JavaScript is disabled in your browser. Please enable JavaScript to view this website.
AB198845

Anti-CIB1/KIP antibody

Be the first to review this product! Submit a review

|

(1 Publication)

Rabbit Polyclonal CIB1/KIP antibody. Suitable for IHC-P and reacts with Human samples. Cited in 1 publication. Immunogen corresponding to Synthetic Peptide within Human CIB1.

View Alternative Names

CIB, KIP, PRKDCIP, CIB1, Calcium and integrin-binding protein 1, Calcium- and integrin-binding protein, Calmyrin, DNA-PKcs-interacting protein, Kinase-interacting protein, SNK-interacting protein 2-28, CIBP, SIP2-28

2 Images
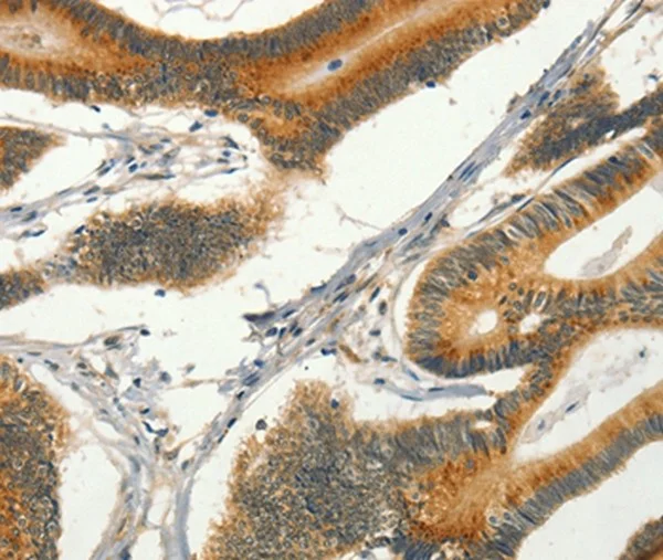
Immunohistochemistry (Formalin/PFA-fixed paraffin-embedded sections) - Anti-CIB1/KIP antibody (AB198845)
  • IHC-P

Supplier Data

Immunohistochemistry (Formalin/PFA-fixed paraffin-embedded sections) - Anti-CIB1/KIP antibody (AB198845)

Immunohistochemical analysis of paraffin-embedded Human colon cancer tissue labeling CIB1/KIP with ab198845 at 1/40.

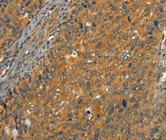
Immunohistochemistry (Formalin/PFA-fixed paraffin-embedded sections) - Anti-CIB1/KIP antibody (AB198845)
  • IHC-P

Supplier Data

Immunohistochemistry (Formalin/PFA-fixed paraffin-embedded sections) - Anti-CIB1/KIP antibody (AB198845)

Immunohistochemical analysis of paraffin-embedded Human cervical cancer tissue labeling CIB1/KIP with ab198845 at 1/40.

Key facts

Host species

Rabbit

Clonality

Polyclonal

Isotype

IgG

Carrier free

No

Reacts with

Human

Applications

IHC-P

applications

Immunogen

Synthetic Peptide within Human CIB1. The exact immunogen used to generate this antibody is proprietary information.

Q99828

Reactivity data

{ "title": "Reactivity Data", "filters": { "stats": ["", "Species", "Dilution Info", "Notes"], "tabs": { "all-applications": {"fullname" : "All Applications", "shortname": "All Applications"}, "IHCP" : {"fullname" : "Immunohistochemistry (Formalin/PFA-fixed paraffin-embedded sections)", "shortname":"IHC-P"} }, "product-promise": { "all": "all", "testedAndGuaranteed": "tested", "guaranteed": "expected", "predicted": "predicted", "notRecommended": "not-recommended" } }, "values": { "Human": { "IHCP-species-checked": "testedAndGuaranteed", "IHCP-species-dilution-info": "1/40 - 1/200", "IHCP-species-notes": "<p></p>" } } }

Properties and storage information

Form
Liquid
Purification technique
Affinity purification Immunogen
Storage buffer
pH: 7.4 Preservative: 0.05% Sodium azide Constituents: PBS, 50% Glycerol (glycerin, glycerine)
Shipped at conditions
Blue Ice
Appropriate short-term storage duration
1-2 weeks
Appropriate short-term storage conditions
+4°C
Appropriate long-term storage conditions
-20°C
Aliquoting information
Upon delivery aliquot
Storage information
Avoid freeze / thaw cycle

Product protocols

For this product, it's our understanding that no specific protocols are required. You can visit:

Target data

Calcium-binding protein that plays a role in the regulation of numerous cellular processes, such as cell differentiation, cell division, cell proliferation, cell migration, thrombosis, angiogenesis, cardiac hypertrophy and apoptosis. Involved in bone marrow megakaryocyte differentiation by negatively regulating thrombopoietin-mediated signaling pathway. Participates in the endomitotic cell cycle of megakaryocyte, a form of mitosis in which both karyokinesis and cytokinesis are interrupted. Plays a role in integrin signaling by negatively regulating alpha-IIb/beta3 activation in thrombin-stimulated megakaryocytes preventing platelet aggregation. Up-regulates PTK2/FAK1 activity, and is also needed for the recruitment of PTK2/FAK1 to focal adhesions; it thus appears to play an important role in focal adhesion formation. Positively regulates cell migration on fibronectin in a CDC42-dependent manner, the effect being negatively regulated by PAK1. Functions as a negative regulator of stress activated MAP kinase (MAPK) signaling pathways. Down-regulates inositol 1,4,5-trisphosphate receptor-dependent calcium signaling. Involved in sphingosine kinase SPHK1 translocation to the plasma membrane in a N-myristoylation-dependent manner preventing TNF-alpha-induced apoptosis. Regulates serine/threonine-protein kinase PLK3 activity for proper completion of cell division progression. Plays a role in microtubule (MT) dynamics during neuronal development; disrupts the MT depolymerization activity of STMN2 attenuating NGF-induced neurite outgrowth and the MT reorganization at the edge of lamellipodia. Promotes cardiomyocyte hypertrophy via activation of the calcineurin/NFAT signaling pathway. Stimulates calcineurin PPP3R1 activity by mediating its anchoring to the sarcolemma. In ischemia-induced (pathological or adaptive) angiogenesis, stimulates endothelial cell proliferation, migration and microvessel formation by activating the PAK1 and ERK1/ERK2 signaling pathway. Promotes also cancer cell survival and proliferation. May regulate cell cycle and differentiation of spermatogenic germ cells, and/or differentiation of supporting Sertoli cells. Forms a complex with TMC6/EVER1 and TMC8/EVER2 in lymphocytes and keratynocytes where CIB1 stabilizes TMC6 and TMC8 levels and reciprocally (PubMed : 30068544, PubMed : 32917726).. Acts as a restriction factor that promotes keratinocyte-intrinsic immunity to human beta-papillomaviruses (HPVs).. Isoform 2. Plays a regulatory role in angiogenesis and tumor growth by mediating PKD/PRKD2-induced vascular endothelial growth factor A (VEGFA) secretion.
See full target information CIB1

Publications (1)

Recent publications for all applications. Explore the full list and refine your search

EMBO molecular medicine 9:1711-1731 PubMed29084757

2017

CIB2, defective in isolated deafness, is key for auditory hair cell mechanotransduction and survival.

Applications

Unspecified application

Species

Unspecified reactive species

Vincent Michel,Kevin T Booth,Pranav Patni,Matteo Cortese,Hela Azaiez,Amel Bahloul,Kimia Kahrizi,Ménélik Labbé,Alice Emptoz,Andrea Lelli,Julie Dégardin,Typhaine Dupont,Asadollah Aghaie,Danuta Oficjalska-Pham,Serge Picaud,Hossein Najmabadi,Richard J Smith,Michael R Bowl,Steven Dm Brown,Paul Avan,Christine Petit,Aziz El-Amraoui
View all publications

Product promise

We are committed to supporting your work with high-quality reagents, and we're here for you every step of the way. In the unlikely event that one of our products does not perform as expected, you're protected by our Product Promise.
For full details, please see our Terms & Conditions

Please note: All products are 'FOR RESEARCH USE ONLY. NOT FOR USE IN DIAGNOSTIC OR THERAPEUTIC PROCEDURES'.

For licensing inquiries, please contact partnerships@abcam.com