JavaScript is disabled in your browser. Please enable JavaScript to view this website.
AB191193

Anti-CIDE A antibody

Be the first to review this product! Submit a review

|

(1 Publication)

Rabbit Polyclonal CIDE A antibody. Suitable for WB, IHC-P and reacts with Human samples. Cited in 1 publication. Immunogen corresponding to Synthetic Peptide within Human CIDEA aa 150 to C-terminus conjugated to Keyhole Limpet Haemocyanin.

View Alternative Names

Lipid transferase CIDEA, Cell death activator CIDE-A, Cell death-inducing DFFA-like effector A, CIDEA

2 Images
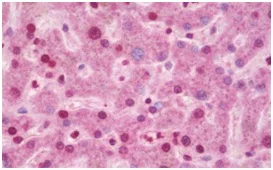
Immunohistochemistry (Formalin/PFA-fixed paraffin-embedded sections) - Anti-CIDE A antibody (AB191193)
  • IHC-P

Supplier Data

Immunohistochemistry (Formalin/PFA-fixed paraffin-embedded sections) - Anti-CIDE A antibody (AB191193)

Immunohistochemical analysis of paraffin embedded formalin fixed human liver tissue labeling CIDE A using ab191193 at 1/100 dilution.

Western blot - Anti-CIDE A antibody (AB191193)
  • WB

Supplier Data

Western blot - Anti-CIDE A antibody (AB191193)

All lanes:

Western blot - Anti-CIDE A antibody (ab191193) at 1/1000 dilution

All lanes:

CEM cell lysate at 35 µg

Predicted band size: 25 kDa

false

Key facts

Host species

Rabbit

Clonality

Polyclonal

Isotype

IgG

Carrier free

No

Reacts with

Human

Applications

WB, IHC-P

applications

Immunogen

Synthetic Peptide within Human CIDEA aa 150 to C-terminus conjugated to Keyhole Limpet Haemocyanin. The exact immunogen used to generate this antibody is proprietary information.

O60543

Reactivity data

{ "title": "Reactivity Data", "filters": { "stats": ["", "Species", "Dilution Info", "Notes"], "tabs": { "all-applications": {"fullname" : "All Applications", "shortname": "All Applications"}, "WB" : {"fullname" : "Western blot", "shortname":"WB"}, "IHCP" : {"fullname" : "Immunohistochemistry (Formalin/PFA-fixed paraffin-embedded sections)", "shortname":"IHC-P"} }, "product-promise": { "all": "all", "testedAndGuaranteed": "tested", "guaranteed": "expected", "predicted": "predicted", "notRecommended": "not-recommended" } }, "values": { "Human": { "WB-species-checked": "testedAndGuaranteed", "WB-species-dilution-info": "1/1000", "WB-species-notes": "<p></p>", "IHCP-species-checked": "testedAndGuaranteed", "IHCP-species-dilution-info": "1/100", "IHCP-species-notes": "<p></p>" } } }

Properties and storage information

Form
Liquid
Purification technique
Affinity purification Immunogen
Storage buffer
pH: 7.4 Preservative: 0.09% Sodium azide Constituents: 99% PBS
Shipped at conditions
Blue Ice
Appropriate short-term storage duration
1-2 weeks
Appropriate short-term storage conditions
+4°C
Appropriate long-term storage conditions
-20°C
Aliquoting information
Upon delivery aliquot
Storage information
Avoid freeze / thaw cycle

Product protocols

For this product, it's our understanding that no specific protocols are required. You can visit:

Target data

Lipid transferase that promotes unilocular lipid droplet formation by mediating lipid droplet fusion (PubMed : 19843876, PubMed : 26118629). Lipid droplet fusion promotes their enlargement, restricting lipolysis and favoring lipid storage (PubMed : 19843876). Localizes on the lipid droplet surface, at focal contact sites between lipid droplets, and mediates atypical lipid droplet fusion by promoting directional net neutral lipid transfer from the smaller to larger lipid droplets (By similarity). The transfer direction may be driven by the internal pressure difference between the contacting lipid droplet pair and occurs at a lower rate than that promoted by CIDEC (By similarity). May also act as a CEBPB coactivator in epithelial cells to control the expression of a subset of CEBPB downstream target genes, including ID2, IGF1, PRLR, SOCS1, SOCS3, XDH, but not casein (By similarity). By interacting with CEBPB, strengthens the association of CEBPB with the XDH promoter, increases histone acetylation and dissociates HDAC1 from the promoter (By similarity). When overexpressed, induces apoptosis; the physiological significance of its role in apoptosis is unclear (By similarity).
See full target information CIDEA

Publications (1)

Recent publications for all applications. Explore the full list and refine your search

Frontiers in genetics 13:860067 PubMed36199579

2022

Transcriptome profiles of fatty acid metabolism-related genes and immune infiltrates identify hot tumors for immunotherapy in cutaneous melanoma.

Applications

Unspecified application

Species

Unspecified reactive species

Yunxian Dong,Zirui Zhao,Maijimi Simayi,Chufen Chen,Zhongye Xu,Dongming Lv,Bing Tang
View all publications

Product promise

We are committed to supporting your work with high-quality reagents, and we're here for you every step of the way. In the unlikely event that one of our products does not perform as expected, you're protected by our Product Promise.
For full details, please see our Terms & Conditions

Please note: All products are 'FOR RESEARCH USE ONLY. NOT FOR USE IN DIAGNOSTIC OR THERAPEUTIC PROCEDURES'.

For licensing inquiries, please contact partnerships@abcam.com