JavaScript is disabled in your browser. Please enable JavaScript to view this website.
AB110897

Anti-CIT antibody

Be the first to review this product! Submit a review

|

(4 Publications)

Rabbit Polyclonal CIT antibody. Suitable for IHC-P and reacts with Human samples. Cited in 4 publications. Immunogen corresponding to Synthetic Peptide within Human CIT aa 1000-1100.

View Alternative Names

CRIK, KIAA0949, STK21, CIT, Citron Rho-interacting kinase, Serine/threonine-protein kinase 21

1 Images
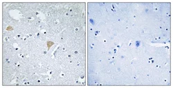
Immunohistochemistry (Formalin/PFA-fixed paraffin-embedded sections) - Anti-CIT antibody (AB110897)
  • IHC-P

Unknown

Immunohistochemistry (Formalin/PFA-fixed paraffin-embedded sections) - Anti-CIT antibody (AB110897)

ab110897, at a 1/50 dilution, staining CIT in paraffin-embedded Human brain tissue by Immunohistochemistry. The image on the right is treated with the synthesized peptide.

Key facts

Host species

Rabbit

Clonality

Polyclonal

Isotype

IgG

Carrier free

No

Reacts with

Human

Applications

IHC-P

applications

Immunogen

Synthetic Peptide within Human CIT aa 1000-1100. The exact immunogen used to generate this antibody is proprietary information.

O14578

Reactivity data

{ "title": "Reactivity Data", "filters": { "stats": ["", "Species", "Dilution Info", "Notes"], "tabs": { "all-applications": {"fullname" : "All Applications", "shortname": "All Applications"}, "IHCP" : {"fullname" : "Immunohistochemistry (Formalin/PFA-fixed paraffin-embedded sections)", "shortname":"IHC-P"} }, "product-promise": { "all": "all", "testedAndGuaranteed": "tested", "guaranteed": "expected", "predicted": "predicted", "notRecommended": "not-recommended" } }, "values": { "Human": { "IHCP-species-checked": "testedAndGuaranteed", "IHCP-species-dilution-info": "1/50 - 1/100", "IHCP-species-notes": "<p></p> Perform heat-mediated antigen retrieval with citrate buffer pH 6 before commencing with IHC staining protocol." }, "Mouse": { "IHCP-species-checked": "predicted", "IHCP-species-dilution-info": "", "IHCP-species-notes": "" } } }

Properties and storage information

Form
Liquid
Purification technique
Affinity purification Immunogen
Purification notes
ab110897 was affinity-purified from rabbit antiserum by affinity-chromatography using epitope-specific immunogen.
Storage buffer
pH: 7.4 Preservative: 0.02% Sodium azide Constituents: PBS, 50% Glycerol (glycerin, glycerine), 0.88% Sodium chloride
Shipped at conditions
Blue Ice
Appropriate short-term storage conditions
+4°C
Appropriate long-term storage conditions
-20°C
Storage information
Stable for 12 months at -20°C

Product protocols

For this product, it's our understanding that no specific protocols are required. You can visit:

Target data

Plays a role in cytokinesis. Required for KIF14 localization to the central spindle and midbody. Putative RHO/RAC effector that binds to the GTP-bound forms of RHO and RAC1. It probably binds p21 with a tighter specificity in vivo. Displays serine/threonine protein kinase activity. Plays an important role in the regulation of cytokinesis and the development of the central nervous system. Phosphorylates MYL9/MLC2.
See full target information CIT

Publications (4)

Recent publications for all applications. Explore the full list and refine your search

International journal of oncology 57:767-779 PubMed32705161

2020

Novel circRNA_0071196/miRNA‑19b‑3p/CIT axis is associated with proliferation and migration of bladder cancer.

Applications

Unspecified application

Species

Unspecified reactive species

Zan Liu,Yang Yang,Zhe Yang,Shunyao Xia,Dasen Lin,Bang Xiao,Youcheng Xiu

Translational cancer research 9:2416-2423 PubMed35117601

2020

Low expression of citron kinase is associated with poor patient outcomes in hepatocellular carcinoma.

Applications

Unspecified application

Species

Unspecified reactive species

Huan-Qing Zhang,Hui-Ju Wang,Xiang-Lei He,Guo-Qing Ru,Shu-Shu Song,Hong-Ying Pan,Cheng-Wu Zhang,Xiao-Zhou Mou,Zhi-Ming Hu

BioMed research international 2020:9210891 PubMed32185224

2020

Citron Rho-Interacting Serine/Threonine Kinase Promotes HIF1a-CypA Signaling and Growth of Human Pancreatic Adenocarcinoma.

Applications

Unspecified application

Species

Unspecified reactive species

Lin Cong,Zhile Bai,Yang Du,Yong Cheng

Oncotarget 8:71954-71964 PubMed29069760

2017

Up-regulation of CIT promotes the growth of colon cancer cells.

Applications

Unspecified application

Species

Unspecified reactive species

Zehua Wu,Xiangying Zhu,Wendi Xu,Yu Zhang,Lin Chen,Fabo Qiu,Binyuan Zhang,Liqun Wu,Zhihai Peng,Huamei Tang
View all publications

Product promise

We are committed to supporting your work with high-quality reagents, and we're here for you every step of the way. In the unlikely event that one of our products does not perform as expected, you're protected by our Product Promise.
For full details, please see our Terms & Conditions

Please note: All products are 'FOR RESEARCH USE ONLY. NOT FOR USE IN DIAGNOSTIC OR THERAPEUTIC PROCEDURES'.

For licensing inquiries, please contact partnerships@abcam.com