-to-batch consistency and reproducibility
  • - Improved sensitivity and specificity
  • - Long-term security of supply
  • - Animal-free batch production

For more information, read more on recombinant antibodies.

Conjugation ready
Our carrier-free antibodies are typically supplied in a PBS-only formulation, purified and free of BSA, sodium azide and glycerol. This conjugation-ready format is designed for use with fluorochromes, metal isotopes, oligonucleotides, and enzymes, which makes them ideal for antibody labelling, functional and cell-based assays, flow-based assays (e.g. mass cytometry) and Multiplex Imaging applications.

Use our conjugation kits for antibody conjugates that are ready-to-use in as little as 20 minutes with 1 minute hands-on-time and 100% antibody recovery: available for fluorescent dyes, HRP, biotin and gold.

Compatibility
This product is compatible with the Maxpar® Antibody Labeling Kit from Fluidigm, without the need for antibody preparation. Maxpar® is a trademark of Fluidigm Canada Inc.

Properties and storage information

Form
Liquid
Purification technique
Affinity purification Protein A
Storage buffer
pH: 7.2 - 7.4 Constituents: PBS
Shipped at conditions
Blue Ice
Appropriate short-term storage conditions
+4°C
Appropriate long-term storage conditions
+4°C
Storage information
Do Not Freeze

Supplementary information

This supplementary information is collated from multiple sources and compiled automatically.

CIAP2 also called E3 ubiquitin-protein ligase and encoded by the BIRC3 gene functions to inhibit apoptosis. This protein belongs to the inhibitors of apoptosis (IAP) family and is around 69 kDa in mass. cIAP2 is widely expressed in various tissues including the epithelial and lymphoid cells. It operates mechanically by ubiquitinating substrates marking them for proteasomal degradation which is key in preventing cell death and maintaining cellular homeostasis.
Biological function summary

CIAP2 serves as a regulator in cell survival by functioning within signaling cascades. It participates in the formation of the TNF receptor complex which influences the NF-κB signaling pathway and inflammation response. By interacting with several proteins cIAP2 modulates downstream signaling effects that can influence immune responses and cellular proliferation helping cells adapt and survive stressful conditions.

Pathways

CIAP2 plays roles in both the NF-κB and the MAPK signaling pathways. Within these pathways cIAP2 interacts closely with proteins such as TRAF2 and RIP1. In the NF-κB pathway it helps in the regulation of inflammatory responses while in the MAPK pathway it contributes to cell growth and differentiation processes. These pathways highlight its function in regulating immune system responses and cell adaptability.

CIAP2 maintains connections with cancer and chronic inflammation. Abnormal expression or mutations of cIAP2 can lead to tumorigenesis due to disrupted apoptotic control linking it closely to cancers like lymphomas and leukemias. Additionally cIAP2 influences inflammatory diseases like Crohn's disease through its interactions with proteins such as NOD2 which further impacts the disease pathology. Proper regulation of cIAP2 is essential in avoiding unwanted cell survival and excessive inflammation highlighting its significance in various pathological conditions.

Product protocols

For this product, it's our understanding that no specific protocols are required. You can visit:

Target data

Multi-functional protein which regulates not only caspases and apoptosis, but also modulates inflammatory signaling and immunity, mitogenic kinase signaling and cell proliferation, as well as cell invasion and metastasis. Acts as an E3 ubiquitin-protein ligase regulating NF-kappa-B signaling and regulates both canonical and non-canonical NF-kappa-B signaling by acting in opposite directions : acts as a positive regulator of the canonical pathway and suppresses constitutive activation of non-canonical NF-kappa-B signaling. The target proteins for its E3 ubiquitin-protein ligase activity include : RIPK1, RIPK2, RIPK3, RIPK4, CASP3, CASP7, CASP8, IKBKE, TRAF1, and BCL10. Acts as an important regulator of innate immune signaling via regulation of Toll-like receptors (TLRs), Nodlike receptors (NLRs) and RIG-I like receptors (RLRs), collectively referred to as pattern recognition receptors (PRRs). Protects cells from spontaneous formation of the ripoptosome, a large multi-protein complex that has the capability to kill cancer cells in a caspase-dependent and caspase-independent manner. Suppresses ripoptosome formation by ubiquitinating RIPK1 and CASP8.
See full target information BIRC3

Product promise

We are committed to supporting your work with high-quality reagents, and we're here for you every step of the way. In the unlikely event that one of our products does not perform as expected, you're protected by our Product Promise.
For full details, please see our Terms & Conditions

Associated Products

Select an associated product type
Alternative Product
Primary Antibodies

AB23423

Anti-cIAP2 antibody

primary-antibodies

ciap2-antibody-ab23423

5

(7 reviews)

Alternative Product
Primary Antibodies

AB113237

Anti-cIAP2 antibody

primary-antibodies

ciap2-antibody-ab113237

0

(0 reviews)

Alternative Product
Primary Antibodies

AB137393

Anti-cIAP2 antibody

primary-antibodies

ciap2-antibody-ab137393

0

(0 reviews)

Alternative Version
Primary Antibodies

AB305877

PE Anti-cIAP2 antibody [E40]

primary-antibodies

pe-ciap2-antibody-e40-ab305877

0

(0 reviews)

Alternative Version
Primary Antibodies

AB305878

APC Anti-cIAP2 antibody [E40]

primary-antibodies

apc-ciap2-antibody-e40-ab305878

0

(0 reviews)

Alternative Version
Primary Antibodies

AB309853

Alexa Fluor® 488 Anti-cIAP2 antibody [E40]

primary-antibodies

alexa-fluor-488-ciap2-antibody-e40-ab309853

0

(0 reviews)

Alternative Version
Primary Antibodies

AB310221

Alexa Fluor® 647 Anti-cIAP2 antibody [E40]

primary-antibodies

alexa-fluor-647-ciap2-antibody-e40-ab310221

0

(0 reviews)

Alternative Version
Primary Antibodies

AB312199

Alexa Fluor® 555 Anti-cIAP2 antibody [E40]

primary-antibodies

alexa-fluor-555-ciap2-antibody-e40-ab312199

0

(0 reviews)

Alternative Version
Primary Antibodies

AB305879

HRP Anti-cIAP2 antibody [E40]

primary-antibodies

hrp-ciap2-antibody-e40-ab305879

0

(0 reviews)

Alternative Version
Primary Antibodies

AB310668

Alexa Fluor® 594 Anti-cIAP2 antibody [E40]

primary-antibodies

alexa-fluor-594-ciap2-antibody-e40-ab310668

0

(0 reviews)

Alternative Version
Primary Antibodies

AB312687

Alexa Fluor® 568 Anti-cIAP2 antibody [E40]

primary-antibodies

alexa-fluor-568-ciap2-antibody-e40-ab312687

0

(0 reviews)

Please note: All products are 'FOR RESEARCH USE ONLY. NOT FOR USE IN DIAGNOSTIC OR THERAPEUTIC PROCEDURES'.

For licensing inquiries, please contact partnerships@abcam.com