JavaScript is disabled in your browser. Please enable JavaScript to view this website.
AB318199

Anti-CISD1/MitoNEET antibody [EPR29116-27]

  • BOND RX™ Validated
  • 20ul selling size
  • Recombinant
  • RabMAb
  • KO Validated
  • What is this?

Be the first to review this product! Submit a review

|

(0 Publication)

Knockout Tested Rabbit Recombinant Monoclonal MitoNEET antibody. Suitable for ICC/IF, IHC-P, WB and reacts with Human, Mouse, Rat samples.

View Alternative Names

C10orf70, ZCD1, MDS029, CISD1, CDGSH iron-sulfur domain-containing protein 1, Cysteine transaminase CISD1, MitoNEET

14 Images
Immunocytochemistry/ Immunofluorescence - Anti-CISD1/MitoNEET antibody [EPR29116-27] (AB318199)
  • ICC/IF

Supplier Data

Immunocytochemistry/ Immunofluorescence - Anti-CISD1/MitoNEET antibody [EPR29116-27] (AB318199)

Immunofluorescent analysis of 4% Paraformaldehyde-fixed, 0.1% TritonX-100 permeabilized CISD1 KO HeLa (human cervical adenocarcinoma epithelial cell), ab265276 cells labelling MitoNEET with ab318199 at 1/100 (5.1 ug/ml) dilution, followed by ab150081 Goat Anti-Rabbit IgG H&L (Alexa Fluor® 488) preadsorbed antibody at 1/1000 2 ug/ml dilution (Green).

Confocal image showing mitochondrial staining in wildtype HeLa cells (shown in green), and negative staining in CISD1 knockout HeLa cells. The counterstain was observed in magenta. Nuclear DNA was labeled with DAPI (shown in blue).
Image was taken with a confocal microscope(Leica-Microsystems, TCS SP8).

anti-COX IV mouse monoclonal antibody - Mitochondrial Marker was used to counterstain tubulin at 1/1000 1ug/ml dilution (Magenta). The Nuclear counterstain was DAPI (Blue).

-ve control 1 : ab318199 at 1/100 (5.1 ug/ml) dilution, followed by ab150120 Goat Anti-Mouse IgG H&L (Alexa Fluor® 594) at 1/1000 2 ug/mL dilution.
-ve control 2 : Anti-COX IV mouse monoclonal 1/1000 1ug/ml dilution, followed by ab150081 Goat Anti-Rabbit IgG H&L (Alexa Fluor® 488) preadsorbed at 1/1000 2 ug/mL dilution.

Immunohistochemistry (Formalin/PFA-fixed paraffin-embedded sections) - Anti-CISD1/MitoNEET antibody [EPR29116-27] (AB318199)
  • IHC-P

Supplier Data

Immunohistochemistry (Formalin/PFA-fixed paraffin-embedded sections) - Anti-CISD1/MitoNEET antibody [EPR29116-27] (AB318199)

Immunohistochemical analysis of paraffin-embedded Human cerebrum tissue labeling MitoNEET with ab318199 at 1/2000 (0.255 ug/ml) dilution, followed by a ready to use LeicaDS9800 (Bond™ Polymer Refine Detection).

Positive staining on human cerebrum. The section was incubated with ab318199 for 30 mins at room temperature. The immunostaining was performed on a Leica Biosystems BOND® RX instrument
Incubate slides with 3% Hydrogen Peroxide for 10 mins at room temperature after secondary antibody incubation to reduce the background

Counterstained with Hematoxylin.

Secondary antibody only control : Secondary antibody is a ready to use LeicaDS9800 (Bond™ Polymer Refine Detection).

Heat mediated antigen retrieval was performed with Tris-EDTA buffer (pH 9.0, Epitope Retrieval Solution2) for 20 mins

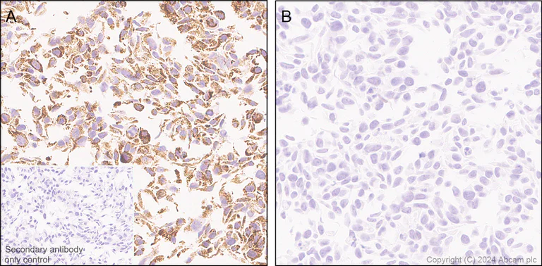
Immunohistochemistry (Formalin/PFA-fixed paraffin-embedded sections) - Anti-CISD1/MitoNEET antibody [EPR29116-27] (AB318199)
  • IHC-P

Supplier Data

Immunohistochemistry (Formalin/PFA-fixed paraffin-embedded sections) - Anti-CISD1/MitoNEET antibody [EPR29116-27] (AB318199)

Immunohistochemical analysis of paraffin-embedded (A) Wild-type Hela (human cervical adenocarcinoma epithelial cell) cell pellet; (B) CISD1 knockout Hela cell pellet tissue labeling MitoNEET with ab318199 at 1/2000 (0.255 ug/ml) dilution, followed by a ready to use LeicaDS9800 (Bond™ Polymer Refine Detection).

Positive staining on (A) wild-type Hela cell pellet, no staining on (B) human CISD1 knockout Hela cell pellet. The section was incubated with ab318199 for 30 mins at room temperature. The immunostaining was performed on a Leica Biosystems BOND® RX instrument
Incubate slides with 3% Hydrogen Peroxide for 10 mins at room temperature after secondary antibody incubation to reduce the background

Counterstained with Hematoxylin.

Secondary antibody only control : Secondary antibody is a ready to use LeicaDS9800 (Bond™ Polymer Refine Detection).

Heat mediated antigen retrieval was performed with Tris-EDTA buffer (pH 9.0, Epitope Retrieval Solution2) for 20 mins

Immunohistochemistry (Formalin/PFA-fixed paraffin-embedded sections) - Anti-CISD1/MitoNEET antibody [EPR29116-27] (AB318199)
  • IHC-P

Supplier Data

Immunohistochemistry (Formalin/PFA-fixed paraffin-embedded sections) - Anti-CISD1/MitoNEET antibody [EPR29116-27] (AB318199)

Immunohistochemical analysis of paraffin-embedded Human ovarian carcinoma tissue labeling MitoNEET with ab318199 at 1/2000 (0.255 ug/ml) dilution, followed by a ready to use LeicaDS9800 (Bond™ Polymer Refine Detection).

Positive staining on human ovarian carcinoma. The section was incubated with ab318199 for 30 mins at room temperature. The immunostaining was performed on a Leica Biosystems BOND® RX instrument
Incubate slides with 3% Hydrogen Peroxide for 10 mins at room temperature after secondary antibody incubation to reduce the background

Counterstained with Hematoxylin.

Secondary antibody only control : Secondary antibody is a ready to use LeicaDS9800 (Bond™ Polymer Refine Detection).

Heat mediated antigen retrieval was performed with Tris-EDTA buffer (pH 9.0, Epitope Retrieval Solution2) for 20 mins

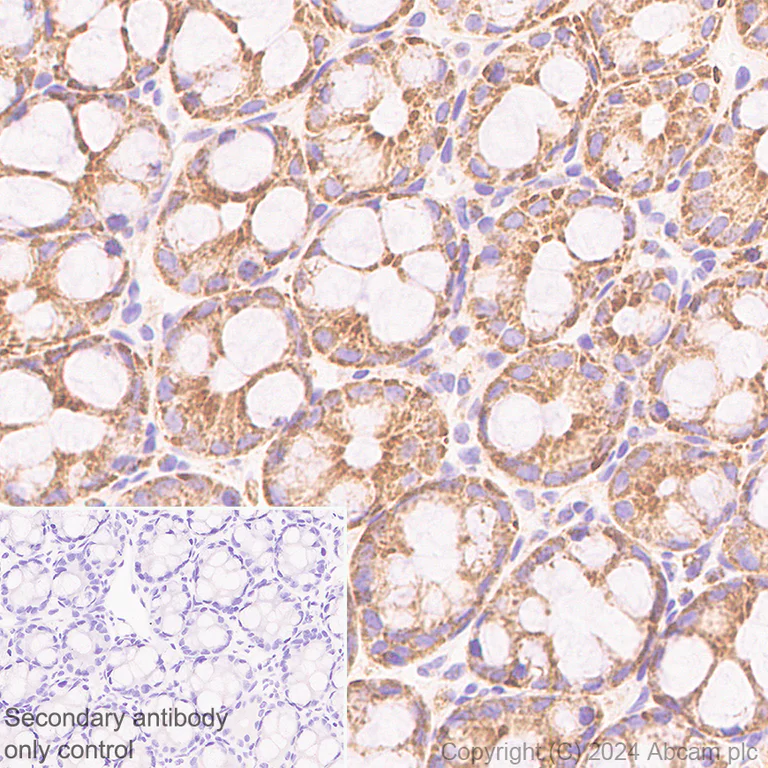
Immunohistochemistry (Formalin/PFA-fixed paraffin-embedded sections) - Anti-CISD1/MitoNEET antibody [EPR29116-27] (AB318199)
  • IHC-P

Supplier Data

Immunohistochemistry (Formalin/PFA-fixed paraffin-embedded sections) - Anti-CISD1/MitoNEET antibody [EPR29116-27] (AB318199)

Immunohistochemical analysis of paraffin-embedded Human colon tissue labeling MitoNEET with ab318199 at 1/2000 (0.255 ug/ml) dilution, followed by a ready to use LeicaDS9800 (Bond™ Polymer Refine Detection).

Positive staining on human colon. The section was incubated with ab318199 for 30 mins at room temperature. The immunostaining was performed on a Leica Biosystems BOND® RX instrument
Incubate slides with 3% Hydrogen Peroxide for 10 mins at room temperature after secondary antibody incubation to reduce the background

Counterstained with Hematoxylin.

Secondary antibody only control : Secondary antibody is a ready to use LeicaDS9800 (Bond™ Polymer Refine Detection).

Heat mediated antigen retrieval was performed with Tris-EDTA buffer (pH 9.0, Epitope Retrieval Solution2) for 20 mins

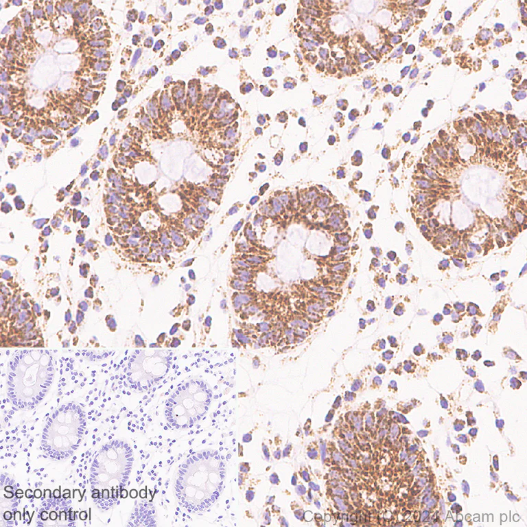
Immunohistochemistry (Formalin/PFA-fixed paraffin-embedded sections) - Anti-CISD1/MitoNEET antibody [EPR29116-27] (AB318199)
  • IHC-P

Supplier Data

Immunohistochemistry (Formalin/PFA-fixed paraffin-embedded sections) - Anti-CISD1/MitoNEET antibody [EPR29116-27] (AB318199)

Immunohistochemical analysis of paraffin-embedded Rat colon tissue labeling MitoNEET with ab318199 at 1/5000 (0.102 ug/ml) dilution, followed by a ready to use LeicaDS9800 (Bond™ Polymer Refine Detection).

Positive staining on rat colon. The section was incubated with ab318199 for 30 mins at room temperature. The immunostaining was performed on a Leica Biosystems BOND® RX instrument
Incubate slides with 3% Hydrogen Peroxide for 10 mins at room temperature after secondary antibody incubation to reduce the background

Counterstained with Hematoxylin.

Secondary antibody only control : Secondary antibody is a ready to use LeicaDS9800 (Bond™ Polymer Refine Detection).

Heat mediated antigen retrieval was performed with Tris-EDTA buffer (pH 9.0, Epitope Retrieval Solution2) for 20 mins

Immunohistochemistry (Formalin/PFA-fixed paraffin-embedded sections) - Anti-CISD1/MitoNEET antibody [EPR29116-27] (AB318199)
  • IHC-P

Supplier Data

Immunohistochemistry (Formalin/PFA-fixed paraffin-embedded sections) - Anti-CISD1/MitoNEET antibody [EPR29116-27] (AB318199)

Immunohistochemical analysis of paraffin-embedded Mouse liver cancer tissue labeling MitoNEET with ab318199 at 1/5000 (0.102 ug/ml) dilution, followed by a ready to use LeicaDS9800 (Bond™ Polymer Refine Detection).

Positive staining on mouse liver cancer. The section was incubated with ab318199 for 30 mins at room temperature. The immunostaining was performed on a Leica Biosystems BOND® RX instrument
Incubate slides with 3% Hydrogen Peroxide for 10 mins at room temperature after secondary antibody incubation to reduce the background

Counterstained with Hematoxylin.

Secondary antibody only control : Secondary antibody is a ready to use LeicaDS9800 (Bond™ Polymer Refine Detection).

Heat mediated antigen retrieval was performed with Tris-EDTA buffer (pH 9.0, Epitope Retrieval Solution2) for 20 mins

Immunohistochemistry (Formalin/PFA-fixed paraffin-embedded sections) - Anti-CISD1/MitoNEET antibody [EPR29116-27] (AB318199)
  • IHC-P

Supplier Data

Immunohistochemistry (Formalin/PFA-fixed paraffin-embedded sections) - Anti-CISD1/MitoNEET antibody [EPR29116-27] (AB318199)

Immunohistochemical analysis of paraffin-embedded Mouse colon tissue labeling MitoNEET with ab318199 at 1/5000 (0.102 ug/ml) dilution, followed by a ready to use LeicaDS9800 (Bond™ Polymer Refine Detection).

Positive staining on mouse colon. The section was incubated with ab318199 for 30 mins at room temperature. The immunostaining was performed on a Leica Biosystems BOND® RX instrument
Incubate slides with 3% Hydrogen Peroxide for 10 mins at room temperature after secondary antibody incubation to reduce the background

Counterstained with Hematoxylin.

Secondary antibody only control : Secondary antibody is a ready to use LeicaDS9800 (Bond™ Polymer Refine Detection).

Heat mediated antigen retrieval was performed with Tris-EDTA buffer (pH 9.0, Epitope Retrieval Solution2) for 20 mins

Immunohistochemistry (Formalin/PFA-fixed paraffin-embedded sections) - Anti-CISD1/MitoNEET antibody [EPR29116-27] (AB318199)
  • IHC-P

Supplier Data

Immunohistochemistry (Formalin/PFA-fixed paraffin-embedded sections) - Anti-CISD1/MitoNEET antibody [EPR29116-27] (AB318199)

Immunohistochemical analysis of paraffin-embedded Mouse liver tissue labeling MitoNEET with ab318199 at 1/5000 (0.102 ug/ml) dilution, followed by a ready to use LeicaDS9800 (Bond™ Polymer Refine Detection).

Positive staining on mouse liver. The section was incubated with ab318199 for 30 mins at room temperature. The immunostaining was performed on a Leica Biosystems BOND® RX instrument
Incubate slides with 3% Hydrogen Peroxide for 10 mins at room temperature after secondary antibody incubation to reduce the background

Counterstained with Hematoxylin.

Secondary antibody only control : Secondary antibody is a ready to use LeicaDS9800 (Bond™ Polymer Refine Detection).

Heat mediated antigen retrieval was performed with Tris-EDTA buffer (pH 9.0, Epitope Retrieval Solution2) for 20 mins

Immunohistochemistry (Formalin/PFA-fixed paraffin-embedded sections) - Anti-CISD1/MitoNEET antibody [EPR29116-27] (AB318199)
  • IHC-P

Supplier Data

Immunohistochemistry (Formalin/PFA-fixed paraffin-embedded sections) - Anti-CISD1/MitoNEET antibody [EPR29116-27] (AB318199)

Immunohistochemical analysis of paraffin-embedded Rat liver tissue labeling MitoNEET with ab318199 at 1/5000 (0.102 ug/ml) dilution, followed by a ready to use LeicaDS9800 (Bond™ Polymer Refine Detection).

Positive staining on rat liver. The section was incubated with ab318199 for 30 mins at room temperature. The immunostaining was performed on a Leica Biosystems BOND® RX instrument
Incubate slides with 3% Hydrogen Peroxide for 10 mins at room temperature after secondary antibody incubation to reduce the background

Counterstained with Hematoxylin.

Secondary antibody only control : Secondary antibody is a ready to use LeicaDS9800 (Bond™ Polymer Refine Detection).

Heat mediated antigen retrieval was performed with Tris-EDTA buffer (pH 9.0, Epitope Retrieval Solution2) for 20 mins

Immunocytochemistry/ Immunofluorescence - Anti-CISD1/MitoNEET antibody [EPR29116-27] (AB318199)
  • ICC/IF

Supplier Data

Immunocytochemistry/ Immunofluorescence - Anti-CISD1/MitoNEET antibody [EPR29116-27] (AB318199)

Immunofluorescent analysis of 4% Paraformaldehyde-fixed, 0.1% TritonX-100 permeabilized NIH/3T3 (mouse embryonic fibroblast) cells labelling MitoNEET with ab318199 at 1/100 (5.1 ug/ml) dilution, followed by ab150081 Goat Anti-Rabbit IgG H&L (Alexa Fluor® 488) preadsorbed antibody at 1/1000 2 ug/ml dilution (Green).

Confocal image showing mitochondrial staining in NIH/3T3 cells (shown in green). The counterstain was observed in magenta. Nuclear DNA was labeled with DAPI (shown in blue).
Image was taken with a confocal microscope(Leica-Microsystems, TCS SP8).

anti-COX IV mouse monoclonal antibody - Mitochondrial Marker was used to counterstain tubulin at 1/1000 1ug/ml dilution (Magenta). The Nuclear counterstain was DAPI (Blue).

-ve control 1 : ab318199 at 1/100 (5.1 ug/ml) dilution, followed by ab150120 Goat Anti-Mouse IgG H&L (Alexa Fluor® 594) at 1/1000 2 ug/mL dilution.
-ve control 2 : Anti-COX IV mouse monoclonal 1/1000 1ug/ml dilution, followed by ab150081 Goat Anti-Rabbit IgG H&L (Alexa Fluor® 488) preadsorbed at 1/1000 2 ug/mL dilution (Green).

Western blot - Anti-CISD1/MitoNEET antibody [EPR29116-27] (AB318199)
  • WB

Supplier Data

Western blot - Anti-CISD1/MitoNEET antibody [EPR29116-27] (AB318199)

In Western blot, ab318199 was shown to bind specifically to CISD1. Target of interest was observed at 15 kDa in wild-type Hela cell lysates (lane 1) with no signal observed at this size in CISD1 knockout cell line (lane 2) (lane 2, knockout cell line ab265276 / knockout cell lysate ab258817).

In Western blot, Anti-GAPDH antibody [EPR16891] - Loading Control (ab181602) staining at 1/200000 dilution.

Exposure time : Lane 1-2 : 114 seconds, Lane 3-5 : 59 seconds

All lanes:

Western blot - Anti-CISD1/MitoNEET antibody [EPR29116-27] (ab318199) at 1/1000 dilution

Lane 1:

Wild-type HeLa (human cervical adenocarcinoma epithelial cell) whole cell lysate at 20 µg

Lane 2:

CISD1 knockout HeLa whole cell lysate at 20 µg

Lane 3:

293T (human embryonic kidney epithelial cell) whole cell lysate at 20 µg

Lane 4:

Neuro-2a (mouse neuroblastoma neuroblast) whole cell lysate at 20 µg

Lane 5:

NIH/3T3 (mouse embryonic fibroblast) whole cell lysate at 20 µg

Secondary

All lanes:

Goat Anti-Rabbit IgG (HRP) with minimal cross-reactivity with human IgG at 1/2000 dilution

Observed band size: 15 kDa,36 kDa

false

Western blot - Anti-CISD1/MitoNEET antibody [EPR29116-27] (AB318199)
  • WB

Supplier Data

Western blot - Anti-CISD1/MitoNEET antibody [EPR29116-27] (AB318199)

All lanes:

Western blot - Anti-CISD1/MitoNEET antibody [EPR29116-27] (ab318199) at 1/1000 dilution

Lane 1:

Human cerebellum tissue lysate at 20 µg

Lane 2:

Mouse cerebellum tissue lysate at 20 µg

Lane 3:

Mouse liver tissue lysate at 20 µg

Lane 4:

Mouse kidney tissue lysate at 20 µg

Lane 5:

Rat cerebellum tissue lysate at 20 µg

Lane 6:

Rat liver tissue lysate at 20 µg

Lane 7:

C6 (rat glial tumor glial cell) whole cell lysate at 20 µg

Secondary

All lanes:

Goat Anti-Rabbit IgG (HRP) with minimal cross-reactivity with human IgG at 1/2000 dilution

Observed band size: 15 kDa

false

Exposure time: 8s

Western blot - Anti-CISD1/MitoNEET antibody [EPR29116-27] (AB318199)
  • WB

Supplier Data

Western blot - Anti-CISD1/MitoNEET antibody [EPR29116-27] (AB318199)

In Western blot, Anti-GAPDH antibody [EPR16891] - Loading Control (ab181602) staining at 1/200000 dilution.

In Western blot, Anti-AIF antibody [E20] (ab32516) staining at 1/1000 dilution.

All lanes:

Western blot - Anti-CISD1/MitoNEET antibody [EPR29116-27] (ab318199) at 1/1000 dilution

Lane 1:

HeLa (human cervical adenocarcinoma epithelial cell) cytoplasmic fraction at 20 µg

Lane 2:

HeLa mitochondrial fraction at 20 µg

Secondary

All lanes:

Goat Anti-Rabbit IgG (HRP) with minimal cross-reactivity with human IgG at 1/2000 dilution

Observed band size: 15 kDa,36 kDa,67 kDa

false

Exposure time: 10s

  • Carrier free

    Anti-CISD1/MitoNEET antibody [EPR29116-27] - BSA and Azide free

Key facts

Host species

Rabbit

Clonality

Monoclonal

Clone number

EPR29116-27

Isotype

IgG

Carrier free

No

Reacts with

Human, Mouse, Rat

Applications

WB, IHC-P, ICC/IF

applications

Immunogen

The exact immunogen used to generate this antibody is proprietary information.

Specificity

This antibody weakly cross-react with human CISD2 overexpression lysate.

Reactivity data

{ "title": "Reactivity Data", "filters": { "stats": ["", "Species", "Dilution Info", "Notes"], "tabs": { "all-applications": {"fullname" : "All Applications", "shortname": "All Applications"}, "ICCIF" : {"fullname" : "Immunocytochemistry/ Immunofluorescence", "shortname":"ICC/IF"}, "IHCP" : {"fullname" : "Immunohistochemistry (Formalin/PFA-fixed paraffin-embedded sections)", "shortname":"IHC-P"}, "WB" : {"fullname" : "Western blot", "shortname":"WB"}, "FlowCytIntra" : {"fullname" : "Flow Cytometry (Intracellular)", "shortname":"Flow Cyt (Intra)"}, "IP" : {"fullname" : "Immunoprecipitation", "shortname":"IP"} }, "product-promise": { "all": "all", "testedAndGuaranteed": "tested", "guaranteed": "expected", "predicted": "predicted", "notRecommended": "not-recommended" } }, "values": { "Human": { "ICCIF-species-checked": "testedAndGuaranteed", "ICCIF-species-dilution-info": "1/100", "ICCIF-species-notes": "<p></p>", "IHCP-species-checked": "testedAndGuaranteed", "IHCP-species-dilution-info": "1/2000", "IHCP-species-notes": "<p></p> Perform heat-mediated antigen retrieval with Tris/EDTA buffer pH 9.0 before commencing with IHC staining protocol.", "WB-species-checked": "testedAndGuaranteed", "WB-species-dilution-info": "1/1000", "WB-species-notes": "<p></p>", "FlowCytIntra-species-checked": "notRecommended", "FlowCytIntra-species-dilution-info": "", "FlowCytIntra-species-notes": "<p></p>", "IP-species-checked": "notRecommended", "IP-species-dilution-info": "", "IP-species-notes": "<p></p>" }, "Mouse": { "ICCIF-species-checked": "testedAndGuaranteed", "ICCIF-species-dilution-info": "1/100", "ICCIF-species-notes": "<p></p>", "IHCP-species-checked": "testedAndGuaranteed", "IHCP-species-dilution-info": "1/5000", "IHCP-species-notes": "<p></p> Perform heat-mediated antigen retrieval with Tris/EDTA buffer pH 9.0 before commencing with IHC staining protocol.", "WB-species-checked": "testedAndGuaranteed", "WB-species-dilution-info": "1/1000", "WB-species-notes": "<p></p>", "FlowCytIntra-species-checked": "notRecommended", "FlowCytIntra-species-dilution-info": "", "FlowCytIntra-species-notes": "", "IP-species-checked": "notRecommended", "IP-species-dilution-info": "", "IP-species-notes": "" }, "Rat": { "ICCIF-species-checked": "guaranteed", "ICCIF-species-dilution-info": "", "ICCIF-species-notes": "", "IHCP-species-checked": "testedAndGuaranteed", "IHCP-species-dilution-info": "1/5000", "IHCP-species-notes": "<p></p> Perform heat-mediated antigen retrieval with Tris/EDTA buffer pH 9.0 before commencing with IHC staining protocol.", "WB-species-checked": "testedAndGuaranteed", "WB-species-dilution-info": "1/1000", "WB-species-notes": "<p></p>", "FlowCytIntra-species-checked": "notRecommended", "FlowCytIntra-species-dilution-info": "", "FlowCytIntra-species-notes": "", "IP-species-checked": "notRecommended", "IP-species-dilution-info": "", "IP-species-notes": "" } } }

Product details

Patented technology
Our RabMAb® technology is a patented hybridoma-based technology for making rabbit monoclonal antibodies. For details on our patents, please refer to RabMAb® patents.

What are the advantages of a recombinant monoclonal antibody?
This product is a recombinant monoclonal antibody, which offers several advantages including:

  • - High batch-to-batch consistency and reproducibility
  • - Improved sensitivity and specificity
  • - Long-term security of supply
  • - Animal-free batch production

For more information, read more on recombinant antibodies.

Properties and storage information

Form
Liquid
Purification technique
Affinity purification Protein A
Storage buffer
pH: 7.2 - 7.4 Preservative: 0.01% Sodium azide Constituents: PBS, 40% Glycerol (glycerin, glycerine), 0.05% BSA
Shipped at conditions
Blue Ice
Appropriate short-term storage duration
1-2 weeks
Appropriate short-term storage conditions
+4°C
Appropriate long-term storage conditions
-20°C
Aliquoting information
Upon delivery aliquot
Storage information
Avoid freeze / thaw cycle

Product protocols

For this product, it's our understanding that no specific protocols are required. You can visit:

Target data

L-cysteine transaminase that catalyzes the reversible transfer of the amino group from L-cysteine to the alpha-keto acid 2-oxoglutarate to respectively form 2-oxo-3-sulfanylpropanoate and L-glutamate (PubMed : 36194135). The catalytic cycle occurs in the presence of pyridoxal 5'-phosphate (PLP) cofactor that facilitates transamination by initially forming an internal aldimine with the epsilon-amino group of active site Lys-55 residue on the enzyme (PLP-enzyme aldimine), subsequently displaced by formation of an external aldimine with the substrate amino group (PLP-L-cysteine aldimine). The external aldimine is further deprotonated to form a carbanion intermediate, which in the presence of 2-oxoglutarate regenerates PLP yielding final products 2-oxo-3-sulfanylpropanoate and L-glutamate. The proton transfer in carbanion intermediate is suggested to be controlled by the active site lysine residue, whereas PLP stabilizes carbanion structure through electron delocalization, also known as the electron sink effect (PubMed : 36194135). Plays a key role in regulating maximal capacity for electron transport and oxidative phosphorylation (By similarity). May be involved in iron-sulfur cluster shuttling and/or in redox reactions. Can transfer the [2Fe-2S] cluster to an apo-acceptor protein only when in the oxidation state, likely serving as a redox sensor that regulates mitochondrial iron-sulfur cluster assembly and iron trafficking upon oxidative stress (PubMed : 17584744, PubMed : 21788481, PubMed : 23758282).
See full target information CISD1

Product promise

We are committed to supporting your work with high-quality reagents, and we're here for you every step of the way. In the unlikely event that one of our products does not perform as expected, you're protected by our Product Promise.
For full details, please see our Terms & Conditions

Please note: All products are 'FOR RESEARCH USE ONLY. NOT FOR USE IN DIAGNOSTIC OR THERAPEUTIC PROCEDURES'.

For licensing inquiries, please contact partnerships@abcam.com