JavaScript is disabled in your browser. Please enable JavaScript to view this website.
AB324691

Anti-CIDE A antibody [EPR30276-574] - BSA and Azide free

Be the first to review this product! Submit a review

|

(0 Publication)

Rabbit Recombinant Monoclonal CIDE A antibody. Carrier free. Suitable for WB and reacts with Mouse, Rat samples.

View Alternative Names

Lipid transferase CIDEA, Cell death activator CIDE-A, Cell death-inducing DFFA-like effector A, Cidea

2 Images
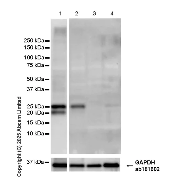
Western blot - Anti-CIDE A antibody [EPR30276-574] - BSA and Azide free (AB324691)
  • WB

Supplier Data

Western blot - Anti-CIDE A antibody [EPR30276-574] - BSA and Azide free (AB324691)

This data was developed using ab324684, the same antibody clone in a different buffer formulation.

Blocking and diluting buffer and concentration : QD20250827IMG34.

Low expression : spleen, heart (PMID : 18198355).

The expression profile/ molecular weight observed is consistent with what has been described in the literature (PMID : 18509062).

In Western blot, Anti-GAPDH antibody [EPR16891] - Loading Control (ab181602) staining at 1/200000 dilution.

Exposure time : Lane 1 : 15 seconds, lanes 2-4 : 37 seconds

All lanes:

Western blot - Anti-CIDE A antibody [EPR30276-574] (<a href='/en-us/products/primary-antibodies/cide-a-antibody-epr30276-574-ab324684'>ab324684</a>) at 1/1000 dilution

Lane 1:

Mouse breast tissue lysate at 20 µg

Lane 2:

Mouse brown fat tissue lysate at 20 µg

Lane 3:

Mouse spleen tissue lysate  at 20 µg

Lane 4:

Mouse heart tissue lysate at 20 µg

Secondary

All lanes:

Western blot - Goat Anti-Rabbit IgG H&L (HRP) (<a href='/en-us/products/secondary-antibodies/goat-rabbit-igg-h-l-hrp-ab97051'>ab97051</a>) at 1/20000 dilution

Observed band size: 25 kDa,23 kDa,36 kDa

false

Western blot - Anti-CIDE A antibody [EPR30276-574] - BSA and Azide free (AB324691)
  • WB

Supplier Data

Western blot - Anti-CIDE A antibody [EPR30276-574] - BSA and Azide free (AB324691)

This data was developed using ab324684, the same antibody clone in a different buffer formulation.

Blocking and diluting buffer and concentration : QD20250827IMG35.

Low expression : spleen (PMID : 18198355).

The expression profile/ molecular weight observed is consistent with what has been described in the literature (PMID : 18509062).

In Western blot, Anti-GAPDH antibody [EPR16891] - Loading Control (ab181602) staining at 1/200000 dilution.

Exposure time : Lane 1 : 15 seconds, lanes 2-3 : 180 seconds

All lanes:

Western blot - Anti-CIDE A antibody [EPR30276-574] (<a href='/en-us/products/primary-antibodies/cide-a-antibody-epr30276-574-ab324684'>ab324684</a>) at 1/1000 dilution

Lane 1:

Rat breast tissue lysate at 50 µg

Lane 2:

Rat brown fat tissue lysate at 50 µg

Lane 3:

Rat spleen tissue lysate at 50 µg

Secondary

All lanes:

Western blot - Goat Anti-Rabbit IgG H&L (HRP) (<a href='/en-us/products/secondary-antibodies/goat-rabbit-igg-h-l-hrp-ab97051'>ab97051</a>) at 1/10000 dilution

Observed band size: 25 kDa,23 kDa,36 kDa

false

Key facts

Host species

Rabbit

Clonality

Monoclonal

Clone number

EPR30276-574

Isotype

IgG

Carrier free

Yes

Reacts with

Mouse, Rat

Applications

WB

applications

Immunogen

The exact immunogen used to generate this antibody is proprietary information.

Reactivity data

{ "title": "Reactivity Data", "filters": { "stats": ["", "Species", "Dilution Info", "Notes"], "tabs": { "all-applications": {"fullname" : "All Applications", "shortname": "All Applications"}, "WB" : {"fullname" : "Western blot", "shortname":"WB"}, "IHCP" : {"fullname" : "Immunohistochemistry (Formalin/PFA-fixed paraffin-embedded sections)", "shortname":"IHC-P"} }, "product-promise": { "all": "all", "testedAndGuaranteed": "tested", "guaranteed": "expected", "predicted": "predicted", "notRecommended": "not-recommended" } }, "values": { "Human": { "WB-species-checked": "notRecommended", "WB-species-dilution-info": "", "WB-species-notes": "", "IHCP-species-checked": "notRecommended", "IHCP-species-dilution-info": "", "IHCP-species-notes": "<p></p>" }, "Mouse": { "WB-species-checked": "testedAndGuaranteed", "WB-species-dilution-info": "", "WB-species-notes": "<p></p>", "IHCP-species-checked": "notRecommended", "IHCP-species-dilution-info": "", "IHCP-species-notes": "<p></p>" }, "Rat": { "WB-species-checked": "testedAndGuaranteed", "WB-species-dilution-info": "", "WB-species-notes": "<p></p>", "IHCP-species-checked": "notRecommended", "IHCP-species-dilution-info": "", "IHCP-species-notes": "" } } }

Product details

ab324691 is the carrier-free version of ab324684.

Conjugation ready
Our carrier-free antibodies are typically supplied in a PBS-only formulation, purified and free of BSA, sodium azide and glycerol. This conjugation-ready format is designed for use with fluorochromes, metal isotopes, oligonucleotides, and enzymes, which makes them ideal for antibody labelling, functional and cell-based assays, flow-based assays (e.g. mass cytometry) and Multiplex Imaging applications.

Use our conjugation kits for antibody conjugates that are ready-to-use in as little as 20 minutes with 1 minute hands-on-time and 100% antibody recovery: available for fluorescent dyes, HRP, biotin and gold.

Compatibility
This product is compatible with the Maxpar® Antibody Labeling Kit from Fluidigm, without the need for antibody preparation. Maxpar® is a trademark of Fluidigm Canada Inc.

Patented technology
Our RabMAb® technology is a patented hybridoma-based technology for making rabbit monoclonal antibodies. For details on our patents, please refer to RabMAb® patents.

What are the advantages of a recombinant monoclonal antibody?
This product is a recombinant monoclonal antibody, which offers several advantages including:

  • - High batch-to-batch consistency and reproducibility
  • - Improved sensitivity and specificity
  • - Long-term security of supply
  • - Animal-free batch production

For more information, read more on recombinant antibodies.

Properties and storage information

Form
Liquid
Purification technique
Affinity purification Protein A
Storage buffer
pH: 7.2 - 7.4 Constituents: 100% PBS
Shipped at conditions
Blue Ice
Appropriate short-term storage conditions
+4°C
Appropriate long-term storage conditions
+4°C

Product protocols

For this product, it's our understanding that no specific protocols are required. You can visit:

Target data

Lipid transferase that promotes unilocular lipid droplet formation by mediating lipid droplet fusion (PubMed : 18509062, PubMed : 22144693, PubMed : 26609809, PubMed : 36477540). Lipid droplet fusion promotes their enlargement, restricting lipolysis and favoring lipid storage (PubMed : 18509062, PubMed : 22144693, PubMed : 26609809). Localizes on the lipid droplet surface, at focal contact sites between lipid droplets, and mediates atypical lipid droplet fusion by promoting directional net neutral lipid transfer from the smaller to larger lipid droplets (PubMed : 18509062, PubMed : 22144693, PubMed : 26609809). The transfer direction may be driven by the internal pressure difference between the contacting lipid droplet pair and occurs at a lower rate than that promoted by CIDEC (PubMed : 18509062, PubMed : 22144693). May also act as a CEBPB coactivator in epithelial cells to control the expression of a subset of CEBPB downstream target genes, including ID2, IGF1, PRLR, SOCS1, SOCS3, XDH, but not casein (PubMed : 22245780). By interacting with CEBPB, strengthens the association of CEBPB with the XDH promoter, increases histone acetylation and dissociates HDAC1 from the promoter (PubMed : 22245780). When overexpressed, induces apoptosis; the physiological significance of its role in apoptosis is unclear (PubMed : 9564035).
See full target information Cell death activator CIDE-A

Product promise

We are committed to supporting your work with high-quality reagents, and we're here for you every step of the way. In the unlikely event that one of our products does not perform as expected, you're protected by our Product Promise.
For full details, please see our Terms & Conditions

Please note: All products are 'FOR RESEARCH USE ONLY. NOT FOR USE IN DIAGNOSTIC OR THERAPEUTIC PROCEDURES'.

For licensing inquiries, please contact partnerships@abcam.com