JavaScript is disabled in your browser. Please enable JavaScript to view this website.
AB5973

Anti-CIKS/ACT1 antibody

Be the first to review this product! Submit a review

|

(2 Publications)

Rabbit Polyclonal CIKS/ACT1 antibody. Suitable for WB, IHC-P, ICC/IF and reacts with Human samples. Cited in 2 publications. Immunogen corresponding to Synthetic Peptide within Human TRAF3IP2 aa 550 to C-terminus.

View Alternative Names

C6orf2, C6orf4, C6orf5, C6orf6, TRAF3IP2, E3 ubiquitin ligase TRAF3IP2, Adapter protein CIKS, Connection to IKK and SAPK/JNK, E3 ubiquitin-protein ligase CIKS, Nuclear factor NF-kappa-B activator 1, TRAF3-interacting protein 2, ACT1

3 Images
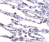
Immunohistochemistry (Formalin/PFA-fixed paraffin-embedded sections) - Anti-CIKS/ACT1 antibody (AB5973)
  • IHC-P

Unknown

Immunohistochemistry (Formalin/PFA-fixed paraffin-embedded sections) - Anti-CIKS/ACT1 antibody (AB5973)

ab5973 at 5μg/ml satining CIKS/ACT1 human lung tissue by IHC.

Immunocytochemistry/ Immunofluorescence - Anti-CIKS/ACT1 antibody (AB5973)
  • ICC/IF

Unknown

Immunocytochemistry/ Immunofluorescence - Anti-CIKS/ACT1 antibody (AB5973)

Immunofluorescence of CIKS/ACT1 in human Lung cells using ab5973 at 20 μg/ml.

Western blot - Anti-CIKS/ACT1 antibody (AB5973)
  • WB

Unknown

Western blot - Anti-CIKS/ACT1 antibody (AB5973)

Western blot analysis of CIKS/ACT1 expression in human placenta tissue lysate with ab5973 at 1 μg /ml. Western blot analysis of CIKS/ACT1 expression in human placenta tissue lysate with ab5973 at 1 μg /ml.

All lanes:

Western blot - Anti-CIKS/ACT1 antibody (ab5973)

Predicted band size: 65 kDa

false

Key facts

Host species

Rabbit

Clonality

Polyclonal

Isotype

IgG

Carrier free

No

Reacts with

Human

Applications

WB, ICC/IF, IHC-P

applications

Immunogen

Synthetic Peptide within Human TRAF3IP2 aa 550 to C-terminus. The exact immunogen used to generate this antibody is proprietary information.

O43734

Reactivity data

{ "title": "Reactivity Data", "filters": { "stats": ["", "Species", "Dilution Info", "Notes"], "tabs": { "all-applications": {"fullname" : "All Applications", "shortname": "All Applications"}, "WB" : {"fullname" : "Western blot", "shortname":"WB"}, "IHCP" : {"fullname" : "Immunohistochemistry (Formalin/PFA-fixed paraffin-embedded sections)", "shortname":"IHC-P"}, "ICCIF" : {"fullname" : "Immunocytochemistry/ Immunofluorescence", "shortname":"ICC/IF"} }, "product-promise": { "all": "all", "testedAndGuaranteed": "tested", "guaranteed": "expected", "predicted": "predicted", "notRecommended": "not-recommended" } }, "values": { "Human": { "WB-species-checked": "testedAndGuaranteed", "WB-species-dilution-info": "1 µg/mL", "WB-species-notes": "<p></p>", "IHCP-species-checked": "testedAndGuaranteed", "IHCP-species-dilution-info": "5 µg/mL", "IHCP-species-notes": "<p></p>", "ICCIF-species-checked": "testedAndGuaranteed", "ICCIF-species-dilution-info": "20 µg/mL", "ICCIF-species-notes": "<p></p>" } } }

Properties and storage information

Form
Liquid
Purification technique
Affinity purification Immunogen
Storage buffer
pH: 7.2 Preservative: 0.02% Sodium azide Constituents: PBS
Shipped at conditions
Blue Ice
Appropriate short-term storage duration
1-2 weeks
Appropriate short-term storage conditions
+4°C
Appropriate long-term storage conditions
-20°C
Aliquoting information
Upon delivery aliquot
Storage information
Avoid freeze / thaw cycle|Stable for 12 months at -20°C

Product protocols

For this product, it's our understanding that no specific protocols are required. You can visit:

Target data

E3 ubiquitin ligase that catalyzes 'Lys-63'-linked polyubiquitination of target protein, enhancing protein-protein interaction and cell signaling (PubMed : 19825828). Transfers ubiquitin from E2 ubiquitin-conjugating enzyme UBE2V1-UBE2N to substrate protein (PubMed : 19825828). Essential adapter molecule in IL17A-mediated signaling (PubMed : 19825828, PubMed : 24120361). Upon IL17A stimulation, interacts with IL17RA and IL17RC receptor chains through SEFIR domains and catalyzes 'Lys-63'-linked polyubiquitination of TRAF6, leading to TRAF6-mediated activation of NF-kappa-B and MAPkinase pathways (PubMed : 19825828).
See full target information TRAF3IP2

Publications (2)

Recent publications for all applications. Explore the full list and refine your search

Cancer management and research 17:541-555 PubMed40098803

2025

Inhibitory Effects of Paclitaxel-Loaded Iron Oxide Nanoparticles on Non-Small Cell Lung Cancer by Enhancing Autophagy-Dependent Ferroptosis and Apoptosis Pathways.

Applications

Unspecified application

Species

Unspecified reactive species

Rongchu Deng,Guanghong Liang,Wenqing Chen,Qi Nie,Jian Wen

Aging 15:10389-10406 PubMed37801482

2023

Novel diagnostic biomarkers of oxidative stress, immunological characterization and experimental validation in Alzheimer's disease.

Applications

Unspecified application

Species

Unspecified reactive species

Di Hu,Xiaocong Mo,Luo Jihang,Cheng Huang,Hesong Xie,Ling Jin
View all publications

Product promise

We are committed to supporting your work with high-quality reagents, and we're here for you every step of the way. In the unlikely event that one of our products does not perform as expected, you're protected by our Product Promise.
For full details, please see our Terms & Conditions

Please note: All products are 'FOR RESEARCH USE ONLY. NOT FOR USE IN DIAGNOSTIC OR THERAPEUTIC PROCEDURES'.

For licensing inquiries, please contact partnerships@abcam.com