JavaScript is disabled in your browser. Please enable JavaScript to view this website.
AB108313

Anti-Cip4 antibody [EPR1965]

Be the first to review this product! Submit a review

|

(1 Publication)

Rabbit Recombinant Monoclonal CIP4 antibody. Suitable for IHC-P, WB and reacts with Human samples. Cited in 1 publication.

View Alternative Names

CIP4, STOT, STP, TRIP10, Cdc42-interacting protein 4, Protein Felic, Salt tolerant protein, Thyroid receptor-interacting protein 10, hSTP, TR-interacting protein 10, TRIP-10

3 Images
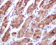
Immunohistochemistry (Formalin/PFA-fixed paraffin-embedded sections) - Anti-Cip4 antibody [EPR1965] (AB108313)
  • IHC-P

Unknown

Immunohistochemistry (Formalin/PFA-fixed paraffin-embedded sections) - Anti-Cip4 antibody [EPR1965] (AB108313)

ab108313 at 1/100 dilution staining Cip4 in paraffin embedded Human stomach tissue.

Perform heat mediated antigen retrieval via the pressure cooker method before commencing with IHC staining protocol.

Western blot - Anti-Cip4 antibody [EPR1965] (AB108313)
  • WB

Lab

Western blot - Anti-Cip4 antibody [EPR1965] (AB108313)

Lanes 1-4 : Merged signal (red and green). Green - ab108313 observed at 75 kDa. Red - loading control ab8245 observed at 36 kDa.

ab108313 Anti-Cip4 antibody [EPR1965] was shown to specifically react with Cip4 in wild-type HEK293T cells. Loss of signal was observed when knockout cell line ab266428 (knockout cell lysate ab258251) was used. Wild-type and Cip4 knockout samples were subjected to SDS-PAGE. ab108313 and Anti-GAPDH antibody [6C5] - Loading Control (ab8245) were incubated overnight at 4°C at 1 in 1000 dilution and 1 in 20000 dilution respectively. Blots were developed with Goat anti-Rabbit IgG H&L (IRDye® 800CW) preadsorbed (ab216773) and Goat anti-Mouse IgG H&L (IRDye® 680RD) preadsorbed (ab216776) secondary antibodies at 1 in 20000 dilution for 1 hour at room temperature before imaging.

All lanes:

Western blot - Anti-Cip4 antibody [EPR1965] (ab108313) at 1/1000 dilution

Lane 1:

Wild-type HEK293T cell lysate at 20 µg

Lane 2:

TRIP10 knockout HEK293T cell lysate at 20 µg

Lane 2:

Western blot - Human TRIP10 (Cip4) knockout HEK-293T cell line (<a href='/en-us/products/cell-lines/human-trip10-cip4-knockout-hek-293t-cell-line-ab266428'>ab266428</a>)

Lane 3:

JAR cell lysate at 20 µg

Lane 4:

HepG2 cell lysate at 20 µg

Secondary

All lanes:

Western blot - Goat anti-Rabbit IgG H&L (IRDye® 800CW) preadsorbed (<a href='/en-us/products/secondary-antibodies/goat-rabbit-igg-h-l-irdye-800cw-preadsorbed-ab216773'>ab216773</a>) at 1/10000 dilution

Predicted band size: 11 kDa,21 kDa,22 kDa,33 kDa,37 kDa,40 kDa,42 kDa,48 kDa,57 kDa,61 kDa,65 kDa,67 kDa,68 kDa,69 kDa

Observed band size: 100-180 kDa,15 kDa,21 kDa,26 kDa,33 kDa,37 kDa,40 kDa,48 kDa,49 kDa,65 kDa,67 kDa,70 kDa,75 kDa

false

Western blot - Anti-Cip4 antibody [EPR1965] (AB108313)
  • WB

Unknown

Western blot - Anti-Cip4 antibody [EPR1965] (AB108313)

All lanes:

Western blot - Anti-Cip4 antibody [EPR1965] (ab108313) at 1/1000 dilution

Lane 1:

JAR cell lysate at 10 µg

Lane 2:

HepG2 cell lysate at 10 µg

Lane 3:

TF1 cell lysate at 10 µg

Lane 4:

HeLa cell lysate at 10 µg

Predicted band size: 68 kDa

false

Key facts

Host species

Rabbit

Clonality

Monoclonal

Clone number

EPR1965

Isotype

IgG

Carrier free

No

Reacts with

Human

Applications

WB, IHC-P

applications

Immunogen

The exact immunogen used to generate this antibody is proprietary information.

Specificity

Recent WB re-tests performed by our lab suggest to use a higher dilution for mouse samples. The tested dilutions were 1:500 and 1:2000, were the signal detected was very strong. Human and rat samples worked fine in these dilutions.

Reactivity data

{ "title": "Reactivity Data", "filters": { "stats": ["", "Species", "Dilution Info", "Notes"], "tabs": { "all-applications": {"fullname" : "All Applications", "shortname": "All Applications"}, "IHCP" : {"fullname" : "Immunohistochemistry (Formalin/PFA-fixed paraffin-embedded sections)", "shortname":"IHC-P"}, "ICCIF" : {"fullname" : "Immunocytochemistry/ Immunofluorescence", "shortname":"ICC/IF"}, "IP" : {"fullname" : "Immunoprecipitation", "shortname":"IP"}, "FlowCyt" : {"fullname" : "Flow Cytometry", "shortname":"Flow Cyt"}, "WB" : {"fullname" : "Western blot", "shortname":"WB"} }, "product-promise": { "all": "all", "testedAndGuaranteed": "tested", "guaranteed": "expected", "predicted": "predicted", "notRecommended": "not-recommended" } }, "values": { "Human": { "IHCP-species-checked": "testedAndGuaranteed", "IHCP-species-dilution-info": "1/100 - 1/250", "IHCP-species-notes": "<p></p>", "ICCIF-species-checked": "notRecommended", "ICCIF-species-dilution-info": "", "ICCIF-species-notes": "<p></p>", "IP-species-checked": "notRecommended", "IP-species-dilution-info": "", "IP-species-notes": "<p></p>", "FlowCyt-species-checked": "notRecommended", "FlowCyt-species-dilution-info": "", "FlowCyt-species-notes": "<p></p>", "WB-species-checked": "testedAndGuaranteed", "WB-species-dilution-info": "1/1000 - 1/10000", "WB-species-notes": "<p></p>" }, "Mouse": { "IHCP-species-checked": "predicted", "IHCP-species-dilution-info": "", "IHCP-species-notes": "", "ICCIF-species-checked": "notRecommended", "ICCIF-species-dilution-info": "", "ICCIF-species-notes": "", "IP-species-checked": "notRecommended", "IP-species-dilution-info": "", "IP-species-notes": "", "FlowCyt-species-checked": "notRecommended", "FlowCyt-species-dilution-info": "", "FlowCyt-species-notes": "", "WB-species-checked": "predicted", "WB-species-dilution-info": "", "WB-species-notes": "" }, "Rat": { "IHCP-species-checked": "predicted", "IHCP-species-dilution-info": "", "IHCP-species-notes": "", "ICCIF-species-checked": "notRecommended", "ICCIF-species-dilution-info": "", "ICCIF-species-notes": "", "IP-species-checked": "notRecommended", "IP-species-dilution-info": "", "IP-species-notes": "", "FlowCyt-species-checked": "notRecommended", "FlowCyt-species-dilution-info": "", "FlowCyt-species-notes": "", "WB-species-checked": "predicted", "WB-species-dilution-info": "", "WB-species-notes": "" } } }

Product details

Patented technology
Our RabMAb® technology is a patented hybridoma-based technology for making rabbit monoclonal antibodies. For details on our patents, please refer to RabMAb® patents.

What are the advantages of a recombinant monoclonal antibody?
This product is a recombinant monoclonal antibody, which offers several advantages including:

  • - High batch-to-batch consistency and reproducibility
  • - Improved sensitivity and specificity
  • - Long-term security of supply
  • - Animal-free batch production

For more information, read more on recombinant antibodies.

Properties and storage information

Form
Liquid
Purity
Tissue culture supernatant
Storage buffer
pH: 7.2 - 7.4 Preservative: 0.05% Sodium azide Constituents: 50% Tissue culture supernatant, 40% Glycerol (glycerin, glycerine), 9.85% Tris glycine, 0.1% BSA
Shipped at conditions
Blue Ice
Appropriate short-term storage conditions
+4°C
Appropriate long-term storage conditions
-20°C
Storage information
Stable for 12 months at -20°C

Supplementary information

This supplementary information is collated from multiple sources and compiled automatically.

Cip4 also known as Cdc42-interacting protein 4 is a member of the F-BAR family and is involved in cellular processes related to actin dynamics. It has a molecular mass of approximately 70 kDa. Cip4 interacts with Cdc42 a small GTPase to facilitate membrane bending and invagination important for endocytosis and membrane trafficking. This protein is expressed in a variety of tissues including the brain heart and liver reflecting its broad functional significance across different cell types.
Biological function summary

Cip4 plays an essential role in linking membranes to the actin cytoskeleton. It is part of a complex with other proteins like Toca-1 and N-WASP which are important for actin polymerization. This function supports cellular morphogenesis and migration by organizing the actin filaments in response to external signals. Cip4 also contributes to the regulation of cell shape and motility aiding in processes such as development and immune responses by modulating membrane-associated actin assembly.

Pathways

Cip4 participates in pathways including the Cdc42 signaling pathway and endocytosis. In the Cdc42 signaling pathway Cip4 works with proteins like N-WASP and dynamin to facilitate membrane remodeling and cytoskeletal rearrangements impacting processes like cell division and signal transduction. Its involvement in endocytosis influences cargo uptake and intracellular transport linking it to dynamin-dependent endocytic pathways critical for nutrient uptake and receptor internalization.

Cip4 is associated with certain cancers and neurological disorders. Its dysregulation can contribute to tumor progression often involving interactions with proteins like Cdc42 and N-WASP that promote changes in cell adhesion and motility. Additionally abnormalities in Cip4 expression or function may lead to disrupted cell signaling in neurological disorders impacting processes essential for brain development and function. Understanding Cip4's role in these contexts provides insights into potential therapeutic targets for treatment.

Product protocols

For this product, it's our understanding that no specific protocols are required. You can visit:

Target data

Required for translocation of GLUT4 to the plasma membrane in response to insulin signaling (By similarity). Required to coordinate membrane tubulation with reorganization of the actin cytoskeleton during endocytosis. Binds to lipids such as phosphatidylinositol 4,5-bisphosphate and phosphatidylserine and promotes membrane invagination and the formation of tubules. Also promotes CDC42-induced actin polymerization by recruiting WASL/N-WASP which in turn activates the Arp2/3 complex. Actin polymerization may promote the fission of membrane tubules to form endocytic vesicles. Required for the formation of podosomes, actin-rich adhesion structures specific to monocyte-derived cells. May be required for the lysosomal retention of FASLG/FASL.
See full target information TRIP10

Publications (1)

Recent publications for all applications. Explore the full list and refine your search

Journal of experimental & clinical cancer research 36:21 PubMed28129778

2017

CDC42-interacting protein 4 promotes metastasis of nasopharyngeal carcinoma by mediating invadopodia formation and activating EGFR signaling.

Applications

Unspecified application

Species

Unspecified reactive species

Dong-Fang Meng,Ping Xie,Li-Xia Peng,Rui Sun,Dong-Hua Luo,Qiu-Yan Chen,Xing Lv,Lin Wang,Ming-Yuan Chen,Hai-Qiang Mai,Ling Guo,Xiang Guo,Li-Sheng Zheng,Li Cao,Jun-Ping Yang,Meng-Yao Wang,Yan Mei,Yuan-Yuan Qiang,Zi-Meng Zhang,Jing-Ping Yun,Bi-Jun Huang,Chao-Nan Qian
View all publications

Product promise

We are committed to supporting your work with high-quality reagents, and we're here for you every step of the way. In the unlikely event that one of our products does not perform as expected, you're protected by our Product Promise.
For full details, please see our Terms & Conditions

Please note: All products are 'FOR RESEARCH USE ONLY. NOT FOR USE IN DIAGNOSTIC OR THERAPEUTIC PROCEDURES'.

For licensing inquiries, please contact partnerships@abcam.com