JavaScript is disabled in your browser. Please enable JavaScript to view this website.
AB325239

Anti-CIP2A antibody [EPR29632-7]

Be the first to review this product! Submit a review

|

(0 Publication)

Rabbit Recombinant Monoclonal CIP2A antibody. Suitable for IP, ICC/IF, IHC-P, WB and reacts with Human, Mouse samples.

View Alternative Names

KIAA1524, CIP2A, Protein CIP2A, Cancerous inhibitor of PP2A, p90 autoantigen

12 Images
Immunocytochemistry/ Immunofluorescence - Anti-CIP2A antibody [EPR29632-7] (AB325239)
  • ICC/IF

Lab

Immunocytochemistry/ Immunofluorescence - Anti-CIP2A antibody [EPR29632-7] (AB325239)

Immunofluorescent analysis of 4% Paraformaldehyde-fixed, 0.1% TritonX-100 permeabilized U-2 OS (human bone osteosarcoma epithelial cell);SK-BR-3 (human breast adenocarcinoma epithelial cell) cells labelling CIP2A with ab325239 at 1/50 (9.98 µg/ml) dilution, followed by ab150081 Goat Anti-Rabbit IgG H&L (Alexa Fluor® 488) preadsorbed antibody at 1/1000 dilution (Green).

Confocal image showing cytoplasmic staining and enriched in foci on condensed mitotic chromosomes in U-2 OS cells, with weak cytoplasmic staining SK-BR-3 cell line (shown in green). The counterstain was observed in magenta. Nuclear DNA was labelled with DAPI (shown in blue).
Low expression : SK-BR-3(PMID : 24927563).
Image was taken with a confocal microscope (Leica-Microsystems, TCS SP8).

ab7291 Anti-alpha Tubulin mouse monoclonal antibody was used to counterstain tubulin at 1/1000 dilution (Magenta). The Nuclear counterstain was DAPI (Blue).

-ve control1 : ab325239 at 1 : 50 dilution, followed by ab150120 at 1 : 1000 dilution
-ve control2 : ab7291 at 1 : 1000 dilution, followed by ab150081 at 1 : 1000 dilution

Immunohistochemistry (Formalin/PFA-fixed paraffin-embedded sections) - Anti-CIP2A antibody [EPR29632-7] (AB325239)
  • IHC-P

Lab

Immunohistochemistry (Formalin/PFA-fixed paraffin-embedded sections) - Anti-CIP2A antibody [EPR29632-7] (AB325239)

Immunohistochemical analysis of paraffin-embedded Human colon cancer tissue labeling CIP2A with ab325239 at 1/100 (4.99 µg/ml) dilution, followed by a ready to use LeicaDS9800 (Bond™ Polymer Refine Detection).

Positive staining on human colon cancer (PMID : 32321509; PMID : 25896895). The primary antibody was incubated for 30 mins at room temperature.

The immunostaining was performed on a Leica Biosystems BOND® RX instrument

Counterstained with Hematoxylin.

Secondary antibody only control : Secondary antibody is a ready to use LeicaDS9800 (Bond™ Polymer Refine Detection).

Heat mediated antigen retrieval was performed with Tris-EDTA buffer (pH 9.0, Epitope Retrieval Solution2) for 20 mins

Immunohistochemistry (Formalin/PFA-fixed paraffin-embedded sections) - Anti-CIP2A antibody [EPR29632-7] (AB325239)
  • IHC-P

Lab

Immunohistochemistry (Formalin/PFA-fixed paraffin-embedded sections) - Anti-CIP2A antibody [EPR29632-7] (AB325239)

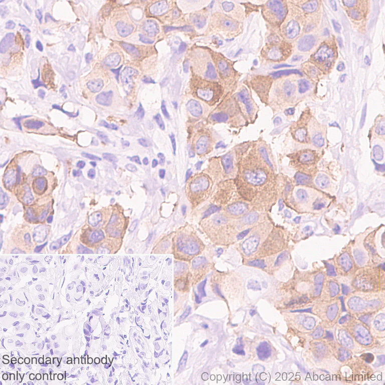
Immunohistochemical analysis of paraffin-embedded Human breast cancer tissue labeling CIP2A with ab325239 at 1/100 (4.99 µg/ml) dilution, followed by a ready to use LeicaDS9800 (Bond™ Polymer Refine Detection).

Positive staining on human breast cancer (PMID : 23306062). The primary antibody was incubated for 30 mins at room temperature.

The immunostaining was performed on a Leica Biosystems BOND® RX instrument

Counterstained with Hematoxylin.

Secondary antibody only control : Secondary antibody is a ready to use LeicaDS9800 (Bond™ Polymer Refine Detection).

Heat mediated antigen retrieval was performed with Tris-EDTA buffer (pH 9.0, Epitope Retrieval Solution2) for 20 mins

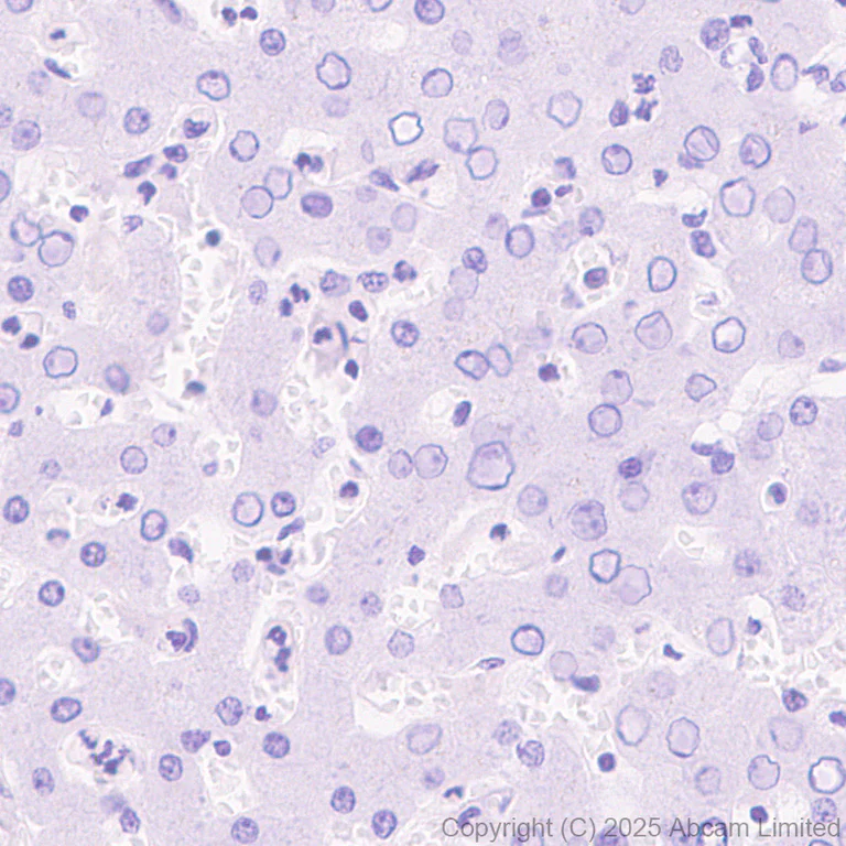
Immunohistochemistry (Formalin/PFA-fixed paraffin-embedded sections) - Anti-CIP2A antibody [EPR29632-7] (AB325239)
  • IHC-P

Lab

Immunohistochemistry (Formalin/PFA-fixed paraffin-embedded sections) - Anti-CIP2A antibody [EPR29632-7] (AB325239)

Immunohistochemical analysis of paraffin-embedded Human liver tissue labeling CIP2A with ab325239 at 1/100 (4.99 µg/ml) dilution, followed by a ready to use LeicaDS9800 (Bond™ Polymer Refine Detection).

Low expression : no staining on human liver (PMID : 17632056). The primary antibody was incubated for 30 mins at room temperature.

The immunostaining was performed on a Leica Biosystems BOND® RX instrument

Counterstained with Hematoxylin.

Secondary antibody only control : Secondary antibody is a ready to use LeicaDS9800 (Bond™ Polymer Refine Detection).

Heat mediated antigen retrieval was performed with Tris-EDTA buffer (pH 9.0, Epitope Retrieval Solution2) for 20 mins

Immunohistochemistry (Formalin/PFA-fixed paraffin-embedded sections) - Anti-CIP2A antibody [EPR29632-7] (AB325239)
  • IHC-P

Lab

Immunohistochemistry (Formalin/PFA-fixed paraffin-embedded sections) - Anti-CIP2A antibody [EPR29632-7] (AB325239)

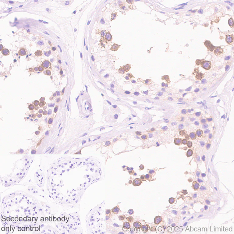
Immunohistochemical analysis of paraffin-embedded Human testis tissue labeling CIP2A with ab325239 at 1/100 (4.99 µg/ml) dilution, followed by a ready to use LeicaDS9800 (Bond™ Polymer Refine Detection).

Positive staining on human testis (PMID : 17632056). The primary antibody was incubated for 30 mins at room temperature.

The immunostaining was performed on a Leica Biosystems BOND® RX instrument

Counterstained with Hematoxylin.

Secondary antibody only control : Secondary antibody is a ready to use LeicaDS9800 (Bond™ Polymer Refine Detection).

Heat mediated antigen retrieval was performed with Tris-EDTA buffer (pH 9.0, Epitope Retrieval Solution2) for 20 mins

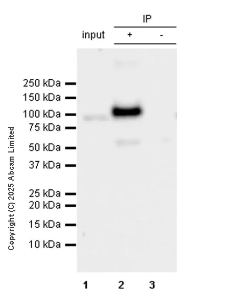
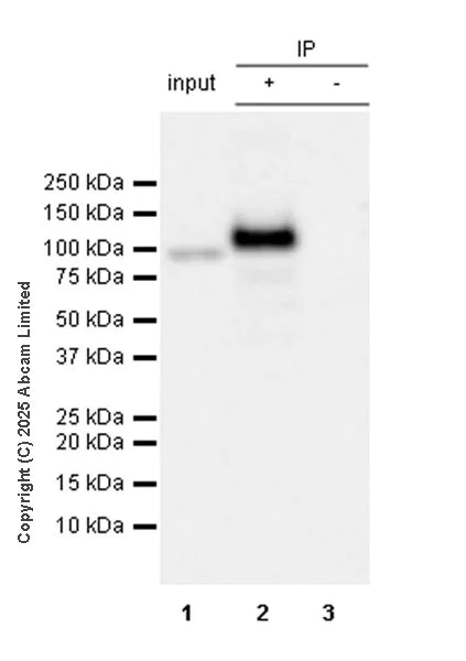
Immunoprecipitation - Anti-CIP2A antibody [EPR29632-7] (AB325239)
  • IP

Lab

Immunoprecipitation - Anti-CIP2A antibody [EPR29632-7] (AB325239)

CIP2A was immunoprecipitated from 0.35 mg SiHa (human cervical epithelial cell) whole cell lysate with ab325239 at 1/30 dilution (2µg in 0.35mg lysates). Western blot was performed on the immunoprecipitate using ab325239 at 1/1000 dilution. VeriBlot for IP secondary antibody(HRP) (ab131366) was used at 1/5000 dilution.

Lane 1 : SiHa (human cervical epithelial cell) whole cell lysate
Lane 2 : ab325239 IP in SiHa (human cervical epithelial cell) whole cell lysate
Lane 3 : Rabbit monoclonal IgG (ab172730) instead of ab325239 in SiHa whole cell lysate

Blocking and dilution buffer and concentration : 5% NFDM/TBST.

Exposure time : 15 seconds.

All lanes:

Immunoprecipitation - Anti-CIP2A antibody [EPR29632-7] (ab325239) at 1/1000 dilution

Lane 1:

SiHa (human cervical epithelial cell) whole cell lysate at 10 µg

Lane 2:

ab325239 at 1/30 IP in SiHa (human cervical epithelial cell) whole cell lysate

Lane 3:

Rabbit monoclonal IgG (<a href='/en-us/products/primary-antibodies/rabbit-igg-monoclonal-epr25a-isotype-control-ab172730'>ab172730</a>) instead of ab325239 in SiHa whole cell lysate

Secondary

All lanes:

Immunoprecipitation - VeriBlot for IP Detection Reagent (HRP) (<a href='/en-us/products/reagents/veriblot-for-ip-detection-reagent-hrp-ab131366'>ab131366</a>) at 1/5000 dilution

Observed band size: 90 kDa

false

Exposure time: 15s

Immunocytochemistry/ Immunofluorescence - Anti-CIP2A antibody [EPR29632-7] (AB325239)
  • ICC/IF

Lab

Immunocytochemistry/ Immunofluorescence - Anti-CIP2A antibody [EPR29632-7] (AB325239)

Immunofluorescent analysis of 4% Paraformaldehyde-fixed, 0.1% TritonX-100 permeabilized NIH/3T3 (mouse embryonic fibroblast) cells labelling CIP2A with ab325239 at 1/50 (9.98 µg/ml) dilution, followed by ab150081 Goat Anti-Rabbit IgG H&L (Alexa Fluor® 488) preadsorbed antibody at 1/1000 dilution (Green).

Confocal image showing cytoplasmic staining and enriched in foci on condensed mitotic chromosomes in NIH/3T3 cells (shown in green). The counterstain was observed in magenta. Nuclear DNA was labelled with DAPI (shown in blue).
Image was taken with a confocal microscope (Leica-Microsystems, TCS SP8).

ab7291 Anti-alpha Tubulin mouse monoclonal antibody was used to counterstain tubulin at 1/1000 dilution (Magenta). The Nuclear counterstain was DAPI (Blue).

-ve control1 : ab325239 at 1 : 50 dilution, followed by ab150120 at 1 : 1000 dilution
-ve control2 : ab7291 at 1 : 1000 dilution, followed by ab150081 at 1 : 1000 dilution

Immunoprecipitation - Anti-CIP2A antibody [EPR29632-7] (AB325239)
  • IP

Lab

Immunoprecipitation - Anti-CIP2A antibody [EPR29632-7] (AB325239)

CIP2A was immunoprecipitated from 0.35 mg NIH/3T3 (mouse embryonic fibroblast) whole cell lysate with ab325239 at 1/30 dilution (2µg in 0.35mg lysates). Western blot was performed on the immunoprecipitate using ab325239 at 1/1000 dilution. VeriBlot for IP secondary antibody(HRP)(ab131366) was used at 1/5000 dilution.

Lane 1 : NIH/3T3 (mouse embryonic fibroblast) whole cell lysate
Lane 2 : ab325239 IP in NIH/3T3 (mouse embryonic fibroblast) whole cell lysate
Lane 3 : Rabbit monoclonal IgG (ab172730) instead of ab325239 in NIH/3T3 whole cell lysate

Blocking and dilution buffer and concentration : 5% NFDM/TBST.

Exposure time : 8 seconds.

All lanes:

Immunoprecipitation - Anti-CIP2A antibody [EPR29632-7] (ab325239) at 1/1000 dilution

Lane 1:

NIH/3T3 (mouse embryonic fibroblast) whole cell lysate at 10 µg

Lane 2:

ab325239 at 1/30 IP in NIH/3T3 (mouse embryonic fibroblast) whole cell lysate

Lane 3:

Rabbit monoclonal IgG (<a href='/en-us/products/primary-antibodies/rabbit-igg-monoclonal-epr25a-isotype-control-ab172730'>ab172730</a>) instead of ab325239 in NIH/3T3 whole cell lysate

Secondary

All lanes:

Immunoprecipitation - VeriBlot for IP Detection Reagent (HRP) (<a href='/en-us/products/reagents/veriblot-for-ip-detection-reagent-hrp-ab131366'>ab131366</a>) at 1/5000 dilution

Observed band size: 90 kDa

false

Exposure time: 8s

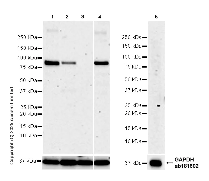
Western blot - Anti-CIP2A antibody [EPR29632-7] (AB325239)
  • WB

Lab

Western blot - Anti-CIP2A antibody [EPR29632-7] (AB325239)

Blocking and diluting buffer and concentration : 5% NFDM/TBST.

Low expression : liver, skeletal muscle(PMID : 17632056)

In Western blot, Anti-GAPDH antibody [EPR16891] - Loading Control (ab181602) (1 : 200000) (36KDa).

All lanes:

Western blot - Anti-CIP2A antibody [EPR29632-7] (ab325239) at 1/1000 dilution

Lane 1:

Human testis tissue lysate at 20 µg

Lane 2:

Human colon cancer tissue lysate at 20 µg

Lane 3:

Human liver tissue lysate at 20 µg

Lane 4:

Human breast cancer tissue lysate at 20 µg

Lane 5:

Human skeletal muscle tissue lysate at 20 µg

Secondary

All lanes:

Goat Anti-Rabbit IgG (HRP) with minimal cross-reactivity with human IgG at 1/2000 dilution

Observed band size: 90 kDa,36 kDa

false

Exposure time: 180s

Western blot - Anti-CIP2A antibody [EPR29632-7] (AB325239)
  • WB

Lab

Western blot - Anti-CIP2A antibody [EPR29632-7] (AB325239)

Blocking and diluting buffer and concentration : 5% NFDM/TBST.

Low expression : SK-BR-3(PMID : 24927563)

The identity of the bands below 75 kDa in lane 2 and lane 4 are unknown.

In Western blot, Anti-GAPDH antibody [EPR16891] - Loading Control (ab181602) (1 : 200000) (36KDa).

All lanes:

Western blot - Anti-CIP2A antibody [EPR29632-7] (ab325239) at 1/1000 dilution

Lane 1:

SiHa (human cervical epithelial cell) whole cell lysate at 20 µg

Lane 2:

U-2 OS (human bone osteosarcoma epithelial cell) whole cell lysate at 20 µg

Lane 3:

SK-BR-3 (human breast adenocarcinoma epithelial cell) whole cell lysate at 20 µg

Lane 4:

NIH/3T3 (mouse embryonic fibroblast) whole cell lysate at 20 µg

Lane 5:

CT26.WT (mouse colon fibroblast) whole cell lysate at 20 µg

Lane 6:

HeLa (human cervical adenocarcinoma epithelial cell) whole cell lysate at 20 µg

Secondary

All lanes:

Western blot - Goat Anti-Rabbit IgG H&L (HRP) (<a href='/en-us/products/secondary-antibodies/goat-rabbit-igg-h-l-hrp-ab97051'>ab97051</a>) at 1/100000 dilution

Observed band size: 90 kDa,36 kDa

false

Exposure time: 37s

Western blot - Anti-CIP2A antibody [EPR29632-7] (AB325239)
  • WB

Lab

Western blot - Anti-CIP2A antibody [EPR29632-7] (AB325239)

Blocking and diluting buffer and concentration : 5% NFDM/TBST.

In Western blot, Anti-GAPDH antibody [EPR16891] - Loading Control (ab181602) (1 : 200000) (36KDa).

All lanes:

Western blot - Anti-CIP2A antibody [EPR29632-7] (ab325239) at 1/1000 dilution

Lane 1:

HeLa (human cervical adenocarcinoma epithelial cell) transfected with scrambled siRNA control whole cell lysate at 20 µg

Lane 2:

HeLa transfected with siRNA specifically targeting CIP2A whole cell lysate at 20 µg

Secondary

All lanes:

Western blot - Goat Anti-Rabbit IgG H&L (HRP) (<a href='/en-us/products/secondary-antibodies/goat-rabbit-igg-h-l-hrp-ab97051'>ab97051</a>) at 1/100000 dilution

Observed band size: 90 kDa,36 kDa

false

Exposure time: 26s

Western blot - Anti-CIP2A antibody [EPR29632-7] (AB325239)
  • WB

Lab

Western blot - Anti-CIP2A antibody [EPR29632-7] (AB325239)

Blocking and diluting buffer and concentration : 5% NFDM/TBST.

Low expression : liver, skeletal muscle(PMID : 17632056)

In Western blot, Anti-GAPDH antibody [EPR16891] - Loading Control (ab181602) (1 : 200000) (36KDa).

All lanes:

Western blot - Anti-CIP2A antibody [EPR29632-7] (ab325239) at 1/1000 dilution

Lane 1:

Mouse testis tissue lysate at 20 µg

Lane 2:

Mouse liver tissue lysate at 20 µg

Lane 3:

Mouse skeletal muscle tissue lysate at 20 µg

Secondary

All lanes:

Western blot - Goat Anti-Rabbit IgG H&L (HRP) (<a href='/en-us/products/secondary-antibodies/goat-rabbit-igg-h-l-hrp-ab97051'>ab97051</a>) at 1/100000 dilution

Observed band size: 90 kDa,36 kDa

false

Exposure time: 180s

Key facts

Host species

Rabbit

Clonality

Monoclonal

Clone number

EPR29632-7

Isotype

IgG

Carrier free

No

Reacts with

Human, Mouse

Applications

IP, WB, ICC/IF, IHC-P

applications

Immunogen

The exact immunogen used to generate this antibody is proprietary information.

Specificity

Unsuitable for mouse IHC-P.

Reactivity data

{ "title": "Reactivity Data", "filters": { "stats": ["", "Species", "Dilution Info", "Notes"], "tabs": { "all-applications": {"fullname" : "All Applications", "shortname": "All Applications"}, "IP" : {"fullname" : "Immunoprecipitation", "shortname":"IP"}, "ICCIF" : {"fullname" : "Immunocytochemistry/ Immunofluorescence", "shortname":"ICC/IF"}, "IHCP" : {"fullname" : "Immunohistochemistry (Formalin/PFA-fixed paraffin-embedded sections)", "shortname":"IHC-P"}, "WB" : {"fullname" : "Western blot", "shortname":"WB"} }, "product-promise": { "all": "all", "testedAndGuaranteed": "tested", "guaranteed": "expected", "predicted": "predicted", "notRecommended": "not-recommended" } }, "values": { "Human": { "IP-species-checked": "testedAndGuaranteed", "IP-species-dilution-info": "1/30", "IP-species-notes": "<p></p>", "ICCIF-species-checked": "testedAndGuaranteed", "ICCIF-species-dilution-info": "1/50", "ICCIF-species-notes": "<p></p>", "IHCP-species-checked": "testedAndGuaranteed", "IHCP-species-dilution-info": "1/100", "IHCP-species-notes": "<p></p> Perform heat-mediated antigen retrieval with Tris/EDTA buffer pH 9.0 before commencing with IHC staining protocol.", "WB-species-checked": "testedAndGuaranteed", "WB-species-dilution-info": "1/1000", "WB-species-notes": "<p></p>" }, "Mouse": { "IP-species-checked": "testedAndGuaranteed", "IP-species-dilution-info": "1/30", "IP-species-notes": "<p></p>", "ICCIF-species-checked": "testedAndGuaranteed", "ICCIF-species-dilution-info": "1/50", "ICCIF-species-notes": "<p></p>", "IHCP-species-checked": "notRecommended", "IHCP-species-dilution-info": "", "IHCP-species-notes": "<p></p>", "WB-species-checked": "testedAndGuaranteed", "WB-species-dilution-info": "1/1000", "WB-species-notes": "<p></p>" } } }

Product details

Patented technology
Our RabMAb® technology is a patented hybridoma-based technology for making rabbit monoclonal antibodies. For details on our patents, please refer to RabMAb® patents.

What are the advantages of a recombinant monoclonal antibody?
This product is a recombinant monoclonal antibody, which offers several advantages including:

  • - High batch-to-batch consistency and reproducibility
  • - Improved sensitivity and specificity
  • - Long-term security of supply
  • - Animal-free batch production

For more information, read more on recombinant antibodies.

Properties and storage information

Form
Liquid
Purification technique
Affinity purification Protein A
Storage buffer
pH: 7.2 - 7.4 Preservative: 0.01% Sodium azide Constituents: PBS, 40% Glycerol (glycerin, glycerine), 0.05% BSA
Shipped at conditions
Blue Ice
Appropriate short-term storage duration
1-2 weeks
Appropriate short-term storage conditions
+4°C
Appropriate long-term storage conditions
-20°C
Aliquoting information
Upon delivery aliquot
Storage information
Avoid freeze / thaw cycle

Product protocols

For this product, it's our understanding that no specific protocols are required. You can visit:

Target data

Acts as an inhibitor of protein phosphatase PP2A (PubMed : 17632056). Promotes anchorage-independent cell growth and tumor formation by preventing dephosphorylation of MYC, thereby stabilizing MYC in human malignancies (PubMed : 17632056). Together with TOPBP1, plays an essential role in the response to genome instability generated by the presence of acentric chromosome fragments derived from shattered chromosomes within micronuclei (PubMed : 35121901, PubMed : 35842428, PubMed : 37165191, PubMed : 37316668). Micronuclei, which are frequently found in cancer cells, consist of chromatin surrounded by their own nuclear membrane : following breakdown of the micronuclear envelope, a process associated with chromothripsis, the CIP2A-TOPBP1 complex tethers chromosome fragments during mitosis to ensure clustered segregation of the fragments to a single daughter cell nucleus, facilitating re-ligation with limited chromosome scattering and loss (PubMed : 37165191, PubMed : 37316668).
See full target information CIP2A

Product promise

We are committed to supporting your work with high-quality reagents, and we're here for you every step of the way. In the unlikely event that one of our products does not perform as expected, you're protected by our Product Promise.
For full details, please see our Terms & Conditions

Please note: All products are 'FOR RESEARCH USE ONLY. NOT FOR USE IN DIAGNOSTIC OR THERAPEUTIC PROCEDURES'.

For licensing inquiries, please contact partnerships@abcam.com