JavaScript is disabled in your browser. Please enable JavaScript to view this website.
AB111908

Anti-CIB2 antibody

Be the first to review this product! Submit a review

|

(1 Publication)

Rabbit Polyclonal CIB2 antibody. Suitable for IHC-P and reacts with Human samples. Cited in 1 publication. Immunogen corresponding to Synthetic Peptide within Human CIB2.

View Alternative Names

KIP2, CIB2, Calcium and integrin-binding family member 2, Kinase-interacting protein 2, KIP 2

1 Images
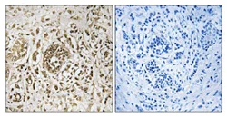
Immunohistochemistry (Formalin/PFA-fixed paraffin-embedded sections) - Anti-CIB2 antibody (AB111908)
  • IHC-P

Unknown

Immunohistochemistry (Formalin/PFA-fixed paraffin-embedded sections) - Anti-CIB2 antibody (AB111908)

ab111908 at 1/50 dilution staining CIB2 in paraffin-embedded Human Breast carcinoma tissue by Immunohistochemistry. The image on the right is treated with the synthesized peptide.

Key facts

Host species

Rabbit

Clonality

Polyclonal

Isotype

IgG

Carrier free

No

Reacts with

Human

Applications

IHC-P

applications

Immunogen

Synthetic Peptide within Human CIB2. The exact immunogen used to generate this antibody is proprietary information.

O75838

Reactivity data

{ "title": "Reactivity Data", "filters": { "stats": ["", "Species", "Dilution Info", "Notes"], "tabs": { "all-applications": {"fullname" : "All Applications", "shortname": "All Applications"}, "IHCP" : {"fullname" : "Immunohistochemistry (Formalin/PFA-fixed paraffin-embedded sections)", "shortname":"IHC-P"} }, "product-promise": { "all": "all", "testedAndGuaranteed": "tested", "guaranteed": "expected", "predicted": "predicted", "notRecommended": "not-recommended" } }, "values": { "Human": { "IHCP-species-checked": "testedAndGuaranteed", "IHCP-species-dilution-info": "1/50 - 1/100", "IHCP-species-notes": "<p></p> Perform heat-mediated antigen retrieval with citrate buffer pH 6 before commencing with IHC staining protocol." }, "Mouse": { "IHCP-species-checked": "predicted", "IHCP-species-dilution-info": "", "IHCP-species-notes": "" }, "Rat": { "IHCP-species-checked": "predicted", "IHCP-species-dilution-info": "", "IHCP-species-notes": "" } } }

Properties and storage information

Form
Liquid
Purification technique
Affinity purification Immunogen
Storage buffer
pH: 7.4 Preservative: 0.02% Sodium azide Constituents: PBS, 50% Glycerol (glycerin, glycerine), 0.88% Sodium chloride
Shipped at conditions
Blue Ice
Appropriate short-term storage conditions
+4°C
Appropriate long-term storage conditions
-20°C
Storage information
Stable for 12 months at -20°C

Product protocols

For this product, it's our understanding that no specific protocols are required. You can visit:

Target data

Calcium- and integrin-binding protein that plays a role in intracellular calcium homeostasis (By similarity). Acts as an auxiliary subunit of the sensory mechanoelectrical transduction (MET) channel in hair cells (By similarity). Essential for mechanoelectrical transduction (MET) currents in auditory hair cells and thereby required for hearing (By similarity). Regulates the function of hair cell mechanotransduction by controlling the distribution of transmembrane channel-like proteins TMC1 and TMC2, and by regulating the function of the MET channels in hair cells (By similarity). Required for the maintenance of auditory hair cell stereocilia bundle morphology and function and for hair-cell survival in the cochlea (By similarity). Critical for proper photoreceptor cell maintenance and function (By similarity). Plays a role in intracellular calcium homeostasis by decreasing ATP-induced calcium release (PubMed : 23023331, PubMed : 26173970, PubMed : 26426422).
See full target information CIB2

Publications (1)

Recent publications for all applications. Explore the full list and refine your search

EMBO molecular medicine 9:1711-1731 PubMed29084757

2017

CIB2, defective in isolated deafness, is key for auditory hair cell mechanotransduction and survival.

Applications

Unspecified application

Species

Unspecified reactive species

Vincent Michel,Kevin T Booth,Pranav Patni,Matteo Cortese,Hela Azaiez,Amel Bahloul,Kimia Kahrizi,Ménélik Labbé,Alice Emptoz,Andrea Lelli,Julie Dégardin,Typhaine Dupont,Asadollah Aghaie,Danuta Oficjalska-Pham,Serge Picaud,Hossein Najmabadi,Richard J Smith,Michael R Bowl,Steven Dm Brown,Paul Avan,Christine Petit,Aziz El-Amraoui
View all publications

Product promise

We are committed to supporting your work with high-quality reagents, and we're here for you every step of the way. In the unlikely event that one of our products does not perform as expected, you're protected by our Product Promise.
For full details, please see our Terms & Conditions

Please note: All products are 'FOR RESEARCH USE ONLY. NOT FOR USE IN DIAGNOSTIC OR THERAPEUTIC PROCEDURES'.

For licensing inquiries, please contact partnerships@abcam.com